
虫螨腈、茚虫威是世界各地普遍使用的两类新型杀虫剂。近年来,国内外陆续有为数不多的人类服用虫螨腈或茚虫威中毒的个案报告,但同时口服虫螨腈、茚虫威引起中毒的病例尚未见报道。现报道1例我院收治的口服虫螨-茚虫威中毒后以迟发性中枢神经系统损害为特点的幸存患者,以供临床参考。
杀虫剂被认为是提高农作物产量的有效手段之一,然而全世界每年发生约300万起人类杀虫剂中毒事件,其中近22万人死亡[1]。虫螨-茚虫威是由杀虫机制截然相反的虫螨腈、茚虫威配制而成,因此具有杀虫广谱、防效高、持效长的特点,被广泛应用于农业生产中。迄今为止,虫螨-茚虫威中毒的病例报告罕见,现报道1例口服浓度10%(虫螨腈浓度7.5%、茚虫威浓度2.5%)的虫螨-茚虫威约20 ml 1周后出现严重CNS损害后遗留截瘫的存活患者,旨在提高此类中毒易引起CNS损害的认识。
患者男性,32岁,因“双下肢麻木无力伴排尿困难4 d”于2020年9月24日至我院就诊。患者于2020年9月14日误服虫螨-茚虫威杀虫剂约20 ml后出现恶心、呕吐,全身乏力,无意识障碍、头痛,头晕;无抽搐、视物模糊;无大汗、流涎;无胸闷、气促,心悸;无发热、咳嗽;无腹痛、腹泻等不适,约11 h后送至外院急诊科就诊,予洗胃、导泻、阿托品解毒等治疗3 d后,呕吐、乏力症状消失,自觉恢复正常。9月21日突发排尿困难,双下肢麻木、无力,搀扶尚能行走,当日于外院头颅和颈、胸、腰椎磁共振成像(MRI)示:双侧大脑半球白质急性脱髓鞘改变;脑干、部分小脑及双侧大脑部分灰质区缺血缺氧性改变;胸、腰椎椎管内脊髓T2WI呈稍高信号。9月23日患者双下肢无力症状加重,不能行走,9月24日以“虫螨-茚虫威中毒性脑脊髓病”收住我科。
入院体检:体温36.1 ℃,脉搏78次/min,呼吸17次/min,血压117/58 mmHg(1 mmHg=0.133 kPa),意识清楚,语言流利,检查合作,对答切题,记忆力、计算力及定向力正常;脑神经(-);双下肢肌力0级,肌张力降低,余肢体肌力肌张力正常;双上肢指鼻试验、轮替试验稳准;双下肢腱反射未引出,双上肢腱反射(++);腹股沟平面以下针刺痛觉减退,深感觉正常,余肢体深浅感觉正常,颈软,无抵抗,脑膜刺激征(-),双侧Babinski征(-)。心肺腹体检未见明显异常。
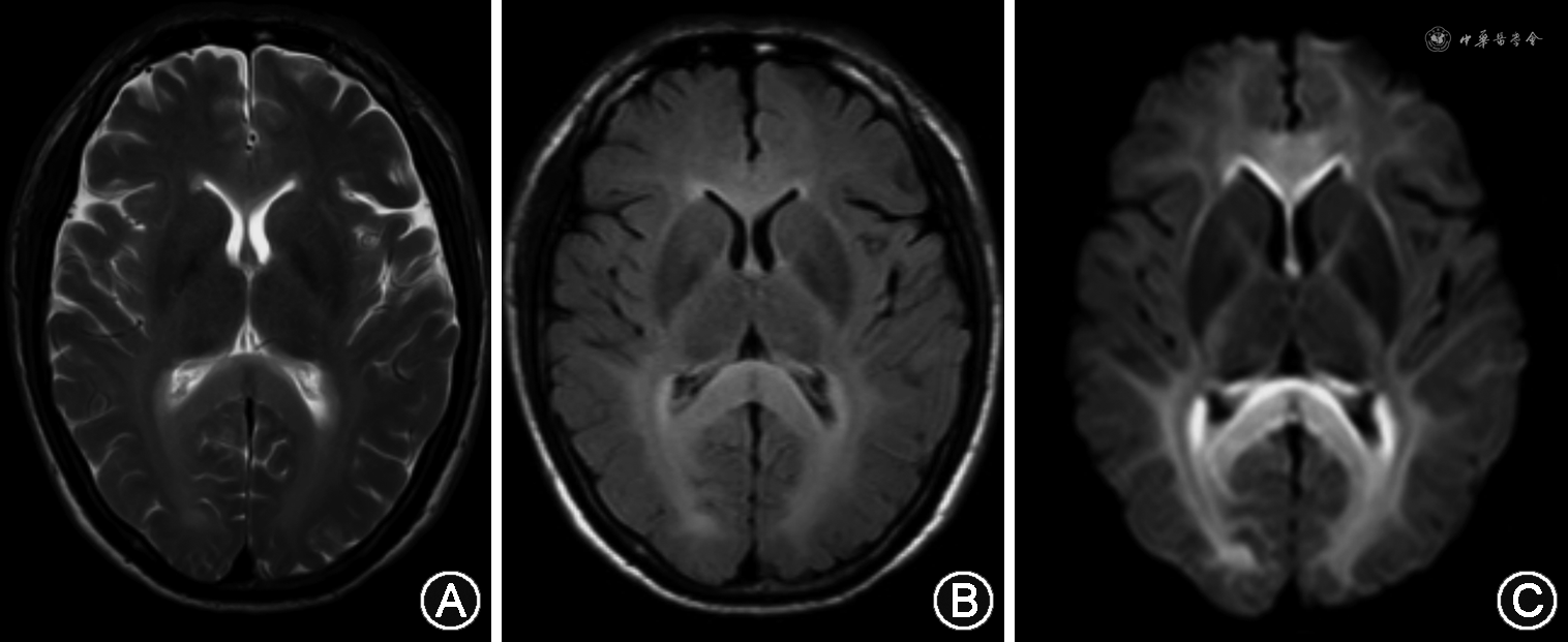
入院后完善头颅以及颈、胸、腰椎MRI检查(图1,2),其余所行的四肢肌电图、四肢血管超声、胸部CT、心脏彩色超声、心电图、腹部超声检查未见明显异常。肝功能:丙氨酸氨基转移酶303.001 U/L(正常值9.00~50.0 U/L),天冬氨酸氨基转移酶82.00 U/L(正常值15.00~40.00 U/L)。磷酸肌酸酶1 042.0 IU/L(正常值50.0~310 IU/L)。乳酸脱氢酶567 IU/L(正常值120~250 IU/L)。血乳酸5.49 mmol/L(正常值0.60~2.20 mmol/L)。纤维蛋白原降解产物63.0 mg/L(正常值<5 mg/L)。D-二聚体19.62 mg/L(正常值<0.5 mg/L)。在患者知情同意下下行腰椎穿刺,脑脊液压力110 mmH2O(1 mmH2O=0.0098 kPa),红细胞9×106/L、白细胞5×106/L,微量白蛋白304.4 mg/L(正常值140.0~230.0 mg/L),脑脊液总蛋白正常。血清及脑脊液脱髓鞘抗体水通道蛋白4-IgG、髓鞘少突胶质细胞糖蛋白-IgG、神经胶质纤维酸性蛋白-IgG、IgG-寡克隆区带均阴性。余检验结果:电解质、急诊超敏C反应蛋白、红细胞沉降率、降钙素原、肝炎病毒学、梅毒、人类免疫缺陷病毒、呼吸道标本培养、结核DNA、G试验、曲霉特异性抗原检测试验、心肌酶、尿素、肌酐、淀粉酶、脂肪酶、甲状腺功能、血糖、血脂、血红蛋白、风湿免疫、肿瘤标志物、血液需氧培养、血液厌氧培养、脑脊液(细菌涂片抗酸染色/墨汁染色、聚合酶链反应、TORCH全套)均未见明显异常。




入院后予甲泼尼龙500 mg静脉滴注、营养神经、维持水电解质平衡等治疗。入院第3天,患者感觉平面由腹股沟平面上升至T7水平,提示脊髓损害加重,加用免疫球蛋白(0.4 mg·kg⁻¹·5 d⁻¹)治疗;入院第4天,患者出现发热(体温38 ℃),伴大量出汗,无寒颤,予物理降温后体温恢复正常:入院第5天,患者感觉平面恢复至腹股沟水平;腹胀明显,考虑脊髓病变引起的胃肠自主神经功能紊乱,予灌肠,促胃肠蠕动药物等对症治疗;血磷酸肌酸酶、乳酸脱氢酶、肝酶、血乳酸升高,考虑与毒物所致的细胞能量代谢障碍有关,加用三磷酸腺苷、辅酶Q10等对症治疗;凝血功能异常,动态复查凝血功能,未予抗凝治疗。经上述治疗17 d后患者好转出院,出院时体温正常,腹胀减轻,双下肢肌力0级,感觉平面维持在腹股沟水平,血磷酸肌酸酶、乳酸脱氢酶、肝酶、凝血功能基本恢复正常,但血乳酸进行性增高(出院时血乳酸13 mmol/L),随访至中毒后112 d恢复正常。
虫螨腈是一种被世界卫生组织列为中等危险化学品的新型吡咯类非神经毒性杀虫剂[2],作为一种无活性的前体进入机体后经多功能氧化酶氧化形成具有生物毒性的CL303268化合物,破坏线粒体氧化磷酸化二磷酸腺苷转变成三磷酸腺苷的生理过程,导致细胞能量供应中断,尤其对大脑、骨骼肌、心肌等高能量代谢的组织造成严重损害[3]。人类虫螨腈中毒的病例报告罕见,病死率极高,Endo等[4]报道24例虫螨腈中毒患者中,8例死亡;其致死性可能与摄入量有关:既往人类虫螨腈中毒的病例报道表明摄入10%的虫螨腈20~250 ml的患者几乎表现为潜伏期7~14 d后出现高热、出汗、横纹肌溶解、神经系统恶化等症状[5, 6, 7, 8, 9, 10],最后死于心搏骤停[6,8,11, 12]或其他原因;摄入10%的虫螨腈10 ml的存活患者,可能会出现胰腺炎[13]、中毒性脑白质病和截瘫[14]。一项杀虫剂的毒性研究表明,虫螨腈毒性远大于茚虫威[15]。茚虫威是一种阻断神经细胞钠离子通道并破坏神经冲动传递,导致神经肌肉麻痹的新型恶二嗪类神经毒性杀虫剂[16]。绝大部分茚虫威中毒患者表现为获得性高铁血红蛋白血症,即突发头痛、头晕、乏力、呼吸困难以及皮肤、口唇黏膜、甲床紫绀[17],予高流量吸氧、亚甲蓝静脉输注后上诉症状明显缓解。杀虫机制不同的虫螨腈、茚虫威进入人体后的中毒症状以及这两类药物是否发挥协同还是拮抗作用,促使毒性增强还是减弱目前尚不清楚。
本患者口服虫螨-茚虫威20 ml后,出现发热、出汗及截瘫等症状,期间未出现呼吸困难、口唇黏膜、甲床紫绀等症状,据临床表现推测其可能为虫螨腈中毒,原因如下:首先,虫螨-茚虫威混合制剂中茚虫威浓度远远低于虫螨腈;其次,茚虫威的毒性明显小于虫螨腈且茚虫威具有低哺乳动物毒性的特点[18]。本患者中毒后血磷酸肌酸酶、乳酸脱氢酶、肝酶基本恢复正常,仅遗留截瘫,表明重要脏器(如肝脏、肌肉)等基本不受影响,以神经系统损害为主;结合肌电图提示周围神经未见明显异常,因而损害主要为CNS。根据影像学证据,经复习文献,目前仅见4例人类虫螨腈中毒并累及CNS报道,MRI均表现为长T1长T2,液体衰减反转恢复(FLAIR)序列、DWI高信号,表观弥散系数(ADC)低信号的双侧大脑半球白质束对称性病变及全脊髓弥漫性肿胀[7, 8,19,14]。本患者头颅MRI(图1)在T2WI上突出表现为广泛性和对称性的高信号改变伴明显弥散受限,其异常信号局限于整个大脑、脑干的白质及脊髓MRI(图2),提示胸髓可疑肿胀,与既往报道的虫螨腈中毒并累及CNS的影像结果非常相似。综上所述,本患者虫螨-茚虫威中毒后的临床症状、影像学特点均与既往病例报道的人类虫螨腈中毒的临床影像表现相符,因此最终考虑其为虫螨腈中毒。
人类虫螨腈中毒易导致CNS白质病变的机制目前尚不清楚,推测原因如下:首先,虫螨腈属于较强的脂溶性亲神经毒物,容易透过血脑屏障;其次,虫螨腈影响细胞能量代谢,且CNS本身代谢旺盛,能量消耗大,因此CNS比人体其他组织更易受虫螨腈的干扰;再次,与CNS的灰质相比,白质更容易受亲脂类毒素的破坏[20],因此最终虫螨腈中毒累及神经系统以广泛CNS白质病变为主。CNS白质病变常见的病理改变为脱髓鞘[21],本患者脑脊液及血清脱髓鞘抗体水通道蛋白4-IgG、髓鞘少突胶质细胞糖蛋白-IgG、神经胶质纤维酸性蛋白-IgG、IgG-寡克隆区带均为阴性,暂时能排除其CNS白质病变为原发性免疫介导的CNS炎性脱髓鞘。近来de Oliveira等[22]总结了常见中毒代谢性脑病的影像学特点,发现不累及灰质的弥散受限、非强化的弥漫性对称性脑白质病灶多数是可逆的,其病理改变可能为髓鞘内水肿。Baek等[14]报道了1例口服极少量10%的虫螨腈19 d后出现截瘫,MRI呈FLAIR、DWI高信号,ADC低信号且非强化的双侧对称性弥漫脑白质病变以及全脊髓肿胀的幸存患者,中毒71 d后其MRI表现为脑及T7以上脊髓异常信号完全消失,T7以下脊髓残留高信号及萎缩改变;该患者CNS白质异常信号消失的特点表明虫螨腈中毒性CNS白质病变可逆。同时也有研究者对虫螨腈中毒后的大鼠神经组织行病理活检,发现其神经髓鞘轻度肿胀[14]。由此可见,虫螨腈中毒性CNS白质病变极有可能为可逆性髓鞘内水肿。本例患者虫螨腈摄入剂量、截瘫的临床症状以及MRI特点均与Baek等[14]报道的虫螨腈中毒患者十分相似,因此推测其虫螨腈中毒性CNS白质病变为可逆性髓鞘内水肿。遗憾的是,由于经济条件受限,本患者出院后拒绝复查MRI,其中毒后第8天和第19天的MRI检查结果提示异常信号未消失,可能由于复查MRI的间隔时间过短。随访至今本患者仍遗留截瘫症状,推测可能与MRI提示T9椎体平对脊髓片状强化、不可逆损害有关。本例患者与Baek等[14]报道的患者虫螨腈中毒后分别出现T9、T7脊髓的不可逆病灶,表明胸髓比其他脊髓节段更易受毒物影响,推测可能与胸髓血供较其他脊髓节段稍差有关。
本患者虫螨腈中毒后先出现急性胃肠刺激症状,1周后出现双下肢麻木无力,2周后血乳酸进行性升高,随访至今恢复正常。这表明小剂量虫螨腈中毒具有迟发神经毒性特点,但其发病机制不明,推测原因如下:首先虫螨腈属于亲脂类亲神经毒物,从消化道吸收进入血液循环从而进入CNS需要时间;其次无活性的虫螨腈进入CNS后经多功能氧化酶氧化后转变为具有生物毒性的化合物需要时间;该化合物作用于线粒体影响CNS细胞能量代谢并造成其损害需要时间;最后CNS细胞能量代谢障碍造成乳酸累积需要时间,待中毒效应解除后CNS细胞能量代谢恢复正常,从而血乳酸恢复正常。
人类虫螨腈中毒病例少见,故救治经验不足。无特异解药的虫螨腈中毒急性期应立即采取有效措施迅速清除体内毒物,如催吐、洗胃、血液透析、血液灌流、血液置换以及大量输液、使用利尿剂等[23];待毒物完全进入体内(即中毒慢性期)后,激素、免疫球蛋白的解毒作用不确切。Baek等[14]报道的虫螨腈中毒患者出现神经损害症状时立即使用了大剂量激素冲击治疗,后其神经症状持续进展;本患者出现截瘫第3天予甲泼尼龙500 mg静脉滴注3 d后,其感觉平面由腹股沟平面上升至T7水平,表明对于人类虫螨腈中毒造成的CNS损害,大剂量激素可能无益。本例患者感觉平面上升至T7时加用免疫球蛋白治疗,后感觉平面恢复至腹股沟水平,提示人类虫螨腈中毒造成CNS损害时免疫球蛋白治疗可能有效,但其作用机制未明,有待进一步研究。近年来,静脉注射脂肪乳成为亲脂性毒物中毒的一种解毒方法,普遍认为此方法会改变毒物的药代动力学,导致绝大部分储存在体内脂肪组织的毒物释放至血浆与胆汁结合后被胆汁清除[24]从而促进毒物排出体外。2019年,Davy等[25]报道了1只虫螨腈中毒拉的布拉多猎犬,采用静脉注射脂肪乳救治并最终存活。鉴于此,对于人类虫螨腈中毒上述解毒方案可能有效。
总之,人类虫螨腈中毒罕见,其特点为潜伏期7~14 d后出现迅速恶化的临床症状;虫螨腈毒性极强,大剂量中毒者普遍死亡,即使小剂量中毒幸存者也会出现截瘫等严重CNS损害症状。面对虫螨腈中毒患者,临床医生应注意其延迟毒性特点,最好延长观察周期达14 d;同时警惕CNS可能比常见的肝肾解毒器官更易受累,建议尽早完善头颅、颈胸腰MRI检查。虫螨腈中毒只累及CNS白质的弥散性对称性病变的独特影像学表现有利于与其他中毒代谢性脑病鉴别。中毒早期应采取洗胃、血浆置换等迅速清除体内毒物的救治措施;中毒晚期治疗经验不足,激素免疫球蛋白效果不确切,静脉注射脂肪乳可能有效。
所有作者均声明不存在利益冲突
None declared





















