
除非特别声明,本刊刊出的所有文章不代表本刊编辑委员会的观点。
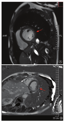
患者男性,20岁,主因"胸痛4个月,加重1月余"于2019年7月10日入院。患者2019年4月无明显诱因出现心前区隐痛,VAS 3分,无放射,无胸闷、憋气、活动后气短,每月发作1~2次,未在意。同年5月体检发现,肌酸激酶(CK)2 928 U/L、肌酸激酶MB质量(CK-MB)46 U/L、心肌肌钙蛋白I(cTnI)0.055 ng/ml。6月初,患者"感冒"后出现心前区疼痛加重,为过电样疼痛,VAS 5分,无放射,持续约30~60 min可好转,胸痛每周约发作2次,否认呼吸困难、胸闷、心悸,否认活动耐量下降。6月8日,患者就诊于外院查血生化:CK 1 215→1 433 U/L,CK-MB 47 U/L,cTnI 30.17→31.79 ng/L;血脂(-);抗核抗体谱(-);超声心动图:左室增大,左室舒张末内径57 mm,左室射血分数39%,轻度二尖瓣关闭不全;磁共振心肌灌注延迟动态成像(图1):左室稍增大,收缩功能稍减低;基底部至心尖部左室下壁及侧壁、心尖部左室前壁心外膜下心肌纤维化,考虑非缺血性心肌病;肌电图:肌源性损害(偏慢性)。诊断"多发性肌炎、心肌损伤",予患者倍他乐克缓释片23.75 mg/d、培哚普利0.5 mg/d、螺内酯20 mg/d口服,患者未再出现心前区疼痛,但步行1 km左右会出现气短、乏力。为进一步明确心力衰竭病因收入我院。患者上高中起出现体育课等剧烈活动后双下肢明显乏力,不能耐受1 km长跑类运动,日常体力活动不受影响,否认肌肉酸痛等不适。此次发病以来,一般情况尚可,否认尿量减少,体重无明显变化。既往史:否认高血压、冠心病、糖尿病病史。个人史:否认特殊毒物药物接触史,无烟酒嗜好。婚育史、家族史:未婚未育,否认家族类似病史,否认遗传病史。入院查体:脉搏69次/min,血压112/70 mmHg,指氧(自然状态)98%,体质指数21.1 kg/m2;无皮疹;双肺呼吸音清;心律齐,未闻及杂音;肝脾不大;双侧腓肠肌肥大,肌肉无压痛;四肢肌力Ⅴ级、肌张力正常。双下肢不肿。辅助检查:入室床旁超声心动图提示左室壁运动普遍减低,心尖部、左室下后壁为著,肌小梁增多。


左室壁较广泛心外膜下延迟强化,可见左室下后壁肌小梁增多(箭头所示)
分析 患者青年男性,病程4个月,临床主要表现为间断不典型胸痛、CK明显升高、心肌酶轻度升高、心肌病变、左室射血分数明显下降,诊断及鉴别诊断从以下几方面考虑:(1)病毒性心肌炎:患者起病前有比较明确的上呼吸道感染病史,间断胸痛,伴CK及心肌酶升高,病毒性心肌炎可有类似表现,但患者病史较短,在上感前就已出现无症状肌酶升高,心肌磁共振成像未见炎性水肿信号,此为不支持点;(2)自身免疫性疾病:本例为年轻患者,病史中以胸痛为主要临床表现,床旁超声心动图见心尖、左室下后壁运动相对低,室壁运动普遍减低,需考虑是否存在冠状动脉炎,此外患者CK升高伴心肌病变需考虑多发性肌炎心肌受累可能,但患者全身炎症反应不重,多系统受累表现不明显,此为不支持点。应复查炎症及免疫指标,完善肌肉活检协助明确;(3)遗传代谢性肌病:可累及骨骼肌和心肌。患者发病较早,起病时无诱因即出现CK明显升高,超声心动图提示室壁运动减低,磁共振成像示心外膜下多发纤维化表现,未见明显炎性水肿,因此心肌病变偏慢性表现。患者自幼活动耐量较低,查体见双侧腓肠肌肥大,肌电图提示肌源性损害,因此高度怀疑肌营养不良一类疾病,但患者无明确的母系家族史,此为不支持点。应完善肌活检、双侧大腿肌肉磁共振成像协助明确,必要时行基因检测。此外,毒品摄入、线粒体脑肌病等少见情况亦可出现心脏扩大、心力衰竭、CK升高等情况,若积极检查后仍不能明确诊断,需要进行排查。
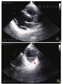
患者入院后无特殊不适,心率70次/min,血压110/60 mmHg,心功能Ⅱ级。查血常规:血红蛋白139 g/L,白细胞7.39×109/L,血小板221×109/L。尿常规、便常规+潜血均正常。生化:丙氨酸氨基转移酶38 U/L,白蛋白47 g/L,钾3.9 mmol/L,肌酐(酶法)65 μmol/L,总胆固醇3.52 mmol/L,低密度脂蛋白胆固醇2.08 mmol/L。CK:1 256→487 U/L,CK-MB 9.7→3.8 μg/L,cTnI 85.90→68.50 pg/ml。N末端B型利钠肽原70 pg/ml。CK同工酶电泳:肌酸激酶MM质量100.0%(此时CK-MB已正常)。血沉1 mm/第1小时,高敏C反应蛋白1.61 mg/L;补体:C3 0.876 g/L,C4 0.174 g/L。免疫球蛋白:IgG 9.52 g/L,IgA 1.73 g/L,IgM 0.62 g/L。血清蛋白电泳未见M蛋白。糖化血红蛋白5.1%。乳酸(运动前)1.1 mmol/L,乳酸(运动中)6.6 mmol/L,乳酸(运动后)7.8 mmol/L。肌炎抗体谱:抗PM-SCL75(+),余均(-)。心电图:aVL、V5、V6导联T波倒置(图2)。冠状动脉CT未见明显异常。超声心动图:左室舒张末内径55 mm,左室收缩功能减低,心尖部、左室壁普遍运动减低,以左室下后壁为著,左室下后壁肌小梁明显增多可见隐窝,疏松层与致密层之比为1.7;左室射血分数(双平面)45%;右冠状动脉开口6.5 mm,开口处未见明确瘤样扩张(图3)。


aVL、V5、V6导联T波倒置


A:胸骨旁长轴平面,左室舒张末内径略增大,室壁无明显增厚;B:胸骨旁左室短轴切面心尖水平,可见心肌肌小梁增多,其内可见隐窝(箭头所示)
分析 入院后经过初步筛查发现,患者血尿便常规、生化指标均大致正常,无炎性指标升高,无特异性免疫指标异常,冠状动脉无受累。考虑免疫病活动或急性病毒感染可能性较小,临床表现偏向于慢性心肌病变合并长期CK升高。患者血清蛋白电泳、乳酸运动试验的阴性不符合轻链型淀粉样变、线粒体肌病等少见病的表现。患者超声心动图可见左室下后壁肌小梁明显增多,疏松层增厚,但尚未达到诊断左室心肌致密化不全(left ventricular noncompaction,LVNC)的标准,且LVNC并不能解释本患者CK明显升高的情况。心肌致密化不全的发病机制目前不完全清楚,很多心肌疾病可出现心肌肌小梁的增多,类似心肌致密化不全的形态改变。行乳酸运动试验的过程中,患者表现出对持续的蹲起运动的无法耐受,虽然此前四肢肌力正常,但双侧腓肠肌肥大、大腿近端肌力耐力较差,提示存在慢性肌肉病变。应积极完善双大腿磁共振成像、肌肉活检及肌营养不良相关基因检测。
双大腿磁共振成像:双大腿部分肌肉萎缩伴脂肪增多。肌肉病理:(大腿肌肉)肌纤维明显大小不等,散在一些小圆形肌纤维,个别小角形肌纤维,未见束周萎缩,少数肌纤维明显肥大,极个别肌纤维变性坏死伴吞噬现象,肌内膜及束膜无增厚,个别局部少数单个核细胞聚集。头磁共振平扫未见明显异常。基因检测:DMD基因外显子45~49区域存在大片段半合子缺失。
分析 结合基因检测结果,考虑患者存在DMD基因异常导致的相关疾病,此类疾病主要因位于X染色体上编码生成抗肌萎缩蛋白的基因发生缺陷所致,包括杜氏肌营养不良(Duchenne muscular dystrophy,DMD)和贝氏肌营养不良(Becker muscular dystrophy,BMD)。其中,如果突变造成了整个蛋白阅读框架破坏,患者会出现完全或几乎完全的抗肌萎缩蛋白缺乏,即为DMD,患儿通常在出生后即出现肌无力症状,常伴有不同程度的认知功能障碍或整体发育迟缓。BMD则是抗肌萎缩蛋白的阅读框架保留,但部分的突变导致患者合成的抗肌萎缩蛋白分子量异常或数量减少[1],患者的行走能力通常可保留至15岁以后,智力发育常为正常水平。在本患者基因检测的基础上结合其临床表现,考虑BMD诊断明确。
住院期间患者监测CK水平逐渐降至487 U/L,复查心电图未见动态变化,无新发心律失常。患者无特殊不适。此时基因结果尚未回报,但高度疑诊肌营养不良,患者为进一步求治要求出院至神经科就诊,后续并未再进一步检测肌活检中抗肌萎缩蛋白的表达。住院期间美托洛尔缓释片的剂量逐渐增加至71.25 mg/d,培哚普利2 mg/d,日常血压110/60 mmHg,心率70次/min。神经科方面加用B族维生素营养神经治疗。
分析 在抗肌萎缩蛋白缺乏导致的这一类肌营养不良患者的治疗上,目前仍以糖皮质激素治疗为主,DMD患者早期应用糖皮质激素可有效地减缓骨骼肌的萎缩和功能障碍,对心脏左室功能的保留也存在一定的积极作用[2]。最小的有效剂量及糖皮质激素造成感染等并发症的平衡如何掌握仍在探讨中。在心肌病变中,心力衰竭的"金三角"标准治疗对于此类患者心肌病的改善及延缓作用也在一些队列研究中进行了分析讨论,目前认为早期使用血管紧张素转换酶抑制剂/血管紧张素受体拮抗剂(ACEI/ARB)类药物可改善左心衰的发生,有效降低患者的住院率及死亡率。因目前大部分DMD相关研究对象为儿童,而β受体阻滞剂在儿童患者中使用存在争议,只有小规模研究提示在与ACEI/ARB联用时β受体阻滞剂可使左室舒张末内径减小,缩短分数增加,改善左室重构。对于成年患者暂无更多的统计数据支持,结合心力衰竭的治疗及DMD儿童患者的经验,在心肌病变方面可考虑ACEI/ARB联合β受体阻滞剂治疗。因心原性死亡为DMD/BMD患者的一大死亡原因,故除药物治疗外,对于射血分数减低合并心律失常的患者建议植入埋藏式心律转复除颤器(ICD)。近期电生理相关的指南提出,对于肌营养不良患者不论是否发生过心律失常,应在病程早期预防性植入ICD,以达到预防猝死的目的[3]。
本例提示,青年人急性胸闷、胸痛,伴有心肌酶升高,在就诊过程中往往首诊为急性心肌炎,其中有少数患者会出现意义不明的CK升高,随着临床症状的改善,CK也随之下降但不能降至正常,此时由于患者临床症状已得到改善,往往会忽略其CK水平,造成肌营养不良一类的先天性罕见病被漏诊。在临床上如果遇到肌肉病变或肌酶升高合并心肌病的患者,尤其是青年患者,不能仅关注其心肌病变,应考虑到全身系统性肌肉疾病心肌受累的可能性,在遗传代谢性肌病方面进行排查,以最大程度地减少误诊与漏诊。
无





















