
神经影像学技术是脑血管病诊断的重要辅助手段。然而,随着新的影像设备及其技术迅速发展,如何正确使用和分析其结果,对临床精准诊疗非常关键。本文从临床角度,简要介绍脑血管病最常应用的影像学技术原理、特征及临床应用的意义。并配有相关影像图片,帮助理解和正确应用分析。同时介绍了多模态影像技术的应用和意义。
版权归中华医学会所有。
未经授权,不得转载、摘编本刊文章,不得使用本刊的版式设计。
除非特别声明,本刊刊出的所有文章不代表中华医学会和本刊编委会的观点。
神经影像学技术的应用在脑血管病的诊疗中具有重要地位,是一项不可或缺的辅助诊断工具[1,2,3]。影像学技术的发展日新月异,临床医师只有熟练掌握影像学技术的原理、技术特征,才能正确地选择应用和分析结果,从而指导临床的精准诊疗。我们将从临床的角度介绍计算机断层扫描(computerized tomography,CT)/磁共振成像(magnetic resonance imaging,MRI)/数字减影血管造影(digital subtraction angiography,DSA)技术及其特征以及临床应用;多模态影像技术与脑卒中的精准诊疗。
CT包括平扫CT (non-contrast CT,NCCT)、增强CT扫描、CT动脉血管成像(CT angiography,CTA)和CT灌注成像(CT perfusion,CTP)。
CT是用X射线从头部每个层面进行多方向照射、连续扫描,通过计算机计算各个单位容积的X射线吸收系数,重建图像的一种技术。NCCT是指不含静脉造影剂的CT扫描,显示脑组织的灰质与白质,脑室系统和蛛网膜下腔。临床阅片时,通过与正常脑组织的密度进行对比,可以鉴别出脑出血、脑梗死、脑肿瘤等改变。
NCCT的优点为扫描速度快、检查时间短、不受金属器械等影响,可确定出血部位,估计出血量,判定出血是否破入脑室,并判断有无脑疝形成。
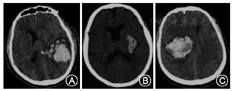
NCCT是临床确诊急性脑出血的首选方法,是脑出血检测的"金标准"。NCCT用于脑血管病的辅助检查需要注意以下几点:(1)对于急诊疑似脑卒中患者首选NCCT,可以明确患者是否有脑出血或蛛网膜下腔出血(subarachnoid hemorrhage,SAH),病灶呈现高密度影,为临床进一步诊治提供重要信息。在疾病的恢复期和慢性期,CT呈低密度影。(2)对疑似SAH患者,首选头颅CT检查。螺旋CT检测的阳性率可达98%~100%。但需要考虑就诊时间,发病24 h后,阳性率开始递减,出血5 d后,阳性率只有50%。SAH患者需要进一步行CTA/DSA以排除动脉瘤。(3)对脑出血患者,NCCT可以提示早期血肿扩大的征象(图1),目前大家比较认同的几个征象为:岛征、黑洞征、混合征、血肿内低密度、血肿边缘不规则和混合密度征,其预测血肿扩大的敏感度、特异度不完全相同[4]。岛征预测血肿扩大的敏感度、特异度分别为44.7%、98.2%[5];黑洞征预测的敏感度、特异度分别为39.3%、95.5%[6,7];混合征预测的敏感度、特异度分别为39.3%、95.5%[8]。(4)对于缺血性脑卒中患者,早期行NCCT的敏感度并不高,一般在发病24 h后,缺血性病灶才开始明显,表现为低密度改变;但早期可见大脑中动脉高密度征,预测大动脉闭塞的敏感度为67%,特异度为82%[9]。陈旧性缺血性脑卒中患者头颅NCCT低密度病灶需要与陈旧性脑出血低病灶相鉴别(图2),后者在T2WI表现为低密度病灶周边低信号环,系含铁血黄素沉积所致。




CTA是指静脉注射含碘造影剂后的CT扫描,计算机对图像进行三维重建及数字减影,可清晰显示脑动脉的血管结构,如Willis环,大脑前、中、后动脉及其主要分支,可对脑血管病变提供重要的诊断依据。
与磁共振动脉成像(magnetic resonance angiography,MRA)相比,CTA能够更好地显示脑血管三维空间的立体结构,可以进行任意方位和角度旋转,可以清晰地显示血管狭窄或动脉瘤,进行明确定位[10,11]。CTA的缺点为需要造影剂,受颅底骨质影响,如在海绵窦段的颅内动脉瘤,常常容易漏诊。但对SAH后的动脉瘤检测优于MRA。所以对于急诊疑似脑卒中的患者,为进一步明确是否有大血管狭窄或动脉瘤,均建议行CTA检查,指导取栓或动脉瘤介入/手术治疗。
CTP是静脉快速团注对比剂,对感兴趣区层面进行连续扫描,获得感兴趣区时间/密度曲线,采用不同数学模型计算出不同的灌注参数值[12],包括:脑血流量(cerebral blood flow)、脑血容量(cerebral blood volume)、平均通过时间(mean transit time,MTT)、达峰时间(time to peak)、残余功能的达峰时间(time to peak of the deconvolved tissue residue function,Tmax)、表面通透性(permeability-surface area product,PS),详见图3。


脑血流量:指单位时间内脑组织的血供情况,可反映脑梗死组织的神经元活性;脑血容量:指目标区域内的全部血容量,可提示梗死核心的大小;MTT:指血流通过血管的平均时间;达峰时间:指脑血流量达到最大值的时间,可间接反映脑灌注的情况;Tmax:指组织储存功能达到最大值的时间,是反映组织灌注改变及脑组织梗死的敏感指标,常用来反映半暗带的指标和血脑屏障的完整性。与达峰时间不同,Tmax不受急性缺血性卒中的严重影响,可反映局部毛细血管水平的血流动力学变化,二者是在相同的灌注成像上通过不同的数学模型运算得到的结果。脑血流量、脑血容量、MTT、达峰时间或Tmax通常用于检测缺血半暗带或判断缺血高危组织损伤的严重程度或血脑屏障的完整性。在急性脑卒中的评估中,MTT或达峰时间等基于时间的参数会被延长,脑血流量在核心和半暗带区内均会减少。脑血容量可用于区分这些区域,即半暗带区侧支血管扩张引起的脑血容量增加,梗死中心内脑血容量减少。Tmax和PS可以帮助判断血脑屏障的完整性[13,14]。
灌注参数和图像质量受扫描条件、对比剂量、注射速度、原始图像重建条件、计算法则、运动伪影、部分容积效应、患者心输出量等多种因素影响。
MRI包括常规T1和T2加权成像、液体衰减反转恢复序列(fluid-attenuated inversion recovery,FLAIR)、MRA、磁共振静脉成像(magnetic resonance venography,MRV)、弥散加权成像(diffusion-weighted imaging,DWI)、弥散张量成像(diffusion tensor imaging,DTI)、灌注加权成像(perfusion-weighted imaging,PWI)、磁共振波谱成像(magnetic resonance spectroscopy,MRS)、血氧水平依赖成像(blood oxygen level dependent,BOLD)、磁敏感加权成像(sensitivity weighted image,SWI)、高分辨血管壁磁共振成像(high resolution magnetic resonance vascular wall imaging,HR-VWI)等[3]。
MRI是缺血性脑卒中最敏感的检测方法。《中国脑血管病影像应用指南》[15]推荐:在脑卒中症状出现6 h内,DWI的敏感度及特异度优于CT及MRI其他序列,有助于早期急性缺血性脑卒中的诊断(A级证据,Ⅰ级推荐)
T1WI图像对不同的软组织结构有良好的对比度,适于观察软组织的解剖结构;T2WI对显示病变的信号变化比较敏感,利于观察病理变化。二者结合有助于病变的定位、定量和定性诊断。缺血性脑卒中的病灶为低信号,一般24 h后出现。脑出血病灶在急性期为高信号,恢复期和后遗期为低信号(软化灶)。
FLAIR是一种特殊序列,使脑脊液呈低信号,可避免脑脊液产生的部分容积效应及流动伪影的干扰,提高了病灶与正常组织的对比度,因此可显示脑脊液边缘易重叠的脑梗死;常规MRI不易区别SAH与脑脊液,而在FLAIR中,血性脑脊液T2值大于脑实质,信号比脑实质高,具有诊断优势,尤其对后颅凹少量出血更有诊断价值。FLAIR被广泛应用于颅脑各类疾病包括缺血性病变、外伤、出血、肿瘤、脑白质病变的诊断中[16]。急性缺血性脑卒中、外伤、脑出血、肿瘤、白质病变在FLAIR可见病灶为高信号,可以结合其他序列进行鉴别诊断。如对急性缺血性脑卒中和脑出血进行鉴别,可行T1WI检查,前者为低信号,后者为高信号;而T2WI与其相反,前者为高信号,后者是低信号;脑白质病变与急性缺血性脑卒中在T2WI和FLAIR上均为高信号,可采用DWI进行鉴别,前者在DWI为等信号或低信号,后者为高信号。
DWI是在活体上测量水分子弥散运动与成像的一种方法。DWI是从细胞水平上来观察脑组织的变化,对急性组织变化比较敏感。信号强度与组织的病理变化程度一致,是组织损伤的一种定性方法。缺血组织在发病数分钟至数小时出现表观弥散系数(apparent diffusion coefficient,ADC)下降,从而在DWI上表现出高信号[17]。急性脑出血在DWI上也为高信号,可采用T1WI和T2WI进行鉴别,CT也可以进行鉴别。
DTI是DWI技术的发展与深化,是当前唯一一种检测和追踪脑白质纤维束的非侵入性检查方法,可以定量评价脑白质的各向异性。组织中的水分子运动是多个方向的,也称水分子弥散的各向异性。DTI至少可以同时测量6个方向的水分子运动,从解剖和细胞水平,个体化地提供活体人脑白质纤维结构位置和走行特点的影像学信息[18]。目前临床主要用于指导脑外科手术,避免脑白质纤维束受损(图4)。


ADC也是反映体内水分子运动的一个参数,是检测水分子向各个方向弥散的平均值,水分子弥散运动越明显,ADC值增高[19]。ADC对临床早期鉴别缺血性脑卒中或炎性病变具有重要帮助(图5)。急性缺血性脑卒中ADC表现为低信号,而脑炎可为高信号。


MRS可以活体检测脑组织代谢物的化学成分和含量。代谢物主要包括N-乙酰天冬氨酸、肌酸(Cr/Pcr)、胆碱(Cho)、肌醇(mI)、乳酸(Lac)。MRS可以帮助临床判断脑卒中的预后以及对代谢性脑病、脑肿瘤的鉴别诊断[20](图6)。


BOLD是指脑活动区域局部血液中氧合血红蛋白与去氧血红蛋白比例的变化,所引起的局部组织T2加权像上的改变,通过T2加权像反映脑组织局部活动功能的成像技术。目前是功能MRI中最重要的技术,可用于大脑的皮质活动以及脑功能的研究(图7)。


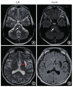
HR-VWI是MRA、CTA和DSA对血管检测的一种重要的补充技术,可以检测血管和血管壁的结构变化,明确动脉粥样硬化斑块的性质,鉴别血栓和栓子,明确烟雾病的病因,检测动脉夹层、动脉炎、侧支血管等,为临床诊断和治疗提供重要信息和依据(图8)。HR-VWI可以检出脑动脉炎性改变,但不能鉴别是否为大动脉炎或继发性脑动脉炎,如结核、胶质瘤等,一般需结合临床进行诊断和鉴别诊断。


MRV与CTV对脑静脉系统血栓形成的诊断价值相同,但CTV需要造影剂[21]。MRI和MRV目前被认为是诊断脑静脉窦血栓形成无创、敏感和准确的首要检查方法及随诊的主要检查方法(A级证据,Ⅰ级推荐)。详见图9。


DSA是在脑血管中(动脉和静脉均可)注射造影剂,然后进行系统处理,使血管显示地更加清晰,便于医生诊断或进行手术。DSA所需的造影剂量少、浓度低、X线吸收量少,而对比度分辨率高,可展现脑部所有血管(颈内动脉系统和椎动脉系统)不同部位、不同狭窄程度的管腔及不同部位、不同大小的动脉瘤等(图10,图11),是脑血管病变检查的"金标准"。




PCoA:后交通动脉;ACoA:前交通动脉;MCA:大脑中动脉;PCA:大脑后动脉
DSA可用于各种目的的脑血管检查,包括脑血管病的病因检查,如颈部血管和脑血管狭窄、动脉瘤、动脉夹层(图12)、静脉血栓形成、动静脉瘘等;急诊动脉取栓、动脉溶栓以及脑动脉狭窄支架的介入治疗。


通常我们将影像的某个序列所得到的影像结果称为单个模态,不同影像序列所获得的模态联合在一起称为多模态。临床可以从多模态的视角整合多种信息,更加全面地制定患者的个体化诊疗方案。
"一站式"多模态CT由NCCT、CTP及CTA组成(图13),目前应用广泛,方便快捷,为动脉取栓、动脉瘤介入或外科手术提供精准诊疗。NCCT可鉴别患者是否存在脑出血;CTA可以鉴别是否有动脉瘤或大血管闭塞;CTP可以提供脑血流的灌注情况、是否存在半暗带、侧支循环及血脑屏障完整性等信息,为进一步制定患者的诊疗方案,判断预后奠定基础。


在临床上,我们可以组合不同模态的MRI对不同的脑血管病进行精准诊疗。
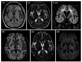
左侧丘脑可见点状长T1、长T2信号影;两侧额顶叶及侧脑室旁白质可见多发斑片状长T1、长T2信号影,FLAIR呈高信号;SWI见两侧大脑半球弥漫性点片状低信号影部分呈融合状(图14)。


FLAIR:液体衰减反转恢复序列;SWI:磁敏感加权成像;ADC:表观弥散系数;DWI弥散加权成像
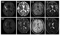
(1)腔隙性脑梗死:病灶直径3~15 mm,呈边缘清晰的圆形、裂隙状或椭圆形,MRI/T1WI呈低信号而T2WI呈高信号;急性期的DWI为高信号。陈旧性腔隙性脑梗死:在FLAIR上病灶呈低信号,周围有胶质增生的高信号。病灶主要分布于基底节、丘脑、内囊、豆状核和尾状核、脑干等脑穿支动脉供血区域。(2)多发性硬化:脑和脊髓均可有病灶,为多病灶,呈非对称性,通常有相对固定的分布模式及形态;病灶与侧脑室垂直分布;在T1WI为低信号,T2WI为高信号(煎蛋状、云雾状),FLAIR为高信号,急性期DWI呈高信号,增强后呈C形或开环状强化。


DWI:弥散加权成像;FLAIR:液体衰减反转恢复序列
本文中所有影像学图片均为作者医院提供。
所有作者均声明不存在利益冲突
None declared
单选题(授予Ⅱ类学分说明及答题二维码见杂志内活插页)
1.关于缺血性脑卒中的CT表现,以下叙述错误的是?
A.脑梗死早期的CT征象有大脑中动脉或其他主要动脉密度增高,称致密动脉征
B.脑梗死起病24 h内,CT检查可无阳性发现
C.脑梗死CT显示低密度灶的部位及范围与闭塞血管供血区一致
D.脑梗死后2~15 d为脑水肿高峰期,梗死范围大的患者具有一定的占位效应
E.脑梗死区域CT增强扫描无明显强化
2.缺血性脑卒中最敏感的检查方法是?
A.CT
B.DWI
C.X线平片
D.PWI
E.血管造影
3.脑静脉窦血栓形成首选的检查方法是?
A.CT
B.CT+CTV
C.CT+MRV
D.MRI+MRV
E.DSA
4.脑出血最快速准确的检查方法为?
A.MRI
B.X线平片
C.CT
D.超声
E.血管造影
5.有关急性腔隙性脑梗死与多发性硬化鉴别诊断描述错误的是?
A.两者均可出现DWI高信号,T1WI呈低信号,T2WI上呈高信号
B.腔隙性脑梗死病灶主要分布在基底节、丘脑、内囊、豆状核和尾状核、脑干等脑穿支动脉供血区域
C.多发性硬化患者的脑和脊髓均可有病灶,为多病灶
D.多发性硬化T2WI高信号可呈煎蛋状、云雾状增强后呈C形或开环状强化
E.两者增强均有阳性发现





















