
除非特别声明,本刊刊出的所有文章不代表本刊编辑委员会的观点。
患者男性,24岁,因"间断胸痛、发热1月余"于2016年9月19日入院。入院1个月余前睡眠时无明显诱因突发右前胸撕裂样疼痛,持续约半小时后自行缓解,未予重视。数天后出现咳嗽、咳白色泡沫痰,后出现发热,伴畏寒、寒战、肌肉酸痛,体温每日上午正常,下午升高至39℃左右,偶有活动后心悸、胸闷,休息5~6 min可缓解,伴乏力,活动耐量较前下降。于当地医院查胸部CT(2016年8月5日)示:右下肺门旁囊实性占位性病变,考虑良性;心脏大。予阿米卡星抗感染治疗效果不佳,体温峰值升至39.8℃。2016年9月2日查血常规未见异常,高敏C反应蛋白84.1 mg/L,血培养两次均阴性。超声心动图:LVEF 54%,主动脉无冠窦呈一囊袋状结构向右房膨出,顶部可见破裂口,主动脉无冠窦向右房持续分流;全心大,肺动脉内径增宽,心包腔内可见少量液性暗区。2016年9月6日复查超声心动图示:靠近外口窦部后壁可见一偏强回声,测范围约10 mm×6 mm。联合心外科会诊,考虑"感染性心内膜炎,瓦氏窦瘤破裂",予万古霉素+亚胺培南抗感染治疗,患者体温峰值逐渐降至正常,入我科前2 d体温峰值再次升高至37.5℃,为进一步诊治收入我科。患者病程中无咯血、盗汗,无活动后喘息及下肢水肿,无皮疹、关节痛。既往体健,否认幼年时活动后呼吸困难、发绀、蹲踞病史,否认幼年关节肿痛、肾炎病史。未婚,曾服兵役3年,家族史无特殊。体格检查:体温37.6℃,脉搏123次/min,呼吸17次/min,血压148/76 mmHg。身高183 cm,体重78 kg。皮肤黏膜无黄染,双肺未及干湿啰音。心尖搏动弥散,叩诊全心增大,心率123次/min,律齐,三尖瓣听诊区可闻及3/6级舒张期杂音。腹软无压痛,肝脾肋下未及。双下肢无水肿。入院诊断:主动脉窦无冠窦窦瘤破裂,感染性心内膜炎?全心扩大,主肺动脉扩张,心包积液(少量),左心功能减低。入院后完善化验检查:血沉63 mm/第1小时,C反应蛋白19.6 mg/dl,降钙素原0.16 ng/ml,肌钙蛋白T 0.007 ng/ml,肌酸激酶-同工酶1.02 ng/ml,B型利钠肽217.60 pg/ml。心电图示窦性心动过速,各导联波形未见明显异常。复查超声心动图:各房室内径大,主动脉窦无冠窦瘤样改变,向右房膨出,窦瘤顶部连续性中断约8 mm(图1A)。心包腔内后区探及宽约9 mm液性暗区,LVEF 48%。多普勒:主动脉无冠窦可探及五彩血流分流至右心房(图1B),收缩期为著,流速最高4.8 m/s。心脏MRI:无冠窦呈囊袋样突向右心房,并可见向右心房分流,结合超声心动,符合无冠窦瘤破裂;左、右心室及右心房增大;LVEF 46.8%,心包积液(中量)。予万古霉素+亚胺培南抗感染治疗,患者体温峰值降至38.5℃以下。2016年9月20日转入心脏外科继续原方案抗感染治疗,2016年9月26日行主动脉窦瘤破裂修补术+右胸腔肿物切除术,术中见心包内中量淡黄色积液,右心房室扩大,主动脉无冠窦瘤破入右心房,瘤蒂根部直径约1 cm,未发现明确赘生物。右胸腔肿物质硬,直径约6 cm,边界清。术后当天体温即降至正常(诊疗过程体温及心率变化见图2)。手术病理结果:右胸腔炎症性肌纤维母细胞瘤,WHO ICD-0编码I级(属于交界性或恶性潜能未定肿瘤)。主动脉窦瘤致密纤维组织,间质明显玻璃样变性,伴片状钙化,结合临床符合主动脉窦瘤(图3)。术后复查超声心动图(2016年10月9日):左室内径大(较前缩小),内未见异常回声团,主动脉窦无冠窦回声增强,未见连续性中断,心包腔内未探及液性暗区。多普勒:主动脉无冠窦修补处未探及分流。出院诊断:主动脉窦无冠窦窦瘤破裂修补术后,左室扩大,主动脉瓣关闭不全(轻),右胸腔炎症性肌纤维母细胞瘤切除术后。


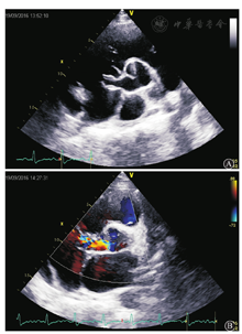
A:超声心动图示主动脉无冠窦呈一囊袋状结构向右房膨出,顶部可见破裂口,与右心房相通;B:彩色多普勒示主动脉窦破裂处可见主动脉无冠窦向右房持续分流




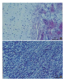
A:主动脉窦瘤;B:右纵隔肿物(HE染色,×100)
主动脉窦位于主动脉根部下方,是升主动脉根部与主动脉瓣叶相对应的主动脉管腔在心室舒张时,由于血液逆流性漩涡,向外呈壶腹样膨出,而形成的3个开口向上的腔。当主动脉瓣关闭时,主动脉窦的这种结构特点有利于使之向外扩张,减轻血液对主动脉瓣的压力。主动脉窦分为左窦、右窦和后窦,或根据有无主动脉开口分为右冠状动脉窦(简称右冠窦)、左冠状动脉窦(简称左冠窦)和无冠状动脉窦(简称无冠窦)。
主动脉窦瘤破裂(ruptured sinus of Valsalva aneurysm,RSVA)是一种少见的心脏病,心脏外科手术中占0.14%~0.96% [1]。病因以先天性病变为主,也可继发于破坏主动脉壁的疾病,如感染性心内膜炎、梅毒、动脉粥样硬化、外伤等。主动脉窦瘤主要发生于右冠窦(65%~85%),发生于无冠窦占10%~30%,左冠窦最少见,占1%~5% [2],大多数情况下主动脉窦瘤是无症状的[3],少数情况下,主动脉窦瘤可表现为流出道梗阻、影响瓣膜功能、缺血性心脏病及改变心脏传导系统。RSVA在大多数情况下造成右冠状动脉窦破裂向右室分流,无冠窦破裂时可向右房分流,左冠窦破裂大多数破入左心室或左心房,少数情况下破入肺动脉或心包[4],主要临床特征为突发的胸痛,胸骨左缘舒张期杂音,以及心脏容量负荷过重表现。主动脉窦动脉瘤破裂前一般无症状。破裂多发生在20~67岁之间,男性多见。约35%有突发心前区疼痛史,常于剧烈活动时发生,表现为剧烈劳动时突发心前区或上腹部剧烈疼痛、胸闷和呼吸困难,随即出现心悸、气急,可迅速恶化至心力衰竭。45%的患者发病缓慢,表现为劳累后气急、心悸、乏力等逐渐加重,以致丧失活动能力。20%的患者破口较小,仅有少量左向右分流,起病后可有数周、数月或数年的缓解期,然后呈现右心衰竭症状。特征性体征为胸骨左缘Ⅲ、Ⅳ肋间连续性机器样杂音,常伴震颤。其他体征包括周围血管征,如水冲脉、枪击音,以及右心衰竭体征,如颈静脉怒张、肝大、肝脾静脉回流征等。心电图主要表现为左室高电压、左室肥大,胸片表现为肺动脉段突出、心影增大。诊断主要依靠超声心动图,而心脏MRI可以提供更好的软组织显像,有助于评估周围组织病变情况[5]。
RSVA需和以下疾病进行鉴别:(1)先天性心脏病:如动脉导管未闭、高位室间隔缺损伴主动脉瓣关闭不全、冠状动静脉瘘、主动脉-肺动脉间隔缺损等。均可造成左向右分流,临床表现取决于分流量的多少以及是否产生继发的肺动脉高压,主要表现为心功能不全、心脏杂音等,多为幼年起病,但冠状动静脉瘘60%以上在20岁以后出现症状,表现为进行性加重的劳力性呼吸困难,常见的症状有劳累后心悸、气急、乏力,易患呼吸道感染和生长发育迟缓等,与本病主要通过超声心动图、心脏MRI等检查进行鉴别。(2)肺栓塞:肺栓塞的症状缺乏特异性,临床表现取决于栓子的大小、数量、栓塞的部位及患者是否存在心、肺等器官的基础疾病。可表现为呼吸困难、胸痛、先兆晕厥、晕厥、咯血等。胸痛是肺栓塞的常见症状,多因远端肺栓塞引起的胸膜刺激所致。如考虑肺栓塞,需完善血气分析、D-二聚体、下肢深静脉B超、CTPA或肺通气/灌注显像协助诊治。(3)心绞痛:心绞痛是指冠状动脉供血不足,心肌缺血缺氧所引起的临床综合征,特点为阵发性、压榨性疼痛,疼痛主要位于胸骨后部,可放射至心前区与左上肢,劳累或情绪激动时常发生,每次发作持续3~5 min,休息或用硝酸酯类制剂后消失。本病多见于男性,多数40岁以上,常伴高血压、糖尿病、高脂血症等基础疾病,必要时可行运动平板试验、冠脉造影协助诊断。
治疗方面,手术修补是唯一治愈方法,早期手术预后良好,20年生存率可达95%,内科治疗主要在于控制心功能不全、心律失常及感染性心内膜炎。
本例患者为青年男性,以突发胸痛为首发症状,继而发生不明原因发热及逐渐加重的心功能不全。考虑患者主动脉窦瘤为先天性发育异常可能大,突发胸痛时窦瘤破裂,后患者持续存在无冠窦向右房分流,右心负荷增加,逐渐出现心功能不全,同时出现继发感染。行窦瘤修补术后患者体温明显下降,出院前复查超声心动图可见射血分数明显改善,治疗有效。患者同时合并右胸腔炎症性肌纤维母细胞瘤,查阅相关文献资料,未找到肿瘤与冠状窦瘤相关证据,考虑二者无关。
针对本例患者持续发热症状,合并白细胞、C反应蛋白、降钙素原升高,考虑存在细菌感染,术后体温即降至正常,考虑感染与无冠窦破裂或胸腔肿物相关。感染性心内膜炎可解释患者发热、寒战、贫血等表现,但患者多次血培养结果均阴性,术前复查超声心动图以及磁共振检查均未见明显赘生物征象,手术过程中直视下瓣膜完好,未见明确赘生物,术后病理亦未发现明确感染征象,不考虑本患者存在感染性心内膜炎。患者胸腔肿物病理提示炎症性肌纤维母细胞瘤,目前研究尚不清楚此病变是原发性炎症性过程,还是伴明显炎症反应的低级别恶性肿瘤。炎症性肌纤维母细胞瘤患者约有70%没有症状,有症状的患者可能主诉咳嗽、呼吸困难、胸痛或咯血。约50%的患者红细胞沉降率升高,还可出现轻度贫血和血小板增多,目前尚无研究证实炎症性肌纤维母细胞瘤可造成患者持续高热,但是理论上,肿瘤特别是炎症性的肿瘤均可释放炎症因子引起发热,且肿物切除后该患者体温明显下降,但因手术中同时合并无冠窦窦瘤破裂修补术,仍不能确定肿瘤热为患者持续发热原因。综上,我们认为患者发热可能由于窦瘤破裂后发生左向右分流,感染风险明显增高,合并感染的可能性大,但无感染性心内膜炎证据,同时不除外炎症性肌纤维母细胞瘤引起的发热。
关于无冠窦破裂的手术治疗,现国内尚无明确指南,比较一致的观点认为,RSVA对心功能影响严重,一旦确诊,应尽早手术,同时矫正合并的畸形,可获得满意的效果。
本例患者诊疗过程中的经验教训:应更重视详细的病史采集:该患者起病的特点是突发不明原因胸痛后的持续发热,胸痛程度剧烈,且病程中未再次发作,此特点不能为一般的感染性疾病解释;必要的辅助检查:该患者起病时行胸部CT已发现心影增大,但未引起重视,半个月后完善超声心动图检查时发现无冠窦破裂。超声心动图检查对明确患者病因具有诊断意义,应早期予以完善;当抗生素治疗效果不佳时,应有如下考虑:抗生素未覆盖的特殊病原体感染:应继续完善特殊病原体的病原学、血清学检查,如患者症状、体征明显,在尚未取得病原学证据时可行经验性抗感染治疗;感染源或易感因素持续存在:例如外科感染,切除感染灶是最主要的治疗方式;完善非感染性疾病筛查:发热可能为多种病因引起,如外伤、肿瘤、结缔组织疾病、血栓性疾病等,需注意的是,非感染性疾病也可能因炎症反应等原因造成感染指标的异常,如C反应蛋白的升高、血沉增快等,此时针对病因的治疗效果可以是立竿见影的。
无





















