
脂肪沉积性肌病(LSM)是一组以脂肪在肌纤维内异常聚集为主要肌肉病理改变的病因异质性疾病。LSM在中国人群中相对常见,经肌肉活体组织检查(活检)证实的脂质沉积下肌病占肌肉活检总数的3%~5%。LSM的病理机制是肌肉组织内脂肪酸氧化代谢障碍。中国人的LSM主要由晚发型多酰基脂酰辅酶A脱氢缺陷(MADD)引起,其分子病理缺陷是电子转运黄素蛋白脱氢酶基因突变。ETFDH c.250G>A是中国南方最为常见的突变,c.770A>G和c.1227A>C在北方和南方均常见。几乎所有的晚发型MADD对核黄素治疗均有明显疗效。在中国,LSM的第二个较为常见的病因是中性脂肪沉积病伴肌病,由编码甘油三酯脂酶的PNPLA2基因突变导致。远端肌群受累和不对称的肌萎缩、肌无力可能提示本病的诊断。少数肉碱转运障碍和其他酰基肉碱脱氢酶缺陷的患者也有可能表现为LSM。某些类型的线粒体病,如线粒体DNA缺失综合征和线粒体脑肌病伴乳酸血症和卒中样发作综合征可能有继发的肌纤维内脂肪聚集。一些皮肌炎和接受激素治疗的患者,肌肉活检可见不同程度的脂肪增多。
版权归中华医学会所有。
未经授权,不得转载、摘编本刊文章,不得使用本刊的版式设计。
除非特别声明,本刊刊出的所有文章不代表中华医学会和本刊编委会的观点。
脂肪是人体所需能量的主要来源。肝脏的脂肪不完全氧化生成的酮体,是所有组织的重要供能辅助燃料,对脑组织尤为重要。脂肪酸是骨骼肌及心肌的主要供能燃料。在安静状态、日常活动和低至中等强度的持续运动状态下,脂肪代谢耗氧量占人体全部耗氧量的30%~60%。此外,禁食状态下脂肪代谢的中间产物、还原当量以及所产生的三磷酸腺苷(ATP)对于糖原异生和尿素合成以及维持禁食时的内环境稳态都具有重要作用[1,2]。骨骼肌、心肌和肝脏有很高的能量消耗,需要高效率的脂肪氧化。脂肪氧化代谢障碍时,一方面,由于细胞能量不足和中间代谢产物蓄积,导致细胞损伤和功能异常,如肌无力、运动不耐受、扩张性心肌病等。另一方面,过多的脂肪在组织内沉积也可导致组织破坏,如脂肪沉积性肌病(lipid storage myopathy,LSM)、脂肪肝和肥厚性心肌病。
人体内的脂肪即甘油三酯,储存在脂肪细胞中或脂肪细胞以外的其他组织细胞的胞质内。人体根据能量的需求状态,通过释放胰高血糖素、肾上腺素和去甲肾上腺素等脂解激素,依次激活腺苷环化酶(adenylate cyclase)、蛋白激酶A(protein kinase A),后者使脂周素-1(perilipin-1)磷酸化并与CG1-58分离,CG1-58与脂肪甘油三酯脂酶(adipose triglyceride lipase,ATGL)结合并激活ATGL。ATGL首先将甘油三酯分解为甘油二酯并释放出1个游离脂肪酸,甘油二酯在激素敏感性脂酶(hormone-sensitive lipase)的作用下进一步水解为甘油一酯和脂肪酸,甘油一酯在单甘油脂酶(monoglyceride lipase)的作用下分解为甘油并释出最后一个脂肪酸(图1)[1,2]。


AC:腺苷酸环化酶;PKA:蛋白激酶A;Perilipin-Ⅰ:脂周素-Ⅰ;CGI-58:comparative gene identification-58;ATGL:脂肪甘油三酯脂酶;HSL:激素敏感性脂肪酶;MGL:单甘油酯脂肪酶;TAG:甘油三酯;DAG:甘油二酯;MAG:甘油一酯;FFA:游离脂肪酸;FAT/CD36:脂肪酸转位酶;FATP:脂肪酸转运蛋白;FABPpm:质膜脂肪酸结合蛋白;OCTN2:有机阳离子转运蛋白;CoA:辅酶A;CACT:肉碱脂酰肉碱转位酶;CPT1/2:肉碱脂酰转移酶1/2;VLCAD:极长链酰基辅酶A脱氢酶;MCAD:中链酰基辅酶A脱氢酶;SCAD:短链酰基辅酶A脱氢酶;MTP:线粒体三功能蛋白;LCEH:长链烯酰基辅酶A脱氢酶;LCHAD:长链羟酯酰辅酶A脱氢酶;LCKAT:长链-β-酮硫解酶;Crotonase:烯酰水合酶;SCHAD:短链羟酯酰辅酶A脱氢酶;MCKAT:中链-β-酮硫解酶;FAD:黄素腺嘌呤二核苷酸;FADH2:还原型黄素二核苷酸;ETF:电子转运黄素蛋白;ETF-QO:电子转运黄素蛋白脱氢酶;图2同
被释放入血的游离脂肪酸与白蛋白结合后转运至目标组织的细胞外间隙,细胞表面的脂肪酸转运蛋白(fatty acid transport proteins)再将游离脂肪酸转运至细胞内进行β氧化(图1)。
脂肪酸的β氧化在线粒体内进行。脂肪酸进入细胞质后,首先在脂酰辅酶A合成酶(fatty acyl-coenzyme A synthetase)的作用下合成脂酰辅酶A,后者通过线粒体内外膜上的酶促反应和肉碱的介导转至线粒体内。参加酶促反应的酶包括肉碱棕榈酰基转移酶1(CPT-Ⅰ),肉碱棕榈酰基转移酶2(CTP-Ⅱ)和肉碱脂酰肉碱转位酶。脂肪酸以脂酰辅酶A的形式进入线粒体基质后,在线粒体基质中多种酶的催化下进行β氧化,这些酶包括极长链脂酰辅酶A脱氢酶(VLCAD)、中链脂酰辅酶A脱氢酶(MCAD)、短链脂酰辅酶A脱氢酶(SCAD)和三功能酶复合体。经过脱氢、加水、再脱氢、硫解4步连续反应,脂酰辅酶A的脂酰基断裂生成1分子比原来少2个碳原子的脂酰辅酶A及1分子乙酰辅酶A。如此周而复始,脂肪酸经β氧化生成大量乙酰辅酶A,进入三羧酸循环彻底氧化,为细胞生存提供所需的能量。每一次酰基辅酶A脱氢酶反应还伴随产生2个电子,后者被传送给电子转运黄素蛋白(ETF),最后通过ETF脱氢酶传送给辅酶Q进入线粒体呼吸链,参与线粒体的氧化磷酸化反应(图1)[2]。
人体脂肪酸代谢障碍可以发生在整个机体,LSM是脂肪代谢障碍通路中的遗传缺陷导致的以肌纤维内脂肪累积为主要病理改变的一组肌肉疾病。某些线粒体病如TK2基因突变、mtDNA3243突变[线粒体脑肌病伴乳酸血症和卒中样发作(MELAS)],长期使用糖皮质激素,部分未经治疗的皮肌炎患者也可见继发性肌纤维内脂肪含量增多,这些非原发于脂肪酸代谢途径缺陷导致的肌纤维内脂肪沉积,不属于LSM的范畴。反之,有些类型的脂肪酸代谢障碍虽可累及骨骼肌,导致肌无力、运动不耐受和发作性横纹肌溶解症,但肌纤维内没有或极少有脂肪沉积,主要见于CTP-Ⅱ缺陷、VLCAD缺陷、肉碱转运缺陷(CTD)、SCAD缺陷、MCAD缺陷、三功能蛋白缺陷等。
我国上海交通大学附属新华医院对2002—2012年间来自全国99家医院的18 303例拟诊为遗传代谢病患者的串联质谱和气相色谱分析结果进行了总结,发现脂肪酸氧化障碍患者147例,占全部确诊遗传代谢障碍疾病的13%,按发病率高低依次为多酰基辅酶A脱氢缺陷(MADD;53.7%)、CTD(19%)、VLCAD缺陷(12%)、SCAD缺陷(8.8%)、MCAD缺陷(2%)、CPT-Ⅰ缺陷(2%)、CPT-Ⅱ缺陷(2%)[3]。
LSM在中国人群中的确切发病率目前尚无报道,但根据国内各大肌病中心统计的数字显示,经肌肉活体组织检查(活检)证实的LSM约占肌肉活检总例数的3%~5%,明显高于欧美及亚洲邻国(日本约为0.5%)。LSM的主要病因是晚发型MADD、中性脂肪累积病伴肌病(neutral lipid storage disease with myopathy,NLSDM)和原发性肉碱缺乏(肉碱转运障碍)。中国人的LSM的病因主要是前两者[4]。
MADD又称戊二酸尿症Ⅱ型(glutaricaciduria type Ⅱ GAⅡ),是一种以反复发作性非酮症或低酮症性低血糖、代谢性酸中毒、轻度高氨血症以及LSM为特征的常染色体隐性遗传的代谢综合征,该病涉及多种物质如脂肪酸、氨基酸和胆碱代谢紊乱。在线粒体脂肪酸β氧化和氨基酸代谢的过程中,需要多种不同的酰基辅酶A脱氢酶在脱氢阶段催化多种硫酯酰辅酶A生成相应的烯脂酰辅酶A,这些酶都需要黄素腺嘌呤二核甘酸(flavin adenine dinucleotide,FAD)作为辅基来传递电子。电子转运黄素蛋白(electron transfer flavoprotein,ETF)和电子转运黄素蛋白脱氢酶(electron transfer flavoprotein dehydrogenase,ETF:QO)是该类脱氢反应的共同电子受体。在ETF:QO的作用下,每一次酰基辅酶A脱氢反应产生的2个电子都经过FAD-ETF-ETF:QO传递给辅酶Q10,进入呼吸链,最终与氧结合生成ATP和水。在MADD患者的线粒体中,由于编码ETF:QO蛋白的电子转运黄素蛋白脱氢酶(ETFDH)基因、编码ETF蛋白的ETFA、ETFB基因以及与合成、转运FAD有关的FLAD1、SLC25A32、SLC52A1基因突变,导致上述酰基辅酶A脱氢酶向呼吸链传递电子的过程发生障碍,使多种脱氢反应受损,因此称为多酰基辅酶A脱氢缺陷(图2)。由于上述酶蛋白本身是正常的,只是由于下游电子传递障碍导致脱氢过程受阻,因此称为多酰基辅酶A脱氢缺陷而非脱氢酶缺陷。脱氢过程受阻导致底物和中间产物在体内大量积聚,血中出现各种长度的脂酰肉碱,尿中检测出多种有机酸,肝脏和肌纤维内无法代谢的脂肪滴大量积聚。


在我国约98%晚发型MADD患者由ETFDH基因突变所致,大部分为点突变,少部分为缺失/插入突变和剪切突变。我国东南沿海地区(上海、福建、中国香港和中国台湾等)的热点突变为c.250G>A,其发生频率为36.5%,其中福建和中国台湾地区达80%,且多为纯合突变。而在中国北方地区c.250G>A的发生频率不足5%。c.770A>G和c.1227A>C在北方和南方均较常见,总的发生频率分别为10.5%和7.8%。MADD也可以多系统受累,欧洲报道的ETFDH基因突变导致的MADD患者多伴有发作性脑病,磁共振T2加权像可见脑白质和胼胝体压部散在高信号。我国的晚发型MADD多不伴有中枢神经系统受累。约20%的患者可有不同程度的脂肪肝。部分患者可合并远端感觉性周围神经病[5]。
新生儿型MADD主要表现为代谢综合征和中枢系统受累症状,病情危重,多于新生儿早期死亡,表现为肌无力和肌张力低下,但肌肉内一般无脂肪沉积。新生儿型MADD多由ETFA/B突变所致。晚发型患者根据发病年龄的不同,临床表型也有变化。婴幼儿发病的MADD主要表现为间歇性低血糖、高氨血症和代谢性酸中毒、发作性脑病等代谢危象,仅少数患者可有肌肉内脂质沉积。年长儿童、青少年和成人起病的MADD代谢危象的发生频率逐渐减少,主要表现为肌肉无力和运动不耐受,肌肉病理多呈现典型的LSM改变[6]。
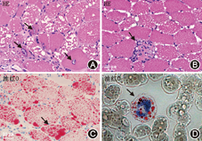
晚发型MADD肌肉活检常呈现典型的LSM病理改变。HE染色可见肌纤维内散在的细小圆形空泡(图3A),病情严重者可见融合的不规则大空泡,肌纤维呈破碎样外观,坏死和再生纤维罕见。改良格莫瑞三色染色可见较多散在的均匀红染纤维,偶见典型的不整红边纤维(图3B)。油红O染色显示肌纤维内的空泡为脂肪滴,以Ⅰ型肌纤维为主(图3C)。半数左右患者琥珀酸脱氢酶染色可见酶活性弥漫性减低(图3D)。COX染色大致正常,PAS染色示肌纤维内糖原含量正常[7,8]。


儿童和成人起病的MADD以波动性肌肉无力和运动不耐受为主,肌肉病理有明显脂质沉积。少有低酮性低血糖、酸中毒及高氨血症等代谢综合征表现。多由ETFDH基因突变所致。晚发型MADD患者2~64岁均可起病,10~40岁好发,男女比例相当,可有同胞发病。饥饿、寒冷、感染和妊娠等应激状态可为肌病发作的诱发因素。起病隐匿,患者表现为运动不耐受,走数百米即出现明显疲劳伴肌肉酸痛,休息后好转,持续性肌无力表现为蹲起费力,上楼困难。85%的患者躯干肌和颈部肌群受累,颈伸肌受累尤为明显,表现为抬头无力,严重时出现"垂头"征。约50%的患者咀嚼肌受累,不能吃较硬的食物,进食期间需要多次停顿休息,类似重症肌无力的病态疲劳现象。70%的患者有不同程度的吞咽困难。轻症患者肌萎缩不明显,重症者可见肢体近端和躯干肌肉萎缩,椎旁肌尤为显著。10%的患者可有肌肉疼痛或压痛。少数患者可有周围神经受累,表现为四肢远端感觉神经病。约20%的患者有发作性呕吐或腹泻。部分患者在病情加重期间可能出现横纹肌溶解。一些患者不耐受高脂肪和高蛋白饮食。约20%的患者B超检查可发现有轻至中度脂肪肝。欧洲晚发型MADD患者约半数伴有中枢神经系统受累,表现为发作性脑病。中国人晚发型MADD患者罕见有中枢神经系统受累的报道[7,8,9,10]。
约80%的晚发型MADD在发作期尿有机酸分析示戊二酸、挥发性短链有机酸(异戊酸、异丁酸)、乙基丙二酸、3-羟基异戊酸、2-羟基戊二酸、己二酸、辛二酸等有机酸的浓度升高,提示GA Ⅱ的诊断;约90%的患者血脂酰肉碱谱分析可见中、长链脂酰肉碱增高。少数患者可有无症状性低血糖和高氨血症。血清肌酸激酶可正常或轻至中度升高,多在2 000 U/L以下,伴有横纹肌溶解时,可超过10 000 U/L。血清肌酸激酶水平可随临床症状波动,部分患者LDH升高明显,与肌酸激酶水平明显不成比例[7,8]。
单用核黄素治疗(30~120 mg/d),1~2周后临床症状开始有改善,4~6周后肌力明显恢复,1~3个月后多数患者体力劳动或运动能力完全恢复正常,少数患者仍不耐受高强度的体力活动。尿有机酸水平随临床症状的改善逐渐恢复正常,血脂酰肉碱水平虽有不同程度下降,但仍有部分患者不能完全恢复到正常水平。伴有脂肪肝的患者复查B超可见脂肪肝恢复正常。有些患者使用大剂量辅酶Q10(150~500 mg/d)治疗也可取得一定效果。肉碱可作为核黄素治疗的辅助用药,但并不增加疗效。长期随访发现,多数患者服用核黄素3~6个月后可停药且无复发。少数患者在感染或劳累后可出现肌肉酸痛无力,给予补充核黄素数周后症状可再次缓解。极少数患者需长期持续服用核黄素[5,7,8]。
NLSDM是一种少见的常染色体隐性遗传病,由PNPLA2基因(patatin-like phospholipase domain-containing protein 2)突变导致甘油三酯脂酶(adipose triglyceride lipase)功能缺陷(图1),引起甘油三酯分解障碍和脂肪在组织内沉积[11]。
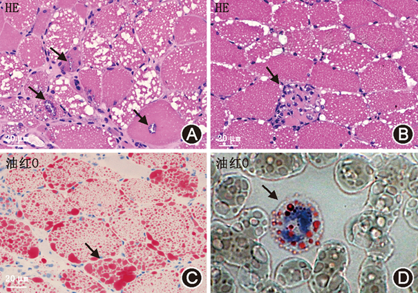
NLSDM患者1~66岁均可发病,以中年起病多见,中位发病年龄为30岁。起病隐匿,病程缓慢进展。约1/3的患者有父母近亲婚配史。肌无力和肌萎缩不对称者占40%~100%,四肢远、近端均可受累,远端受累占16%,半数以上可有翼状肩胛,1/3的患者有颈伸肌和脊旁肌萎缩和无力。可伴有高脂血症、糖尿病和神经性耳聋以及心脏、肝脏、胰腺等其他器官受累表现。尿有机酸和血脂酰肉碱正常。肌肉病理检查除了肌纤维内大量脂肪聚集外(图4A),还可见轻至中度的肌纤维坏死(图4B)、再生和萎缩,内核纤维轻度增多,部分患者可见镶边空泡(图4C)。外周血涂片油红O染色可见中性粒细胞胞质内脂滴沉积,又称Jordan现象(图4D)。本病由PNPLA2突变引起,可以为点突变、剪切突变和无义突变等。本病目前无有效治疗[12]。NLSDM与晚发型MADD鉴别要点见表1。

中性脂肪累积病伴肌病与晚发型多酰基脂酰辅酶A脱氢缺陷鉴别要点
Comparison between neutral lipid storage disease with myopathy (NLSDM) and late onset multiple acyl-coenzyme A dehydrogenase deficiency (MADD)
中性脂肪累积病伴肌病与晚发型多酰基脂酰辅酶A脱氢缺陷鉴别要点
Comparison between neutral lipid storage disease with myopathy (NLSDM) and late onset multiple acyl-coenzyme A dehydrogenase deficiency (MADD)
| 组别 | 肌无力 | 发作期尿有机酸 | 血酰基肉碱 | 肌肉病理 | Jordan现象 | 突变基因 | 核黄素反应 | ||
|---|---|---|---|---|---|---|---|---|---|
| 远端 | 不对称 | 镶边空泡 | SDH | ||||||
| 晚发型MADD | 罕见 | 无 | 异常 | 异常 | 无 | 可减低 | 无 | ETFDH | 明显 |
| NLSDM | 可有 | 可有 | 正常 | 正常 | 有 | 正常 | 有 | PNPLA2 | 无 |
注:MADD:多酰基脂酰辅酶A脱氢缺陷;NLSDM:中性脂肪累积病伴肌病;SDH:琥铂酸脱氢酶


所有作者均声明不存在利益冲突
None declared
1.中国人脂肪沉积性肌病的最常见病因是什么?
A.晚发型多酰基辅酶A脱氢缺陷
B.原发性肉碱缺乏
C.短链脂酰辅酶A脱氢缺陷
2.中性脂肪沉积病伴肌病的遗传方式是?
A.常染色体显性遗传
B.常染色体隐性遗传
C.线粒体遗传
3.以下哪种脂肪代谢障碍血酰基肉碱水平是正常的?
A.原发性肉碱缺乏
B.中性脂肪沉积病伴肌病
C.晚发型多酰基辅酶A脱氢缺陷
4.以下哪种脂肪代谢障碍性肌病对核黄素治疗有显著疗效?
A.原发性肉碱缺乏
B.中性脂肪沉积病伴肌病
C.晚发型多酰基辅酶A脱氢缺陷
5.以下哪项表述是正确的?
A.晚发型多酰基脂酰辅酶A脱氢缺陷的分子病理缺陷是PNPLA2基因突变
B.中性脂肪沉积病的分子病理缺陷是ETFA/B基因突变
C.编码黄素腺嘌呤二核甘酸合成酶的基因FLAD1突变可导致多酰基脂酰辅酶A脱氢缺陷





















