
初步评估经桡动脉左心室心内膜心肌活检(EMB)在心肌病诊断中应用的安全性、有效性及临床意义。
2017年12月至2018年2月于北京医院就诊的5例心肌病患者,采集基线资料、安全性及有效性指标。
5例患者中,男性3例,女性2例,年龄28~62岁,平均42岁,平均体质指数28.8 kg/m2,根据临床适应证,行左心室造影、冠状动脉造影及经桡动脉左心室EMB等操作。手术成功率100%,有3例冠状动脉造影及左心室造影后即刻经同一桡动脉途径行EMB,其他2例先行冠状动脉造影,数天后行经桡动脉途径EMB。手术时间34~68 min,中位时间54 min。造影剂用量95.4~150.2 ml,平均123.4 ml。心肌活检组织样本数量4~6块,平均4.4块,质量好,心肌活检组织病理诊断率100%。X线暴露时间10~22 min,平均15.3 min。X线暴露剂量:剂量面积乘积17 323~30 574 cGy·cm2,中位数为26 433 cGy·cm2,皮肤总量1 392~3 088 mGy,中位数为2 495 mGy。所有患者术后无需卧床,无手术相关并发症。
本研究初步显示了经桡动脉左心室EMB的安全性及有效性,为心肌病的诊断提供了一种可能更为安全、有效的全新技术,同时提高患者舒适度,并使手术更加便捷、经济。
除非特别声明,本刊刊出的所有文章不代表本刊编辑委员会的观点。
心内膜心肌活检(endomyocardial biopsy,EMB)是非缺血性心肌病诊断的金标准[1,2,3,4,5],一些心肌病预后独特,往往不能通过无创手段进行诊断,因此这类患者需EMB明确诊断并指导治疗,以改善预后。EMB分为左心室心内膜心肌活检(以下简称"左心活检")与右心室心内膜心肌活检(以下简称"右心活检")。一项包含755例心肌活检及6 371块心肌活检标本的研究表明,与右心活检相比,左心活检严重并发症发生率相似(0.64%比0.82%),次要并发症发生率较低(0.64%~2.89%比2.24%~5.10%),而组织病理诊断率更高(64.5%~74.8% 比55.8%~57.1%),因此左心活检为临床工作所需要[6]。国内目前大多采用经颈内静脉或股静脉途径的右心活检,虽也有少量左心活检的报道[7,8],但为经股动脉途径,而经桡动脉途径的主要出血及穿刺部位并发症的风险明显降低[9,10,11],且大多数患者术后无需卧床。目前,尚未检索到国内经桡动脉左心室EMB的相关报道,本研究旨在初步评估经桡动脉左心室EMB在心肌病诊断中应用的安全性、有效性及临床意义。
本研究为前瞻性观察性研究。2017年12月至2018年2月于北京医院就诊的5例心肌病患者。入选标准:(1)新发(<2周)心力衰竭,伴血流动力学障碍、左心室大小正常或扩张者;(2)新发(2周~3个月)心力衰竭,伴左心室扩张,新发室性心律失常、二度或三度房室传导阻滞或常规治疗1~2周反应较差者;(3)心力衰竭(>3个月),伴心左室扩张,新发室性心律失常、二度或三度房室传导阻滞或常规治疗1~2周反应较差者;(4)心力衰竭(无论时间长短)伴扩张型心肌病,怀疑与嗜酸粒细胞增多和(或)变态反应相关的患者;(5)心力衰竭伴怀疑为蒽环类药物诱导的心肌病的患者;(6)心力衰竭伴限制型心肌病;(7)心力衰竭伴肥厚型心肌病。排除标准:(1)出血性疾病、严重血小板减少症及正在接受抗凝治疗者;(2)急性心肌梗死、有心室内附壁血栓或室壁瘤形成者;(3)术前超声心动图提示心肌致密化不全或左心室室壁厚度<8 mm(可能会增加心肌穿孔风险),主动脉瓣重度狭窄或有赘生物;(4)Allen试验异常者;(5)近期有急性感染者;(6)不能很好配合的患者。入选患者术前采集临床基线资料,行血液实验室检查,超声心动图检查,有4例患者术前行心脏磁共振成像检查,所有患者均知情同意。
术前:完善双前臂Allen试验检查;完善双上肢动脉超声检查。手术当日早晨禁食,留置静脉套管针,并输液水化治疗。手术区域备皮。
术中:吸氧、监测心律、心率、血压和血氧。常规消毒铺巾,应用改良Seldinger法穿刺右桡动脉,置入6F桡动脉鞘管(Cordis 6F Transradial Kit,经鞘管给予肝素5 000单位。根据病情及适应证决定是否同时行冠状动脉造影(coronary angiography,CAG)、肾动脉造影等。将Pigtail导管送入左心室,左心室造影图像设置为参考图像以备心肌活检时使用[右前斜30°和(或)左前斜60°],保留交换导丝于左心室内,撤回Pigtail导管,送入6F指引导管(Cordis Adroit 6F JR 4.0)注射少许造影剂,确定导管端孔于心室腔而未抵住心室壁,导管头端距离心室壁以2~3 cm为宜,距离室壁过近容易导致穿孔,距离太远会增加二尖瓣腱索损伤的风险。用肝素盐水纱布擦拭心内膜心肌活检钳[JAWZ Forcep,biopsy/105 cm/1.8 mm(0.070"O.D.)Jaw Dia./Straight/Stainless Steel/6F],在X线透视下,经指引导管送入活检钳,将其送至左室心尖或左室外侧壁,透视下调整活检钳位置,回撤活检钳约1.0 cm,张开钳口,重新将活检钳前送,一旦感到阻力快速闭合钳口,平稳回拽活检钳使其脱离左心室壁(图1),在活检钳撤出时保证钳口处于闭合状态。活检钳退出指引导管后,回抽并用肝素盐水冲洗指引导管。分别于室间隔、左心室侧壁或左心室前壁钳取心肌组织4~6块,每次取出标本后以无菌针头将其立即剔入10%福尔马林溶液(光镜检查)或2.5%戊二醛溶液(电镜检查),两次活检操作间期用肝素盐水冲洗指引导管,并用肝素盐水清洗活检钳。心肌活检结束后,重复左室造影,判断有无造影剂进入心包腔或右心室。操作结束后,拔除桡动脉鞘管,局部加压包扎。操作流程见图2。


张开钳口,前送活检钳,感到阻力快速闭合钳口,平稳回拽活检钳使其脱离左室壁(投照角度:右前斜30°)


术后:术后6 h解除桡动脉加压包扎。当日复查超声心动图,判断有无新出现的心包积液或主动脉瓣损伤。术后第1天行术侧上肢动脉超声检查。
安全性及有效性指标包括手术是否成功,活检组织样本数量、质量(由病理医师评估),EMB病理诊断结果;X线暴露剂量(包括剂量面积乘积及皮肤总量),X线暴露时间,手术时间,造影剂用量,手术后是否需要卧床,手术结束至可以下床的时间,手术动脉途径是否损伤,手术相关并发症(桡动脉闭塞、假性动脉瘤、动静脉瘘、血红蛋白较术前下降20%或需治疗、心脏穿孔、心包积血和压塞、血栓栓塞、恶性心律失常和死亡等)。
由于本研究为前瞻性观察性研究,是对安全性和有效性指标的客观描述,故未进行假设检验。采用SPSS 16.0统计软件进行分析。计量资料用中位数、均数表示,计数资料用百分构成比表示。
5例患者中男性3例,女性2例,年龄28~62岁,平均42岁,平均BMI 28.8 kg/m2。所有患者术前应用抗血小板药物治疗,均未应用口服抗凝药物,INR均在正常范围。有1例为慢性肾功能不全并规律肾脏替代治疗的患者,血肌酐307 μmol/L,其他患者血肌酐均在正常范围。血小板134~314×109/L,中位数为204×109/L。NYHA心功能分级Ⅲ~Ⅳ级,LVEF 20%~38%,中位数为29%。患者均存在心脏扩大,EDV 167~354 ml,中位数298 ml,LVEDD 58~81 ml,中位数66 mm(表1)。

5例患者基本资料
5例患者基本资料
| 项目 | 患者1 | 患者2 | 患者3 | 患者4 | 患者5 | |
|---|---|---|---|---|---|---|
| 年龄(岁) | 35 | 62 | 28 | 39 | 45 | |
| 性别 | 女 | 女 | 男 | 男 | 男 | |
| 身高(cm) | 160 | 160 | 168 | 170 | 170 | |
| 体重(kg) | 70 | 66 | 90 | 86 | 85 | |
| BMI(kg/m2) | 27.3 | 25.8 | 31.9 | 29.8 | 29.4 | |
| NYHA心功能分级 | Ⅲ | Ⅲ | Ⅲ | Ⅲ | Ⅳ | |
| 冠心病 | 否 | 否 | 否 | 否 | 是 | |
| 口服抗血小板药物 | 是 | 是 | 是 | 是 | 是 | |
| 口服抗凝药物 | 否 | 否 | 否 | 否 | 否 | |
| 血液指标 | ||||||
| INR | 1.00 | 0.96 | 1.03 | 1.06 | 0.94 | |
| 肌酐(μmol/L) | 64 | 75 | 96 | 87 | 307 | |
| 血小板(×109/L) | 314 | 204 | 235 | 148 | 134 | |
| 心脏超声检查 | ||||||
| LVEF(%) | 29 | 38 | 29 | 20 | 25 | |
| EDV(ml) | 167 | 347 | 224 | 354 | 298 | |
| LVEDD(mm) | 58 | 66 | 66 | 81 | 64 | |
| 手术日期 | 2017年12月5日 | 2017年12月28日 | 2018年1月4日 | 2018年1月23日 | 2018年2月1日 | |
注:BMI:体质指数;NYHA:纽约心脏病协会;INR:国际标准化比值;LVEF:左心室射血分数;EDV:舒张末期容积;LVEDD:左心室舒张末期内径
根据临床适应证,所有患者均行CAG,以明确是否存在缺血性心肌病。5例患者均经桡动脉行左心室EMB,手术成功率100%,有3例CAG及左心室造影后即刻经同一桡动脉途径行EMB,其他2例先行CAG,数天后行经桡动脉途径EMB。4例CAG正常,1例诊断为冠心病单支病变(仅后侧支75%狭窄,其他冠状动脉正常),均未行冠状动脉介入治疗。手术时间34~68 min,中位时间54 min。造影剂用量95.4~150.2 ml,平均用量123.4 ml。心肌活检组织样本数量4~6块,平均每人4.4块,质量好,心肌活检组织病理诊断率100%,与最后临床诊断符合率100%。X线暴露时间10~22 min,平均15.3 min。X线暴露剂量:剂量面积乘积17 323~30 574 cGy·cm2,中位数为26 433 cGy·cm2,皮肤总量1 392~3 088 mGy,中位数为2 495 mGy。所有患者术后即可下地行走,无需卧床,手术动脉途径无损伤(术后第1天动脉超声所示),无手术相关并发症(表2)。

手术过程及安全性、有效性指标
手术过程及安全性、有效性指标
| 项目 | 患者1 | 患者2 | 患者3 | 患者4 | 患者5 |
|---|---|---|---|---|---|
| 手术成功 | 是 | 是 | 是 | 是 | 是 |
| 左心室造影 | 是 | 是 | 是 | 是 | 是 |
| CAG | 是 | 否 | 否 | 是 | 是 |
| EMB | 是 | 是 | 是 | 是 | 是 |
| 冠状动脉介入治疗 | 否 | 否 | 否 | 否 | 否 |
| 肾动脉造影 | 否 | 否 | 否 | 否 | 否 |
| 乙酰胆碱激发试验 | 否 | 否 | 否 | 否 | 否 |
| 手术时间(min) | 55 | 34 | 48 | 68 | 54 |
| 造影剂用量(ml) | 150.2 | 104.8 | 95.4 | 128.4 | 138.3 |
| 活检组织样本数量 | 4 | 4 | 6 | 4 | 6 |
| 活检组织样本质量 | 好 | 好 | 好 | 好 | 好 |
| 病理诊断 | 扩张型心肌病 | 扩张型心肌病 | 线粒体心肌病 | 酒精性心肌病 | 扩张型心肌病 |
| 最后临床诊断 | 扩张型心肌病 | 扩张型心肌病 | 线粒体心肌病 | 酒精性心肌病 | 扩张型心肌病 |
| X线暴露时间(min) | 22 | 10 | 14 | 13 | 16 |
| 剂量面积乘积(cGy·cm2) | 27 569 | 17 323 | 25 702 | 26 433 | 30 574 |
| 皮肤总量(mGy) | 2 699 | 1 392 | 2 495 | 2 483 | 3 088 |
| 术后是否需要卧床 | 否 | 否 | 否 | 否 | 否 |
| 手术相关并发症 | 无 | 无 | 无 | 无 | 无 |
| 手术动脉途径损伤 | 无 | 无 | 无 | 无 | 无 |
本研究初步探索了经桡动脉左心室EMB的安全性及有效性。其意义在于:(1)笔者尚未检索到国内经桡动脉左心室EMB的相关报道,为国内率先开展的新技术;(2)欧美国家经桡动脉左心室EMB的报道中,其采用的均为Sheathless方法,本研究采用的6F桡动脉鞘管及指引导管在国际上尚无报道,为自主创新技术;(3)如同时存在CAG和EMB的适应证,可于同一桡动脉途径进行,使CAG及EMB的"一站式"检查成为可能;(4)与股动脉途径的EMB比较,桡动脉途径出血及穿刺部位并发症的风险明显降低,同时术后患者无需卧床,增加了患者的舒适度。
本研究中患者的年龄、性别、BMI和心功能指标与其他经桡动脉途径EMB研究中患者的基线资料相似[12,13]。在动脉途径EMB术前应用抗血小板药物以减少血栓的风险[14]。有研究表明,如口服抗凝药物后INR大于2.0,经桡动脉介入操作的风险会增加[15],虽然在本研究中患者未口服抗凝药物且INR均在正常范围,但我们不建议在INR大于2.0时进行该操作。
本研究中3例患者于CAG及左心室造影后即刻经同一桡动脉途径行心肌活检,临床中,有相当数量的心肌病患者明确诊断前常需CAG检查,因此,如同时存在CAG和EMB的适应证,可于同一桡动脉途径进行,做到CAG及EMB的"一站式"检查。此类患者,与国内目前采取的经股静脉、颈内静脉、锁骨下静脉途径右心活检或股动脉途径左心活检比较,减少了桡动脉外其他的血管穿刺操作。
近年来欧美国家有经桡动脉途径行左心活检的报道,一项包含42例经桡动脉途径左心活检的研究,手术成功率为98%,其中1例因桡动脉痉挛明显改为股动脉途径,无其他手术相关并发症,EMB病理诊断率100%[12]。另一项包含37例经桡动脉左心活检的研究,其手术成功率100%,出现1例轻微手术相关并发症,在置入Sheathless鞘管时出现室性心动过速,经电复律后恢复窦性心律,术后随访正常,EMB病理诊断率100%[13]。根据国外的研究报道,其安全性和有效性已经得到初步验证。在我们的研究中,手术成功率为100%,EMB病理诊断率100%,无手术相关并发症,结果等同或优于目前国外经桡动脉途径EMB的报道。但上述两个研究均采用Sheathless鞘管,而我们采用6F桡动脉鞘管及指引导管进行操作,较之Sheathless鞘管操作更简捷,减少了桡动脉痉挛的几率,减少了对桡动脉穿刺处的创伤,有助于提高手术的成功率。此外,6F指引导管外径2.0 mm,较之Sheathless鞘管2.49 mm的外径更小,不仅可减少对心室壁刺激,还可减少发生心律失常的几率。我们的研究中也确实未发生桡动脉痉挛或室性心动过速。此外,6F桡动脉鞘管及指引导管已广泛应用于介入检查和治疗,我们使用的Cordis 6F Transradial Kit桡动脉鞘管及Cordis Adroit 6F JR 4.0其外径分别为2.6 mm及2.0 mm,有研究表明,中国人群桡动脉平均直径为(3.04±0.43)mm,其中男性(3.12±0.41)mm,女性(2.75±0.38)mm[16],因此,此技术适用于大多数中国患者,有利于其在国内开展,同时,可以减少Sheathless技术相关手术耗材的使用以及降低相应的医疗费用。
本研究中所有患者均行抗血小板治疗,但未发生穿刺部位的相关并发症。术后超声心动图也未见新发的心包积液,所有患者术后血管超声检查均未见相关手术动脉途径损伤。这些结果相似或优于国外经桡动脉途径EMB或其他类似操作[12,13,17,18]。
目前,桡动脉途径已经越来越多的应用于CAG及其介入治疗[19],在心脏导管和经皮介入治疗的指南中,桡动脉途径是优选途径[10,11]。与股动脉途径相比,其主要出血及穿刺部位并发症的风险明显降低,且大多数患者术后即可行走,无需卧床。本研究采用经桡动脉途径EMB,所有患者术后即可行走,减少了手术风险,增加了患者的舒适度,同时可能减少住院时间及住院费用。
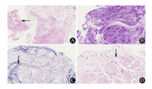
根据病理医生的意见,我们的心肌活检组织样本质量好,可以完成组织学、免疫组化、特殊染色、光镜等检查(图3、图4)。这与其他EMB报道中的结果相似[6,12,13]。在帮助临床医生明确诊断,决定下一步的治疗方案,有积极的临床意义。


A:苏木精-伊红染色法(×100);B:碘酸希夫反应染色(×250);C:网状纤维染色(×300);D:刚果红染色(×400);左心室内膜心肌组织,心肌细胞肥大(A中箭头所示),心肌间质纤维化(C中箭头所示),心肌细胞可见空泡变性及虫蚀样改变(D中箭头所示),部分区域纵横纹结构不清,免疫组化可见少量组织细胞浸润,未见淋巴细胞反应,未见淀粉样物质沉积,考虑符合扩张性心肌病病理改变;免疫组化结果:Desmin(+),Kappa(-),Lambda(-),CD3(-),CD20(-),CD163(+)。特殊染色结果:PTAH(+),PAS(+)(B),D-PAS(-),Masson三色(+),VG+弹力(+),刚果红(-)


A:×35 000;B:×20 000;细胞间纤维增生,心肌闰盘退行性变(B中箭头所示),部分电镜下结构消失;部分细胞核碎裂,呈退行性变,部分心肌细胞内糖原堆积(A中箭头所示)
我们的研究初步显示了经桡动脉左心室EMB的安全性及有效性,为心肌病的诊断提供一种可能更为安全、有效的新技术,同时提高了患者舒适度,并使手术更加便捷、经济。本研究的局限性在于:作为一项新技术的初步应用,病例数相对较少,未设置对照组,也未能进行假设检验。因此需要更大规模进一步的研究来验证其效果。
无





















