
帕金森药源性异动症为左旋多巴治疗后常见并发症,临床表现复杂。我院收治了1例确诊为帕金森药源性异动症误诊为癫痫的患者。患者为男性,69岁,因"行动迟缓15年,反复发作性四肢抽动伴憋气6个月余,突发意识丧失10 min"于2018年5月2日至我院就诊。患者长期服用多巴丝肼片并出现明显药物并发症。于2017年7月加用雷沙吉兰后稍有好转,于2017年11月开始出现反复四肢抽动,发作时间自数分钟至1 h不等,并逐渐出现抽动时伴明显憋气,2018年5月1日再次四肢抽动后意识丧失后送至我院急诊。患者由于合并有长期服用激素病史,安定类药物和抗癫痫药物对病情控制有一定疗效,故一开始被误诊为癫痫,随着药物的调整和病情的变化,最终确诊为帕金森药源性异动症。该症临床表现多样包括剂峰异动症,双相异动症和肌张力障碍。发病机制尚不完全明确,临床表现多样,而以发作性憋气伴低氧血症导致意识丧失为异动症表现的帕金森病国内外鲜有报道。因此,合并帕金森病患者如要诊断癫痫,首先应排除异动症可能。药物的合理使用在帕金森病中晚期也就显得尤为重要。
版权归中华医学会所有。
未经授权,不得转载、摘编本刊文章,不得使用本刊的版式设计。
除非特别声明,本刊刊出的所有文章不代表中华医学会和本刊编委会的观点。
帕金森药源性异动症(L-dopa-induced dyskinesia,LID)为左旋多巴治疗后常见并发症,临床表现复杂。现将我院1例确诊LID误诊为癫痫的患者临床诊治经过报道如下。
临床资料 患者男性,69岁,因"行动迟缓15年,反复发作性四肢抽动伴憋气6个月余,突发意识丧失10 min"于2018年5月2日至上海市浦东新区公利医院就诊。患者于2003年出现运动迟缓、肌强直等症状,不伴明显肢体震颤,2008年至外院确诊为"帕金森病",开始多巴丝肼片口服治疗,之后逐步出现运动并发症,包括开关现象和异动症,于2010年至外院行脑深部电刺激(DBS)治疗,手术顺利,术后联合多巴丝肼片250 mg,每日3次,症状缓解明显。但患者头部和胸部手术创口反复感染,因此于2012年去除电极。之后开始多巴丝肼片联合卡比多巴+左旋多巴控释片(息宁)治疗。2016年由于息宁在上海断货,患者将息宁换为多巴丝肼片,服用量达6片/d,并时有偷服,量不定,因此再次出现明显药物并发症。于2017年7月至外院就诊,加用雷沙吉兰1 mg/d,每日1次,并让患者在家人监督下规律服用多巴丝肼片,总量逐步从1 250 mg/d,减至250 mg/d,于三餐前规律口服。患者仍有运动波动症状,但较前好转。患者于2017年11月开始出现反复四肢抽动,发作时间自数分钟至1 h不等,并逐渐出现抽动时伴明显憋气。2018年5月1日再次四肢抽动后意识丧失,持续约10 min后患者转醒。当时送至我院急诊,由于患者合并有咳嗽咳痰,胸部CT提示两肺感染,故收至呼吸内科病房。患者在住院过程中仍反复四肢抽搐,每日3~4次,持续时间自数分钟至1 h不等,发作时心率110~130次/min,氧饱和度下降至75%~85%,意识状态明显下降,仅能勉强应答,故请我科会诊,当时考虑"癫痫"于5月8日转入我科病房。追问病史:患者20余年前即出现嗅觉减退、便秘等症状。既往史:2016年11月患有大疱性类天疱病,之后规律口服甲泼尼龙片8 mg,每日1次治疗。否认高血压、糖尿病、老年慢性支气管炎等慢性病史。个人史:否认头部外伤、一氧化碳中毒、脑卒中、甲状腺功能亢进病史,无毒物、重金属、化学溶剂接触史。无抽烟、饮酒嗜好。家族史无类似患者。
入院时体检:体温36.6 ℃,心率80次/min,呼吸20次/min,血压130/70 mmHg(1 mmHg=0.133 kPa),血氧分压98%(吸氧5 L/min),心肺腹未见异常。神经系统专科体检:意识清楚,精神可,对答切题,体检合作,口齿稍含糊,语言缓慢,记忆力、理解力、计算力稍下降,面部表情呆板,双侧额纹对称,眉心征(+),双侧瞳孔等大等圆,直径0.3 cm,对光反射存在,眼位居中,眼球活动自如,眼震(-),双侧鼻唇沟对称,伸舌居中,咽反射(++),颈软,双侧掌颌反射(-),四肢肌张力呈铅管样偏高,四肢肌力V-级,无感觉障碍,四肢腱反射存在,病理征阴性,双侧指鼻试验、跟膝胫试验完成稍差,闭目难立征(-),直线行走慢。饮水试验(-)。后拉试验(+)。卧位血压:130/80 mmHg,立位血压:125/75 mmHg。帕金森病Hoehn-Yahr(修正)分级量表:4级。汉密尔顿抑郁量表(HAMD)评分:3分。简易精神状态检查量表(MMSE)评分:22分(小学学历)。统一帕金森病评定量表(UPDRS -开期)评分:Ⅰ精神、行为和情绪:2分;Ⅱ日常生活能力:19分;Ⅲ运动检查:26分;Ⅳ治疗的并发症:6分。
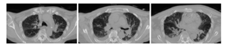
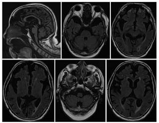
辅助检查结果:5月2日行血、尿、便常规,生化,肿瘤标志物检查,结果均正常。5月3日行心脏和腹部超声未见明显异常。头颅MRI(5月11日)示:双侧侧脑室周围及额顶叶皮质下腔隙性梗死、缺血灶;脑萎缩(图1)。24 h脑电图(5月10日):清醒期两侧大脑半球轻度慢波活动,睡眠期见少量散发及短阵尖波、尖慢波,颞顶区偏胜,5月10日晨视频见肢体抽搐发作,同时见右侧颞区短暂可疑尖波发放,痫样放电可能(图2)。胸部CT(5月1日):慢性支气管炎样改变伴两肺感染,两下肺间质略增生;主动脉硬化,左心室增大;两侧胸腔少量积液;两肺尖胸膜增厚、钙化(图3)。

The recovery sequence of fluid inversion on cranial magnetic resonance imaging of the patient showed bilateral lacunar infarction and ischemia around ventricle and subfrontal-parietal cortex, brain atrophy

The recovery sequence of fluid inversion on cranial magnetic resonance imaging of the patient showed bilateral lacunar infarction and ischemia around ventricle and subfrontal-parietal cortex, brain atrophy

The patient′s electroencephalogram in the morning of May 10,2018 showed transient suspicious spikes in the right temporal region

The patient′s electroencephalogram in the morning of May 10,2018 showed transient suspicious spikes in the right temporal region

The chest CT findings of the patient on May 1,2018 suggested two pulmonary infections

The chest CT findings of the patient on May 1,2018 suggested two pulmonary infections
诊治过程:患者憋气发作时使用地西泮10 mg静脉推注可即刻改善症状,予以左乙拉西坦0.25 g,每日2次口服后整体症状稍有缓解,发作时间缩短,每次5~10 min,结合其视频脑电图结果和患者长期服用激素病史,故当时仍考虑癫痫发作。但随着左乙拉西坦用量逐步增加,患者症状并未得到进一步改善,甚至病情出现反复。密切观察患者病情变化,发现患者抽动均在白日发作,尤其是在服用多巴丝肼片后1~2 h。行走时出现憋气发作,可表现为高抬腿的"滑稽步态",平卧时发作可有右脚不自主摩擦左小腿动作。该临床表现更像是肌张力障碍,故我们开始怀疑癫痫的诊断。重新读脑电图后发现发作时脑电图只提示可疑短暂尖波发放,考虑到图片质量和痫样放电在健康人群也可偶然发现,故该结果并不能诊断癫痫。患者发病时的短暂意识丧失,也可能直接由憋气后缺氧所致。因此于5月14日发作时再次复查脑电图(图4)未见异常,排除癫痫。进一步调整药物用量,多巴丝肼片每次减至62.5 mg,每日分6次服用,发作频率和持续时间明显缩短(5~10 min),但关期延长,加用恩他卡朋0.1 g,每日3次口服,结果抽搐症状又再次加重,最重时可持续1 h,停用恩他卡朋后症状好转,结合患者对药物的反应,最终诊断为异动症。更改治疗方案为多巴丝肼片6次/d,每次62.5 mg,雷沙吉兰1 mg,每日1次,联合左乙拉西坦0.25 g,每日2次。患者症状基本稳定,发作明显减少后出院。出院时UPDRS -开期评分:Ⅳ治疗的并发症部分的评分由入院时的6分降为4分。出院后随访至今,虽仍时有憋气发作,但发作频率和持续时间已明显缩短。

The patient was reexamined electroencephalogram on May 14,2018 and no epileptiform discharges were observed

The patient was reexamined electroencephalogram on May 14,2018 and no epileptiform discharges were observed
LID临床表现多样,包括剂峰异动症、双相异动症和肌张力障碍。其发病机制尚不完全明确,可能与黑质纹状体系统多巴胺能神经元的严重丢失、遗传因素、突触可塑性和突触后信号通路的继发性改变等有关[1]。LID可由不同类型的发作类型组合,不同发作类型的LID也可同时出现或交替出现在同一例患者身上。结合本例患者,患者存在剂峰、双相以及肌张力障碍多种发作类型,甚至合并了严重憋气导致低氧血症后意识丧失,因此使临床症状多样,导致误诊。
帕金森病与癫痫均为神经系统疾病,但帕金森病并发癫痫在临床上较少见,且发病率不详,发病机制复杂。合并帕金森患者如要诊断癫痫,首先应排除LID。流行病学调查显示,LID的发生与多种危险因素相关,包括遗传因素、药物、疾病亚型、体重和性别等[2],也与患者年龄、病程长短、疾病严重程度、左旋多巴剂量、起始治疗剂量及持续左旋多巴治疗时间密切相关[3,4,5]。LID多发生在左旋多巴治疗超过5年的患者,发生率为12%~27%[5],左旋多巴治疗疗程>5年、药物剂量≥350 mg/d、发病年龄<60岁是发生药源性异动症的主要因素[4]。该患者具备以上多项高发因素。该患者后续治疗中随着抗癫痫药物浓度的增加,抽搐并无明显好转,反而单次用药增加多巴胺浓度即可导致严重抽搐发作,减少多巴胺摄入即可减轻发作,支持LID诊断。
帕金森病晚期出现异动症后会使治疗变得更加困难,药物的合理使用就显得尤为重要。目前最常用于异动症的药物有金刚烷胺[6]、氯氮平[7]等。还有一些药物也早被发现对于异动症有用,但国内临床上未予应用,如多巴胺受体激动剂阿扑吗啡[8],和一些非常规药物如腺苷A2A受体拮抗剂伊曲茶碱[9]、沙力唑坦[10]等。DBS[11]、重复经颅刺激[2]也是异动症治疗的有效方法。左乙拉西坦和安定类药物对异动症也有一定的治疗效果。Erbaş等[12]发现,左乙拉西坦通过减轻氧化应激对鱼藤酮所致的多巴胺能神经元损伤的神经细胞发挥保护作用。该患者起初治疗时使用左乙拉西坦和地西泮也在一定程度上减轻了抽搐发作,是导致当时误诊的主要原因之一。该患者使用恩他卡朋后,异动症状明显加重,这可能是因为恩他卡朋提高了患者血浆中左旋多巴等效剂量,这与Stride-PD试验结果类似[13]。
综上所述,以发作性憋气伴低氧血症导致意识丧失为异动症表现的帕金森病国内外鲜有报道。本病例提示应重视帕金森病晚期患者异动症临床表现的多样性,注重药物的调整,有助于正确诊断和缓解症状,达到最佳疗效。
所有作者均声明不存在利益冲突
None declared





















