
除非特别声明,本刊刊出的所有文章不代表本刊编辑委员会的观点。
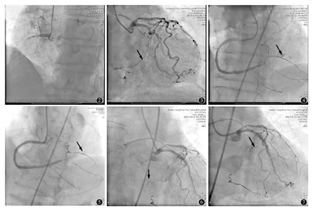
患者男性,76岁,因"阵发性胸痛5个月"于2014年6月10日入院。患者5个月来快步行走时发生胸痛,位于心前区,手掌大小,程度较剧烈,尚能忍受,伴出汗,无放射痛,持续3~5 min,休息后缓解。既往高血压病史10余年,未正规服药,血压最高达170/100 mmHg,控制不理想,无家族史。入院查体:血压150/70 mmHg,双肺呼吸音清,心率56次/min,律齐,未闻及杂音。心电图示窦性心律,Ⅲ、aVF导联T波倒置(图1)。入院诊断:冠心病 稳定型劳累性心绞痛,心功能1级,高血压2级。给予阿司匹林100 mg和氯吡格雷75 mg双联抗血小板治疗。冠状动脉造影示左主干正常,右冠状动脉近端完全闭塞(图2),为慢性完全闭塞病变,左前降支近中段斑块,左回旋支正常,向右冠状动脉提供Ⅲ级侧支(图3)。拟行右冠状动脉介入治疗。经右股动脉7FAL1.0指引导管送至右冠状动脉开口,在Finecross130微导管支撑下,Field Fc、XT、U3导丝均不能进入右冠状动脉血管真腔,遂采用逆向导丝技术,经右桡动脉7FEBU3.75指引导管送至左冠状动脉开口,Sion导丝通过LCX-侧支循环-右冠状动脉后侧支将Finecross150微导管送至右冠状动脉,应用反向Cart技术导丝逆向送至右冠状动脉开口进入指引导管内,送入微导管,应用RG3导丝,应用1.25 mm×15.00 mm及2.0 mm×15.0 mm Ryujin球囊前向扩张右冠状动脉闭塞段,于右冠状动脉病变处成功串联置入2.75 mm×38.00 mm、3.0 mm×38.0 mm、3.5 mm×22.0 mm Helios支架,造影显示右冠状动脉粗大,TIMI血流3级,但远端后侧支发生EllisⅡ型穿孔(图4),考虑导丝所致,应用1.5 mm×15.0 mm Ryujin球囊封堵约15 min,造影无对比剂外渗,患者生命体征平稳,返回病房。返回病房后半小时,患者出现胸闷气短,恶心呕吐,测血压80/50 mmHg,心率40次/min,急查床旁超声心动图示心包积液,积液最深处14 mm,紧急心包穿刺,引流出血性液体300 ml,患者症状好转,血压恢复,于导管室复查冠状动脉造影,显示右冠状动脉远端后侧支血管侧壁对比剂外渗,应用COOK18S3/2 mm微型弹簧圈封堵(图5),观察半小时无对比剂渗出,再次返回病房。1 h后患者再次出现心包压塞症状,再次复查冠状动脉造影显示右冠状动脉管腔通畅,TIMI血流3级,左回旋支至右冠状动脉侧支循环分支末梢对比剂渗出(图6),予以微导管内注射50 U凝血酶于左回旋支血管,无效,弹簧圈封堵左回旋支侧支近端(图7),观察1 h,冠状动脉造影示左回旋支侧支血管消失,无对比剂外渗,封堵成功。24 h后复查超声心动图,无心包积液,撤出引流管。患者病情平稳,1周后痊愈出院,1个月后复查,患者无不适。




冠状动脉穿孔是冠状动脉介入术中少见但可能致命的并发症,穿孔的发生率0.3%~3.0%[1]。近年来冠状动脉穿孔的发生率有增加趋势,其原因主要有:(1)介入器械和技术的发展,冠状动脉介入治疗的适应证扩大,复杂病变如慢性完全闭塞病变、钙化及迂曲成角等病变增加;(2)各种硬度较大和亲水涂层导丝,以及切割球囊、旋切或旋磨等新器械的应用,增加了冠状动脉穿孔的发生。
对于冠状动脉穿孔的处理因穿孔的类型不同而异,多数冠状动脉穿孔可以通过保守治疗,用球囊(动脉/球囊比0.9~1∶1)间断低压扩张(2~6 atm,10 min),其他穿孔封堵的方法包括局部置入带膜支架;穿孔部位的近段注射明胶或置入金属弹簧圈;注入预凝的自身血凝块或凝血酶等,必要时外科手术。
本病例特点及处理经过:(1)老年男性、右冠状动脉近端慢性完全闭塞病变;(2)Field Fc、XT、U3导丝不能前向通过右冠状动脉闭塞段,从而采用逆向导丝技术;(3)前向右冠状动脉远端后侧支及逆向侧支双侧冠状动脉穿孔;(4)后侧支穿孔部位在血管侧壁局部,应用1.5 mm×15.0 mm Ryujin球囊6 atm先后15 min、20 min间断压迫止血,仍有对比剂渗出,于是应用COOK18S3/2 mm微型弹簧圈封堵后侧支成功;(5)逆向侧支穿孔部位在分支末梢血管,首先在穿孔分支近段侧支内应用小球囊6 atm扩张压迫20 min,造影仍有对比剂渗出;(6)将Finecross130微导管送至逆向侧支分支末梢穿孔处近段,造影证实微导管嵌顿,于是经微导管注射50 U凝血酶,观察10 min,负压撤出微导管,造影仍有对比剂渗出;(7)最后应用上述微型金属弹簧圈封堵逆向侧支血管近段,造影侧支循环消失,封堵成功;(8)术中未应用鱼精蛋白中和肝素,阿司匹林和氯吡格雷双联抗血小板制剂无需停用。
通过本病例,我们总结如下:(1)对于慢性完全闭塞病变行逆向导丝技术者,如果发生冠状动脉穿孔,需警惕逆向侧支血管也发生穿孔即双侧穿孔的可能,以便同时且及时处理,减少患者的痛苦和负担;(2)对于远端血管侧壁或末梢穿孔,EllisⅡ型者,小球囊低压扩张效果不佳的,采用弹簧圈栓塞疗法,栓塞范围可控,效果确切;(3)不足之处是弹簧圈封堵血管后无再通机会,而有文献报道,明胶颗粒栓塞血管有再通可能,机制可能与明胶颗粒自身理化特性或再血管化有关。因此,对于远端小血管的冠状动脉穿孔,栓塞疗法效果确切,但究竟选择哪种栓塞材料,有待更深入的研究。
无





















