
版权归中华医学会所有。
未经授权,不得转载、摘编本刊文章,不得使用本刊的版式设计。
除非特别声明,本刊刊出的所有文章不代表中华医学会和本刊编委会的观点。
极后区综合征是指无法用其他原因解释的难治性呃逆或恶心和呕吐。极后区又称最后区,位于第四脑室两侧、闩的上方,是呕吐相关的化学感受器激发区。该部位血脑屏障通透性较强,所以才能敏感地感受血中的化学物质变化,而此区的星形胶质细胞富含水通道蛋白4(AQP4)抗原,因此容易成为AQP4抗体损伤的部位。以极后区综合征为首发症状的视神经脊髓炎谱系疾病(NMOSD)合并原发性干燥综合征(PSS)罕见报道,现将我院诊治的1例报道如下。
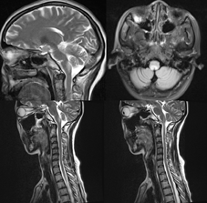
患者女性,39岁,因上腹部不适、恶心呕吐、乏力20余d以"电解质紊乱"于2016年2月24日入住我院内分泌科,在此住院之前因顽固性呕吐曾就诊于当地县医院、某省级三甲医院,曾查过血钾,结果偏低,因此予以止吐、补液、补充电解质等对症治疗,均无效。入院体检:意识清楚,精神差,体检欠合作。皮肤黏膜无黄染及出血点,浅表淋巴结无肿大。眼睑无浮肿。颈软。心肺未闻及异常。腹部平软,无压痛,肝脾未触及。双下肢无水肿。入院诊断:电解质代谢紊乱,经补液、抑酸等治疗无明显好转。入院后第4天出现构音不清、吞咽困难,乏力明显。于2016年3月2日转入我院神经内科进一步治疗。转入体检:意识尚清,精神较差,消瘦,言语不清,双眼视力粗测基本正常,双侧眼球垂直性眼震,咽反射减退,双肺呼吸音粗,无干湿啰音。心律规整,无杂音。右侧肢体肌力减退(Ⅳ级),右侧偏身浅感觉减退。病理征未引出,脑膜刺激征阴性。辅助检查:血常规:白细胞6.93×109/L(正常值3.5~9.5×109/L),血红蛋白125 g/L(正常值115~150 g/L),血小板184×109/L(正常值125~350×109/L);红细胞沉降率37 mm/h(正常值0~20 mm/h);尿常规:外观淡黄色,尿胆原(+),尿酮体(+++),隐血(-),尿蛋白(-),尿糖(+++),尿白细胞(-),尿pH=7.0(正常值4.6~8.0),尿比重1.022(正常值1.003~1.030),病理管型0.3个/μl(正常值0~2个/μl)。碳13呼吸试验示幽门螺杆菌阳性(正常阴性)。血生化:钾2.90 mmol/L(正常值3.5~5.3 mmol/L),钠133.5 mmol/L(正常值137~147 mmol/L),氯100.7 mmol/L(正常值99~110 mmol/L),钙2.40 mmol/L(正常值2.03~2.54 mmol/L),磷1.57 mmol/L(正常值0.9~1.34 mmol/L),阴离子间隙20.09 mmol/L(正常值8~16 mmol/L),CO2 16.2 mmol/L(正常值22~29 mmol/L),血尿素氮5.82 mmol/L(正常值2.9~8.2 mmol/L),肌酐48.6 μmol/L(正常值53~97 μmol/L),尿酸185.7 μmol/L(正常值155~357 μmol/L),血糖5.74 mmol/L(正常值3.9~6.1 mmol/L),天门氨酸氨基转移酶15.1 U/L(正常值15~40 U/L),丙氨酸氨基转移酶24.9 U/L(正常值9~50 U/L),乳酸脱氢酶107.0 U/L(正常值109~145 U/L),肌酸激酶12.1 U/L(正常值38.0~174.0 U/L);补体C3 1.11g/L(正常值0.9~1.8 g/L),补体C4 0.27 g/L(正常值0.10~0.40 g/L)。血免疫球蛋白IgA 1.90 g/L(正常值0.7~4.0 g/L),IgM 1.14 g/L(正常值0.4~2.3 g/L),IgG 17.70 g/L (正常值7~16 g/L)。血促肾上腺皮质激素11.0 pg/ml(正常值0~46 pg/ml)。抗心磷脂抗体、抗核糖体P蛋白抗体、抗组氨酰tRNA抗体、抗DNA拓扑异构酶抗体、抗PM-Scl抗体、抗M2抗体、抗着丝点抗体、抗核小体抗体均(-),抗干燥综合征(SS)-A抗体(+),抗SS-B抗体(-),抗增殖细胞核抗原(-),抗smith抗体(-),抗RO-52抗体阳性,抗组蛋白抗体(-),抗胞质型、核周型抗中性粒细胞胞质抗体均(-),抗核抗体1∶320(+),抗dsDNA抗体(-);感染六项筛查均(-);TB-IgG(-);自身免疫性周围神经病系列抗体(-),自身免疫性脑炎系列抗体(-),血AQP4抗体(+)(间接免疫荧光法)。甲状腺功能正常。血肿瘤标志物检测正常。腰椎穿刺压力140 mmH2O(1 mmH2O=0.009 8 kPa),外观清晰无色,白细胞数2×106/L,脑脊液糖3.62 mmol/L,氯化物124.4 mmol/L,蛋白0.256 g/L,脑脊液IgG 0.025 g/L,细胞学示淋巴细胞反应,未查见隐球菌及抗酸杆菌。追问病史有口干半年余,请风湿免疫科会诊,行唇腺活体组织检查为淋巴细胞浸润。肝胆胰脾、子宫附件、泌尿系统超声未见异常,心电图正常,双肺CT平扫:右肺上叶尖后段支气管扩张并感染,双肺下叶感染性病变。腹部平卧位片未见梗阻或穿孔。颈椎MRI示颈髓内未见明显异常信号;脑MRI示延髓区背侧见片状长T1长T2信号,边界欠清,T2 FLAIR及DWI像呈高信号(图1)。脑MRA示右侧椎动脉短细并止于小脑后下动脉,未见明显异常。


转入后予大剂量丙种球蛋白冲击治疗5 d,中等剂量的甲泼尼龙(160 mg/d)治疗,恶心、呕吐症状稍有好转,于2016年3月17日自动出院去北京某医院诊治,在北京某医院诊断为PSS、NMOSD,给予甲泼尼龙、环磷酰胺等治疗后明显好转,出院后一直口服小剂量甲泼尼龙、环磷酰胺维持,吞咽、言语等好转,生活自理,行走自如,1年后来我院复诊时病情持续稳定,复查全脊髓MRI并强化未见异常信号,复查SSA抗体、抗RO-52抗体、抗核抗体仍阳性。
2015年发布的NMOSD诊断标准里面将极后区综合征列入NMOSD的6大核心症状之一,该诊断标准最主要的特点是,当血清AQP4抗体阳性的时候,只要有一项临床核心症状,且排除其他疾病,就可以诊断为NMOSD[1]。另外,来自梅奥诊所神经科的一项研究表明,当极后区的病变合并难治性恶心、呕吐(极后区综合征)时,则极后区综合征对AQP4抗体阳性的NMOSD的诊断高度特异[2]。本例与此相符,以极后区综合征为首发的NMOSD临床并不少见,但合并PSS者罕见有报道。
当颅脑MRI出现孤立性脑干病变时,需要鉴别的诊断包括NMOSD、PSS、系统性红斑狼疮(SLE)、肿瘤、结节病、Behcet病等,PSS等结缔组织病可合并NMOSD。本例患者前后2次(相隔1年)查SSA抗体、抗RO-52抗体、ANA抗体均阳性,既往有口干症状半年余,唇腺病理活体组织检查为淋巴细胞浸润,符合2002年制定的干燥综合征国际诊断标准,诊断为PSS无疑。另外,目前NMOSD与PSS、SLE等自身免疫性疾病是并存还是后者的并发症,尚存在争论,但多数认为神经系统症状、体征源于伴发的NMOSD,并非由于SLE或PSS的并发症如血管炎所致[3]。临床上部分PSS确实存在中枢神经系统血管炎,这类患者可以诊断为PSS,但是部分PSS患者脑、脊髓MRI特征不符合血管炎性病变而类似脱髓鞘、肿瘤样病变,且用激素治疗效果佳[4],这正支持NMOSD、PSS并存的观点。本例各项检查等可以排除血管炎,通过本例的发病及诊疗过程分析,支持PSS与NMOSD并存。推测NMOSD、PSS可能存在相似的免疫介导的致病路径或未尚发现的自身免疫性抗体,发病机制有待进一步深入研究。
对合并PSS的NMOSD患者有学者主张应用环磷酰胺治疗[5],本例患者应用大剂量免疫球蛋白、激素等效果一般,而合并用环磷酰胺后有明显效果,且小剂量激素、环磷酰胺口服维持1年无复发,说明仅仅靠免疫球蛋白和激素难以控制病情。这是否与合并PSS有关或是极后区综合征的临床特点,需进一步研究。这是否可以说明小剂量激素、环磷酰胺维持能有效地抑制伴有PSS的NMOSD活动,也需要更多的病例观察。据有关报道推荐应用新型的免疫抑制剂利多昔单抗[6],本例需进一步随访观察,必要时加用利多昔单抗。
本例首发症状为顽固性恶心、呕吐,就诊于各级医院大内科,呕吐曾长达近1个月,并发了严重的电解质紊乱、肾小管性酸中毒,处于衰竭状态,出现神经系统损害症状时才转入神经内科,方得以确诊。提示我们要加强对极后区综合征的认识,加强对合并干燥综合征的NMOSD的全面认识,减少漏诊、误诊及提高疗效。





















