
除非特别声明,本刊刊出的所有文章不代表本刊编辑委员会的观点。
患者男性,45岁,因"查体发现肺部阴影9个月"于2019年12月10日入院。患者自诉无明显不适,未行系统诊治。既往无特殊病史,无家族性疾病史。入院查体:血压:129/74 mmHg,心率:59次/min,窦性心律,律齐,触诊心尖搏动位于胸骨左缘第五肋间锁骨中线,听诊双肺呼吸音清,未闻及干湿性啰音,各瓣膜听诊区未闻及杂音。入院12导联心电图示窦性心动过缓,心率59次/min,ST-T改变(图1)。胸部X线片示心脏左偏,主肺动脉间无肺组织影,左肺毛玻璃影(图2A);胸部CT未见心包影,左肺上叶多发毛玻璃结节(图2B)。超声心动图未见明显异常。术前诊断:肺部结节,遂行胸腔镜下肺部结节切除术。术中患者右侧卧位,取左胸第4肋间、腋中线第7肋间作为腔镜入路,探查见胸膜无粘连,完全性心包缺如(图3),行左肺上叶切除术。病理诊断:以贴壁生长为主的肺泡上皮源性肿瘤,微浸润性腺癌(2 cm×1.6 cm),原位腺癌(0.8 cm),均未侵及脏层胸膜,未累及支气管断端。肺癌多基因检测:EGFRExon21 L858R阳性突变。术后诊断:肺部占位,先天性心包缺如。复查超声心动图:右室前壁、剑突下右室游离壁未见心包样回声,右室前壁活动度明显增大。术后6个月随访,患者胸部CT未见新发病灶、无胸腔积液,无明显临床症状。


窦性心律,ST-T改变,无心包缺如特异改变


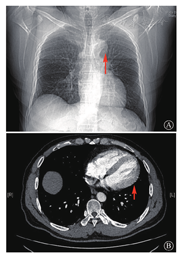
A:胸部正位X线片示心脏左偏,如箭头所示,主肺动脉间无肺组织影;B:胸部CT纵隔窗,如箭头所示,未见心包影


胸腔镜下见心脏裸露,未见心包,为完全性心包缺如裸露心脏
心包缺如可分为先天性及获得性。缩窄性心包炎、复发性心包炎等患者行手术治疗后的心包缺如为获得性心包缺如。而先天性心包缺如(congenital absence of the pericardium)是一种罕见的先天性心脏病,其发病率小于1/10 000,临床病例大都是行其他手术治疗过程中偶尔发现的。大部分病例无临床症状,但越来越多的文献报道病例有着典型的症状表现。其中,最严重的并发症即左侧心包部分缺如引起的心肌嵌顿,这部分患者往往有猝死的风险。本文报道一例完全性心包缺如患者,并结合文献复习对本病临床及影像的一些常见的特征进行总结分析。
心包为覆盖在心脏表面的膜性囊,分为纤维层和浆膜层心包,浆膜层心包又分为脏层心包及壁层心包,脏壁层心包之间即为心包腔,内含心包液。心包具有许多生理和保护功能。一方面,它通过韧带连接,帮助稳定和保持心脏在胸腔内的位置,通过物理屏障的作用保护心脏免受机械性创伤和来自肺和胸膜感染的扩散,没有弹性的纤维性心包可以阻止心脏病理性过度扩张。另一方面,心包液起到润滑剂的作用[1]。先天性心包缺如以左侧心包缺如常见,完全性心包缺如最为罕见。随着影像学的发展,心包缺如的诊断越来越明确,但由于病例的罕见,往往漏诊。
先天性心包缺如的最早记录来自1559年意大利的解剖学家Realdus Columbus,其偶尔在尸检或手术中可见。其患病率在尸检中大约为0.007%~0.015%,于手术中发现为0.044%[2]。男女发病比例为3∶1,但也有一些存在争议的数据显示无明显的性别优势[3]。我们通常认为,先天性心包缺如起因于胚胎期左心总静脉过早闭锁导致的胸膜心包膜供血不足。其大部分是孤立存在的,随着病例的积累发现,30%的患者合并一些其他的先天性心脏病,最常见的包括房间隔缺损、主动脉瓣二叶化畸形、动脉导管未闭和法洛四联症,此外肺隔离症、支气管囊肿、先天性膈疝也与本病相关[1,4]。
先天性心包缺如根据缺损的部位及大小,可分为完全性心包缺如、右侧心包缺如、左侧心包缺如、局部心包缺如及左侧或右侧的孔状心包缺如。不管是完全性还是部分性心包缺如,都以左侧心包缺如常见,右侧心包缺如则少见。Johns Hoplins医院报道的52例尸检诊断病例中,86%为左侧心包缺如,右侧及双侧心包缺如仅有7例,并合并其他的先天性缺陷;在左侧心包缺如中76%的病例为完全性缺如,其余为部分或孔状缺如[5]。Mayo Clinic报道了15例手术诊断病例,其中12例为左侧的完全或部分缺如,其余3例分别为完全性右侧心包缺如、前侧心包的部分缺如和完全性心包缺如[6]。心包缺如中风险最高的是部分性心包缺如,在部分缺损的心包边缘,外压可造成心肌皱褶,冠状动脉受压,致心肌局部缺血以及左房疝的形成。
据文献报道,大部分病例为无症状,部分是在与心脏其他相关症状的鉴别诊断过程中确诊的,如不典型的心前区的刺痛或左侧的胸痛、呼吸困难[7,8]。本病例即在行肺部病损切除术中发现并确诊,图3为术中胸腔镜所见,可见心脏裸露,无心包包裹。除了部分性心包缺如导致的心肌嵌顿外,其他类型完全性心包缺如产生疼痛的机制尚不能明确。心包缺如最紧急、最严重的表现为左侧心包部分缺如引起左侧心肌的绞窄导致的猝死,目前已有3例报道[1,9,10]。
医学影像学的进步,为明确先天性心包缺如的诊断提供了手段。1971年,Morgan等[11]报道了6例患者,证实完全性心包缺如可通过体格检查、心电图及胸部X线片等进行临床诊断。体格检查可触及心尖搏动点明显异位,可于腋前线或腋中线触及,并报道了1位77岁的老年患者的心尖搏动点位于左肩胛中线[12,13]。听诊可闻及心脏基底部的收缩中期杂音,或不能确定起源的收缩期杂音。此外,由于本病常合并右束支传导阻滞,可闻及第二心音分裂增强。心电图表现可见窦性心动过缓及电轴右偏或右束支传导阻滞,部分可见由于心前区左移导致的R波低平,或提示右房负荷过重的P波改变[14,15]。胸部X线片可见心脏左侧移位,左室边界扁长。由于肺组织的异位,心脏与膈之间、主肺动脉之间可见透亮影,还有一些病例可见位于主动脉弓、肺动脉之间的舌状组织[2]。
Morgan等[11]提出的临床诊断特点也被其他学者逐渐证实,但特异性低,仍需与其他的心脏疾病进行鉴别诊断。因为本病罕见,临床很易漏诊。Mayo Clinic报道的8例病例,尽管术前都进行了评估,但所有的病例都是在手术中才发现并确诊的[6]。
随着超声心动图、心脏CT和MR的广泛应用,为先天性心包缺如的诊断提供了更好、更准确的诊断工具。心包由相邻的两层结构构成,彼此之间为微量的心包积液。脏层心包及壁层心包之间的厚度<2 mm。因此为了准确地行心包检查,CT和MR的分辨率至少要达到1 mm[1,16,17]。此外,心包的可视化依赖于心包与其他组织特点的差异对比,脏层心包通过与心外膜对比,壁层心包则与心包外的脂肪组织进行对比,而脂肪组织的含量个体差异很大。将心脏影像学与其他的间接指征相结合对心包缺如的诊断尤为重要[18]。
CT和MR是诊断先天性心包缺如的重要影像学依据,二者的诊断准确性相差无几。在一般情况下,普通的CT平扫即可完成心包缺如的筛查,增强CT对心包缺如诊断的准确性无明显改善。在行MR时,T1加权影像下获取直接的心包影像是必不可少的,而T2加权影像则可有可无。CT和MR影像在心包缺如的诊断评估见表1[2]。

CT和MR评估心包缺如的相关标准
CT和MR评估心包缺如的相关标准
| CT | MR |
|---|---|
| 64排及以上探测器 | 切片厚度要求5~6 mm,平面分辨率1 mm |
| 检查前可考虑β受体阻滞剂控制心率 | T1加权下两个平面的图像:横截面及矢状面或冠状面 |
| 排除冠状动脉问题后不需要使用硝酸甘油 | 动态实时影像可以用来评估室间隔运动 |
| 经静脉增强造影仅在需排除心包炎及需行冠状动脉造影时 | 经静脉增强造影仅在需排除心包炎及心肌损伤时进行 |
| 心脏舒张期由心电触发扫描 | |
| 亚毫米级重构 |
CT和MR检查识别心包依赖于心外膜及心包的脂肪层,在一些脂肪层欠缺的个体心包的识别较困难,此时我们需要依赖一些间接的指征来诊断心包缺如。如在CT下可见心脏左旋,及于心包缺如位置处可见肺组织插入,往往见于主、肺动脉之间及心脏基底部及膈之间。MR实时图像二维心动图同样可间接证明心包缺如:右室扩大,过度的心脏活动,"泪滴状"心脏及不正常的房室角度[10,15,19]。
先天性心包缺如的超声检查相关指征:M超声下可见室间隔矛盾运动及心脏后壁的活动增强;二维超声下可见右室扩大,心脏过度活动,不正常的摇摆运动(摇摆心),非常规的检查窗口(需要更高、更外侧的窗口),因心房变长心室变宽导致心脏成"水滴状";多普勒检查可见因右心室扩大致三尖瓣关闭不全、肺静脉压降低、腔静脉的收缩期流量升高等[9]。常规超声心动图检查如有以下表现时应考虑本病:(1)不正常的窗口;(2)右室扩大;(3)心脏的过度活动;(4)不正常的室间隔运动。本病的右室扩大可能是因为心包缺如导致的心室顺应性增高,或因心脏的左侧异位导致的经胸窗口的偏斜。超声检查时,四腔心切面可获取动态图像,左室短轴切面更易观察室间隔矛盾运动[9,20]。
先天性心包缺如的诊断方式因人而异,其可能被偶然发现。一些病例因胸痛或其他的心脏相关症状就诊,一些无症状患者在体检的心电图、胸部X线片中有提示时,应完善经胸超声心动图,有利于明确诊断。
先天性心包缺如仅在很少的情况下需要外科处理。也有学者认为部分性心包缺如患者,尤其是有明显的临床症状及有心肌嵌顿的潜在风险时,应行外科心包成形术,可取得良好效果。也有报道心包切除术亦有很好的预后。完全性心包缺如因获益不明显,不推荐进行手术处理。
总之,先天性心包缺如是一种罕见的心脏异常,患者一般无临床症状。随着影像学及超声学的发展,偶然发现本病的病例越来越多。部分性心包缺如,尤其是左侧心包部分缺如患者具有高风险性,甚至可能危及生命。对于怀疑心包缺如的患者,应行心脏CT和MR检查,以明确诊断,MR可作为诊断的金标准。除了部分高风险的部分性心包缺如患者外,其他患者无须特殊治疗。
无





















