
除非特别声明,本刊刊出的所有文章不代表本刊编辑委员会的观点。
患者男性,52岁,因"全身皮肤、巩膜黄染10 d"于2016年10月6日入院。患者10 d前出现发热(最高38.9℃),伴畏寒、寒战,全身皮肤、巩膜黄染,肢体、躯干皮肤瘙痒,伴乏力、食欲不振,尿液呈浓茶色、大便颜色变浅呈陶土样,口服阿莫西林与布洛芬2 d,体温降至正常,但皮肤、巩膜黄染等症状无明显缓解。就诊于当地医院,血生化检查提示:谷氨酸氨基转移酶(ALT)351 U/L,门冬氨酸氨基转移酶(AST)241 U/L,总胆红素(TBIL)198.9 μmol/L,直接胆红素(DBIL)164.7 μmol/L。腹部CT平扫提示:肝内外胆管未见扩张,胆囊壁形态饱满。考虑诊断为"胆囊炎"。遂予保肝、静脉营养支持治疗1周,患者未再出现发热,但乏力、食欲不振、瘙痒等症状无明显好转,尿色加深、大便颜色变浅和全身皮肤、巩膜黄染体征无明显变化。遂就诊于北京大学第一医院普外科,2016年10月7日血生化检查提示:ALT 344 IU/L,AST 163 IU/L,ALP 488 IU/L,谷氨酰转肽酶(GGT)578 IU/L,总胆汁酸(TBA) 267.7 μmol/L,TBIL 366.1 μmol/L,DBIL 225.59 μmol/L;血自身抗体、免疫球蛋白、CEA、CA19-9、AFP、抗-HEV、抗-HAV、乙肝两对半及抗-HCV均未见异常。腹部B超提示:胃肠道胀气;肝脏表面光滑,实质回声增强,欠均质;胆囊大小正常,壁不厚,未见结石影;结论:肝脏回声欠均质改变。腹部增强CT示肝脏形态、大小未见异常,实质内未见异常密度及异常强化;胆囊体积较小,胆囊壁及胆囊管壁增厚毛糙;增强扫描可见胆囊壁强化,腔内未见阳性结石及占位;肝内外胆管未见扩张;结论:慢性胆囊炎。磁共振胰胆管造影(MRCP)结论同CT,考虑为慢性胆囊炎。予保肝利胆治疗12 d后,上述症状无明显缓解,血ALT及AST虽呈下降趋势,但GGT及TBIL无明显变化。为求进一步诊治,于2016年10月18日转入该院感染科进一步诊治。
既往40年前曾因"急性黄疸型肝炎"住院治疗,自述之后每年体检血胆红素、转氨酶等均正常;痛风性关节炎病史10余年,急性发作时左第一跖趾关节红、肿、热、痛,约半年发作1次。发作时曾服用非甾体类抗炎药(娜莎,泰国进口),可缓解。2016年9月20日起口服苯溴马隆50 mg/d治疗,9月30日于当地医院就诊时,考虑不除外苯溴马隆所致肝损伤,停用苯溴马隆。高血压病史5年,最高170/130 mmHg,规律口服氯沙坦50 mg/d,血压控制在140/80 mmHg左右。吸烟史30余年,15支/d,未戒烟;饮酒史30年,5~6次/周,白酒250~400 g/次,未戒酒。无食物、药物过敏史。
入院查体:体温36.7℃,脉搏71次/min,呼吸18次/min,BP 110/61 mmHg,BMI 24.3 kg/m2;发育正常,营养中等。神志清楚,查体合作。全身皮肤、巩膜呈金黄色;未见肝掌、蜘蛛痣;心前区无隆起,心界不大,心率71次/min,律齐,各瓣膜区未闻及病理性杂音;双肺呼吸音清,双肺未闻及干湿性啰音;腹部平软,无压痛、反跳痛,肝脾肋下未及,腹水征(-);双下肢不肿,双侧跖趾关节无红、肿;双足背动脉搏动正常。
入院诊断:(1)肝功能异常原因待查:酒精性肝病?药物性肝损伤?(2)痛风性关节炎,间歇期,左侧第一跖趾关节;(3)高血压3级很高危。
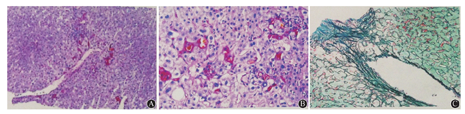
入院后血常规示:白细胞计数3.9×109/L,红细胞计数4.06×1012/L,血红蛋白浓度137 g/L,血小板计数308×109/L,中性粒细胞百分比53.8%;尿常规:色深黄,胆红素++++,尿胆原阴性;大便常规:灰白色,潜血阴性;血生化示ALT 148 IU/L,AST 73 IU/L,ALP 454 IU/L,GGT 367 IU/L,TBIL 382.6 μmol/L,DBIL 245.04 μmol/L,TBA 320.9 μmol/L,白蛋白/球蛋白比值(A/G)正常,尿酸238 μmol/L;甲、乙、丙、戊型病毒性肝炎抗体和CMV、EBV抗体及抗核抗体(ANA)、抗线粒体抗体(AMA)、抗可提取性核抗原(ENA)、平滑肌抗体(SMA)、抗中性粒细胞胞浆抗体(ANCA)等自身免疫相关抗体均阴性。临床考虑可以除外病毒性肝炎诊断,但黄疸的病因仍不十分清楚,药物性肝损伤、酒精性肝损伤等均不能除外。为进一步明确诊断,2016年11月8日行肝穿刺病理活检,结果提示符合药物性肝损伤;轻度酒精性中央静脉周围纤维化(图1)。回顾病史,考虑苯溴马隆所致药物性肝损伤可能性大。予保肝、抗炎、利胆治疗后,患者皮肤及巩膜黄染等症状自发病后1个月逐渐减退,肝功能逐渐好转(图2)。


A:汇管区间质内轻-中度单个核为主的混合性炎细胞浸润(×4,D-PAS染色);B:小叶内多个终末肝静脉或中央静脉周围可见多数Kupffer细胞胞体肥大,胞浆内含噬入的胆栓,周围肝细胞轻度大小不一,少数可见扩张的毛细胆管,提示毛细胆管内淤胆并开始消退(×40,D-PAS染色);C:多个终末肝静脉周围局灶性纤维化,少数肝细胞周围见窦周纤维化,考虑与长期大量饮酒有关(×40,网织+Masson染色);结论:(1)淤胆性肝炎,累及部分小叶间胆管,符合药物性肝损伤;(2)轻度酒精性中央静脉周围纤维化


注:LDL-C:低密度脂蛋白胆固醇;ALT:谷氨酸氨基转氨酶;GGT:谷胺酰转肽酶;TBA:总胆汁酸;TBIL:总胆红素
患者转入感染科病房10余日后,复查血生化时发现血脂明显异常,总胆固醇(TC)高达28.15μmol/L,低密度脂蛋白胆固醇(LDL-C)高达30.6 μmol/L,追溯既往血脂情况:2016年10月7日TG 3.49 μmol/L,TC 12.1 μmol/L,HDL-C 0.35 μmol/L,LDL-C 11.63 μmol/L;2016年8月15日体检TG 2.13 μmol/L,TC 4.81 μmol/L,HDL-C 1.15 μmol/L,LDL-C 2.25 μmol/L。患者一级亲属(父母、妹妹、两弟弟)中没有高胆固醇血症病史。其血脂异常似与本次发病相关。在严密监测下,于31日加用瑞舒伐他汀10 mg/d降脂治疗。2016年11月7日晨5时许,患者于安静睡眠时突发心前区针刺样疼痛,范围为拳头大小,伴胸闷憋气,间断发作共4次,持续数秒至1 min可自行缓解。查脉搏74次/min,呼吸23次/min,血压121/65 mmHg。心电图(图3、图4)示:窦性心律,心率74次/min。V2~V6导联新出现J点抬高0.1 mV左右,T波较前高尖;当时急查心肌肌钙蛋白(TnT)0.005 ng/ml,肌酸激酶同工酶(CK-MB)0.9 ng/ml,B型利钠肽(BNP)17 pg/ml。因患者心血管危险因素多(男性、高血压、严重血脂代谢紊乱、长期大量吸烟、饮酒史),临床不除外冠心病及冠状动脉痉挛可能,加用阿司匹林抗聚、盐酸地尔硫
片预防冠状动脉痉挛治疗,患者此后未再出现类似胸痛及胸闷憋气等不适。


窦性心律,心率75次/min,V4~V6导联非特异性T波低平


V2~V6导联新出现J点抬高0.1 mV左右,T波较图2入院时高尖
为明确胸痛原因,行超声心动图检查,示左室舒张末内径4.2 cm,室壁厚度正常,射血分数73.4%,室壁运动正常;二、三尖瓣轻度反流;行BRUCE方案心电图运动平板试验:最高心率为157次/min,达到最大预测心率的93%;最大活动当量(METS)为5.80,血压值最高达200/100 mmHg,无明显ST-T改变,无胸痛症状发作,提示活动平板运动试验阴性。冠状动脉粥样硬化所致本次症状发生的可能性小,考虑胸痛为冠状动脉痉挛所致变异型心绞痛可能性大。经上述抗聚、解痉、调脂、降压等治疗后,患者未再发作胸痛不适,症状好转出院。
患者中年男性,急性病程,以GGT、TBA升高及黄疸、皮肤瘙痒、大便颜色变浅、尿色加深等胆汁淤积表现为主就诊。病毒性肝炎相关抗体及相关自身抗体阴性,除外病毒性肝炎及自身免疫性肝炎,肝脏穿刺病理活检支持药物性肝损伤诊断。患者肝脏生化指标在应用苯溴马隆前正常(见图2),无引起急性肝损伤的低灌注因素(如心功能不全、脓毒症等引起的低血压;使用血管收缩药物),近期无其他已知肝毒性药物应用史,使用苯溴马隆10 d后出现黄疸伴肝生化异常,TBIL和ALP升高大于正常上限值2倍,胆红素升高以直接胆红素为主,肝活检病理支持胆汁淤积性肝损伤,停药后肝功能渐恢复,符合药物性肝损伤特点。
苯溴马隆为苯骈呋喃衍生物,具有抑制肾小管对尿酸的重吸收作用而降低血尿酸浓度,用于原发性高尿酸血症的治疗。曾有报道提示其可导致肝损害[1]。2014年,国家食品药品监督管理总局曾发布提醒关注苯溴马隆的肝损伤风险的立场文件。本例患者的急性黄疸伴肝损伤与应用苯溴马隆相关,临床表现为药物性胆汁淤积。药物引起的肝损伤常常分为胆汁淤积性损伤、肝细胞损伤及混合性损伤,临床可表现为无症状性仅肝功能轻度异常、胆汁淤积伴瘙痒、黄疸的急性症候群,甚或急性肝衰竭[2]。其致病机制包括内在肝毒性、特异质反应、代谢性损伤、免疫变应性损伤等[2]。上述机制可导致毛细胆管、细胞骨架和高尔基体等细胞器功能异常,胆汁分泌减少,并导致胆汁各项成分(结合胆红素、胆汁酸、胆固醇和ALP等)返流入血,故可导致血脂代谢异常。本例患者血脂明显异常,其LDL-C曾一度高达30.6 mol/L。血脂异常通常可分为原发性高脂血症和继发性高脂血症。大部分原发性高脂血症是由于单一基因或多个基因突变所致,多具有家族聚集性,有明显的遗传倾向。但本患者无高脂血症家族史,家族中也无类似病史者,虽有长期大量饮酒史,但2016年8月体检血脂未见明显异常,近期饮酒量无明显大幅增加,暂排除原发性高脂血症。
血脂异常的常见病因包括:肥胖、糖尿病、肾病综合征、甲状腺功能减退、肾功能衰竭、肝脏疾病、药物等。本患者BMI 24.3 kg/m2,无上述相关病史,既往体检血脂未见明显异常,可除外糖尿病、肾病综合征、甲状腺功能减退症及肾功能衰竭所致本次急性黄疸伴肝损伤,唯一较明确的是苯溴马隆的药物应用史。患者在淤胆性肝损伤后出现血脂代谢异常,在加用他汀类药物调脂治疗的基础上,随着肝功能好转,特别是淤胆情况的好转,血脂异常渐趋纠正,停用他汀类药物后亦未再出现血脂升高,提示其血脂异常可能与胆汁淤积有关。
高胆固醇血症作为淤胆性肝病的一种并发症,其作用机制目前尚未完全阐明[3]。Zidan等[4]强调在胆汁淤积的病例中,血清胆固醇的升高可能是因为胆汁返流入血,而不是肝细胞合成过多所致。患者在血脂异常升高期间,于凌晨时分发作静息性心绞痛症状,心电图较前新发J点抬高及T波较前高尖等超极性期心内膜下缺血的动态改变,行运动平板试验阴性,支持变异型心绞痛诊断[5]。患者既往从未发生过类似胸痛症状,随血脂升高出现胸痛不适,随血脂代谢趋于正常,后未再出现心绞痛症状,考虑患者变异型心绞痛的发作与血脂异常升高相关性大,其可能的解释为血脂代谢异常时血浆中脂蛋白残粒( remnant lipoprotein,RLP)增多。RLP又称富含TG脂蛋白残粒(TRL),是乳糜微粒(CM)和极低密度脂蛋白(VLDL)经脂蛋白脂酶(LPL)水解逐渐失去TG油、磷脂、载脂蛋白A和载脂蛋白C,转变为富含胆固醇、胆固醇脂和载脂蛋白E的较小颗粒[6]。有研究表明,RLP能正调控冠状动脉平滑肌细胞内的Rho蛋白激酶,而后者在冠状动脉痉挛的分子机制中起着重要作用,能诱发冠状动脉痉挛[7],所以本患者服用苯溴马隆后致药物性胆汁淤积性肝损伤,出现严重血脂代谢异常,进而引起继发的变异型心绞痛可能性很大。本病例提示,苯溴马隆可导致急性肝损伤,在服药的最初1个月内,应注意监测肝生化指标。同时严重的药物性肝损伤可导致严重胆汁淤积,在此基础上可因胆汁返流入血而出现血脂代谢明显异常,需警惕严重心血管事件的发生。
无





















