
高同型半胱氨酸血症是青年脑梗死的独立危险因素。同型半胱氨酸代谢过程中关键酶的基因突变是高同型半胱氨酸血症的主要原因,胱硫醚-β-合成酶复合杂合变异致青年脑梗死,同时合并肺栓塞及下肢动脉血栓罕见报道。文中报道1例青年脑梗死患者,合并肺栓塞及下肢动脉血栓,病因筛查发现血同型半胱氨酸水平显著增高,基因检测胱硫醚-β-合成酶833T>C/1082C>T复合杂合变异,予叶酸、甲钴胺、维生素B6以及抗凝治疗后,患者血同型半胱氨酸水平逐渐下降,随访1年,未见新发血栓事件,复查同型半胱氨酸在正常范围。
高同型半胱氨酸血症(hyperhomocysteinemia,HHcy),尤其伴HHCy的高血压即H型高血压与脑梗死的关系目前受到广泛关注,但HHcy的病因诊断往往被忽略。同型半胱氨酸(homocysteine,Hcy)增高的主要原因包括Hcy代谢过程的关键酶缺陷及辅助因子缺乏,次要原因包括蛋氨酸摄入过多、某些疾病和某些药物的不良反应。其中,胱硫醚-β-合成酶(cystathionine beta-synthase,CBS)基因突变是Hcy显著升高最常见的原因之一[1]。由于部分HHcy患者可能无症状,临床上容易被漏诊,一旦发生血栓栓塞事件,可危及生命。本文通过报道1例CBS基因变异致青年脑梗死患者的诊治过程,提高临床对基因缺陷性HHcy导致青年脑梗死的重视。
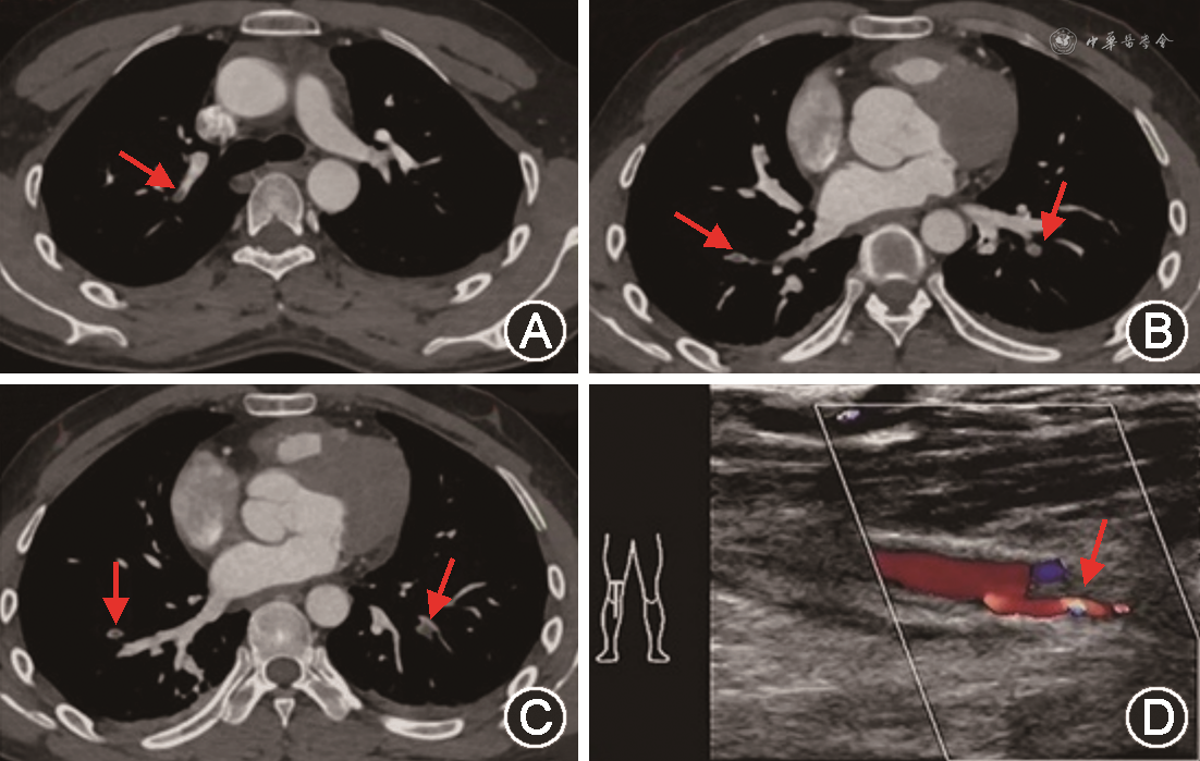
临床资料 患者男性,26岁。2020年1月5日因“突发言语含混、右侧肢体无力2周”收入我科,不伴头痛、发热、肢体抽搐、意识障碍,外院头颅MRI示左侧额颞顶枕叶、岛叶及基底节区大片状异常信号灶并部分强化,疑感染性病变,于外院治疗后症状无缓解转诊我院。既往否认高血压、糖尿病史;吸烟史10年,每日10支,否认饮酒史,否认脑血管病家族史。入院体检:肥胖体型,体重指数31 kg/m2,体温36.7 ℃,脉搏70次/min,呼吸20次/min,血压146/90 mmHg(1 mmHg=0.133 kPa)。意识清楚,构音障碍,反应迟钝,理解力下降,部分指令不能完成,右侧中枢性面舌瘫,右侧肢体肌张力增高,右上肢肌力0级、右下肢肌力2级,右侧腱反射(++++),右侧偏身针刺觉减退,右侧上下肢病理征阳性,左肢肌力、肌张力、腱反射正常,未引出病理征。入院后监测血压均在正常范围。辅助检查:2019年12月25日于外院行颅脑MRI平扫+增强示左侧额颞顶枕叶、岛叶及基底节区大片状异常信号灶并部分强化,疑感染性病变(图1A~D)。2020年1月6日我院颅脑MRI平扫+DWI+灌注加权成像考虑左侧额颞顶枕叶、岛叶及基底节区脑梗死恢复期;灌注扫描示左侧大脑半球灌注减低(图1E~K)。2020年1月6日行头颈CTA检查示左侧大脑中动脉M2段分支显示不清、其远端分支稀疏(图1L);冠状动脉CT成像未见明显异常;扫及左下肺静脉充盈缺损影。1月6日查右侧上下肢血管彩超示右侧上下肢动脉、静脉血流通畅。2020年1月10日进一步完善左心房-肺静脉CT成像显示右上肺及双下肺肺动脉部分分支内肺动脉栓塞(图2A~C),左心房未见明显血栓形成征象。患者病程中无胸闷、呼吸困难、胸痛、咳血等表现,监测经皮血氧饱和度大于95%。1月13日复查四肢动静脉彩超发现右下肢腘动脉、胫前动脉血栓形成(图2D);四肢深静脉血流通畅。右下肢体检见足背动脉未扪及,右足皮温较左侧稍降低,无明显皮肤青紫、足趾坏死等。心电图示窦性心律。心脏超声未见明显异常。血Hcy 416.25 μmol/L(正常范围0~15.00),血叶酸、维生素B12水平正常,凝血功能及D-二聚体水平均正常。血常规:白细胞计数12.72×109/L(正常值:3.50×109/L~9.50×109/L),血小板369.0×109/L(正常值:125.0×109/L~350.0×109/L);血脂:甘油三酯 2.68 mmol/L(正常值<1.70 mmol/L),低密度脂蛋白胆固醇 3.59 mmol/L(正常值<3.37 mmol/L);C反应蛋白27.76 mg/L(正常值:0~5.00 mg/L),白细胞介素-6 56.63 pg/ml(正常值:0~7.00 pg/ml);尿酸 498 μmol/L(正常值:210~420 μmol/L),丙氨酸氨基转移酶 100 U/L(正常值:9~50 U/L);红细胞沉降率 60 mm/h(正常值:0~15 mm/h);抗“O”、类风湿抗体均未见异常;自身抗体检查示:抗增殖细胞核抗原抗体呈弱阳性,余均为阴性。结核感染T细胞斑点试验、结核抗体为阴性。2020年1月19日完善患者的基因检测,结果提示CBS基因发生变异,通过对其父母及弟弟进行基因验证,发现患者CBS为复合杂合变异,2个突变基因分别来源于其父亲和母亲(图3)。其父亲血Hcy浓度19.71 μmol/L,母亲血Hcy浓度9.33 μmol/L,患者父母的叶酸、维生素B12水平及凝血功能均正常。患者诊断为急性脑梗死,TOAST分型考虑其他原因型,予低分子肝素序贯利伐沙班抗凝,补充叶酸、维生素B6、甲钴胺,同时予降脂、改善循环、营养神经等治疗,1周后复查患者Hcy水平下降至169.29 μmol/L,2周后复查Hcy降至79.88 μmol/L,结合康复治疗、针灸治疗,2020年1月22日患者出院时能间断说出个别简单词汇,右侧上肢近端肌力Ⅰ级,远端肌力0级,右下肢肌力Ⅲ级,未见新发血栓。出院后继续予抗凝、调脂稳斑、叶酸、甲钴胺、维生素B6口服等降同型半胱氨酸治疗,1年后随诊未见新发血栓形成,复查Hcy水平为12.50 μmol/L。






患者急性起病,突发右侧肢体偏瘫、偏身感觉障碍,伴严重构音障碍及语言理解、表达障碍,颅脑MRI检查考虑左侧大脑中动脉分布区脑缺血,部分区域脑梗死,结合头颈部CTA检查显示左侧大脑中动脉M2段远端分支减少,左侧大脑中动脉供血区脑梗死诊断明确。患者为青年脑梗死患者,心电图、心脏超声未见心房颤动、心脏瓣膜病,不支持心源性卒中;头颈部CTA检查可排除头颈部动脉夹层、血管畸形等其他血管疾病;结合自身抗体阴性,不考虑免疫性血管病变;凝血功能、血小板均未见明显异常,无血液系统疾病依据。患者有长期吸烟史、肥胖及高脂血症等动脉粥样硬化的危险因素,进一步病因筛查,发现血Hcy显著升高,同时发现肺栓塞及下肢动脉血栓,进一步基因检测,发现CBS基因发生833T>C/1082C>T杂合变异。家系验证结果显示此双杂合变异分别来源于其父母,为复合杂合变异。突变致病性分析,第一个突变位点c.1082C>T(胞嘧啶>胸腺嘧啶)导致氨基酸改变p.A361V(丙氨酸>缬氨酸),与文献报道的变异点氨基酸位置相同,但是核苷酸变异不同[2],根据美国医学遗传学与基因组学学会(the American College of Medical Genetics and Genomics,ACMG)指南,此位点评级为致病性不明突变。第二个突变位点c.833T>C(胸腺嘧啶>胞嘧啶)导致氨基酸改变p.I278T(异亮氨酸>苏氨酸),多篇文献明确报道该突变为致病突变[2, 3]。一项荟萃分析筛选10个病例对照研究,包含2 247个病例和1 813个对照,结果在大多数中国人遗传模型中观察到CBS c.T833C基因多态性与卒中风险之间的显著相关性[4]。根据ACMG指南,c.833T>C评级为致病性突变。综上所述,考虑CBS基因833T>C/1082C>T复合杂合变异所致HHcy很可能为本例青年脑梗死患者的发病原因。予抗凝、补充叶酸、维生素B6、甲钴胺治疗2周后复查Hcy下降至 79.88 μmol/L,出院时神经功能缺损症状较入院时有所恢复,未见新发血栓。
血液中Hcy浓度升高,大于15 μmol/L则称为HHcy。中国脑血管病一级预防指南明确推荐HHcy是脑卒中明确的危险因素[5]。关于HHcy导致脑卒中的发病机制,目前研究认为,Hcy可以促进氧自由基生成,引起血管内皮损伤和功能障碍;诱导黏附分子和趋化因子表达,促进单核细胞黏附于血管内皮并迁移进入内皮下组织,摄取脂质转化为泡沫细胞;改变内皮细胞抗血栓特征,促进凝血和抑制抗凝功能;干扰纤溶活性;最终通过促进动脉粥样硬化和血栓形成,导致脑血管事件[1,6]。HHcy的主要原因包括Hcy代谢过程的关键酶缺陷及辅助因子缺乏,次要原因包括蛋氨酸摄入过多、某些疾病和药物的不良反应。其中,CBS基因突变是Hcy显著升高的最常见原因之一[1]。CBS基因变异所致HHcy称为经典型高胱氨酸尿症(classical homocystinuria,HCU),也称为CBS缺乏性高胱氨酸尿症,是一种罕见的遗传性疾病,为常染色体隐性遗传,其患病率具有显著的地域性差异,估计全球HCU的患病率最低为0.38∶10万,亚洲人患病率较低,为0.02∶10万[7]。HCU的主要临床表现为4个特征性系统受累:包括眼睛(近视、晶状体异位等),骨骼和结缔组织(骨质疏松、脊柱侧弯、皮肤脆薄、头发纤细等),血管系统(血栓栓塞)和中枢神经系统(精神发育迟滞、癫痫发作等)[8]。
本例患者26岁发病,临床表现为孤立血栓事件,未合并眼睛、骨骼和结缔组织以及中枢神经系统受累的表现。研究表明,HCU的发病年龄、临床表现以及疾病严重程度跨度很大,具有明显异质性,4个典型症状可以同时出现,也可以只累及一个系统[8]。以孤立的动脉或静脉血栓事件为主要表现者也有报道[9]。HCU患者的临床表型异质性与基因多态性有关,同时也与维生素B6的反应性有关。目前已经报道了191个致病性CBS突变位点,其中p.I278T(c.833T>C)、p.G307S(c.919G>A)是最常见的2种[2]。CBS 不同突变位点对CBS 酶活性的影响不尽相同,因而对血浆Hcy 水平影响的程度也不同[10]。对于高频的基因突变,相关研究描述了一致的基因型—表型相关性。例如,p.I278T突变通常临床表型较轻、发病年龄较晚,而且一般应用维生素B6治疗有效,部分患者对维生素B6极度敏感,小剂量维生素B6即可将血Hcy降至正常水平。尤其是c.833T>C纯合突变的患者对维生素B6反应敏感,这类HCU患者发生血栓栓塞的风险可能更高,大多数没有其他并发症,一部分可能终生无症状,一部分成年后发生孤立性血栓栓塞事件,少数出现晶状体异位,极其容易被漏诊,携带c.833T>C的复合杂合子通常至少部分对维生素B6有反应[11]。而晶状体异位、结缔组织病变以及中枢神经系统受累在p.G307S、p.R336C(c.1006C>T)等突变患者中更常见,此类患者通常对维生素B6治疗无反应[8],未经治疗者,82%的患者在10岁时会出现晶状体异位,64%的患者在15岁之前有脊柱骨质疏松的放射学证据,27%的患者在15岁之前有过临床检测出的血栓栓塞事件,23%的患者生存年龄无法超过30岁[12]。其中,p.G307S突变在爱尔兰HCU患者中占70%,此类患者有更严重的临床表现和更早的发病年龄[7]。而在卡塔尔,则以p.R336C突变最为常见。一项单中心研究对来自卡塔尔82个家庭中的126例CBS p.R336C突变患者进行了研究,在这126例患者中,55%属于晚期诊断组,诊断的主要原因包括眼部表现(49%)、神经系统表现(45%),而血栓事件仅占4%[13],35%由新生儿筛查诊断,10%由家庭筛查诊断。HCU患者临床表型异质性、维生素B6反应性与基因多态性三者之间的相关性背后的确切机制尚不明确。本病例患者为833T>C/1082C>T复合杂合变异,应用维生素B6治疗后血Hcy快速下降,考虑属于对维生素B6有反应型,临床表现为孤立性血栓事件,与文献报道[11]一致。
血管并发症是HCU发病和早死的主要原因,不同基因型HCU患者血栓事件发病率差异很大,可以影响任何血管,包括静脉血栓和动脉血栓,其中静脉血栓更常见。根据目前报道的大量病例系列,未经治疗的HCU患者血栓事件50%为深静脉血栓形成(其中1/4与肺栓塞有关),脑卒中(包括脑静脉窦血栓形成)占血管并发症的32%,外周动脉疾病占11%,心肌梗死仅占4%[8]。目前尚无研究统计c.833T>C点突变HCU患者血栓事件的患病率,脑梗死合并肺栓塞及下肢动脉血栓形成也罕见报道。针对HCU的长期管理,降低血Hcy浓度是降低血栓风险最重要的措施。2017年国际CBS缺乏症诊断及管理指南推荐,对维生素B6有反应的患者,血浆总Hcy的目标应小于50 μmol/L,而对维生素B6无反应的患者,建议血浆总Hcy水平保持在100 μmol/L以下,具体措施包括低蛋氨酸饮食、补充维生素B6、叶酸、维生素B12及应用甜菜碱治疗[8]。HHcy导致缺血性脑卒中的病理机制包括动脉粥样硬化性血栓形成和血栓栓塞两个方面,因此对于合并脑动脉血栓的HCU患者,需要给予抗凝和(或)抗血小板治疗进行血栓的二级预防。由于HCU属于罕见疾病,HCU并发脑动脉血栓的研究仅见于个案报道,目前尚缺乏大样本量的临床研究比较抗凝和抗血小板的治疗效果。在临床实践中,需根据患者动脉粥样硬化狭窄的程度、血小板的数目及功能、血流动力学以及凝血功能状态综合分析患者脑动脉血栓的病理机制。本例脑梗死患者合并肺动脉栓塞以及下肢动脉血栓,而下肢深静脉未见血栓,说明患者血栓形成与卧床、血流缓慢关系不大,肺动脉血栓并非来源于下肢深静脉以及心脏,而是肺动脉自身血栓栓塞,考虑高Hcy血液高凝状态导致患者易栓症。结合患者头颈部CTA提示左侧大脑中动脉M2段分支显示不清、其远端分支稀疏,未见脑动脉粥样硬化征象,故考虑患者脑梗死的机制很可能与肺动脉栓塞机制类似,TOAST分型考虑其他有明确原因的脑梗死,具体梗死机制考虑CBS c.833T>C/1082C>T复合杂合变异型高Hcy所致脑动脉血栓栓塞。此类患者建议长期抗凝预防血栓事件再发,动态随访复查左侧大脑中动脉血管病变,若出现明显动脉粥样硬化狭窄表现,要考虑抗血小板聚集治疗。
青年脑梗死的病因复杂,临床上脑梗死患者合并HHcy并不少见。HHcy病因不同,脑梗死病理机制、发病年龄、临床表现、疾病进展方面有显著差异,针对HHcy治疗、脑梗死二级预防以及患者预后均有所不同,且部分HHcy患者无任何临床表现,极容易被漏诊,要引起临床重视。对于青年脑梗死患者,建议常规筛查Hcy,必要时行基因检测,早期诊断HCU,及时给予针对性治疗,防止出现更严重的并发症,让患者有正常的就业和家庭生活的机会。
所有作者均声明不存在利益冲突
None declared





















