
版权归中华医学会所有。
未经授权,不得转载、摘编本刊文章,不得使用本刊的版式设计。
除非特别声明,本刊刊出的所有文章不代表中华医学会和本刊编委会的观点。
边缘叶脑炎(limbic encephalitis, LE)系指病变部位可累及海马、杏仁体、岛叶和扣带回皮质等边缘结构,呈急性或亚急性发病,临床表现以近记忆缺失、精神行为异常和癫痫发作为特点的中枢神经系统炎症性疾病。副肿瘤LE通常与肿瘤相伴,绝大多数在发现恶性肿瘤之前出现,而且神经系统表现远比肿瘤本身更具有致残性;其早期临床表现无特异性,早期诊断依靠副肿瘤抗体检测及其免疫靶点。Ma2蛋白广泛分布于正常的脑组织中[1],抗Ma2抗体脑炎临床表现各异。迄今为止,国外报道仅几十例,我国仅Guan等[2]报道1例伴回肠淋巴瘤的抗Ma2副肿瘤脑炎。我们报道1例抗Ma2抗体阳性的脑炎患者,供临床借鉴。
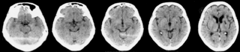
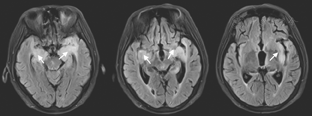
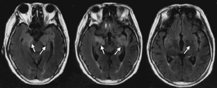
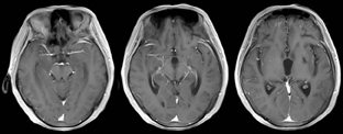
患者女性,72岁,主因渐进性右肢力弱9个月、记忆力减退3个月、错认1周于2015年6月17日入天津市环湖医院。患者于入院前9个月渐感做家务时右手无名指、小指力弱,遂就诊于天津市某综合医院,行头颅CT检查(图1),考虑脑梗死,给予输液治疗2周,此症状渐进性加重,累及中指及右手。于入院前3个月,患者因右手持物力弱、右下肢行走无力、记忆力减退、近期发生过的事情记不起来,再次就诊于天津市某中医医院,行头部MRI检查(图2),FLAIR序列可见双侧颞叶内侧面、海马区高信号影。按照脑梗死给予输液治疗,并口服阿司匹林、阿托伐他汀治疗。于入院前1周,患者右肢无力较前加重,右手持物不稳,右下肢站立及行走需搀扶,并数次跌倒。家属发现其偶有面孔错认,把自己的亲人认错。为进一步诊治收入院。自发病以来,患者无明显头痛及头晕,无视物旋转及视物成双,无恶心呕吐,无耳聋耳鸣,无肢体麻木及抽搐,无意识障碍,存在情绪低落、兴趣减少、食欲下降,体重3个月内减轻5 kg。既往史:有高血压病史20余年,血压最高达160/100 mmHg (1 mmHg=0.133 kPa),平时口服缬沙坦80 mg (1次/d)降压治疗,血压维持在120~130/90 mmHg。入院后神经科体检:意识清楚、构音障碍,双瞳孔等大等圆,光反射(+),眼动可,眼位居中,无眼震及复视,右侧鼻唇沟稍浅,伸舌尚居中,颈软,右肢肌力Ⅳ级,左肢肌力Ⅴ级,肌张力可,腱反射(++),双侧巴宾斯基征(-),右面部及右侧肢体浅感觉异常,双侧共济检查稳准。高级神经活动认知功能检查:简易精神状态检查评分12分,蒙特利尔认知评估量表评分7分,定向力、回忆能力、计算力、语言重复流畅性、执行功能、视空间结构等领域均受累。实验室检查阳性结果:血常规示中性粒细胞百分比83.0%(正常值40%~75%),血小板计数68×109/L[正常值(125~350)×109/L];红细胞沉降率37.00 mm/h(正常值0~15 mm/h),乳酸脱氢酶265 U/L(正常值135~225 U/L];甲状腺功能全项:三碘甲状腺原氨酸1.00 nmol/L(正常值1.3~3.1 nmol/L);血液三项:叶酸4.08 ng/ml(正常值4.6~34.8 ng/ml)。超敏C反应蛋白、乙型肝炎、梅毒血清学检查结果正常。肺癌和肝脏、胃肠、盆腔肿瘤标志物检查结果正常。入院后行腰椎穿刺检查,压力200 mmH2O(1 mmH2O=0.009 8 kPa);脑脊液常规:总细胞数382×106/L,白细胞数2×106/L[正常成人(0~8)×106/L] ;脑脊液生化:氯化物117 mmol/L(正常值120~132 mmol/L],蛋白1.18 g/L(正常值0.15~0.45 g/L),乳酸5.4 mmol/L(正常值0.6~2.2 mmol/L)。脑脊液免疫功能:白蛋白714.00 mg/L(正常值0~350 mg/L),免疫球蛋白A 6.89 mg/L(正常值0.1~5 mg/L),免疫球蛋白G 56.30 mg/L(正常值0.1~34 mg/L),免疫球蛋白M 2.68 mg/L(正常值0~1.3 mg/L)。脑脊液病理检查可见大量红细胞及少量单核细胞、淋巴细胞。入院后查头颅MRI(2015年6月18日;图3)示双侧岛叶、双侧海马FLAIR高信号(较3月前增大)。增强头颅MRI(2015年6月19日;图4)示双侧颞极、双侧海马、双侧岛叶轻度肿胀,伴异常信号,增强后未见明显异常强化。胸片示主动脉硬化,腹部超声示肝胆胰脾未见明显异常。胸部CT、肝胆胰CT未见异常。盆腔CT示双侧附件区点状钙化影,考虑输卵管钙化。泌尿系超声未见明显异常。肌电图提示:右上肢(颈6~8)神经源性损害,重频电刺激未见明显异常。脑电图提示:清醒及睡眠脑电图各导联可见较多散在低中幅不规则慢波,以前头部为著,未见痫样波发放。副肿瘤相关抗体检查:血及脑脊液双份抗Ma2抗体检测,血为阳性(++),脑脊液阴性;抗神经元胞核抗体(Hu-Ri-Yo)、抗塌陷反应调节蛋白5(cV2)抗体、抗双载蛋白(amphiphysin)抗体阴性;N-甲基-D-天冬氨酸(NMDA)受体抗体、谷氨酸α-氨基-3-羟基-5-甲基-4-异
唑丙酸(AMAP)受体抗体、γ-氨基丁酸B(GABAB)受体抗体、富亮氨酸胶质瘤失活1蛋白(LGI1)抗体、接触蛋白相关蛋白2(CASPR2)抗体均阴性,考虑副肿瘤脑炎。给予人免疫球蛋白(0.4 g·kg-1·d-1)20 g每日1次静脉点滴联合甲泼尼龙240 mg每日1次静脉点滴治疗5 d,激素3 d后减半量至停药。患者治疗第3天出现一次癫痫大发作,可自行缓解。住院半个月患者情绪较入院时稳定,错认减少。定向力仍差,不能区分上、下午;不能记得前一晚饭菜及陪伴者;计算困难;思睡、呼之可醒。建议出院后尽快行PET-CT检查查找肿瘤。出院后半个月电话随访:患者精神差,消瘦,多睡,不愿睁眼,能简单对答,进食少,吞咽困难,四肢无力,不能站立及行走;曾再发癫痫大发作1次。出院后1个月余死亡。








LE是指大脑边缘系统所发生的炎症或脑病。边缘叶系统功能与认知、情感及自主神经功能调节有关。患者通常为亚急性起病,主要是在发作前数月渐渐出现认知功能减低,往往不被注意。部分患者通常表现为抑郁或幻觉,这可能被误诊为精神疾病。有的病情可迅速发展,严重者有意识障碍,甚至昏迷等表现。在副肿瘤综合征患者中有2/3在确诊肿瘤之前出现神经系统症状。副肿瘤性脑炎的确诊需要具备临床表现、边缘系统受累的形态学证据、抗体检测阳性及起病后5年内发现肿瘤等条件[3]。抗Ma2和抗Hu抗体在1990年被发现[4],1999年Voltz等[1]首次报道。文献报告抗Ma2抗体阳性LE 50岁以下男性患者多伴睾丸肿瘤,老年人以非小细胞肺癌较常见[1]。近年来有报道:本病可见于胃部肿瘤[5]、宫颈癌[6]、无性细胞瘤[7,8]等。患者血清或脑脊液检出Ma2抗体具有高度的特异性,一旦检出便可确诊。Dalmau等[9]对38例抗Ma2副肿瘤脑炎患者的临床表现进行分析,发现仅有26%患者表现为经典的边缘系统受累的症状,32%累及间脑、上部脑干患者可出现白天多睡,60%可出现眼球垂直注视麻痹。也有报道严重的运动功能减退、帕金森样表现、肌张力障碍综合征、多系统萎缩[5]或低代谢综合征[10];可以出现意识差、失语、不宁腿、视幻觉[7];也有性腺发育不全[8]的报道。文献报道抗Ma2脑炎对于免疫疗法及肿瘤的治疗反应敏感,也是其最突出的方面。1/3患者症状可得到改善,另外20%~40%的患者病情趋于稳定,故强调早期诊断、精准的治疗。本例患者为老年女性,有高血压病史,起病隐袭,从一侧的上肢远端无力起病,逐渐累及下肢,出现记忆、情绪、精神活动异常后病情进展相对较快,而且运动能力下降迅速,出现反复癫痫发作,多睡,进食困难;其影像学病变进行性加重,主要累及边缘系统,血抗Ma2抗体阳性,支持抗Ma2抗体阳性LE的诊断。但该患者病情进展迅速未能行肿瘤的进一步检查及治疗,而单次应用激素及免疫调节治疗效果欠佳。因此认识该病,早期诊断意义尤为重大。





















