
分析1例2020年8月在中国医学科学院北京协和医院神经科住院的克雅病患者的临床表现和检查结果,并对其进行全面的神经心理学评估和失用相关评估。该患者为65岁男性,隐匿起病,症状逐渐进展,临床表现为失用症、快速进展的痴呆和锥体外系症状,头颅磁共振成像提示双侧大脑半球“花边征”,脑脊液14-3-3蛋白阳性,符合很可能克雅病的诊断标准,其失用症为典型的观念运动性失用。经复习文献,发现失用也可以是克雅病的主要神经心理损害表现,临床诊治中需要重视失用症的规范和正确评价、及时识别。
Creutzfeldt-Jakob病(Creutzfeldt-Jakob disease,CJD)又称克雅病,是由正常朊蛋白(prion protein)错误折叠所致的一种中枢神经系统变性疾病,其中85%~95%的患者为散发性CJD(sporadic CJD,sCJD)。其主要临床表现为痴呆、小脑功能障碍、视力障碍、锥体外系症状、锥体束受累、无动性缄默和肌阵挛等[1-2]。所有CJD患者均会出现痴呆等高级皮质功能障碍,早期可仅表现为注意力、记忆和判断力损害,随着病情进展,患者可出现痴呆、失语、失用症及额叶综合征等[2, 3]。失用症在CJD患者中并不少见,但是临床工作中对失用症的认识和评价以及以失用症为突出表现的CJD病例关注较少。文中报道1例以失用症为突出表现的CJD患者,对其临床表现、辅助检查及神经心理学评估结果等进行报道,并结合本例患者回顾相关文献,对失用症的概念、分类、临床表现及评估方法等进行复习,提示我们在临床诊治工作中应及时正确识别失用症。
临床资料 患者男性,65岁,农民。主因“双下肢活动不利1年余,记忆减退半年”于2020年8月14日入北京协和医院。患者1年前无明显诱因出现双下肢发沉,自觉抬腿困难,走路时跟不上别人的步伐,下楼时感双下肢不受控制,不知如何落脚。半年前出现记忆力减退,记不得刚刚要拿的东西,反应迟钝,穿衣、叠被等动作花费时间较前明显增多,生活自理能力下降;并间断出现双小腿、双足疼痛和“发闷感”;体重明显下降。期间多次就诊于当地多家医院,均未能确诊。之后患者行走时出现双腿发僵、身体间断向右倾,上下楼梯需搀扶,并出现动作迟缓。病程中患者睡眠一般,多梦,否认睡眠中大喊大叫等行为;饮食正常;大小便正常;体重下降约5 kg。既往、个人及家族史:3年前诊断为“白癜风”;吸烟、饮酒史40年,近1年每日饮用自制药酒;家族史无特殊。
2020年8月于北京协和医院就诊并收入院。体格检查:生命体征平稳,心脏、肺部、腹部体检均未见异常。神经系统体检:意识清楚,语言流利,对答切题;高级皮质功能:认知功能下降,失用,左右失认,手指失认,书写不能;脑神经:双眼上视稍差,余(-);四肢肌力Ⅴ级,四肢肌张力增高,肌阵挛;双上肢腱反射对称存在,双膝反射未引出;双侧霍夫曼征、巴宾斯基征均(-);四肢针刺觉、音叉振动觉正常,腹部及双下肢图形觉减退;双手可见静止性震颤,轮替动作笨拙,指鼻、跟膝胫试验基本稳准;步基宽,直线行走不能,Romberg征(-),后拉试验(+);脑膜刺激征(-)。
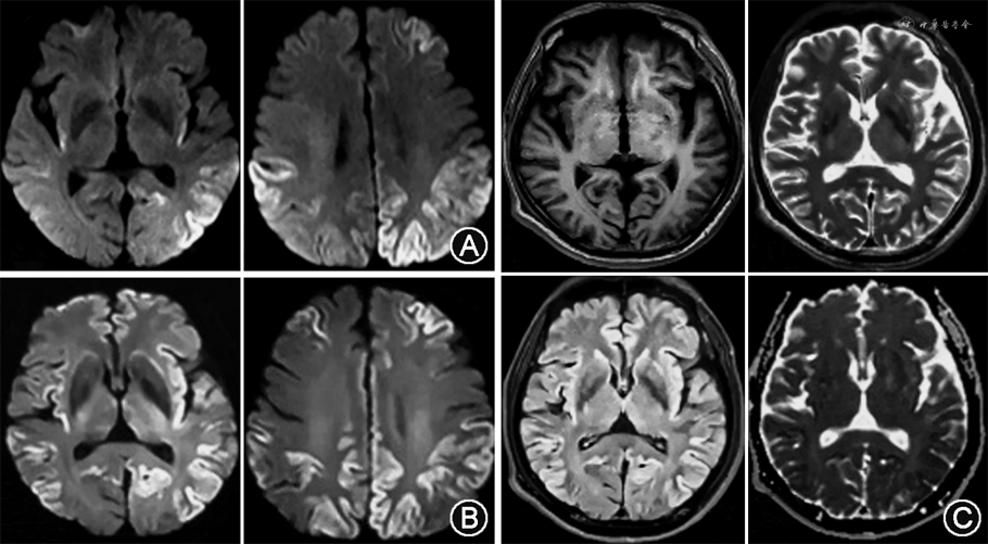
辅助检查:血尿便常规、凝血、肝肾功能、梅毒螺旋体抗体、艾滋病病毒抗原及抗体初筛、乙型肝炎相关抗原及抗体、丙型肝炎抗体、叶酸+维生素B12、抗核抗体谱+抗磷脂抗体谱+系统性血管炎相关抗体谱、常见肿瘤标志物均未见明显异常。毒物筛查未见异常。血抗神经抗原抗体检测:抗N-甲基-D-天冬氨酸受体抗体、抗谷氨酸脱羧酶抗体、抗电压门控钾离子通道抗体及副肿瘤综合征相关抗体Ri、Hu、Yo等免疫检查均未见异常。2020年3月及6月2次行头颅MRI示双侧大脑半球皮质多处花边征并逐渐增多,DWI及FLAIR序列出现高信号(图1)。头颅MRA未见异常。2020年3月外院脑电图报告未见异常。2020年8月于我院复查脑电图提示异常:左颞叶为著不规则慢波;左颞少量尖波(图2)。




脑脊液检测:2020年3月患者于外院行腰椎穿刺,脑脊液常规生化检测报告未见异常。入院后在知情同意下再行腰椎穿刺,脑脊液初压72 mmH2O(1 mmH2O=0.009 8 kPa),终压为0;脑脊液常规:外观无色透明,细胞总数4×106/L,白细胞总数0(正常值0~8×106/L);脑脊液生化:蛋白0.56 g/L(正常值0.15~0.45 g/L),氯化物122 mmol/L(正常值120~132 mmol/L),葡萄糖 3.3 mmol/L(正常值2.5~4.5 mmol/L),乳酸 1.5 mmol/L(正常值0.6~2.2 mmol/L);脑脊液寡克隆区带、细菌、真菌涂片未见异常;快速梅毒血浆反应素试验、梅毒特异性抗体、单纯疱疹病毒抗体Ⅰ型+Ⅱ型、巨细胞病毒DNA、巨细胞病毒IgM+巨细胞病毒IgG、Epstein-Barr(EB)病毒DNA、EB病毒IgG+EB病毒IgM、脑脊液抗神经元自身免疫性抗体均无异常。采用酶联免疫吸附测定法检测脑脊液β-淀粉样蛋白(Aβ)42、总tau蛋白(T-tau)、磷酸化tau蛋白(P-tau),结果为Aβ42485.5 pg/ml,T-tau 2 911.3 pg/ml,P-tau 67.4 pg/ml,T-tau/Aβ42为6.0。将脑脊液样本送中国疾病预防控制中心进行14-3-3蛋白检测,结果回报脑脊液14-3-3蛋白阳性。
神经心理学评估:采用简易精神状态检查(Mini-Mental State Examination,MMSE)和蒙特利尔认知评估量表-北京协和医院版(Montreal Cognitive Assessment-Peking Union Medical College Hospital version,MoCA-P)初步评估整体认知功能;日常生活能力量表(Activity of Daily Living Scale,ADL)评定日常生活能力;医院焦虑抑郁量表(Hospital Anxiety and Depression Scale,HAD)评估精神状态。采用中国医学科学院北京协和医院认知功能评价系统[4],对执行功能、视空间、语言、记忆及概念推理与计算共5个认知域进行认知功能的综合评价。评估结果:MMSE评分 21分;MoCA-P评分 14分;ADL评分 37分(存在日常生活能力下降);HAD(焦虑)评分2分(正常);HAD(抑郁)评分5分(正常)。认知综合评价结论见表1。

克雅病患者认知功能综合评估结果
The cognitive assessment results of the patient of Creutzfeldt-Jakob disease
克雅病患者认知功能综合评估结果
The cognitive assessment results of the patient of Creutzfeldt-Jakob disease
| 执行功能 | 语言功能 | 记忆功能 | 视空间功能 | 概念推理及计算 |
|---|---|---|---|---|
| 列名异常(轻) | 自发语言非流利 | AVLT-I异常(轻) | 临摹异常(重) | 相似性测验异常(重) |
| 画钟异常(重) | 复述异常(重) | AVLT-4异常(重) | 积木测验异常(重) | 计算异常(重) |
| 数字符号异常(重) | 听指令执行异常(重) | AVLT-5异常(轻) | 单个动作模仿异常(重) | |
| 积木测验异常(重) | 命名及颜色命名正常 | AVLT-T异常(重) | 改良Rey图形临摹异常(重) | |
| 联想学习异常(轻) | 联想学习异常(轻) | |||
| 接龙测验A异常(重) | 情景记忆异常(轻) | |||
| 系列动作模仿异常(重) | 改良Rey图形回忆异常(重) | |||
| 结论:执行、视空间、语言、记忆及概念推理与计算多项认知功能障碍 | ||||
注:AVLT:听觉词语学习测验
患者失用症的评估结果:(1)及物动作的哑剧表演:提示“请假装刷牙”,患者不示齿反而将双唇噘起;提示“请假装梳头”,患者将手指作为梳齿,经提示后不能纠正。(2)及物动作的模仿:梳头、刷牙模仿基本正确。(3)用实物完成及物动作:患者喝水、剃须、梳头、刷牙等动作基本正确。(4)不及物动作的哑剧表演:如“请把你的左手放在右肩上”“请敬礼”;患者吹口哨、示齿、敬礼、再见、摸右耳等动作不能正确完成。(5)不及物动作的模仿:患者对有意义手势(如敬礼、再见、远眺等)模仿错误;3个无意义手势模仿错误。(6)复杂动作:写信-折叠信纸-放入信封-封信封可正确完成。(7)遵指令完成躺下、坐起等动作非常困难。提示“请躺到床上”,患者坐在床边反复改变坐姿,好像不知如何将双腿放到床上;提示“请从凳子上站起来”,患者双手用力扶桌子,臀部在凳子上前后挪动,起身动作花费30 s。但在日常生活中,患者能够自发轻松地完成平躺、坐起等动作。(8)书面命令指令:患者能正确完成书面指令,包括“请闭上您的眼睛”“请指门,再指窗户”等。
综上所述,患者为中年男性,慢性进展性病程,临床上以失用症为突出表现,同时合并快速进展的痴呆和锥体外系症状;头颅MRI提示双侧大脑半球花边征;脑脊液14-3-3蛋白阳性;脑脊液T-tau、T-tau/P-tau显著增高。患者拒绝进一步完善PRNP基因检测及脑活组织检查等检查。因此,根据2009年Zerr等[5]和2018年Hermann等[1]对CJD的诊断标准,本例患者诊断为很可能的CJD。之后继续予营养神经治疗,但患者及家属要求出院,出院后失访。
讨论 认知障碍通常为CJD患者的首发和常见表现,有研究者对CJD人群进行神经心理学分析,发现绝大部分患者存在多个认知域受损,其中以执行功能、情景记忆和语言功能受损最为常见[2,6, 7]。我们对本例CJD患者进行了系统的神经心理学评估,结果显示其存在执行功能、视空间及记忆等多个认知域受损。该患者虽然满足痴呆的诊断标准,但执行功能障碍或视空间障碍并不能完全解释其临床表现。对其进行失用相关的神经心理学评估,结果显示该患者存在突出的观念运动性失用;按部位分类,患者同时存在肢体失用和躯干失用。但在长达半年的多次求医过程中,患者的失用症一直被临床医师忽视。问及病史时患者及家属也不能准确表述患者症状,但我们从“走路不知道如何迈步”“叠被等家务活动时间延长”等表现中可以发现端倪。失用症在CJD患者中并不少见,Krasnianski等[3]发现高达56.5%的CJD患者存在失用。绝大部分存在失用的CJD患者同时会出现失语、失算等症状,最终表现为某些综合征如进行性非流利性失语、皮质基底节综合征和后皮质痴呆等[8, 9, 10]。仅少数患者以失用为首发表现或疾病早期的唯一症状[3,11, 12]。合并其他症状容易导致对失用症的忽略。从本例患者的确诊经过可以看出,在对CJD患者的早期识别和诊断过程中,不能忽视对失用症的神经心理评估。
John Hughlings Jackson于1861年最先描述了失用相关的症状。1871年Heymann Steinthal引用了“apraxie”来表示错误地使用日常用品,这个词来源于希腊语αηραεια,从此有了关于失用的专有名词;在失用症的发展史中,最具影响力的是Hugo Karl Liepmann,他对失用进行了系统性概述,并在一定程度上对失用进行了分类[13, 14]。失用(apraxia)是指在意识清楚、语言理解功能及感觉运动功能正常的情况下,患者无法执行特定的、预先设定的动作或不能完成已习得的、有目的的动作[15, 16, 17, 18]。失用的实质是运动认知障碍。
失用症的分类基于神经心理学的假说。目前比较可接受的观点为:枕叶、颞叶接收指令、图像等运动信息,整合后在优势半球顶下小叶形成运动模式(movement formula);运动模式是指对动作轨迹、速度和节奏的概念性知识。运动辅助区(supplement motor area,SMA)根据运动公式来编码动作程序,然后传导至优势半球侧的感觉运动皮质,或经胼胝体传至对侧的感觉运动皮质,最终指导动作的形成。根据这个模型中受损模块的不同,失用可分为观念性失用(ideational apraxia,IA)、观念运动性失用(ideomotor apraxia,IMA)和肢体运动性失用(limb-kinetic apraxia,LKA)等。运动模式区域受损可导致IA,运动模式区与SMA之间的连接通路受损可引起IMA,而感觉运动皮质的损伤可导致LKA。除了按神经心理学分类,失用还有其他分类方式。如,按照部位分类,失用可分为口面失用、肢体失用和躯干失用;按特定任务分类可分为言语失用、穿衣失用、步态失用和结构性失用等。
IA是指患者无法将动作任务概念化,且完成多步骤行动的能力受损[17,19]。这种形式的失用很少见,其本质是动作内容错误(content errors)。包括:选择错误的工具,比如患者用剪刀钉钉子;不能将一组复杂动作正确地分解组合,各个动作的次序混乱,比如穿袜子前先穿鞋子。其损伤部位目前不确定,可能在左侧大脑半球或优势半球颞顶联合区。
IMA指患者对要完成的动作有完整的认知,自然状态下可以完成动作,但是听指令执行动作时容易出错[16, 17,20]。这种类型的失用是最常见的,其本质是动作输出错误(production errors)。特点是执行及物动作的哑剧表演最容易出错,其次是模仿表现较差,再其次是用实物动作欠佳。输出错误一般分为两大类。一类是空间错误(spatial errors),包括:姿势错误(postural errors),其中常见的是body-part-as-object error[21],即患者将身体某部分当成工具,且无法经由提醒纠正,比如,让患者假装使用剪刀,患者会将食指和中指当成剪刀的两片刀刃。正常人也会犯相同的错误,但提醒后一般可以纠正;空间定向错误(spatial orientation errors),是指工具使用的方向感缺失,比如使用剪刀剪纸时刀刃的切割方向与纸张平行;空间运动错误(spatial movement errors),指不能协调多关节运动或关节运动错误,例如拧螺丝钉时应该肩关节固定,前臂交替旋前旋后,IMA患者可表现为肩关节旋转而腕部肘部固定。另一类输出错误是时间错误(temporal errors),指动作起始时间延长或出现多次简短停顿,常常不能维持节律性刻板动作,比如切黄瓜片时失去正常节律。IMA的损伤部位包括优势半球顶叶、胼胝体、SMA、脑深部白质和基底节等。
LKA是指患者失去执行精巧、熟练动作的能力,不能完成精细动作[22]。这类失用在哑剧表演和模仿都可能出现异常,但是最敏感的检查是用实物,尤其是涉及手指精细活动的工具或物品,如插孔试验、转硬币。优势半球或胼胝体部位的损伤可能出现LKA。
目前临床对失用症的忽视较多。失用常与肢体无力、共济失调、失语等伴随出现,其症状容易被掩盖。临床上对失用的诊断主要依赖医生的个人经验或直觉,缺乏广泛使用的评估方法[23]。至今已有的失用评估量表大多比较复杂、不够全面,对评估者的要求高,临床难以普及,其敏感度或特异度也偏低[20,24, 25, 26, 27, 28, 29]。1975年Heilman[30]提出的失用量表是较早的评估量表,用该量表评估患者的听指令和模仿。1980年De Renzi等[25]设计的量表包含24个测试项目,全部为动作模仿,主要用于评估观念运动性失用。2008年Bartolo等[24]设计的量表包括13项测试,主要针对肢体失用,其中8项测试评估听指令和模仿有意义手势的能力,4项测试评估手势识别能力,1项测试评估模仿无意义手势的能力。2010年Vanbellingen等[31]设计的上肢失用测试分为6个子测试,包含48个项目,主要评估上肢失用。6个子测试分别为无意义手势的模仿、不及物手势的模仿、及物手势的模仿和无意义手势的哑剧表演、不及物手势的哑剧表演、及物手势的哑剧表演。2017年Buchmann和Randerath[23]设计了更为全面的量表,包括4个子测试:手势的模仿;熟悉工具和新工具的使用;哑剧表演如何使用工具;整体性动作测试——制作早餐。该量表花费时间约30 min,每个子测试都有划界分,推荐临床使用。国内对失用的评估量表极少。汉语失语成套测试(北京大学第一医院高素荣版)中有一项评估失用的子测试,主要对面部失用和上肢失用进行简单评估。
总的来说,失用的评估一般分为2个维度。第1个维度上针对的是动作的性质,包括模仿(imitation)、哑剧表演(pantomime)和使用实物(using tool)。第2个维度上涉及的是动作内容,包括及物动作和不及物动作。在2个维度中各选一个子模块进行两两组合,就可以衍生出5种基本的检测模式:及物动作的哑剧表演、及物动作的模仿、用实物完成及物动作、不及物动作的哑剧表演和不及物动作的模仿。要想对失用进行较为全面的评估,需尽可能包含这5种基本模式。
失用在神经系统疾病中并不少见,除了朊蛋白病,失用还可以见于卒中、感染、炎症、肿瘤、外伤或神经退行性疾病。本例患者的数次就诊反映了国内对失用症认识不足,临床医师应加强对失用症的认识和学习。因此,我们结合1例CJD病例,详细介绍其失用评估结果,并详述了失用症的概念、分类和评估方法。目前国内也亟须探索可用的失用评估量表,来帮助临床医生及时正确地认识失用。
所有作者均声明不存在利益冲突
None declared





















