
除非特别声明,本刊刊出的所有文章不代表本刊编辑委员会的观点。
心脏憩室是一种非常罕见疾病,是由胚胎时期的腹侧心内膜发育终止形成,需与室壁瘤和心肌致密化不全鉴别。成年患者中,开口狭窄和同步收缩是憩室的特征;而室壁瘤多有心肌梗死病史,左室较多见,常表现出运动减弱或矛盾收缩,与心脏的其余室壁运动不同步;心肌致密化不全表现为心室内过度小梁化,明显的海绵状外观和隐窝征。憩室的主要并发症有血栓形成、栓塞、破裂、充血性心力衰竭、室性心律失常和瓣膜异常,而本例患者并发了二尖瓣重度关闭不全。
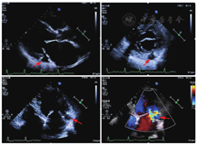
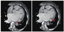
患者女性,53岁,因"反复胸闷,活动后气促"就诊,查体:呼吸20次/min,脉搏104次/min,血压121/89 mmHg。心界向左扩大,心率110次/min,心房颤动节律,心尖可闻及3/6级收缩期吹风样杂音。既往有高血压病史,规律服用贝那普利10 mg/d,血压控制不佳。心电图提示:持续性心房颤动(图1)。经胸壁超声心动图(TEE)提示:(1)二尖瓣重度关闭不全致左房、左室增大;(2)左室憩室形成(二尖瓣后瓣环)(图2)。心脏CT提示:(1)左心增大,二尖瓣后叶根部-左心室后下壁膨出瘤(真性)可能;(2)前降支(LAD)近端轻度狭窄约20%,第二对角支(D2)起始处中度狭窄约60%(图3)。为排外冠状动脉病变行冠状动脉造影检查,结果提示:右冠优势(+),左主干(LM)、LAD、回旋支(LCX)、右冠状动脉(RCA)未见明显狭窄(图4)。


可见心房颤动心律,心室率65次/min,无ST-T异常


可见左室舒张末内径61 mm,左房收缩末内径52 mm,左室射血分数60%,二尖瓣口大量偏心反流。二尖瓣后瓣环处类圆形无回声结构(箭头所示),大小约20 mm×18 mm,开口于左室,无血栓附着,收缩正常,没有矛盾运动。其内有血流通过,经过开口时可见血流加速信号


可见左心增大,二尖瓣后瓣根部-左室后下壁局限性变薄并向外呈囊袋状凸出(箭头所示),大小约2.1 cm×2.0 cm,瘤颈约0.7 cm,边缘见钙化


A:左前降支近端轻度狭窄约20%, D2起始处中度狭窄约60%; B:冠状动脉未见狭窄
患者多项检查表明,二尖瓣重度关闭不全诊断明确,左室室壁瘤或憩室待鉴别,行择期心脏外科开胸手术。术中体外循环、心脏停跳状态下,心包未见血液或血块积聚,未发现心脏穿孔迹象,探查二尖瓣,见瓣叶增厚融合,行27号人工机械瓣膜置换;在二尖瓣后瓣环左房面见圆口,大小约0.5 cm×0.5 cm,左室面有另一圆口大小约1.0 cm×1.0 cm,由外向内探查,囊袋样突出室壁大小约2.0 cm×1.5 cm,为正常心室壁肌肉的延续外膨,边缘组织有少许钙化,无疤痕迹象,无血栓附着,局部区域肌肉没有变薄梗死征象,非真性或假性室壁瘤外观,考虑左室憩室形成,予以补片缝闭,心脏复跳顺利。术后病理切片提示:送检组织呈玻璃样变性及黏液样变性(图5)。术后一月复查,TEE提示:左室舒张末内经44 mm,左房收缩末内经32 mm,左室射血分数73%。患者左心腔回缩至正常,心功能改善,二尖瓣人工瓣膜稳定,无瓣周漏。


A:术中(箭头所示)可见二尖瓣后瓣环左房面见圆口大小约0.5 cm×0.5 cm,左室面有另一圆口大小约1.0 cm×1.0 cm,心肌外观正常,边缘组织有少许钙化,无疤痕迹象,无血栓附着;B、C:病理(HE染色,光镜×10倍)分别提示组织呈玻璃样变性及黏液样变性
心脏憩室是一种由于先天性局部心肌组织减少或缺失、在左室压力作用下心肌异常膨出形成的结构。憩室属于成人罕见疾病,尸检仅占0.4%,报道以儿童多发[1]。组织学分为肌型和纤维型:(1)纤维型憩室主要由纤维组织构成,多位于心底部或瓣膜下,无收缩功能;(2)肌型憩室包括心肌和心内膜,偶尔有心包,常起源心尖部,累及左室下壁或前壁,有收缩功能,早期易被诊断[2]。心脏憩室常见并发症有血栓形成、栓塞、破裂、充血性心力衰竭、室性心律失常和瓣膜异常等,但各并发症具体发生率是未知的[3]。
本例患者憩室与二尖瓣后瓣环相邻,结合临床资料和病理结果考虑纤维型。心底及瓣膜下的憩室可单发或多发,Gueron等[4]报道发现:心尖纤维憩室未发现二尖瓣无力,而二尖瓣反流在基底二尖瓣下憩室中很常见,这可能是由于憩室与左室的连接点通常在二尖瓣环水平处,易导致二尖瓣后乳头肌力量薄弱,瓣膜舒缩无力,从而引起瓣膜关闭不全。且发现纤维类型憩室中有钙沉积,而肌型中未被报告过。憩室患者早期均无症状,可能是由于憩室和左心室腔之间的连接处狭窄,限制了瘤囊内的血流量[4]。本例患者自身二尖瓣瓣叶、瓣环和腱索等装置无明显畸形,超声下瓣叶活动和反流呈现瓣环扩张所致的相对性反流形态,瓣尖增厚也考虑是高压反流束长期冲刷的继发性改变,考虑病因还是与先天性左室憩室相关,且存在乳头肌受累。早期症状不明显,随着病程延长,二尖瓣无力程度增加,最终导致二尖瓣重度关闭不全,引起左室容量负荷过重而产生相关临床症状[5]。
在成年患者中,本病需与室壁瘤和心肌致密化不全相鉴别。开口狭窄和同步收缩是憩室的特征;而室壁瘤多有心肌梗死病史,左室较多见,常表现出运动减弱或矛盾收缩,与心脏的其余室壁运动不同步[6];心肌致密化不全表现为心室内过度小梁化,明显的海绵状外观和隐窝征。在手术视野中,左心室憩室包含心内膜、心肌和心包并显示正常收缩的外包结构;而室壁瘤区域松弛且起皱,组织病理学为致密的胶原或透明结缔组织,偶有肌肉纤维,周围有瘢痕和单核细胞灶,心包腔被密集的粘膜所遮盖,且常伴附壁血栓[7,8]。诊断心室憩室的金标准是心室造影检查,但其为侵入性有射线检查,儿童期不宜常规进行,因此心脏超声成为诊断本病的重要手段[9]。在TEE、CT等多模态成像模式下,心室憩室就像内袋通过一个狭窄的袖子与左室沟通,可直观显示血液流动[10,11]。左心室憩室若为单纯的肌性憩室,症状轻微者可定期随访;但纤维性憩室或并发症严重患者应考虑手术治疗[12]。
无





















