
报道1例急性起病、以共济失调和构音障碍为主要表现的男性患者,该患者癌胚抗原、非小细胞肺癌抗原、肿瘤相关抗原72-4显著升高,血抗Yo抗体阳性,胃镜及活组织检查提示胃癌,行胃癌根治手术治疗后随访症状较术前好转,可以明确诊断为并发于胃癌的抗Yo抗体阳性的副肿瘤性小脑变性。在临床工作中如果遇到共济失调或构音障碍的患者,需要考虑副肿瘤性小脑变性的可能,应积极寻找肿瘤的证据,以便尽早确诊并进一步治疗,以免造成漏诊或误诊。
版权归中华医学会所有。
未经授权,不得转载、摘编本刊文章,不得使用本刊的版式设计。
除非特别声明,本刊刊出的所有文章不代表中华医学会和本刊编委会的观点。
副肿瘤性小脑变性(paraneoplastic cerebellar degeneration,PCD)是一种经典的神经系统副肿瘤综合征(paraneoplastic neurological syndromes,PNS),女性较男性多发,常见于乳腺癌、卵巢癌等,临床发病率较低,并发于胃癌的抗Yo抗体阳性副肿瘤性小脑变性则更极为罕见,目前国内尚无相关个案报道,国外仅有数例报告。我们报道1例并发于胃癌的抗Yo抗体阳性的PCD男性患者,并结合国内外文献资料对该病进行分析,以期进一步加深对该病的认识。
临床资料患者男性,61岁,以"头晕、行走不稳10 d,加重伴言语不清2 d"为代主诉于2019年5月9日入院;10 d前患者出现头晕、行走不稳,自觉视物晃动,尚能独立行走,无饮水呛咳、吞咽困难、言语不清、肢体麻木、意识障碍,无发热、腹泻、咳嗽、咳痰等前驱感染症状。于当地医院查头颅CT未见明显异常,MRI+MRA(2019年5月5日)示:双侧基底节区腔隙性脑梗死或扩大的血管间腔;右侧大脑中动脉未显示,两侧大脑前动脉、左侧大脑中动脉局限性狭窄,两侧大脑前动脉、左侧大脑中动脉、两侧大脑后动脉、基底动脉及两侧颈内动脉粥样硬化。按"脑梗死"予以抗血小板聚集、营养神经、改善循环等治疗后,患者症状无好转。2 d前患者自觉症状加重,活动需要人协助,伴有恶心、剧烈呕吐、言语不清,为求进一步治疗来我院就诊。发病以来,意识清楚,精神差,饮食差,睡眠欠佳,大便正常,小便频繁,体重无明显变化。
体检:意识清楚,精神差,构音障碍,双侧瞳孔等大等圆,对光反射灵敏,眼球运动充分,无复视,有水平眼震,闭目有力,示齿口角无歪斜,伸舌左偏,悬雍垂右偏,咽反射存在,四肢肌张力正常,四肢肌力Ⅴ级,双上肢腱反射(++),双下肢腱反射(+)。双侧指鼻试验欠稳准,快复轮替试验欠稳准,双侧跟膝胫试验欠稳准,闭目难立征、走"一"字不能配合;深浅感觉未见异常,双侧巴宾斯基征可疑阳性,颈软、无抵抗,克尼格征、布鲁津斯基征均阴性。
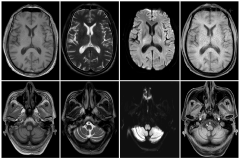
入院后完善相关检查,血常规、肝肾功能、电解质、凝血功能、传染病四项(乙型肝炎、丙型肝炎、梅毒、HIV)、类风湿因子、结缔组织全套、磷脂相关抗体、病毒全套、1,3-β-D葡聚糖试验、半乳糖甘露醇聚糖抗原检测、C反应蛋白(CRP)、降钙素原、叶酸、甲状腺功能、甲状腺相关抗体、B型钠尿肽、尿便常规、神经节苷脂抗体谱(抗GM1、GM2、GM3、GD1a、GD1b、GD2、GD3、GQ1b抗体IgG)未见明显异常。心电图:正常范围心电图。脑脊液压力:140 mmH2O(1 mmH2O=0.009 8 kPa)。脑脊液化验:白细胞46×106/L,淋巴细胞75%,浆细胞7%,嗜中性粒细胞5%;蛋白定性:阳性,定量:793.2 mg/L;糖及氯化物正常,抗酸染色及墨汁染色、腺苷脱氨酶阴性。血及脑脊液:自身免疫性脑炎抗体阴性。脑脊液脱落细胞学:镜下见少量淋巴细胞。头颅MRI平扫+增强示:鞍区占位性病变,考虑垂体瘤;双侧基底节区腔隙性脑梗死或扩大的血管间腔(图1)。肿瘤标志物:癌胚抗原63.22 ng/ml;非小细胞肺癌抗原21-1 3.65 ng/ml;肿瘤相关抗原72-4 11.82 U/ml。副肿瘤标志物:抗-Yo抗体阳性。


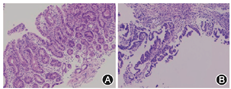
胸部、全腹CT平扫+增强示:(1)胃小弯侧占位,考虑癌并周围淋巴结肿大。(2)右肺下叶小肺大泡,左肺上叶舌段轻微炎症。(3)肝左叶小囊肿。(4)左侧肾上腺稍增粗。(5)前列腺钙化灶。胃镜及病理活组织检查(活检)诊断:(1)慢性食管炎;(2)贲门胃底、胃角溃疡伴高级别腺上皮内瘤变(图2,图3)。




根据患者临床表现、体征及相关检查结果,诊断为并发于胃癌的抗Yo抗体阳性PCD,行胃癌根治术及肠粘连松解术,术后病理诊断:(全胃)腺癌,中-低分化,浸润至深肌层,未见脉管内癌栓。免疫组织化学检查结果:AE1/AE3(CK)(+),CK7(灶+),CK20(-),甲胎蛋白(-),肝细胞(-),癌胚抗原(+),胃Her-2(4B5)(3+),CD31(-),D2-40(-),Ki-67(约70%)(图4)。术后3个月随访患者,头晕、行走不稳、言语不清症状较术前稍好转,未完全缓解,因有消化系统基础疾病,仍存在食欲不佳。术后8个月随访,患者仍有言语不清,症状较术后3个月随访时无明显改善,头晕、行走不稳较前稍好转,能够独立行走,复查副肿瘤标志物检查:抗-Yo抗体仍为阳性。


副肿瘤综合征(paraneoplastic syndrome)是指肿瘤或潜在的肿瘤在非压迫、浸润或转移的情况下,产生"远隔"效应造成机体损害而引起的一系列临床症状。它可以影响体内的多种器官和组织,其中发生在神经系统的病变称为PNS。
PCD又称亚急性小脑变性(subacute cerebellar degeneration),是经典的PNS之一。儿童期发病者常见于神经母细胞瘤,成人多见于乳腺癌、卵巢癌、肺癌及淋巴瘤。该疾病急性或亚急性起病,症状在数周至数月中进行性加重。有研究者对6例抗Yo抗体阳性的PCD患者进行分析发现,从起病到症状高峰的时间为1~9周,平均6.23周[1]。PCD主要表现为不同程度的肢体和躯干对称性小脑性共济失调、呕吐、构音障碍、眼震,也可伴有眩晕、复视、锥体束征、锥体外系症状、精神症状、智能减退等[2]。病理特点主要为小脑浦肯野细胞大量丢失、胶质细胞增生以及血管周围淋巴细胞浸润。患者可检出多种对肿瘤细胞及小脑浦肯野细胞交叉反应的抗体,如具有特异性对抗浦肯野细胞的抗Yo抗体,多见于卵巢癌、乳腺癌[3,4,5]。还有除抗Yo抗体以外的其他抗体,随并发的癌肿不同而多变,如抗Hu抗体(小细胞肺癌)、抗Tr抗体(霍奇金病)、抗Ma抗体等[6]。该疾病患者脑脊液压力通常不高,可伴有淋巴细胞及蛋白轻度增高,蛋白电泳出现寡克隆区带,免疫球蛋白IgG增高。早期头部CT及MRI检查多正常,晚期可见脑萎缩。个别病例发现小脑萎缩前曾出现DWI一过性高信号,提示该疾病急性期存在浦肯野细胞炎性细胞浸润以及细胞毒性水肿的可能[7]。
目前对于PCD的诊断主要基于2004年制定的Graus标准[8]。本例患者为老年男性,急性起病,以共济失调、构音障碍为主要表现,根据症状及体征,可以定位于小脑,定性分析结合影像学检查结果排除颅脑梗死、出血、颅脑原发肿瘤及转移瘤;患者无前驱感染史,无发热、腹泻、头痛等症状,脑膜刺激征阴性,血常规及降钙素原、CRP等炎性指标未见异常,血及脑脊液自身免疫脑炎抗体未见异常,排除颅内感染及自身免疫脑炎的可能;患者神经节苷脂抗体谱阴性,无眼外肌麻痹、精神行为异常、意识障碍等,排除比克斯达夫(Bickerstaff)脑干脑炎和米勒费雪(Miller-Fisher)综合征的可能;患者既往体健,无药物、毒物接触史,排除中毒可能。该患者入院后查癌胚抗原、非小细胞肺癌抗原、肿瘤相关抗原72-4显著升高,进一步完善血副肿瘤标志物提示抗Yo抗体阳性,胃镜及活检提示胃癌,行胃癌根治手术治疗后随访症状较术前好转。综上所述,该患者可以明确诊断为并发于胃癌的抗Yo抗体阳性的PCD。
PCD多先出现神经系统损伤症状,肿瘤往往在神经系统综合征出现后的数月至数年才被发现,部分病例甚至经过反复筛查仍不能发现原发灶。PCD神经损伤症状较肿瘤进展更为迅速,常引起严重、持久的神经功能缺失。早期诊断不仅有助于发现潜在的肿瘤,患者的神经症状也可有一定程度的改善。本例患者在出现神经系统症状后立即就诊,在当地医院按脑梗死治疗后症状仍进行性加重,后转至我院就诊。在询问病史时,该患者并无消瘦、腹痛、便血、嗳气等消化道肿瘤常见的临床症状,但我科凭借相关的临床经验对其进行肿瘤初筛,及时发现了问题并进一步确诊,避免了诊疗过程的延误,从而获得了较好的治疗效果。因此,在临床上对该病要高度重视,一旦出现类似症状,应考虑此病的可能,积极完善检查并寻找恶性肿瘤的证据,尽可能减少漏诊或误诊。
肿瘤并发抗Yo抗体阳性的PCD较为少见。Monstad等[9]对557例卵巢癌患者和253例乳腺癌患者进行研究发现,抗Yo抗体的阳性率分别为2.3%和1.6%,而抗Yo抗体阳性的患者中仅有12%并发PCD。根据现有研究,抗Yo抗体阳性的PCD大多发生于女性乳腺癌和卵巢癌以及肺癌、霍奇金病等,其他类型的肿瘤或男性患者很少检测出阳性的抗Yo抗体,并发于胃癌的抗Yo抗体阳性的PCD更是极为罕见,目前国内尚无相关报道,而国外仅有数例报道。Meglic等[10]和Goto等[11]各报道1例胃腺癌合并PCD的患者,2007年Debes等[12]报道了第1例男性抗Yo抗体阳性的PCD胃食管连接部腺癌患者。
Meglic等[10]报道的PCD患者在肿瘤切除前抗Yo抗体滴度较高,而在肿瘤切除6个月后抗Yo抗体滴度有所下降,而在其他类型肿瘤的PCD患者也可见到类似变化,这提示在原发肿瘤切除后免疫反应有所减弱,抗Yo抗体的滴度变化可能存在一定的预后评估价值。因此,建议在有条件的情况下,在肿瘤治疗后可定期复查抗Yo抗体的滴度,若滴度升高有可能提示肿瘤复发。
对PCD的治疗缺乏指南参考,目前主要的治疗方法为控制肿瘤以及激素、丙种球蛋白、血浆置换和免疫抑制剂如他克莫司、环磷酰胺等的应用。对免疫抑制治疗目前尚有争议,缺乏有力的证据证实其长期疗效,这可能是由于PCD疾病早期神经元细胞已快速产生不可逆的损伤。本例早期应用激素后症状曾有一过性好转,但经过短暂时间后再次加重,直到原发肿瘤切除后定期复诊,症状才逐步稳定好转。最新研究发现在PCD小鼠模型中,小脑T细胞产生的IFN-γ在浦肯野细胞的死亡中起主要作用,抗IFN-γ抗体可能作为PCD治疗的新靶点[13]。
综上所述,在临床工作中如果遇到头晕、共济失调或构音障碍的患者,当排除常见疾病后需要考虑PCD的可能,应积极完善检查并寻找肿瘤的证据,以便尽早确诊并进一步治疗,以免造成漏诊或误诊。
所有作者均声明不存在利益冲突
None declared





















