
本文报道1例由猪链球菌感染引起的化脓性脑膜炎。患者为老年男性,长期从事养猪工作,主要临床表现为发热、头痛、意识障碍,结合头颅磁共振成像、脑脊液检查结果考虑为猪链球菌2型导致的化脓性脑膜炎。经青霉素抗感染、地塞米松抑制免疫反应等治疗后症状明显好转,发病3周左右出现听力减退,经6个月随访,仍遗留严重听力障碍。
版权归中华医学会所有。
未经授权,不得转载、摘编本刊文章,不得使用本刊的版式设计。
除非特别声明,本刊刊出的所有文章不代表中华医学会和本刊编委会的观点。
猪链球菌感染的化脓性脑膜炎是少见的颅内感染,现将我院收治的1例猪链球菌2型脑膜炎患者的诊治过程报道如下,并结合文献对此类患者进行总结分析,以加深对此疾病的认识。
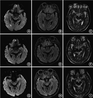
临床资料 患者男性,64岁,主因“发热、头痛、意识障碍16 h”于2019年2月9日收入东南大学附属盐城医院神经内科。患者入院16 h前无明显诱因出现发热,自服退热药物及头孢类抗生素,入院3 h前出现头痛、恶心、呕吐、烦躁不安。既往有长期饮酒史(白酒250 g/d,共30余年),一直从事养猪工作,发病前1周手部皮肤被利器损伤,伤口长约3 cm,未诊治。入院体格检查:体温38.0 ℃,心率100 次/min,血压112/68 mmHg(1 mmHg=0.133 kPa),意识模糊,反应迟钝,体格检查欠合作,左手背部伤口已结痂,双侧鼻唇沟对称,四肢肌力Ⅴ级,右侧巴宾斯基征阳性,颈抵抗,颏胸2指,克尼格征阳性。辅助检查:头胸腹部CT检查示大脑纵裂池密度稍高,胆囊炎,两肺肺气肿;血常规:白细胞14.92×109/L,中性粒细胞百分比93.3%(正常值50%~70%),淋巴细胞百分比2.3%(正常值20%~40%),超敏C反应蛋白81.84 mg/L(正常值0~10 mg/L);血清葡萄糖7.38 mmol/L(正常值3.6~5.8 mmol/L);血糖、电解质、肝肾功能、甲状腺功能、自身抗体、抗中性粒细胞胞质抗体、补体免疫球蛋白、肿瘤指标、肝炎指标、梅毒抗体、人类免疫缺陷病毒抗体均无明显异常。血培养阴性;头颅磁共振成像(MRI)示双侧侧脑室枕角信号异常,考虑感染所致可能大(图1A~C)。脑脊液检查:脑脊液压力280 mmH2O(1 mmH2O=0.009 8 kPa);脑脊液常规:混浊、潘氏试验阳性;白细胞3 522×106/L, 多个核细胞92%,单个核细胞8%;脑脊液生化:总蛋白>3.0 g/L(正常值0.12~0.60 g/L), 葡萄糖<1.00 mmol/L(正常值2.5~4.5 mmol/L), 氯化物109.56 mmol/L(正常值120~132 mmol/L;表1);革兰染色、抗酸染色、墨汁染色、肺炎链球菌抗原、单纯疱疹病毒-DNA及结核DNA均阴性。脑电图:边缘状态脑电图。心电图:窦性心动过速。入院诊断:化脓性脑膜炎。入院当天开始给予青霉素(600万单位静脉滴注,每6小时1次)抗菌、甘露醇脱水降颅压、地塞米松磷酸钠(10 mg静脉滴注,1次/d)抑制免疫反应等治疗。入院第3天患者体温恢复正常,意识转清,脑脊液血平板上过夜培养后见圆形凸起、表面光滑湿润、边缘整齐、呈α溶血的可疑菌落生长,经法国生物梅里埃公司的VITEK-2 Compact系统鉴定显示猪链球菌2型(图2),药敏试验(贴药敏纸片法)提示对青霉素、左氧氟沙星、头孢吡肟、利奈唑胺及万古霉素敏感,对红霉素、克林霉素及四环素耐药,头孢曲松中介,立即加用左氧氟沙星抗感染治疗。此后每2~5天复查脑脊液,各项指标明显好转(表1)。



化脓性脑膜炎患者脑脊液检查结果
Cerebrospinal fluid examination results of the patient of purulent meningitis
化脓性脑膜炎患者脑脊液检查结果
Cerebrospinal fluid examination results of the patient of purulent meningitis
| 发病天数(d) | 外观 | 颅内压(mmH2O) | 白细胞计数(×106/L) | 多核比例(%) | 蛋白定量(g/L) | 葡萄糖(mmol/L) | 氯化物(mmol/L) |
|---|---|---|---|---|---|---|---|
| 1 | 混浊 | 280 | 3 522 | 92 | >3.00 | <1.00 | 109.56 |
| 3 | 混浊 | 250 | 981 | 94 | 2.50 | 4.00 | 122.84 |
| 6 | 清亮 | 90 | 205 | 67 | 1.30 | 2.00 | 114.77 |
| 9 | 清亮 | 105 | 106 | 32 | 1.30 | 2.00 | 115.98 |
| 14 | 清亮 | 130 | 59 | 2 | 1.00 | 2.00 | 124.08 |
| 18 | 清亮 | 75 | 41 | 5 | 0.90 | 2.00 | 118.03 |
| 23 | 清亮 | 110 | 16 | 13 | 0.90 | 2.00 | 120.02 |
注:1 mmH2O=0.009 8 kPa


患者于入院第17天再次出现发热,体温最高38.8 ℃,继续完善甲型流感病毒、乙型流感病毒、呼吸道7种病毒、肺炎支原体、肥达反应等检查,均为阴性。入院第18天复查头颅MRI:双侧侧脑室枕角信号异常,较前缩小(图1D~F)。脑脊液检查:脑脊液压力75 mmH2O;脑脊液常规:清亮、潘氏试验阴性;白细胞 41×106/L,多个核细胞5%;脑脊液生化:总蛋白0.9 g/L,葡萄糖2.00 mmol/L,氯化物118.03 mmol/L,排除化脓性脑膜炎复发可能。患者反复发热,诉双侧耳前下疼痛,体检可触及肿物,腮腺CT示双侧腮腺腺体致密,耳鼻喉科会诊考虑合并厌氧菌感染的化脓性腮腺炎可能,故停用青霉素及左氧氟沙星,调整为头孢吡肟。入院第24天体温恢复正常,诉双耳听力减退,查纯音测听提示双耳混合性耳聋。发病3个月后随访,患者仍有双耳听力重度障碍,复查头颅MRI(图1G~I)及脑电图均未见异常;发病6个月后随访,仍遗留双耳重度听力障碍伴阵发性耳鸣,听觉诱发电位示双耳听觉诱发电位消失(图3A),纯音测听提示双耳混合性耳聋(图3B),耳声发射检查双耳未引出(图3C)。


ABR:脑干听觉诱发电位;DPOAE:畸变产物耳声发射;TEOAE:瞬态声诱发耳声发射;REFER:参考线,即黑色实心圆点连成的线;DP⁃GRAM:DPOAE图, 即红色或蓝色圆点连成的线
该患者为老年男性,以“发热、头痛、意识障碍”为主要症状,脑膜刺激征阳性,脑脊液呈化脓性改变,故化脓性脑膜炎诊断明确。脑脊液培养提示猪链球菌2型,再结合长期从事养猪工作,发病前1周手部皮肤有破损,故猪链球菌2型脑膜炎诊断明确。
猪链球菌是一种革兰阳性兼性厌氧菌,呈球形或卵形,常成对或呈短链状排列,根据荚膜抗原的异质性可分为35种血清型,其中猪链球菌2型(Streptococcus suis serotype 2,SS2)是导致人类感染的最常见的血清型,而SS1、SS4、SS5、SS14、SS16为少见的血清型。进一步行基因序列分析发现,SS2至少有16种序列型(sequence types)[1],其中序列型1和序列型7是最主要的致病类型[2]。猪链球菌的毒力由血清型和基因型共同决定,其毒力主要来自细菌表面物质和分泌物,如荚膜多糖、释放溶菌酶的蛋白、相对分子质量为38 000的表面蛋白和溶血素。根据细菌的毒力因子谱,猪链球菌的毒力分为高致病性、弱致病性和非致病性。本例患者由于检测条件限制,未进行基因检测。
猪链球菌是猪的常见致病菌,分布于猪的上呼吸道、胃肠道和生殖器,在马、狗、猫等动物中也可以分离出[3]。该菌主要通过皮肤伤口接触传播,感染接触猪和猪肉者,如农民、屠宰场工人、屠夫和肉类销售人员等;野猪也可能携带病原体,感染猎人和护林员[1]。除接触传播以外,猪链球菌也可通过空气传播、经口进食污染或者未煮熟的生肉传播。各种年龄对猪链球菌均敏感,主要集中在30~70岁,男女无明显区别,有脾切除、饮酒或酒精性肝病、糖尿病、肾或肺结核、肿瘤、心脏病或者使用皮质类固醇的患者更容易感染该致病菌[4]。自1968年丹麦学者首次报道猪链球菌感染人以来,全球累计约有来自30个国家1 600例猪链球菌感染人的病例报道,主要来自亚洲,多发生在夏季,大多数为散发病例,有两次爆发于中国,可能的原因是该地区气候湿润,有利于细菌生长,同时养猪行业盛行,居民喜食猪肉,部分地区还有食生猪肉和猪血的习俗[5]。本例为散发病例,患者为养猪场工人,长期饮酒为易患因素,手部受伤后没有采取卫生防护措施,故考虑为手部伤口接触带菌猪后传染可能性大。
猪链球菌感染人体后最常见的症状是脑膜炎、关节炎和败血症,脑膜炎病例占欧洲和亚洲猪链球菌感染病例的一半以上[6]。1968年丹麦学者首次报道了1例猪链球菌感染的化脓性脑膜炎,其后的基础研究发现猪链球菌进入人体后通过血液传播到达脉络丛的上皮细胞,其荚膜多糖具有高侵入性,能帮助猪链球菌黏附在脉络膜上皮细胞的基部,然后进入细胞内,并通过胞内液泡运输到细胞的顶端,再进行胞吐,从而穿过血脑屏障,导致颅内感染[5]。
猪链球菌脑膜炎的平均潜伏期为1.0~4.8 d[4],临床表现包括发热、头痛、呕吐、颈项强直、意识障碍、头晕、前庭功能障碍和共济失调[1]。头颅CT和头颅MRI可无明显异常。部分患者MRI可见脑膜强化、脑沟脑回内高信号,脑室炎者可见脑室壁在T2加权像上呈高信号,细胞碎屑在弥散加权成像、液体衰减反转恢复序列、T2像上均可见侧脑室角内液体平面[7, 8]。脑脊液常规、生化、培养和血培养是最重要的确诊方法。典型的脑脊液检查示压力增高、外观混浊、白细胞数增多,多个核细胞为主,蛋白增多,葡萄糖和氯化物降低。2015年一项对711例猪链球菌脑膜炎的荟萃分析结果显示,患者脑脊液平均白细胞数为1 920/mm3,蛋白2.4 g/L,葡萄糖1.09 mmol/L[9]。脑脊液培养、微生物鉴定药敏试验可明确血清型、基因型、指导抗感染方案。本例患者脑脊液外观混浊、白细胞数和蛋白均超过平均数,提示由白细胞、细胞碎屑、蛋白组成的脓液稠厚,以至于MRI上可见脓液沉积。本例患者多次血培养均未发现致病菌,可能与患者血培养前已使用头孢类抗生素有关。
猪链球菌脑膜炎的治疗首选青霉素或者头孢曲松,通常全身和神经系统症状在数天或数周内好转,复查脑脊液可见白细胞数逐渐减少,多个核细胞比例明显降低。与其他化脓性脑膜炎不同,猪链球菌脑膜炎有复发倾向,病程迁延,呈双向病程,近一半的患者在使用抗生素后2~3周出现耳聋和前庭功能障碍[10]。耳聋通常为感音性耳聋,单耳或双耳均可受累,发病3个月内非严重的听力障碍(纯音测听测试<80 dB)可在数月内好转,而严重的听力障碍(≥80 dB)通常难以逆转。动物试验表明,听力障碍与蛛网膜下腔的猪链球菌经耳蜗导水管侵犯外淋巴液导致化脓性迷路炎,进而引起内耳微循环障碍和蜗神经损伤有关[3];年龄>50岁、携带epf基因、使用地塞米松可能是耳聋的危险因素[11]。该患者发病6个月听力无明显恢复提示后遗症状严重。由于猪链球菌脑膜炎常并发听力障碍,影响生活质量,因此如何预测、预防和治疗听力障碍是急需解决的难题。
猪链球菌脑膜炎均属于少见的化脓性脑膜炎,在临床工作中应该注意询问患者职业暴露史,注意查找皮肤伤口,完善头颅磁共振、脑脊液检查,在病情好转的过程中关注患者听力改变。同时提醒从事生猪相关职业的人员做好个人防护、严格执行卫生标准,避免猪链球菌脑膜炎的发生。
所有作者均声明不存在利益冲突
None declared





















