
Ⅰ型唾液酸沉积症是一种罕见的常染色体隐性遗传疾病,主要表现为小脑性共济失调、肌阵挛和黄斑性樱桃红斑,通过基因检测发现α-N-乙酰神经氨酸酶(NEU1)基因突变或实验室检查发现神经氨酸苷酶缺乏时,就可以做出明确诊断。现报道1例31岁男性Ⅰ型唾液酸沉积症患者,并结合文献复习以提高临床医师对该疾病的认识与诊治水平。本例Ⅰ型唾液酸沉积症患者有视力下降、共济失调、肌阵挛发作,全外显子测序发现患者6号染色体NEU1基因c.544A>G (p.Ser182Gly)纯合突变。
版权归中华医学会所有。
未经授权,不得转载、摘编本刊文章,不得使用本刊的版式设计。
除非特别声明,本刊刊出的所有文章不代表中华医学会和本刊编委会的观点。
Ⅰ型唾液酸沉积症是一种罕见的常染色体隐性遗传疾病(发病率约为1/4 200 000),主要表现为小脑性共济失调、肌阵挛和黄斑性樱桃红斑,通过基因检测发现α-N-乙酰神经氨酸酶(α-N-acetyl-neuraminidase,NEU1)基因突变或实验室检查发现神经氨酸苷酶缺乏时,就可以做出明确诊断[1, 2]。唾液酸沉积症是由编码神经氨酸酶1和唾液酸裂解酶1的NEU1基因突变引起的溶酶体蓄积症,根据发病的严重程度及发病年龄不同,在临床上分为两型[3, 4]。Ⅰ型唾液酸沉积症又称黏液脂质病、樱桃红斑肌阵挛综合征,是以发病程度较轻为表现的晚发型表型。Ⅱ型唾液酸沉积症是一种起病常表现为Hurler综合征的早发型表型[4]。现报道1例Ⅰ型唾液酸沉积症患者,并进行文献复习以提高临床医师对该疾病的认识与诊治水平。
临床资料 患者男性,31岁,慢性病程,有视觉异常、肢体活动不协调伴抖动12年,于2019年10月29日在中山大学附属第七医院就诊。患者于12年前(2007年,18岁)开始发现视觉异常,对色盲测试图的分辨能力较同龄人差,后逐渐出现对物体偏距不良以及视力下降;上述症状在2011年后较明显,后续症状进展缓慢。同期患者出现肢体或讲话活动不协调,表现为维持某固定姿势时肢体会晃动,并偶尔会出现肢体快速抖动;双手在做精细动作时会不自主抖动;紧张时或快速说话时自觉咽喉肌抖动而导致言语断续、结巴。否认白天安静状态下肢体快速抖动,否认四肢抽搐、牙关紧闭,否认智力下降。2016年9月曾在外院诊断为“运动诱发性肌张力障碍?”,服用卡马西平 0.1 g,2次/d,仍无明显效果,后加用阿普唑仑0.2 mg,2次/d,仍效果不佳,自行停药,停药后上述症状加重。2018年服用氯硝西泮1 mg,2次/d,后肢体抖动症状有改善,后减量为0.5 mg,2次/d,效果欠佳。后加用卡马西平0.1 g,2次/d,后症状稍有改善。目前服用氯硝西泮1 mg,2次/d,联合卡马西平0.1 g,2次/d。发病后患者精神、睡眠、食欲尚可,智力、记忆力无明显受损,大小便无异常,近期体重无明显改变。既往史、家族史:第3胎足月顺产,否认出生时缺氧史。患者三姑儿子有癫痫病史,30岁起病,白天或夜间抽搐、口吐白沫,目前仍有发作。二姨的小儿子有癫痫病史,为自幼肌阵挛发作,口服药物治疗,目前无发作。
入院时体检:体温36.6 ℃,脉搏80次/min,呼吸18次/min,血压117/75 mmHg (1 mmHg=0.133 kPa)。意识清楚。营养中等。心肺腹体检未见明显异常。专科情况:意识清楚,对答切题,偶尔言语停顿结巴,体检合作。高级神经系统体检未见明显异常。双侧瞳孔等大等圆,直径约3 mm,对光反射灵敏,双眼视力粗测下降,视野粗测双眼周边范围稍缩小。双侧鼻唇沟对称,伸舌居中。四肢肌力Ⅴ级,肌张力无异常。四肢腱反射对称活跃,深浅感觉两边对称无异常。共济运动可见肢体有晃动。病理征未引出。脑膜刺激征阴性。Romberg征阴性。
实验室检查:血和大小便常规、肝肾功能、出凝血项、乳酸、血脂、血糖、同型半胱氨酸、血氨及电解质未见明显异常。甲状腺球蛋白抗体11.68 kIU/L(参考范围<4.11 kIU/L)。甲状腺抗氧化物酶抗体251.84 kIU/L(参考范围<5.61 kIU/L)。
脑电图检查:电生理诊断为正常脑电图。发作间期 α活动:双侧后头部可见10~11 Hz中波幅α节律,调节调幅欠佳,左右基本对称。慢波活动:双侧前头部可见少量4~7 Hz中波幅θ波散发。快波活动:全导可见稍多15~25 Hz低波幅β波散发。发作期:未监测到临床发作(打标事件间期脑电图与清醒、睡眠期脑电背景无差异,考虑非痫性事件)。见图1。


影像学检查:颅脑MRI平扫+海马MRI平扫(3.0 T):(1)双侧额、顶叶白质多发小变形灶;(2)双侧海马未见异常。胸部平片:未见明显异常。
量表评分:MoCA总分:26分,MMSE评分:30分。
纯音测听检查:双耳感音性神经性听力下降。
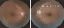
眼科检查:(1)双眼黄斑区视网膜未见明显异常(图2)。(2)全视野模式翻转视觉诱发电位:右眼示大方格P100波峰时延迟,振幅降低;小方格峰时正常,振幅下降。左眼示大方格P100波峰时轻微延迟,振幅降低;小方格峰时正常,振幅下降。(3)双眼眼电图正常,Arden比正常。(4)双眼视网膜电图:可见暗适应视杆细胞反应,b波峰时正常,振幅降低;最大混合反应a波正常,b波振幅降低。明适应未见明显异常。(5)右眼中心视野普遍敏感度下降,上方见弓形暗点,下方视野见中心暗点及旁中心暗点。左眼中心视野普遍敏感度下降,见散在暗点(中心暗点及旁中心暗点)。


诱发电位检查:(1)脑干听觉诱发电位及视觉诱发电位检查示双侧在正常范围;(2)上肢体感诱发电位(somatosensory evoked potential,SEP)示双侧N9~N13峰间期延长,可见双侧P25、N35等皮质电位波幅明显增高(巨大电位),下肢SEP可见双侧P40、N45等皮质电位波幅增高(巨大电位)。
NEU1基因检测结果:患者具有纯合错义突变 c.544A>G(p.Ser182Gly)。患者纯合,父母杂合,突变基因分别来自其表型正常的母亲和父亲。见图3。


唾液酸沉积症是一种罕见的常染色体隐性遗传疾病,是由位于6p21.33的NEU1基因突变导致的N-乙酰神经氨酸酶缺失所致。通过基因检测发现NEU1基因突变或实验室检查发现神经氨酸苷酶缺乏时,就可以做出明确的诊断[1, 2]。Ⅰ型唾液酸沉积症是一种起病较晚、病情较轻的疾病,主要表现为小脑性共济失调、肌阵挛和黄斑性樱桃红斑。需要与之进行鉴别诊断的疾病主要包括进行性肌阵挛性癫痫、神经元蜡样质脂褐质沉积症、Unverricht-Lundborg病、肌阵挛癫痫合并破碎红纤维综合征、亚急性硬化性全脑炎。Ⅰ型唾液酸沉积症患者常常没有明显的身体缺陷,智力大多正常或略有受损。临床症状多出现在出生后20~30年,常有步态异常或视力下降,或两者兼而有之。另外视力减退是进行性的,并伴有双侧黄斑樱桃红色斑点,该斑点可能在病程中逐渐消失。最显著的临床表现是肌阵挛,它可能是由随意运动、运动的思想、被动的关节运动、轻触或声音刺激引起的。最初会有意向性震颤和精细运动困难,在患者的外周血和骨髓涂片分别可见少量空泡化的淋巴细胞和组织细胞。在超微结构水平,肿胀的溶酶体可见于骨髓细胞和肝脏的库普弗细胞[5]。另外在患者的尿液中可发现高相对分子质量的唾液酸寡糖[6]。也有研究者在有进行性肌阵挛表现的患者发现NEU1基因突变,但却未出现唾液酸沉积症患者的一些临床表现,如视力障碍[7, 8]。绝大多数Ⅰ型唾液酸沉积症患者的外貌和智力正常,也无明显的四肢和内脏异常,并且存活期长,这解释了为什么Ⅰ型唾液酸沉积症患者经常被忽略。大多数Ⅰ型唾液酸沉积症的诊断可以通过其眼科表现结合唾液酸寡糖尿症或全基因组测序来明确[7]。患者症状的外显率和严重程度与所涉及的NEU1基因突变位置密切相关。不同的突变位置会导致酶的活性水平不同。
本例患者临床特点为:(1)青年男性,慢性缓慢进展性病程,视觉异常、肢体活动不协调伴抖动12年。(2)主要表现为两大症状:其一为视力异常,表现为色弱、辨距不良;其二为运动症状,表现为精细动作不协调并肢体抖动,多在紧张、需快速反应时出现。(3)体检提示:视力下降,视野缩小,姿势性震颤,肢体共济失调,腱反射活跃。(4)口服氯硝西泮、卡马西平有一定效果。(5)基因检测结果提示6号染色体NEU1基因纯合突变。
迄今为止,在唾液酸沉积症患者中已经鉴定出40多种NEU1基因突变,然而大多数是不影响NEU1蛋白质合成或稳定性的错义突变[4]。在本例患者中,我们鉴定了其突变位点c.544A>G(p.Ser182Gly)位于NEU1基因的外显子3中。这种NEU1基因突变在中国患者中比较普遍,所有报告NEU1基因中c.544A>G(p.Ser182Gly)纯合突变的病例均为Ⅰ型唾液酸沉积症[9, 10]。这种突变是否在中国人中普遍存在,是否与樱桃红点的缺失有关,值得进一步的遗传流行病学研究。同样的突变早前在1例中国患者曾报道过,该患者也表现为Ⅰ型唾液酸沉积症,其成纤维细胞中唾液酸酶活性为正常水平的6%,通过NEU1蛋白结构分析发现Ser182是其保守结构,位于末端的第二个“天冬氨酸盒”(Ser/Thr-X-Asp-X-Gly-X-X-Trp/Phe)[11]。
该病例提示,在出现小脑性共济失调、肌阵挛、智力正常和黄斑樱桃红斑的患者中,均应考虑到Ⅰ型唾液酸沉积症。尽管这种溶酶体贮积性疾病非常罕见且复杂,但在过去10年中,在其潜在的分子发病机制研究中取得了显著进展。然而,到目前为止,仅有少数NEU1底物被识别。我们相信在未来的研究中将发现其他NEU1靶点,这些靶点可能涉及更多的生物学过程,从而提供新的治疗选择。
所有作者均声明不存在利益冲突
None declared





















