
版权归中华医学会所有。
未经授权,不得转载、摘编本刊文章,不得使用本刊的版式设计。
除非特别声明,本刊刊出的所有文章不代表中华医学会和本刊编委会的观点。
钙化伴囊变的脑白质病(1eukoencephalopathy with cerebral calcifications and cysts, LCC)是以影像学表现为脑白质变性、钙化、囊性变为突出特征的临床综合征。LCC于1996年由Labrune等[1]最早报道,之后世界各国均有散在报道。近年来我院诊治2例LCC,现报道如下。
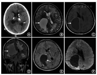
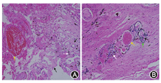
例1 患者女性,35岁,主因"发现颅内占位10年"于2015年5月19日来我院就诊。患者于10年前自觉左侧肢体无力,在当地医院查头颅CT及MRI提示:右颞顶巨大囊性占位,双侧基底节区多发钙化,于当地医院行颞顶占位切除术,术后分别在当地医院、首都医科大学宣武医院、首都医科大学附属北京天坛医院行病理学检查,结果未能明确病变性质,术后未再进行其他治疗,症状好转。5年前复查头颅MRI提示:右枕、左额、左枕分别出现长T1、长T2信号病变,双侧基底节区多钙化,仍无不适主诉,未进一步治疗。5个月前出现间断性周身乏力,复查头颅MRI提示:右枕部占位性病变明显增大,周围组织压迫明显,强化不明显。本次为手术入院。既往史:体健。无家族遗传史。神经科体检无阳性定位体征。眼底检查未见异常。头颅CT:双侧底节区可见钙化灶,双侧脑白质低密度灶。头颅MRI:左侧额叶、右顶叶可见多发囊状长T1、长T2信号,部分边缘可见结节样等T1、稍短T2信号,双侧基底节区可见散发点片状稍短T1、稍短T2信号,周边可见大片稍长T1、稍长T2信号,DWI见囊内稍受限信号,增强扫描可见多发结节样、条状及环形强化(图1)。右侧侧脑室受压,中线结构向左侧移位。病理检查:血管瘤样增生,可见充血、出血,血管间隙可见含铁血红素;血管变性充血,周围可见铁环(图2)。




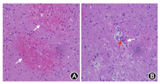
例2 患者女性,20岁,主因"头痛2周"于2015年9月3日入我院。患者2周前出现头痛,双侧额、颞部胀痛,视觉模拟量表(Visual Analogue Scale,VAS)评分为5~6分,每次疼痛持续3~4 min,每半小时发作1次,1 d约头痛30~40次,站立时加重,卧位后略有减轻。头痛进行性加重,2 d前头痛难以忍受,VAS评分达10分,恶心、呕吐,为非喷射状呕吐。当地医院行头颅CT检查可见"左侧半球内有类圆形占位,密度不均,周围伴有广泛水肿,中线结构移位;右侧半球内可见囊性病变,双侧底节区不对称钙化。予以甘露醇脱水降颅压治疗,症状稍缓解。1 d前行头颅MRI+增强:左侧额颞叶皮质下有类圆形占位,内可看到短T1、长T2的不均匀混杂信号,DWI内高信号,增强可见环形及不均匀强化,周围明显水肿,右侧半球内可见囊性病变。为进一步治疗,转入我院住院治疗。既往史:间断额颞部头痛病史5年,呈胀痛,VAS评分3分,每次疼约半小时,1年发作3~4次。4岁时有头部外伤史,未遗留后遗症。无家族遗传病史。体检:意识清楚,计算力86-7=?,双侧肢体腱反射活跃,双侧霍夫曼征阳性,双侧查多克征阳性,口轮匝肌反射阳性,余均正常。眼底检查未见异常。头颅CT示双侧底节区多发钙化灶,脑白质低密度灶;头颅MRI示左侧额叶、右侧顶叶囊性占位,囊内呈长T2、长T1信号,FLAIR高信号,DWI示左侧额叶呈块状弥散受限;囊壁有环形强化,局部结节状强化;磁敏感加权成像示囊内有出血,双侧脑白质内有散在出血小灶;灌注扫描示脑白质变性和囊肿区低灌注;波谱分析示囊壁强化区胆碱峰不高(图3)。病理结果:可见出血区及血管纤维素样变性扩张,周围组织结构疏松(图4)。




LCC属于罕见病。自1996年由Labrune等[1]报道以来,全世界仅发现约30余例[2]。由文献复习发现该病无明显家族聚集性,无民族及性别倾向性,各年龄段均有发病,以中青年多见[2]。
LCC一般隐袭起病,缓慢加重,临床症状与发病部位有关,一般影像改变重于临床[2,3]。本文2例患者早期均没有明显临床表现,例1在检查中发现颅内多发病变,10年后颅内病变持续增多增大,但仍无明显临床体征;例2发现时颅内已有多发病变,而临床症状仅仅表现为头痛。
LCC的影像学改变主要是双侧底节区多发钙化灶、双侧脑白质变性和囊肿形成[1];临床上,LCC主要通过影像特征诊断,本文2例均有双侧底节区钙化伴双侧脑白质变性和囊肿形成,囊壁有不均匀性结节样强化。本文例2灌注扫描和波谱分析发现病变区域呈低灌注改变,且非增殖性改变,说明LCC主要以脑组织变性坏死钙化和囊肿形成为主。Caots Plus综合征也有类似LCC的头颅影像学改变,但一般Caots Plus综合征会有CTC1基因和眼底改变[4,5]。
LCC典型病理改变主要在囊性病变囊壁及周围。本文例1在第1次手术治疗后未见典型病理改变,难以明确诊断;例2经立体定向取活体组织检查未见明确典型病理病变,可能因为未取到囊壁及周围。本文例1病理改变为小血管呈瘤样增生,血管壁呈纤维素样变性,周围有出血和钙化、铁沉积。例2可能取到脑白质变性区,主要可见脑白质疏松,局部有坏死。结合文献报道及例1病理结果,LCC属于小血管病变,其病变后导致局部缺血、缺氧症状,并产生脑组织变性,局部有钙化灶和囊肿形成[1,6,7]。
LCC是一种特殊类型小血管病,发病缓慢,有典型的影像学改变,头颅CT、MRI、波谱分析可作为诊断的重要依据。
无





















