
自发性低颅压可导致硬膜下积液、硬膜下血肿、脑静脉系统血栓形成等并发症,而导致昏迷者较少见。现报道1例自发性低颅压患者,以体位性头痛起病,保守治疗效果差,先后出现嗜睡、定向力障碍、小便失禁,直至昏迷。头颅影像学检查发现慢加急性硬膜下血肿,脊髓水成像示广泛硬脊膜外积液,脊髓造影发现T6、T7神经根脑脊液漏。经硬膜下血肿清除术和靶向硬膜外血贴治疗后,意识转清、头痛缓解,2个月后随访双侧硬膜下血肿吸收,随访5个月头痛未复发。
版权归中华医学会所有。
未经授权,不得转载、摘编本刊文章,不得使用本刊的版式设计。
除非特别声明,本刊刊出的所有文章不代表中华医学会和本刊编委会的观点。
自发性低颅压(spontaneous intracranial hypotension,SIH)可出现硬膜下积液、硬膜下血肿(subdural hematoma,SDH)[1]、脑静脉血栓形成[2]以及缺血性卒中[3]等并发症,而能够导致昏迷者罕见[4]。本文报道自发性低颅压合并慢加急性SDH(acute-on-chronic SDH,AOC SDH)继发昏迷1例。
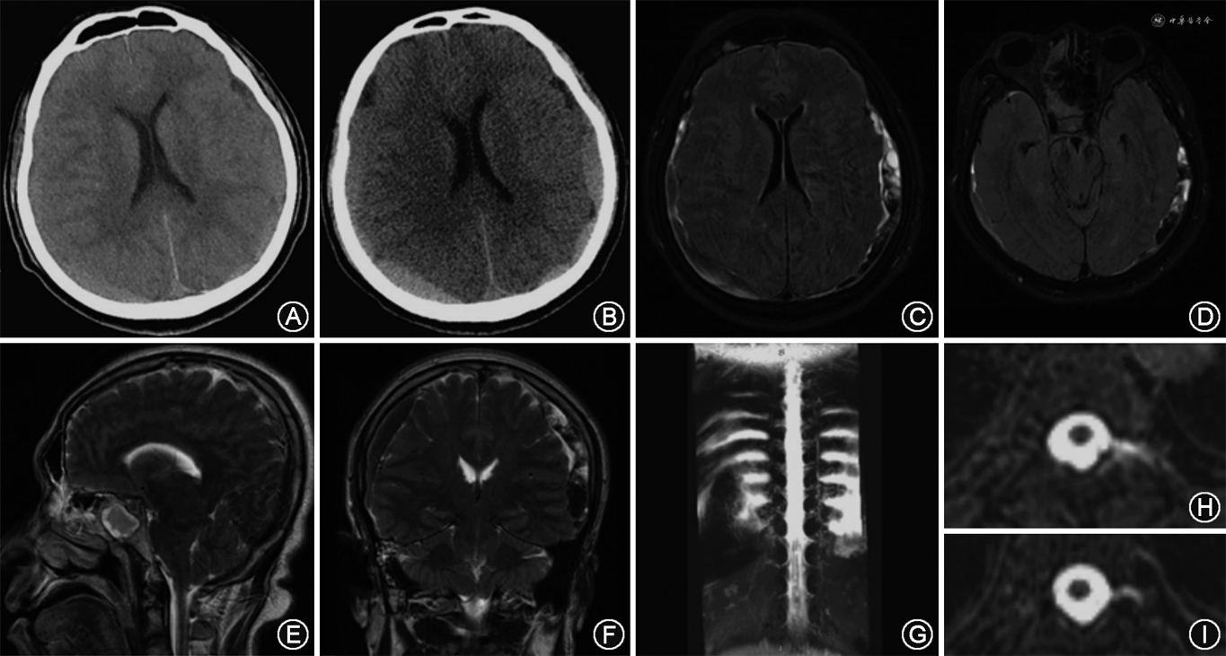
临床资料 患者男性,53岁,因“体位性头痛38 d,反复加重20 d”于2020年10月28日入首都医科大学宣武医院就诊。患者于2020年9月19日无明显诱因出现直立位时头双侧颞顶部持续性钝痛,伴有颈部僵硬,无恶心呕吐,平躺后缓解,无发热,至当地医院行头颅CT和MRI可见双侧横窦扩张,考虑“低颅压性头痛”可能,经卧床休息和补液保守治疗1周后症状缓解。2020年10月8日,无明显诱因下患者再次出现头痛,性质同前,至当地医院复查CT示双侧额颞顶枕硬膜下积液,双侧横窦扩张,再次补液保守治疗无效,头痛程度逐渐加重,并伴有恶心、出汗,无呕吐;遂转入我院。既往患有高血压、糖尿病、冠心病,余无特殊。体格检查:体温36.7 ℃,血压145/100 mmHg(1 mmHg=0.133 kPa),意识清楚,语言流利,反应灵敏,对答切题。脑神经体格检查未见异常。四肢肌力、肌张力、腱反射未见异常,巴宾斯基征阴性,共济运动检查未见异常,感觉系统检查未见异常。颈软无抵抗。入院后当日复查头颅CT示:双侧额顶颞枕部SDH;脑室系统变窄(图1A);中脑受挤压,脚间窝变窄;左侧横窦扩张较前不明显。经绝对卧床休息和补液治疗2 d,患者于2020年10月30日出现意识障碍,嗜睡,回答问题语量少、音量低,时间地点定向力障碍,小便失禁,格拉斯哥昏迷量表评分结果为4+4+6分。2020年11月4日,患者意识障碍加重至昏睡,格拉斯哥昏迷量表评分为3+3+5分,复查CT示双侧额颞顶枕SDH较前增多(图1B)。2020年11月15日,患者突然出现喷射性呕吐,体格检查:意识浅昏迷,言语不合作,双侧瞳孔等大等圆,对光反射灵敏,四肢可见自发活动,格拉斯哥昏迷量表评分为1+1+4分,急查头颅MRI示双侧SDH较前增多,血肿内信号不均一,并有隔膜形成,双侧额部硬膜增厚,脑室系统、中脑、脑桥受压变形,脑下坠明显(图1C~F),脊髓水成像示颈胸腰广泛硬脊膜外积液,神经根周围积液,高颈段硬膜囊后积液(图1G)。急行硬膜下血肿清除术,术后患者意识转清,可配合检查治疗,于知情同意下行腰椎穿刺,测脑脊液压力为100 mmH2O(1 mmH2O=0.009 8 kPa),微黄色,透明,白细胞9×106/L[正常值(0~5)×106/L],葡萄糖5.8 mmol/L(正常值2.5~4.4 mmol/L),氯化物124 mmol/L(正常值120~130 mmol/L),蛋白1.04 g/L(正常值0.15~0.45 g/L);获取知情同意后行MRI脊髓造影,可见T6、T7神经根脑脊液漏(图1H、I);于T6~7椎间隙行硬膜外穿刺以及靶向硬膜外血贴术(epidural blood patch,EBP)。


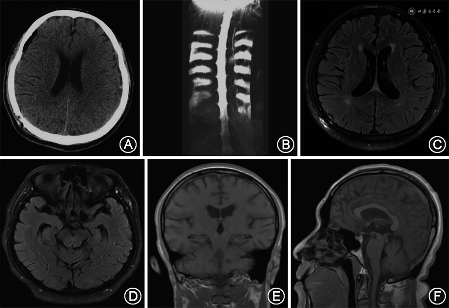
术后2 d患者直立性头痛消失,复查头颅CT未见新鲜硬膜下血肿(图2A),水成像可见硬脊膜外积液和神经根周围积液消失(图2B)。2021年1月9日,随访时患者复查头颅磁共振成像可见双侧SDH吸收,脑室及脑干受压缓解(图2C~F),至今随访5个月,头痛未再复发。


本例患者起病时主要表现为体位性头痛,影像学上可见双侧硬膜下积液和SDH、脑静脉扩张、脑下坠的典型表现,脊髓造影可见脑脊液漏,EBP术后头痛缓解,符合第三版国际头痛分类指南中关于SIH的诊断标准[5]。
SIH是导致继发性头痛的一种重要疾病,既往认为该病为一种罕见疾病,但随着人们认识的逐渐提高,目前在头痛门诊中并不少见,其发病率预计在5/100 000左右[6]。其常见的发病机制包括硬脊膜憩室破裂导致硬脊膜脑脊液漏、椎体病变形成骨赘刺破硬脊膜导致脑脊液漏、脑脊液-静脉瘘导致脑脊液异常引流丢失[6]。前两种类型的硬脊膜脑脊液漏是SIH最主要的病因[7],多数脑脊液漏位于颈胸交界或沿胸椎分布[8, 9]。脊髓水成像作为一种非侵入性影像学检查,在SIH硬脊膜脑脊液漏的诊查中已被广泛采用[10]。88%的患者可间接检测到不同形式的脑脊液漏异常表现,包括硬脊膜外积液、高颈段脊髓外积液、神经根周围积液,另有部分患者虽无脑脊液漏,但可见神经根憩室,实为部分脑脊液漏的形态学基础[11]。与钆对比剂增强的核磁脊髓造影和碘对比剂增强的CT脊髓造影相比,脊髓水成像检查脑脊液漏的敏感性未见明显降低[12, 13]。然而有学者认为,对于多节段的硬脊膜外积液而言,脊髓水成像与脊髓钆造影作为静态成像,其定位活动性漏口的准确性并不高;准确的漏口定位更依赖于动态脊髓成像技术[13]。
SIH一般预后良好,多数患者经保守治疗、EBP或外科手术可缓解,但少数患者可迁延不愈或出现严重并发症,如SDH、臂丛肌肉萎缩、脑静脉系统血栓形成、脑梗死、脑疝甚至死亡[4,6,14, 15, 16]。
其中,SDH是SIH的一种相对常见的并发症,可能与脑下坠后桥静脉受牵拉被撕裂有关[1,4],发生率16%~57%[17, 18]。男性、较长的病程、较大的年龄、复发性严重头痛和神经功能障碍、硬脑膜强化和脑静脉扩张是SIH并发SDH的危险因素[1,19, 20, 21]。目前对于伴有SDH的SIH的治疗尚无临床指南推荐和高质量随机对照试验的指导。多数文献推荐以保守治疗为一线治疗,如无效果,则推荐EBP或EBP联合血肿清除术[17]。多数患者单独行EBP后预后良好,少数病情危重者可出现意识障碍等神经功能缺损,需联合血肿清除术[17,22]。Chen等[23]认为患者神经功能缺损恶化或血肿最大厚度超过1 cm者,应推荐血肿清除术,但是Schievink等[24]报道了8例血肿最大厚度超过1 cm的患者,仅行EBP也获得了良好结局。目前多数学者对血肿最大厚度超过1 cm的血肿清除术指征持谨慎态度,认为相比之下,意识障碍等神经功能缺损的恶化更有意义[17]。由于单独行血肿清除术并不能解除病因,术后SDH再形成的几率较高[17,24],故对于无神经功能缺损恶化的患者,多数学者推荐患者先行EBP,封堵硬脊膜脑脊液漏,术后如出现神经功能缺损恶化,则立刻行血肿清除术[17, 18, 19,25]。对于已经出现神经系统功能缺损的患者,则直接行血肿清除术,术后早期行EBP[17]。
然而Ferrante等[17]报道有37%(10/27)的患者行EBP后出现SDH增大,目前尚不清楚其具体原因,但我们猜测可能与研究者们使用腰部EBP而非靶向EBP有关,因为自发性硬脊膜脑脊液漏的漏点多数出现在颈胸交界和胸部区域[8],部分患者行腰部EBP很有可能无法覆盖该区域的漏点[26],从而导致手术无效。我们报道的这例患者,由于诊疗团队缺乏经验,在出现嗜睡前,因担心术后血肿加重而未及时行EBP,出现嗜睡后,神经外科团队因血肿厚度未达到1 cm并担心术后出现血肿复发,而未及时行血肿清除术,直至患者意识障碍进入浅昏迷状态,才行手术治疗。
另外,本例患者的影像学检查发现血肿内的信号不均一并且存在分隔,提示在慢性SDH的基础上又发生了急性出血,即AOC SDH。AOC SDH常发生于患有慢性SDH的老年人,在受到创伤时,由于桥静脉破裂或新生血管破裂而再次出血,CT上常表现为边缘不清的层状高密度血凝块、液化的血肿内出现血凝块或内部信号不均同时伴有隔膜的积液[27]。Honda等[28]在一项多因素分析研究中发现慢性SDH的患者出现AOC SDH,是出现严重意识障碍的最重要预测因素,而在创伤性SDH中,AOC SDH是需要神经外科血肿清除手术的最重要预测因素之一[29]。而这是否同样适用于SIH合并SDH患者,值得进一步研究。
昏迷是SIH的一种罕见但具有生命威胁的并发症[15],在一项单中心的回顾性研究中,其发生率为2.5%[16,30]。在这项研究中,Schievink等[16]发现15例患者全部都有脑下坠,而14/15有SDH;而在另一项包含自发性和继发性低颅压在内的系统性回顾中,100%(29/29)有脑下坠,而37%(11/29)有硬膜下积液,48%(14/29)有SDH[31]。SIH发生昏迷的机制尚不清楚,可能与脑下坠压迫了脑干上行网状激活系统有关,而SDH加重了脑下坠[16]。在治疗上,Schievink等[16]发现5/15的患者昏迷发生于EBP治疗后,最终行外科手术修补漏口后恢复,3/15的患者昏迷发生于SDH清除术后12~48 h。而Loya等[31]发现在29例低颅压患者中,有25例存在SDH或积液,其中12例进行了血肿或积液清除术,术后6例意识短暂好转后再次加重,其余6例则无意识变化或继续加重;26例患者进行了EBP,术后85%(22/26)恢复良好,15%(4/26)再次进行外科修补或经皮注射凝胶后恢复良好。
本例患者影像学上存在明显的脑下坠特点,包括小脑扁桃体下疝、桥前池变窄、中脑脑桥角缩小等,发生昏迷后立刻行血肿清除术,术后患者意识转清,为防止病情反复,术后24 h内行EBP,患者恢复良好。
综上所述,SIH合并SDH的患者,如无意识障碍等神经功能缺损,应尽早行EBP或其他硬脊膜脑脊液漏修补术,但术后应严密监测患者意识状态和颅内血肿变化;如出现意识障碍等神经功能缺损症状需急行血肿清除术;术后尽早行EBP或外科手术修补硬脊膜脑脊液漏。
所有作者声明不存在利益冲突
None declared





















