
烟雾综合征合并双侧大脑后动脉(PCA)栓塞非常罕见,目前国内没有相关报道。现报道1例烟雾综合征合并双侧PCA栓塞患者,中年女性,急性起病,既往有心房颤动、高血压病、2型糖尿病,临床表现主要以双眼失明、右侧肢体无力起病,影像学表现为双侧颞顶枕叶急性脑梗死,双侧大脑前、中动脉烟雾血管生成,双侧大脑后动脉闭塞伴远端烟雾血管生成,结合病史,病因考虑为不明原因型栓塞。给予积极对症治疗后,患者意识转清,肢体无力好转,但失明未见改善。报道本例患者,旨在提高临床医师对烟雾综合征患者出现双侧PCA同时栓塞的认识,有效预防脑梗死的发生。
版权归中华医学会所有。
未经授权,不得转载、摘编本刊文章,不得使用本刊的版式设计。
除非特别声明,本刊刊出的所有文章不代表中华医学会和本刊编委会的观点。
烟雾病(或综合征)是一种罕见的脑血管疾病,其特征是颈内动脉虹吸部和大脑前动脉、大脑中动脉起始部严重狭窄或闭塞,软脑膜动脉、穿通动脉等小血管代偿增生形成脑底异常血管网[1]。双侧大脑后动脉(posterior cerebral artery,PCA)闭塞临床罕见,发病机制尚不明确。近年来,关于烟雾综合征合并双侧PCA同时栓塞的病变非常罕见,国内目前没有相关报道。现将我院收治的1例烟雾综合征合并双侧PCA闭塞患者的临床资料进行回顾性分析,旨在提高临床医师对此疾病的认识。
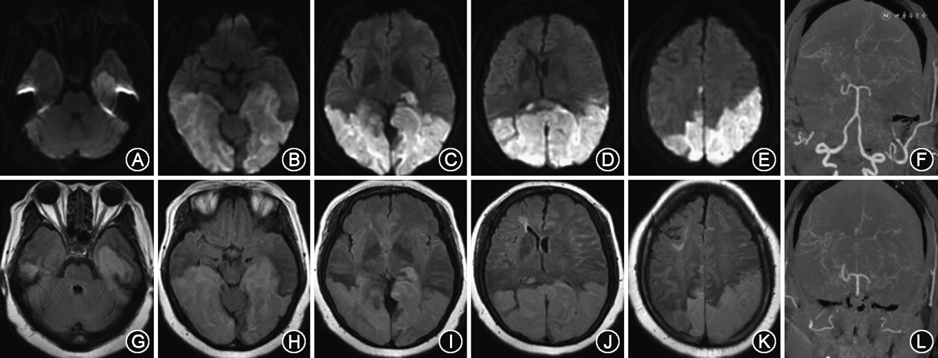
临床资料 患者女性,49岁,农民,初中文化,因“突发双眼失明4 d,加重伴右侧肢体无力6 h”为代主诉于2019年3月21日入院。4 d前(2019年3月17日)患者活动后突然出现双眼失明,视力丧失,伴有恶心、呕吐,呕吐3次,均为胃内容物,无头晕、头痛,无饮水呛咳,遂至当地县医院住院治疗(具体治疗方案不详)。3月21日上午6时前患者出现右侧肢体无力,右上肢持物不稳,右下肢不能抬起,伴左侧颞部疼痛,烦躁不安,在当地医院治疗效果欠佳,为求进一步治疗,遂至我院,以“脑梗死”收入我科。自发病以来,患者间断烦躁不安,精神差,饮食、睡眠差,大小便正常,体力差,体重无特殊变化。既往史:患“高脂血症”10年、“心房颤动”5年、“高血压病、2型糖尿病”1年,均未服用药物。入院体格检查:体重80 kg,血压176/102 mmHg(1 mmHg=0.133 kPa)。意识清楚,轻度烦躁不安。言语流利,近期记忆力减退,远期记忆力正常,计算力稍减退,理解判断力正常。双侧额纹对称,双侧瞳孔等大等圆,直径约2.5 mm,光反射灵敏。双眼全盲,双侧鼻唇沟对称,口角无歪斜,伸舌居中。右上肢肌力Ⅲ+级,右下肢肌力Ⅱ级,左侧肢体肌力Ⅴ-级,右侧肢体肌张力降低,左侧肢体肌张力正常。四肢腱反射(++),双侧肢体深、浅感觉正常。右侧肢体指鼻试验、跟膝胫试验欠配合,左侧肢体指鼻试验、跟膝胫试验正常。双侧巴宾斯基征阳性。颈软,克尼格征、布鲁金斯征均阴性。NIHSS评分:9分。精神神经问卷(NPI)评分:4分。辅助检查:葡萄糖 14.1 mmol/L,糖化血红蛋白9.04%,低密度脂蛋白4.17 mmol/L。余血生化、风湿免疫、肿瘤标志物均正常。头颅MRI示:DWI、FLAIR双侧颞顶枕叶高信号,双侧颞顶枕叶急性脑梗死(图1)。头颈联合CTA示:双侧颈内动脉、大脑前、中动脉闭塞,走行区见多发侧支循环形成;双侧大脑后动脉P2段闭塞伴走行区多发侧支循环形成(图1F、L)。


建议进一步行DSA检查,患者及其家属因经济原因均拒绝DSA检查。心脏超声示:二尖瓣少量反流,左室舒张功能减退。动态心电图示:持续性心房颤动。临床诊断为:(1)脑梗死,椎基底动脉系统,TOAST病因分型:不明原因型栓塞;(2)烟雾综合征;(3)心律失常,心房颤动;(4)高血压病3级,很高危组;(5)2型糖尿病;(6)高脂血症。治疗上给予抗凝、高强度强化他汀、清除自由基、保护线粒体、控制血糖、控制血压等对症治疗。患者于2019年4月2日要求出院,出院体格检查:意识清楚,双眼全盲,右上肢肌力Ⅳ+级,右下肢肌力Ⅱ+级,双眼视力未见明显改善。
患者中年女性,急性动态起病,烦躁不安,近期记忆力减退、计算力减退,定位于边缘系统或双侧大脑皮质传导纤维受累;双眼全盲,定位于双侧枕叶视皮质中枢受累;双侧肢体中枢性瘫痪,定位于双侧皮质脊髓束受累,故综合定位于椎基底动脉系统。患者既往有心房颤动、高血压病、2型糖尿病、高脂血症等高危因素,头颅MRI示双侧颞顶枕叶急性脑梗死,故定性脑梗死明确。其病因及发病机制考虑可能有以下几点:(1)低灌注/栓子清除障碍:该患者中年女性,既往有动脉粥样硬化等高危因素,MRI示双侧后循环急性梗死,CTA示双侧颈内动脉和大脑前、中动脉闭塞,走行区多发细小侧支循环形成,双侧PCA P2~P4段闭塞伴走行区多发细小侧支循环形成;可见前循环血供主要是由后循环及颅底异常血管网代偿,当患者出现恶心、呕吐等诱发因素容易导致循环血量减少,后循环代偿不足导致低灌注/栓子清除障碍,加重后循环缺血导致急性脑梗死发生。(2)栓塞机制:该患者既往有心房颤动病史,此次急性动态起病,症状迅速达高峰,影像学示双侧后枕叶大面积梗死,故心源性栓塞不能排除;但不支持点是患者心脏超声未见显著附壁血栓,仍需进一步完善经食道超声心动图检查。(3)其他原因导致后循环血管病变:目前烟雾病或烟雾综合征的病因不明,烟雾病导致双侧前循环逐渐狭窄闭塞,是否也会累及后循环导致双侧PCA逐渐狭窄闭塞出现梗死。本例患者双侧PCA P2~P4段闭塞伴侧支循环,有动脉粥样硬化高危因素,因此后循环血管病变不能排除,患者因经济原因拒绝做DSA。综上所述,该患者病因可能存在大动脉粥样硬化性低灌注/栓子清除障碍、心源性栓塞、烟雾综合征等多种病因,故综合考虑不明原因型栓塞可能性较大。
本例患者前循环表现为双侧颈内动脉和大脑前、中动脉闭塞,远端烟雾血管生成,根据烟雾病诊断标准Suzuki分级[2],考虑该患者目前处于烟雾血管分期的Ⅵ期,血供完全依赖于颈外动脉和椎基底动脉系统的侧支循环,同时合并多种动脉粥样硬化高危因素,故诊断烟雾综合征明确。胡琦等[3]指出烟雾病患者出现缺血脑卒中的常见部位依次是额顶叶、颞枕叶及侧脑室旁,并且随着Suzuki分级升高,成年型烟雾病发生缺血性脑卒中的部位将由前循环逐渐转变为后循环梗死[4]。该病例独特之处在于双侧PCA同时梗死,目前国内有1例报道烟雾病合并单侧PCA梗死后出现皮质盲[5],尚未有关于烟雾综合征合并双侧PCA同时栓塞的病例报道。Ohkura等[6]研究指出,颈内动脉狭窄的严重程度和烟雾血管密度并不是导致梗死发生的独立危险因素,PCA狭窄-闭塞性病变是预测烟雾综合征患者发生脑梗死的重要独立危险因素。因此,积极防治PCA狭窄-闭塞的进展可能会降低烟雾综合征患者脑梗死的发生率,有效预防脑梗死。
双侧PCA闭塞具体的病因及发病机制目前尚未明确。据文献报道,双侧PCA梗死的病因包括心源性栓塞、大动脉粥样硬化性/隐源性栓塞、椎动脉或基底动脉夹层、血管收缩、凝血功能障碍和烟雾综合征等。其中,心源性栓塞是PCA皮质梗死最常见的病因[7]。然而,仍有25%的患者出现双侧PCA梗死的病因不明[8]。解剖学研究发现,大脑后动脉分为4段:P1交通前段、P2环池段(P2A前段、P2P后段)、P3四叠体段、P4距裂段。结合本例患者CTA可见双侧PCA-P2P后段出现闭塞,导致脉络膜后外动脉、颞后动脉、颞下动脉、顶枕动脉、距裂动脉闭塞,出现双侧枕叶、颞叶底部、海马回向后外方、膝状体等部位梗死。
双侧PCA闭塞的临床症状与梗死部位和范围有关,主要包括意识障碍、双侧皮质盲、记忆障碍(累及颞叶)、面容失认症、幻视和精神行为异常等。Suzuki等[9]报道1例66岁女性双侧PCA梗死后出现记忆、人格、情绪、行为改变,表现为记忆障碍、迷失方向,情绪不稳定,考虑与海马、海马旁回、梭状回受累有关。Cappellari等[10]报道1例双侧PCA闭塞患者在发病1 h后出现烦躁不安,并否认自己失明和认知减退,故考虑该患者出现虚构和空间定向障碍。双侧PCA闭塞后出现的典型临床症状主要包括Anton综合征和Dide-Bot-cazo综合征。突发视力障碍、皮质盲和视觉失认被称为Anton综合征。有学者指出,Anton综合征中的否认失明是由于右侧顶叶联合皮质或视觉联合皮质的丘脑连接受损引起[11]。由于Papez环路受损,导致记忆力减退和定向障碍的Anton综合征被称为Dide-Bot-cazo综合征[12],包括失明、失认、失读、逆行性遗忘和空间定向障碍,病变位于双侧枕叶及颞叶内侧。另外,双侧PCA闭塞后也可仅出现单纯皮质盲,不出现失认或其他认知障碍,考虑与梗死部位相关。Kakaletsis等[13]报道1例双侧PCA病变患者仅出现孤立性皮质盲。Acampa等[14]报道1例67岁女性因突发双侧PCA(P3段)闭塞出现单纯双眼皮质盲,无失认症或其他记忆障碍,积极给予静脉溶栓联合支架取栓治疗后,患者双侧PCA完全恢复再通,发病24 h后双眼失明症状明显改善,遗留右侧同向性偏盲。本例患者出现嗜睡、双眼皮质盲、精神行为异常及右侧肢体瘫痪,考虑与病变累及双侧颞叶底部、枕叶、海马回向后外方及左侧脉络膜后动脉梗死有关。本例患者未出现失认症状,考虑与梗死部位未累及右侧顶叶联合皮质、双侧海马头部相关。
研究发现,大约5%~10%的缺血性卒中会发生在PCA,特别是局限于浅表段(P3和 P4)的闭塞约占PCA的25%[15]。对于后循环大血管闭塞的卒中患者,桥接治疗是否优于静脉溶栓尚不清楚[16]。最新的证据表明,对于后循环PCA(中远端P2或P3段)闭塞的患者早期进行机械取栓具有显著安全性及有效性[17]。
综上所述,烟雾综合征合并双侧PCA梗死在临床工作中非常罕见,但其为急性起病,往往出现严重的神经功能障碍,通常预后不佳。本例报道提示临床医生,对于烟雾病或烟雾综合征患者同时合并PCA重度狭窄甚至闭塞时,一旦发生脑卒中,应充分评估患者的病因及发病机制,并积极针对病因治疗,尽可能改善患者临床预后。
宋良, 付胜奇, 张淑玲, 等. 烟雾综合征合并双侧大脑后动脉栓塞1例并文献复习[J]. 中华神经科杂志, 2023, 56(1): 75-78. DOI: 10.3760/cma.j.cn113694-20220715-00554.
所有作者声明无利益冲突
None declared





















