
骶管囊肿多发生于神经根周围,是后方脊神经根与背根神经节连接处神经内膜与束膜之间脑脊液的聚集,其典型的临床表现包括腰背部疼痛、下肢放射痛、直肠或膀胱功能障碍等。骶管囊肿行后正中入路囊肿切除术后继发急性硬膜下血肿伴脑疝并发症较少见。甘肃省人民医院收治1例中年女性骶管囊肿患者,术后突发右侧额顶颞枕部急性硬膜下血肿,脑疝形成,紧急予以全身麻醉下硬膜下血肿清除术及骨瓣还纳术治疗,术后予以康复功能锻炼,恢复良好出院。随访患者无神经功能缺损症状。
版权归中华医学会所有。
未经授权,不得转载、摘编本刊文章,不得使用本刊的版式设计。
除非特别声明,本刊刊出的所有文章不代表中华医学会和本刊编委会的观点。
骶管蛛网膜囊肿多发生于神经根周围,是后方脊神经根与背根神经节连接处神经内膜与束膜之间脑脊液的聚集,其典型的临床表现包括腰背部疼痛、下肢放射痛、直肠或膀胱功能障碍等。远隔颅内出血是脑损伤中常见且严重的继发改变,常见于颅脑外伤及高血压病、凝血异常及动脉瘤破裂导致自发性脑出血患者,而脊柱手术后,尤其是骶尾部手术后继发颅内血肿者鲜有报道[1]。我们报道1例甘肃省人民医院2021年10月收治的因骶管囊肿切除术后继发急性硬膜下出血并发脑疝患者,并分析骶管囊肿术后继发远隔部位出血原因及防治措施。
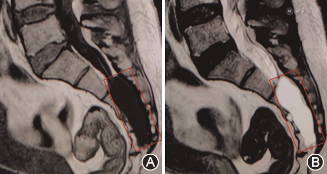
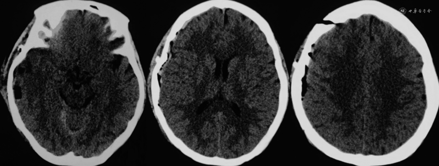
患者女性,55岁,慢性病程。患者自诉于2021年9月初无明显诱因偶发骶尾部疼痛不适感,起初程度轻微,不影响正常生活,后症状迁延,骶尾部疼痛发作频繁且程度加重,严重制约患者日常生活及工作。2021年10月4日入住甘肃省人民医院并于次日完善骶椎MRI检查,结果示骶椎椎管内见一类椭圆形长T1、长T2信号影,长径约2.5 cm(图1)。结合患者病史及影像学资料初步诊断为骶管囊肿。入院体检:骶尾部压痛,其余各项体检结果均未见明显异常。术前完善相关检查,排除手术禁忌证,于2021年10月10日全身麻醉下行后正中入路显微镜下骶管囊肿切除术与脊神经粘连松解术,于麻醉苏醒后返回我科神经重症监护室,予以重症监护,患者嗜睡,轻度恶心,无呕吐,约10 min后患者突发呼之不应,右侧瞳孔散大,直径约5.0 mm,直接及间接对光反射消失,左侧瞳孔直径约2.5 mm,直接及间接光反应灵敏,急予250 ml甘露醇快速静脉点滴并急诊完善头部CT,CT影像学检查结果提示:右侧额顶颞枕部硬膜下血肿,中线由右向左偏移,环池欠清,脑干受压明显(图2)。患者病情危重,遂急在全身麻醉下行右额颞开颅硬膜下血肿清除+骨瓣还纳术,术中未见颅骨骨折、颅内原发性损伤病灶。术后6 h后患者意识状态逐渐恢复,复查头颅CT提示硬膜下血肿清除干净,中线居中,颅内无再出血及梗死表现(图3)。术后采取头高足低位,予以控制颅内压、补液及营养支持等对症治疗后好转离院。定期随访观察并于出院7个月后我院复查头颅MRI提示:右侧额顶颞枕部颅板下片状混杂信号,等T1、长T2信号,脑沟、裂、池未见受压影像,中线结构居中(图4)。患者恢复良好,无明显后遗症。








对于椎管囊肿行外科治疗的患者,颅内出血是一种罕见的并发症,可继发于硬脑膜破裂和脑脊液丢失的脊柱手术期间或之后[2]。复习自2005年至今国内外文献(表1)关于腰骶部手术后继发硬膜下血肿病例国内报道较少,国外共报道14例,在这14例病例中,男性5例,女性9例。原发病以非肿瘤性病变最为多见,共12例,主要集中于急性或亚急性硬膜下血肿,症状多为头痛、恶心、失语及意识丧失,其他有运动障碍及癫痫等,大多数经及时手术或保守治疗后预后较好,仅出现1例死亡病例。

13例椎管手术后硬膜下血肿病例临床特点
Clinical characteristics of 13 cases of subdural hematoma after spinal canal surgery
13例椎管手术后硬膜下血肿病例临床特点
Clinical characteristics of 13 cases of subdural hematoma after spinal canal surgery
| 作者/年份 | 性别/年龄(岁) | 原发病 | 脊柱层面 | 血肿出现时间 | 血肿部位 | 继发症状/体征 | 治疗方案 | 转归 |
|---|---|---|---|---|---|---|---|---|
| Sciubba等[5]/2005 | 女/55 | 椎管狭窄 | L2~4 | 术后7 d | 左侧额、顶、颞叶 | 失语 | 开颅血肿清除术 | 好转 |
| Zimmerman与Kebaish[6]/2007 | 女/55 | 腰椎后突,椎管狭窄 | L2~4 | 术后6 d | 左侧额、顶叶 | 头痛、失语 | 钻孔引流术 | 好转 |
| Beier等[7]/2009 | 女/39 | 腰椎间盘突出症 | L5~S1 | 术后7 d | 右侧额、顶叶 | 头痛、恶心和颈部僵硬 | 硬脑膜修复术 | 好转 |
| 胡奔与晏怡[8]/2011 | 男/88 | 胸腰椎肿瘤 | T12~L2 | 术后5 h | 左额颞、顶部 | 抽搐、意识丧失 | 保守治疗 | 死亡 |
| Khalatbari等[9]/2012 | 女/34 | 根性神经痛 | L4~5 | 术后3 d | 右侧额、顶叶 | 头痛、左侧面瘫 | 保守治疗 | 好转 |
| Kaloostian等[10]/2013 | 女/55 | 椎管狭窄 | L2~4 | 术后立即出现 | 左侧颞、顶部 | 头痛、失语 | 开颅血肿清除术 | 好转 |
| 男/76 | 骨盆骨肉瘤蔓延至腰椎 | L2~S3 | 术后立即出现 | 双侧a | 右侧肢体无力 | 保守治疗 | 好转 | |
| Martínez-Lage等 [11]/2015 | 男/6 | 骶骨发育不全 | - | 术后3 d | 左侧a | 头痛、晕厥、嗜睡和呕吐 | 保守治疗 | 好转 |
| Shirozu等[12]/2017 | 女/68 | 椎管狭窄 | L4~5 | 术后4 h | 左侧a | 头痛、恶心 | 保守治疗 | 好转 |
| Bhimani等[4]/2018 | 男/10 | 特发性脊柱侧凸 | T3~L2 | 术后第5天 | 右侧额、颞部 | 癫痫 | 保守治疗 | 好转 |
| Zakaria与Tsuji[13]/2019 | 女/41 | 蛛网膜囊肿 | L5~S1 | 术后第3天 | 右侧颞、枕部 | 体位性头痛、左侧偏瘫 | 血肿抽吸术 | 好转 |
| Oktay[14]/2020 | 女/38 | 椎间盘疾病 | L5~S1 | 术后3周 | 右侧额、顶部 | 头痛 | 开颅血肿清除术、去骨瓣减压术 | 好转 |
| Zhang等[15]/2021 | 男/77 | 压缩性骨折 | L2~4 | 未提及 | 硬膜下出血 | 术后麻醉苏醒延迟 | 开颅血肿清除术 | 好转 |
注:a原文中未明确指出具体出血部位;L:腰椎;S:骶椎;-:文中未指明具体骶椎节段
椎管手术后继发硬膜下血肿分析原因可能与以下因素有关:当脑脊液大量流失时导致自发性低颅压,由于颅内结构的低位移位和硬脑膜桥静脉的伸展或撕裂而致颅内血肿[3, 4],而脱水可能会进一步增加脑脊液丢失和分泌失衡的风险。即使无脑脊液漏发生,若术中持续冲洗则易形成硬膜外高压并压缩鞘囊进而导致颅内出血[16]。年龄可能是术后硬膜下血肿形成的高危因素,Işik 等[17]报道1例81岁行脊柱手术患者,因脑萎缩导致大脑外空间增加11%,即使术中及术后脑脊液丢失并不多,但也继发了迟发性硬膜下血肿。高血压、凝血功能障碍及抗凝治疗史亦是其高危因素[18]。术中若采取坐位或头颅过度后伸位压迫颈静脉及脑静脉血栓形成导致局部高压均可导致颅内血肿[19, 20]。
本例患者无头颅损伤史,术前血常规、纤溶全套等化验无异常,既往无高血压病史及影响凝血及血小板功能的药物应用史,术后放置引流,虽采用人工生物补片缝合了硬脊膜,但仍考虑颅内硬膜下血肿的发生可能与术中脑脊液丢失过快或术后脑脊液漏出过多相关。因术后早期发现病情变化,早期急诊手术处理,术后康复出院,随访无神经功能缺损症状,未遗留硬膜下血肿导致的相关严重并发症。
综上所述,我们认为:预防本症的关键在于减少或避免脑脊液大量流失,使用明胶海绵、自体肌肉及脂肪组织充分填塞囊腔并覆盖人工生物补片等方法修补硬脊膜缺损再涂以纤维蛋白胶进而将其严密封闭,或使用受控脑脊液引流技术及硬脊膜腔内补充等渗温盐水以应对脑脊液多量丢失的情况[21],术中及术后采取头低足高位,可有效预防术后脑脊液漏。止血药物的术前应用有助于预防颅内出血及可能减少的术后引流及出血等[22]。术后行腰大池引流3~7 d可防止术后脑脊液漏[23]。脱水剂对于椎管术后患者尤其是老年患者应慎重使用。本症的诊断,在密切监测患者各项生命体征的基础上,最应首先排除麻醉因素的干扰,尤其是对于全身麻醉术后的患者,因其表现比较隐匿,诊断存在一定困难,所以如遇脊柱手术后麻醉苏醒延迟的患者,必须立即进行CT检查,以排除颅内血肿[24]。对于继发性颅内出血患者,应及时停止引流,根据患者意识状态及其他生命体征变化情况,考虑采取保守治疗即延长临床监测时间[18,25],或如果患者由于颅内压升高而出现脑干受压的迹象和症状,则需及时手术治疗[26]。对于第四脑室受压或阻塞的患者,可能需要采取脑脊液分流措施[27]。椎管手术术后引起急性硬膜下血肿是脊柱手术中罕见的且一旦延误病情将给患者带来严重后果的并发症,及时并正确诊断及干预势必会减少不必要的非预期重返手术甚至危及患者生命的情况发生,神经科临床医师必须对其高度重视。
张坚, 温兆孟, 刘文虎, 等. 骶管蛛网膜囊肿术后继发急性硬膜下血肿1例[J]. 中华神经科杂志, 2023, 56(3): 333-337. DOI: 10.3760/cma.j.cn113694-20220622-00497.
所有作者声明无利益冲突
None declared





















