
生物素-硫胺素反应性基底节病是一种罕见的、可治疗的常染色体隐性神经代谢性疾病,由编码硫胺素跨质膜转运蛋白的SLC19A3基因突变引起。文中报道1例以癫痫为首发症状,伴有运动功能减退、眼外肌麻痹及迟发性肌张力障碍为主要表现的29岁男性患者,头部影像学特征为双侧尾状核、豆状核对称性异常信号,基因检测确诊为生物素-硫胺素反应性基底节病,经予生物素+硫胺素治疗后症状缓解、病灶消退。
版权归中华医学会所有。
未经授权,不得转载、摘编本刊文章,不得使用本刊的版式设计。
除非特别声明,本刊刊出的所有文章不代表中华医学会和本刊编委会的观点。
生物素-硫胺素反应性基底节病(biotin-thiamine- responsive basal ganglia disease,BTBGD)是一种罕见的、可治疗的常染色体隐性神经代谢性疾病,由编码硫胺素跨质膜转运蛋白的SLC19A3基因突变引起。目前我国只有3例儿童病例的报道。近期我科收治1例29岁的BTBGD患者,现结合相关文献对此罕见病例进行讨论和分析,报道如下。
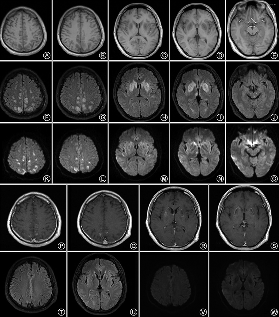
患者男性,29岁,因“发作性肢体抽搐3 d”于2019年12月13日于南京医科大学附属无锡人民医院神经内科住院。患者于3 d前出现左上肢抽搐,持续数十秒,伴左手麻木无力;2 d前出现右上肢抽搐2次,每次持续1 min左右,在当地医院就诊过程中出现发作性意识丧失,双眼向右凝视,牙关紧闭,四肢抽搐2次,每次持续1 min左右缓解。头颅CT:双侧基底节区可疑稍低密度影;头颅CTA:大血管未见明显狭窄。发病以来无感染、发热,无外伤、疫苗接种史,体重无明显下降。既往病史:7岁时有症状性癫痫、昏迷病史,当时考虑疑似脑干脑炎。父母体健,为姨兄妹近亲结婚,母亲有1次无明显原因流产史。体格检查:生命体征平稳,头发稀疏,色偏黄,其他内科体格检查未见明显异常。神经系统体格检查:意识清楚,双侧眼球向内、向上、向下活动受限,双眼水平眼震,右侧鼻唇沟浅,四肢肌力Ⅳ级,四肢肌张力、腱反射、深浅感觉正常,双侧指鼻试验不准,双侧跟膝胫试验不准,双侧病理征、脑膜刺激征阴性。辅助检查:(1)实验室检查:天冬氨酸氨基转移酶107 U/L(正常值15~40 U/L),丙氨酸氨基转移酶40 U/L(正常值9~50 U/L),乳酸脱氢酶325 U/L(正常值120~250 U/L),肌酸激酶8 498 U/L(正常值50~310 U/L),肌酸激酶-MB同工酶17.9 U/L(正常值0~12 U/L),风疹病毒抗体-IgG 15.50 IU/ml(正常值0~10 IU/ml),维生素B12 75 pmol/L(正常值133~675 pmol/L),叶酸 4.09 nmol/L(正常值7.0~45.1 nmol/L),同型半胱氨酸 33.40 μmol/L(正常值4.0~15.4 μmol/L),风湿免疫指标、肿瘤指标、甲状腺功能及相关抗体、铜蓝蛋白、血乳酸、血气分析结果均在正常范围。(2)腰椎穿刺:测压正常,脑脊液常规、生化、病原学检查、免疫球蛋白水平均在正常范围。(3)尿液有机酸分析:甲基丙二酸正常。(4)腹部超声、心脏超声、肌电图检查未见明显异常;动态脑电图:尚在正常范围内(基本节律以低幅β波为主)。(5)头颅MRI:脑干、双侧尾状核、豆状核、丘脑、额颞顶叶、右侧枕叶皮质下异常信号,呈T1低信号(图1A~E)、液体衰减反转恢复序列(FLAIR)高信号(图1F~J),部分弥散加权成像(DWI)高信号(图1K~O);增强头颅MRI:增强后双侧额顶皮质部分病灶可见斑片状强化,双侧基底节区病灶可见结节状及环状强化(图1P~S);磁共振波谱:基底节感兴趣区胆碱峰轻度升高,N-乙酰天冬氨酸峰轻度减低,未见脂质峰或乳酸峰(图2)。(6)基因检测:经知情同意后抽取患者及其父母外周静脉血3 ml,应用二代目标区域捕获测序与Sanger测序验证发现SLC19A3基因的NM_025243:C.1066A>C纯合变异(图3A),其父母该位点均为杂合变异(图3B、C),该变异发生在第4号外显子区,使得第356位的天冬酰胺变异为组氨酸。应用PolyPhen-2预测该变异,结果为致病性的,MutationTaster、SIFT、LR、RialSVM等预测该变异为良性的或可耐受的,目前未见该变异在相关文献或数据库中的报道。




Cr:肌酸


患者据基因结果及临床表型确诊为BTBGD,予口服丙戊酸钠缓释片、生物素、维生素B1、甲钴胺、叶酸治疗,患者无肢体抽搐发作,四肢肌力明显改善。出院后继续口服上述药物治疗。随访:3个月后复查维生素B12 730 pmol/L,叶酸 41.50 nmol/L,同型半胱氨酸、肌酶谱在正常范围。复查头颅MRI:脑干、双侧尾状核、豆状核、丘脑、额颞顶叶、右侧枕叶皮质下异常信号消退(图1T~W)。5个月后患者出现右脚趾不自主跖曲,不能奔跑,复查头颅MRI结果与3个月时无明显变化,脑电图在正常范围,考虑存在肌张力障碍症状,加用多巴丝肼片+普拉克索+巴氯芬口服后,症状缓解。
BTBGD于1998年由沙特阿拉伯的Ozand等[1]首先报道,目前全世界十多个国家仅有100多例的报道,我国目前只有3例患儿的报道。该病是一种罕见的常染色体隐性遗传病,基因统计软件预测其患病率约为1∶215 000[2],位于染色体2q36.3上的SLC19A3基因是其致病基因[3]。
SLC19A3基因编码硫胺素转运体2(thiamine transporter 2,THTR2)蛋白,负责硫胺素(维生素B1)的跨膜转运,硫胺素吸收之后转化为焦磷酸硫胺素,是体内许多能量代谢的关键辅助因子,参与碳水化合物和支链氨基酸的代谢。在大脑,THTR2蛋白主要表达于脑血管和脉络丛的基底膜和血管周细胞,负责硫胺素的跨血脑屏障转运,在外周组织中THTR2蛋白主要表达于包括调节硫胺素吸收的肠黏膜和参与硫胺素重吸收以防止通过尿液流失的肾小管。SLC19A3基因突变导致疾病的发病机制目前还不完全清楚。研究发现SLC19A3基因突变患者脑脊液中硫胺素水平降低,但血液中硫胺素水平正常[4],提示硫胺素的中枢神经系统转运受损可能是其致病的主要原因。除基底膜外,2种硫胺素转运体(THTR2和THTR1)仅在大脑中存在两极化分布(THTR2分布在基底膜,THTR1分布在管腔侧)现象,同时具备这2种转运体才能使硫胺素转运通过血脑屏障到达中枢神经系统[5],这也许可以解释为什么携带SLC19A3基因突变的个体只会出现神经系统症状及病理学改变,而不会出现全身性硫胺素缺乏症。
BTBGD常在幼年起病,平均发病年龄5~7岁,目前报道最小发病年龄为1个月。临床过程可分为3个阶段:第一阶段为亚急性脑病,常由发热性疾病引起;第二阶段是急性脑病,伴有癫痫发作、运动功能丧失、发育退化、肌张力障碍、眼外肌麻痹、吞咽困难和构音障碍等;第三阶段表现为慢性或缓慢进行性脑病。影像学具有特征性表现,头颅MRI可显示尾状头中部及部分或全部壳核存在对称性的T2和FLAIR高信号,苍白球、丘脑、幕下和幕上大脑皮质、脑干和小脑可受累。急性危象时,可观察到严重的血管源性水肿;慢性病变包括受累区域的萎缩、坏死和胶质增生。急性脑病期磁共振波谱可出现异常的丙酮酸盐峰[2]。脑脊液检查可在疾病早期出现游离硫胺素水平的显著下降[4]。基因学检查可进一步发现SLC19A3基因的纯合或杂合突变。BTBGD目前尚无统一的诊断标准,首都医科大学宣武医院神经内科曾根据目前国际已报道的病例特点,提出BTBGD的“宣武医院2017”诊断标准[6]。根据该诊断标准,本患者可确诊为BTBGD,且其SLC19A3基因存在C.1066A>C纯合变异,该变异位于重要功能域(PM1),未被千人基因组数据库、ExAC普通人数据库、Esp6500数据库等多个人群数据库收录,不属于多态性位点(PM2),根据美国医学遗传学与基因组学学会序列变异解读指南:PM1+PM2,建议判定该变异为临床意义未明变异,其致病性尚未见文献报道。
在我们的病例中,患者第一次头颅MRI显示病变范围累及脑干、双侧尾状核、豆状核、丘脑、额颞顶叶和右侧枕叶皮质下,癫痫发作考虑与额颞顶叶皮质神经元病变有关;四肢肌力下降考虑与双侧尾状核、豆状核病变引起双侧内囊部分性损害累及了双侧皮质脊髓束有关;眼球运动障碍考虑为中脑病变导致的核性眼肌麻痹(图1J),但患者双侧的丘脑中脑结合处(右侧严重)也存在病变。已有文献报道,单侧丘脑中脑结合处病变可导致多种眼位异常和眼球活动障碍[7],但其具体的神经解剖学机制目前仍然未被完全阐明,本例患者的眼球运动障碍考虑与此病变也有关联。本例患者叶酸水平较低,已有研究结果表明:叶酸转运体(SLC19A1基因编码)与运输硫胺素的THTR1、THTR2为同一溶质载体家族,该家族成员介导的底物运输由跨细胞H+/OH-梯度激发,在生理pH值下可还原叶酸为阴离子,硫胺素是阳离子[8]。虽然THTR2并不直接转运叶酸,但我们分析SLC19A3基因突变导致硫胺素转运障碍影响跨细胞H+/OH-梯度,进而影响了叶酸的转运。
BTBGD的早期治疗非常重要,症状出现后如早期应用大剂量生物素和硫胺素治疗,多数患者的临床症状能够在数天内部分或完全缓解,目前国际上推荐的治疗药物为生物素(5 mg · kg-1·d-1)和硫胺素(10~40 mg · kg-1·d-1)[9]。然而,生物素在治疗中的确切机制仍不清楚。研究发现正常细胞在应激状态下可出现SLC19A3基因表达的上调,但这种适应性应激诱导的基因表达上调在BTBGD患者中缺失[10]。另外,既往研究结果表明SLC19A3基因的表达依赖于生物素水平,高剂量的生物素可显著增加SLC19A3基因的表达[11]。因此,大剂量生物素在治疗BTBGD中的作用可能是通过增加SLC19A3基因表达,恢复突变受体的功能。此外,目前已知的可抑制THTR2的药物(如二甲双胍、法莫替丁、氯喹和维拉帕米等)在理论上有使BTBGD病情恶化的风险[12],应避免在BTBGD患者中使用。本例患者在给予生物素、硫胺素治疗后,其癫痫、运动功能、眼外肌麻痹症状明显好转,复查头颅MRI影像学结果显示病变大部分消失;后期患者出现肌张力障碍症状,表现为右脚趾不自主跖曲,不能奔跑,考虑可能存在迟发性的基底节损害。
BTBGD是近年来新认知的一个疾病,由于报道少,临床上对此类患者很容易存在漏诊和误诊;早期给予合适的治疗对该病的预后至关重要,因此在临床工作中如发现原因不明的脑病或肌张力障碍,伴神经影像学显示双侧对称性尾状核和壳核病变,应考虑该病的可能,尽早给予生物素和硫胺素治疗,同时尽快完善对患者SLC19A3基因的检测。
所有作者声明不存在利益冲突
None declared





















