
分析我科诊治的1例以神经系统病变为首发及主要临床表现的新疆哈萨克族青少年C型尼曼-匹克病(NPC)的临床资料及基因结果,结合国内外文献复习并总结。患者临床主要表现为行走不稳,频繁跌倒,病情缓慢进展,致独立行走困难,并出现肢体及面部不自主运动、注意力无法集中和构音障碍等。头颅MRI提示双侧侧脑室后角旁异常信号。腹部超声脾大。骨髓涂片可见尼曼-匹克细胞及海蓝组织细胞。患者基因测序结果为NPC1基因外显子23有1个纯合突变c.3493G>A(p.V1165M),为错义突变;患者父亲及母亲行Sanger一代测序验证,发现均携带该致病突变。NPC是一种罕见的常染色体隐性遗传的溶酶体贮积症,临床症状不具特异性。对于青少年出现共济失调、肌张力障碍或精神症状患者,存在孤立性的脾肿大且没有肝脏疾病时需高度怀疑NPC。
版权归中华医学会所有。
未经授权,不得转载、摘编本刊文章,不得使用本刊的版式设计。
除非特别声明,本刊刊出的所有文章不代表中华医学会和本刊编委会的观点。
C型尼曼-匹克病(Niemann-Pick disease type C,NPC)是一种罕见的常染色体隐性遗传的溶酶体贮积症,患者由于NPC1和NPC2基因突变(分别占95%和4%)使细胞内脂质转运障碍,导致大量游离胆固醇和鞘脂类沉积在溶酶体和晚期内涵体中,从而引起肝、脾、脑等多脏器病变[1,2]。国外最新统计表明NPC1和NPC2发病率分别为1/92 104和1/2 858 998[3],亚洲发病率最低,国内尚无相关数据统计,检索万方及PubMed数据库国内NPC报道例数仅为43例[4,5,6,7,8,9,10,11,12,13,14,15,16]。我们报道了1例以神经系统病变为首发及主要临床表现,骨髓涂片发现尼曼-匹克细胞,经基因检测确认的新疆哈萨克族青少年NPC1病例,以加强临床对本病的认识。
患者男性,19岁,哈萨克族人,因"进行性行走困难9年,加重伴构音障碍3年"于2017年4月就诊于新疆医科大学第一附属医院神经内科。患者10岁时无明显诱因下出现右下肢行走拖沓,行走不稳,频繁跌倒。14岁时独立行走困难需搀扶物体,伴肢体及面部不自主运动,注意力无法集中,故退学。16岁时出现构音障碍,表现为语速减慢、语量减少。于2014年5月至我科就诊,完善相关检查:微量元素铜11.35 μmol/L↓,铜蓝蛋白195 mg/L(正常值220~580 mg/L),腹部超声:脾大(长径约14.1 cm,厚径约4.1 cm)。裂隙灯下角膜检查未见K-F环。头颅MRI未见明显异常。因患者病情疑难复杂,申请疆外远程会诊,经会诊后诊断"变异性肌张力障碍可能性大;肝豆状核变性不除外",治疗上给予B族维生素、多巴丝肼、盐酸苯海索等对症治疗。患者自觉肢体不自主运动有所改善,故自行停药。后上述症状进行性加重,行走不能,只可表达单字并出现吞咽困难、饮水呛咳,日常生活不能自理故再次至我科就诊。自发病以来食欲减退,体重下降8 kg,睡眠较差。出生史及个人史无特殊,父母非近亲结婚,否认家族遗传性病史,兄弟姐妹3人未见类似表现(家系图谱见图1)。体格检查:双肺呼吸音清,未闻及干湿性啰音;心律齐,各瓣膜区未闻及杂音;肝肋下未及,脾肿大肋下2 cm,质地硬。神经科体检:意识清楚,构音障碍,轮椅推入病房,体检不合作。双侧瞳孔等大等圆,对光反射灵敏,双侧眼球运动正常,角膜反射正常,无复视及眼震,双侧鼻唇沟对称,伸舌居中,咽反射存在,四肢肌肉形态正常,肢体及面部不自主运动,四肢肌张力增高,四肢近端肌力Ⅳ级,远端Ⅲ级,四肢腱反射活跃,病理征阴性,感觉及共济运动体检均不合作。初步诊断:变异性肌张力障碍可能性大。


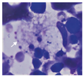
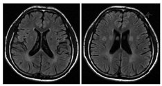
辅助检查:血、尿、粪常规,凝血功能、铜蓝蛋白和结缔组织未见异常;生化:甘油三酯1.07 mmol/L(正常值0.56~1.70 mmol/L),低密度脂蛋白1.56 mmol/L(正常值2.7~3.1 mmol/L),高密度脂蛋白1.21 mmol/L(1.16~1.55 mmol/L),总胆红素4.7 μmol/L(正常值5.5~27.5 μmol/L),直接胆红素1.92 μmol/L(正常值0~8.60 μmol/L),非结合胆红素2.78 μmol/L(正常值5.50~18.90 μmol/L),天冬氨酸氨基转移酶26.6 U/L(正常值15.0~40.0 U/L),丙氨酸氨基转移酶22.7 U/L(正常值9.0~50.0 U/L),碱性磷酸酶91 U/L(正常值45~125 U/L),肾功能、电解质均正常。头颅MRI提示双侧侧脑室后角旁异常信号,考虑脑白质变性疾病可能性大(图2)。腹部超声:脾大(长径约14.6 cm,厚径约4.5 cm)。骨髓涂片结果:粒系增生明显涂片中可见尼曼-匹克细胞及海蓝组织细胞(图3)。因患者不能配合,未完成MMSE、蒙特利尔认知评估量表(MoCA)等相关量表评估认知功能。结合患者临床表现、辅助检查提示多系统病变以及知情同意下的骨髓穿刺结果,临床疑诊"尼曼-匹克病",经患者家属同意后将该家系行基因检测(图4):患者基因测序结果为NPC1基因外显子23有1个纯合突变c.3493G>A(p.V1165M),为错义突变;患者父亲及母亲进行Sanger一代测序验证,发现其父亲及母亲均携带该致病突变;对患者哥哥及姐姐进行验证,均未携带该致病突变。治疗上给予美多巴、盐酸苯海索、营养神经等对症治疗。患者依从性差,服药1周后再次自行停药。于2017年7月因进行性睡眠障碍,左前胫骨疼痛,严重影响患者生活第3次就诊我科。专科体检:双侧眼球垂直及水平活动受限,余体检结果同2017年4月。辅助检查:血常规未见明显异常;生化:甘油三酯0.72 mmol/L(0.56~1.70 mmol/L),低密度脂蛋白1.44 mmol/L(正常值2.70~3.10 mmol/L),高密度脂蛋白1.56 mmol/L(正常值1.16~1.55 mmol/L),总胆红素3.9 μmol/L(正常值5.5~27.5 μmol/L),直接胆红素2.9 μmol/L(正常值0~8.6 μmol/L),非结合胆红素1.0 μmol/L(5.5~18.9 μmol/L),天冬氨酸氨基转移酶49.4(U/L正常值15.0~40.0 U/L),丙氨酸氨基转移酶55.3 U/L(正常值9.0~50.0 U/L),碱性磷酸酶106.0 U/L(正常值45.0~125 U/L),肌酸激酶459 IU/L(正常值50~310 IU/L),肌酸激酶同工酶30.9 IU/L(正常值0~250.0 IU/L)。左侧胫腓骨正侧位片:左侧胫腓骨骨质结构未见明确异常。继续给予药物对症治疗。电话随访发现患者在出院1周后死亡。






尼曼-匹克病(Niemann-Pick disease,NPD)是由德国医生Niemann于1914年首次描述[17],几年后Pick在疾病分类学中对该病进行了详细阐述[18]。文献报道NPC病变主要导致内脏、神经系统和精神病变。内脏病变表现为新生儿胆汁淤积性黄疸、肝脾肿大或孤立性的脾大,数据显示大约15%的患者不存在肝脾肿大[19]。但在神经退行性疾病或精神病患者中,存在孤立性的脾肿大且没有肝脏疾病时需高度怀疑NPC[1]。神经系统症状表现为婴幼儿期语言、运动、智力发育延迟;小脑体征(步态障碍、共济失调,辨距不良,轮替运动障碍,构音障碍,吞咽困难),垂直性核上性眼跳麻痹(vertical supranuclear saccade palsy,VSSP)是NPC患者最具特征性和具高度敏感性的症状之一[3]。对于出现局灶性特发性肌张力障碍或肌张力障碍伴随VSSP、认知衰退或精神障碍的患者应考虑到潜在的NPC可能[3]。现NPD根据临床表现分为5型:A型(急性神经型或婴儿型);B型(慢性非神经型或内脏型);C型(慢性神经型或幼年型);D型(Nova-Scotia型);E型(成年人非神经型)。
本家系中的先证者青少年起病,缓慢进展,进行性加重。起初表现为步态不稳、共济失调、轻度肌张力障碍,孤立性脾大,伴随患者病程进展,上述症状进行性加重,逐渐出现垂直性核上性眼肌麻痹等临床表现。根据患者临床特征符合NPC。因该病在我国相对少见,临床表现不典型且临床工作者对该病认识不足,导致诊断延误。
本研究患者在疾病早期发现存在脂质代谢异常,在骨髓穿刺中找到尼曼匹克细胞,这与报道称早期可以通过血生化检查初步评估以及骨髓穿刺找到尼曼匹克细胞(泡沫细胞)和(或)海蓝组织细胞为NPC的组织学特征之一相一致[1,20]。对先证者及家属行基因检测发现18号染色体外显子23发生纯合突变c.3493G>A(p.V1165M),其父母均为携带者。
根据国外相关报道,该病存在明显的地域差异及种族差异性。p.I1061T是西欧血统NPC1最常见的突变位点,在西班牙裔人种中发病率最高,且通常与青少年临床表型相关[21];然而,关于意大利患者的研究发现该突变位点仅占NPC1的4.7%[22]。这种差异性可能与奠基者效应及遗传漂移有关[23]。国内Xiong等[14]和Yang等[15]报道NPC1出现频率较高位点是p.V1212L,提示它可能是我国最常见的突变位点。本研究中患者c.3493G>A(编码区第3493号核苷酸由鸟嘌呤变异为腺嘌呤),导致氨基酸改变p.V1165M(第1165号氨基酸由缬氨酸变异为甲硫氨酸),为错义突变。该位点变异不是NPC1国内外常见的突变位点。但是该位点分别被Sun等[24]和Raul等[25]报道过,区别在于前两者报道分别为美国人及墨西哥人,均为杂合突变,本研究为纯合突变。本研究患者发病年龄与Raul等[25]报道相一致,但临床表现更典型且病程进展更快。这与Xiong等[14]和Millat等[21]研究发现纯合状态下的突变等位基因可能与经典表型相关,可能与较严重的神经系统症状有关相一致。
本研究患者为哈萨克族,国内目前尚无对少数民族患者NPC1的相关报道,虽然患者父母非近亲结婚,但因世代居住在新疆,均为该突变位点携带者,尚不能排除血缘关系较近易发生突变的可能。是否存在明确的民族差异,以及民族差异性在该基因变异中所占比重目前尚不能明确说明。但通过该病例及相关文献的复习,提示我们对于青少年出现共济失调、肌张力障碍或精神症状患者中,存在孤立性的脾肿大且没有肝脏疾病时需高度怀疑C型尼曼-匹克病的可能。
无
None declared





















