
版权归中华医学会所有。
未经授权,不得转载、摘编本刊文章,不得使用本刊的版式设计。
除非特别声明,本刊刊出的所有文章不代表中华医学会和本刊编委会的观点。
后部皮质萎缩(posterior cortical atrophy, PCA)也被称为Benson综合征,由Frank Benson在1988年首先报道,是一种少见的以高级视觉障碍为首发症状的进展性神经变性疾病,最后患者将发展为以视空间和视觉感知障碍、失读、Balint综合征和Gerstmann综合征为主要临床表现。患者发病早期记忆和语言流畅受累不明显,典型的发病年龄在50~65岁,主要影像学特点是后部皮质萎缩和后部皮质代谢减低[1,2,3]。PCA尽管已被认识了20余年,但仍然经常被误诊或漏诊。国内有关PCA的临床及影像学,特别是18F-氟脱氧葡萄糖(FDG)PET和11C-匹兹堡复合物(PIB)PET显像特点的报道极少。现将我们收治的1例PCA患者报道如下,同时对PCA的临床及影像学特点进行总结。
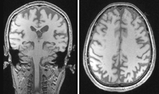
患者女性,57岁,高中学历,退休干部(街道公职人员),主因"视物不清5年,生活能力下降3年"于2014年5月就诊于天津市环湖医院神经内科门诊。患者于52岁时自觉视力下降,表现为用手抓取物体时不能正确判断物体位置,当时就诊于当地医院眼科,考虑"白内障" ,行白内障手术治疗后,自觉症状无缓解。患者于54岁时逐渐出现处理日常事务困难,不知道如何做饭,不会自己买菜,经常把东西放到不适合的地方,放在很近的东西也看不到,收拾东西没有条理,并感上下楼梯时困难,不敢自行过马路,记忆力基本正常,遂就诊于当地医院,未能明确诊断,亦未给予正规治疗。近半年来逐渐出现不会拨打电话,但尚能记住家人的电话,语言理解能力下降,找不到自家家门,伴不爱言谈、表情淡漠等表现。既往史:否认高血压、糖尿病、冠状动脉粥样硬化性心脏病史,否认毒物、药物中毒及外伤史;否认吸烟、饮酒及冶游史;否认脑血管病史等其他病史;无遗传病家族史。体检:血压126/84 mmHg (1 mmHg=0.133 kPa),心、肺、腹体检无异常,意识清楚,反应迟钝,主动言语少,记忆力下降,以近记忆力损害为著。双侧瞳孔等大圆,光反应(+),眼球各方向运动正常,鼻唇沟对称,伸舌居中,四肢肌力Ⅴ级,肌张力正常,腱反射(++),病理征未引出,浅痛觉对称,共济检查基本正常。步态略僵硬,余神经系统体检未见阳性体征。简易精神状态检查(MMSE)评分为15分,其中定向力5/10分,记忆力3/3分,注意力和计算力1/5分,回忆能力0/3分,语言能力6/9分。蒙特利尔认知评估量表(MoCA)评分为10分,其中视空间与执行功能1/5分,命名0/3分,注意力3/6分,语言1/3分,抽象2/2分,延迟回忆0/5分,定向力3/6分。日常生活活动能力量表(ADL)评分为27分。老年性痴呆评定量表-认知分量表评分为26分。神经精神量表患者评估分级评分为2分(情感淡漠),护理者苦恼分级评分为2分。汉密尔顿抑郁量表评分为7分,汉密尔顿焦虑量表评分为4分。临床痴呆评定量表评分为0.5分,波士顿命名评价量表评分为7分,言语流畅性测验评分为10分。眼科检查:视力:左眼0.6,右眼0.6(镜片调节无改善);眼压、眼底检查均正常;视野检查:疑似象限盲。色觉检查中的图形辨别觉下降。复杂图形觉中只能看到其中一部分。相同的文字认读中大字比小字困难。人脸识别能力下降。甲状腺功能、贫血三项(包括维生素B12、叶酸、铁蛋白)、人类免疫缺陷病毒抗体、梅毒抗体、乙型肝炎五项、丙型肝炎、血常规、血生化、尿常规等化验均未见明显异常。头颅MRI示:弥漫性脑萎缩,顶枕叶萎缩较其他脑叶明显(图1)。临床诊断为PCA,给予盐酸多奈哌齐5 mg口服,每日1次。


患者于2014年10月开始出现视幻觉,看见有人用针扎自己和别人,感双手被扎,疼痛、烦躁、激越,易激惹,不认识自己的家,睡眠极差,遂停用盐酸多奈哌齐,改为重酒石酸卡巴拉汀3 mg口服,每日2次治疗,治疗3个月后复查,患者症状有所改善,自觉双手被针扎症状改善,易激惹现象好转,偶尔与爱人主动交流,情绪相对稳定。2015年10月随访,发现患者生活能力进一步下降,ADL评分40分;MMSE评分15分,MoCA评分6分。
患者行18F-FDG PET检查,视觉分析显示该患者大脑皮质示踪剂呈不均匀分布,双侧颞顶枕联合区皮质、左尾状核和左额外侧皮质局灶性代谢减低(图2)。


患者行11C-PIB PET显像,视觉分析显示对照组注射PIB 45 min后,皮质、皮质下核团、脑桥、小脑放射性活性基本上已清除。该患者双侧额顶枕叶、颞叶外侧皮质、扣带回/楔前叶等部位放射性活性清除减慢(图3)。基于体素水平自动化分析显示PCA患者PIB平均摄取值在顶下小叶、颞叶外侧皮质、额中回、前额内侧皮质、枕叶、后扣带回/楔前叶、辅助运动区、颞上回、纹状体均增高。


PCA是指以顶枕叶为主的大脑后部皮质萎缩,主要表现为进行性痴呆合并早期出现的高级视觉相关功能异常[4]。本例患者以视觉障碍为首发症状起病,早期主要表现为视觉失用、视空间障碍,患者曾多次就诊于眼科,并行白内障手术,治疗后症状并无缓解,之后逐渐出现记忆力及执行能力下降等表现。PCA患者是高级视觉障碍为首发症状的进展性神经变性疾病,逐渐发展为以视空间和视觉感知障碍,可出现失读、Balint综合征及Gerstmann综合征表现;PCA患者常以视觉障碍为首发症状,故经常就诊于眼科,而临床医师对该病认识不足,往往导致误诊或漏诊。Crutch等[3]提出了PCA的诊断标准:核心特征包括:①隐性起病并且逐渐进展;②显著的视空间和视觉感知功能障碍而无视力损害;③记忆力和洞察力相对保留,相对较少的记忆和语言流畅性损害;④复杂性视觉功能障碍,如Balint综合征、Gerstmann综合征、视野缺损、环境定向障碍等;⑤无卒中或肿瘤史。其他支持特征包括:老年前期发病、失读、观念运动或穿衣失用、面孔失认等。若在临床工作中遇到视觉障碍的患者,而又难以用眼部疾病解释时,临床医师应考虑到PCA的可能。
PCA在已诊断痴呆的病例中占5%,在新诊断的痴呆病例中约占4%[5]。截至2010年,中国痴呆人数已逾千万,65岁人群痴呆发病率为9.87%[6]。由此推算,我国可能有超过500 000例的PCA患者,且该数量仍在快速增加,但国内有关PCA的神经影像学和神经病理学研究鲜有报道[7]。受限于我国国情,有关PCA的神经病理学研究开展相对困难,但随着18F-FDG PET和11C-PIB PET显像技术的不断发展,神经影像学对PCA的诊断作用日益凸显。本例患者头颅MRI提示顶枕叶萎缩明显,颞叶内侧萎缩不明显,这些表现有利于识别PCA并与典型阿尔茨海默病(Alzheimer′s disease,AD)相区别。但仅有头颅MRI证据是远远不够的,特别是疾病早期阶段,18F-FDG PET和11C-PIB PET通过显示脑代谢及β-淀粉样蛋白(Aβ)沉积,可为临床早期诊断PCA提供结构影像学之外的客观、独立证据[8]。FDG-PET功能成像研究提示PCA患者存在一致的顶枕区及后颞部皮质代谢减低[9]。Whitwell等[10]利用基于像素的形态测量学和质子磁共振波谱分析技术进行对照研究发现,PCA主要累及双侧枕叶、顶叶和颞叶后部,以右侧更明显。本例患者18F-FDG PET呈现较典型的右侧为著的颞顶枕联合区代谢减低,尤以右侧减低明显,与文献报道一致,提示PCA可能以右侧皮质变性为主。根据文献报道,PCA的病因包括AD、路易体痴呆、皮质下胶质细胞增多症、皮质基底节变性等,其中AD是最常见的病因。本例患者11C-PIB PET亦显示额颞顶枕皮质的Aβ沉积,与典型AD患者脑组织Aβ分布无明显差异,但关于PCA和AD患者老年斑和神经原纤维缠结分布的研究结果并不一致,有研究显示PCA和AD患者老年斑和神经原纤维缠结的分布不同[11],提示PCA可能为AD的一种特殊类型。
总之,我们通过对1例PCA患者临床及影像学特点进行分析,希望能够帮助临床医生更好地认识本病,从而避免造成误诊或漏诊。随着对PCA认识的加深,相信会有更多的病例能在早期得到正确的诊断,期待今后能对本病进行更深入的研究。





















