
除非特别声明,本刊刊出的所有文章不代表本刊编辑委员会的观点。
患者女性,61岁,因"反复活动后胸痛、喘憋8个月"于2021年6月入院。患者于2020年10月开始反复轻体力活动后心前区痛,放射至后背,伴喘憋、气促,休息20~30 min缓解,每日发作2~3次。当地医院查心电图提示V1~V2导联病理性Q波,ST段抬高;N末端B型利钠肽原(NT-proBNP)1 070 ng/L,肌钙蛋白I(cTnI)3.5 ng/ml(0~0.05);超声心动图示左室壁节段性运动异常,二尖瓣轻度反流,左室射血分数(LVEF)64%;冠状动脉造影示右冠状动脉近段20%狭窄,心肌梗死溶栓(TIMI)血流分级3级,余无狭窄及血栓。考虑急性前壁心肌梗死,冠状动脉痉挛可能,予冠心病二级预防等治疗。但此后患者胸痛、喘憋症状逐渐加重,发作频率增至每日十余次,活动耐量逐渐下降至日常活动即出现胸痛、喘憋。就诊上级医院,复查冠状动脉造影(2021年1月4日):冠状动脉血管均未见明显狭窄,TIMI血流分级3级,血管内超声示冠状动脉内膜增生。考虑急性非ST段抬高型心肌梗死,不除外冠状动脉痉挛,加强药物治疗。2021年4月复查超声心动图:左室壁运动幅度弥漫减低,左心增大,二尖瓣中度关闭不全,LVEF 44.7%;心脏磁共振成像:左心增大,室间隔及左室壁弥漫性损伤伴运动异常。患者症状继续加重,夜间不可完全平卧,有夜间痛醒,遂于2021年6月入我院。患者既往史、个人史、婚育史、家族史均无特殊。入院时查体:心率95次/min,血压92/63 mmHg,高枕卧位,双下肺闻及细湿啰音,心律齐,二尖瓣及三尖瓣听诊区闻及3/6级收缩期杂音,双下肢不肿。患者入院后查血、尿常规、肝肾功能、蛋白电泳、补体等均正常;血脂:低密度脂蛋白胆固醇1.75 mmol/L,高密度脂蛋白胆固醇0.73 mmol/L,三酰甘油1.14 mmol/L,总胆固醇3.13 mmol/L;甲状腺功能正常;免疫、多项病毒等感染相关指标正常;血沉84 mm/第1小时,高敏C反应蛋白38.64 mg/L;CT提示双肺多发索条影、斑片影。入院时心电图示Ⅱ、Ⅲ、aVF和V4、V5导联ST段略抬高(图1)。2021年6月29日患者出现胸痛并持续不缓解,复查心电图示广泛导联ST段持续抬高(图2、图3)。入院时查cTnI 19.141 μg/L,胸痛发作后监测cTnI持续升高,最高达35.638 μg/L,持续1周无明显降低趋势。入院时NT-proBNP 3 022 pg/ml,也逐渐升高最高至13 296 pg/ml。入院后查磁共振成像心肌灌注延迟显像显示室间隔及左室心肌多发斑片状水肿信号及弥漫多发延迟强化,考虑心肌炎性病变;左室增大,左室心肌多发节段变薄;左室运动欠协调,收缩功能明显减低:LVEF=18.9%(图4)。68Ga-Dotatate PET/CT心肌断层显像(TATE SUV max3.0)显示心肌弥漫性摄取炎症显像剂(图5)。超声心动图示LVEF 29%(双平面法),心肌病变,左心增大,中-重度肺高血压,重度二尖瓣关闭不全,微量心包积液(图6A、图6B)。2021年7月14日行右心漂浮导管+心肌活检术,术中测肺动脉压力78/30/52 mmHg,术后病理发现心肌退行性变,心肌细胞肥大,细胞核增大,局部见空泡样变,心肌间见少许散在炎细胞浸润。免疫组化结果:CD3(散在+),CD20(-),CD4(-),CD68(-),CD8(局灶+);特染结果:Masson染色(+),磷钨酸苏木素(+)。患者入院后反复发作胸痛,硝酸甘油无效,不能平卧并反复发作喘憋。监测血压83~95/55~65 mmHg,心率90~130次/min。经抗凝抗血小板及合贝爽(盐酸地尔硫
)等针对冠状动脉痉挛的治疗后症状无改善,心肌酶持续升高。监测NT-proBNP较前明显升高,考虑心力衰竭加重,先后予西地兰、地高辛,静脉硝酸甘油、呋塞米等治疗以及多巴胺维持血压,患者仍反复胸痛、喘憋发作,换用小剂量左西孟旦0.1 μg·kg-1·min-1无效。风湿免疫科会诊考虑目前无免疫病、原发血管炎证据。心电图ST段持续抬高,外院两次冠状动脉造影显示无固定狭窄,冠状动脉痉挛或缺血性心脏病均不能解释当前临床表现,心肌酶持续升高,也不符合典型扩张型心肌病表现,考虑诊断为免疫介导的炎症所致心肌病可能性大。因常规治疗后患者症状仍持续加重,考虑心肌存在炎症损伤坏死,6月30日加用静脉甲强龙60 mg/d×3 d,继之40 mg×3 d后换口服泼尼松龙50 mg/d。治疗后患者症状明显改善,肌酸激酶、肌酸激酶同工酶逐渐正常,cTnI降至5 μg/L;逐步减停多巴胺。心力衰竭稳定后加用美托洛尔3.125 mg每日2次。免疫科随诊认为糖皮质激素治疗有效,考虑免疫或炎性因素参与发病,建议激素逐步减量,加用复方环磷酰胺每日1片。出院时患者无不适主诉,可下地缓慢行走。出院后泼尼松龙逐渐减至35 mg/d,继续复方环磷酰胺每日1片,美托洛尔3.125 mg每日2次,达格列净等治疗。9月8日患者门诊复诊,诉未再有胸痛发作,夜间能平卧,可简单干家务,血压90/60 mmHg,心率78次/min。因血压偏低,暂未加用血管紧张素转换酶抑制剂/血管紧张素Ⅱ受体拮抗剂类药物。复查多项免疫指标均阴性,cTnI 0.081 μg/L,NT-proBNP 10 071 pg/ml,血沉降至8 mm/第1小时,高敏C反应蛋白降至3.12 mg/L,复查超声心动图示房室大小无明显变化,LVEF 37%,肺动脉压正常,二尖瓣反流及反映左室收缩功能的左室纵向应变较前明显改善(图6C、图6D)。


患者入院无症状时,Ⅱ、Ⅲ、aVF和V4、V5导联ST段略抬高


患者胸痛发作时,心电图示广泛导联ST段抬高


患者胸痛发作9 h后,心电图示广泛导联ST段仍持续抬高


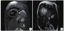
LV:左心室;A:T2压脂示室间隔及左室心肌多发斑片状水肿信号;B:延迟强化示弥漫多发延迟强化


LV:左心室;LA:左心房;RV:右心室;RA:右心房;A、B:心肌弥漫性摄取炎症显像剂


A:病初心尖四腔心切面显示大量二尖瓣反流;B:病初左室纵向应变异常;C:治疗2个月后心尖四腔心切面显示少量二尖瓣反流;D:治疗2个月后左室纵向应变改善
2020年国外心血管相关专家小组共识[1]提出了慢性炎症性心肌病(chronic inflammatory cardiomyopathy,infl-CMP)的概念,infl-CMP可能因感染、免疫系统激活或药物而发生,炎症性心肌病是一个年轻的心脏病学领域。
本病例为中老年女性,慢性病程,突出的症状是反复发作胸痛、喘憋,心电图有ST段抬高但没有典型的缺血性ST-T演变,心肌酶显著升高并持续不降,但无高血压、糖尿病、高血脂、吸烟等常见的冠心病危险因素,心肌酶变化及冠状动脉显影不支持常见的冠心病,亦无冠状动脉痉挛的证据。
超声心电图由病初的左室收缩功能正常逐渐下降至重度收缩功能减低,左心逐渐扩大,出现重度二尖瓣关闭不全,肺高血压,考虑患者存在心肌病、心力衰竭,全面系统检查除外了其他如高血压、冠心病,以及糖尿病、免疫病、感染等疾病导致的获得性心肌病,接近1年的病程也不符合典型的急性心肌炎,心脏磁共振成像和心肌活检支持患者存在炎症性心肌病,血沉、C反应蛋白等炎症指标显著升高,但无免疫病和病毒感染的证据,因此诊断考虑存在免疫或炎症介导的infl-CMP。按急性冠状动脉综合征及急性心力衰竭对症治疗后症状仍逐渐加重,加用激素后病情改善心肌酶降至接近正常,进一步支持可能存在免疫介导的infl-CMP的诊断。
患者入院时超声心电图表现类似扩张型心肌病,后者的特征为一侧或双侧心室扩大及收缩功能减退,常见临床表现为心力衰竭症状,多数病因不清,文献报道炎症和免疫因素也是扩张型心肌病的发病因素之一[2,3,4,5,6,7],因此需要与infl-CMP相鉴别。infl-CMP是一个全新的诊断概念,其定义为有心肌炎症,伴扩张型心肌病表现,或没有心室扩张但存在心功能异常,病史1个月以上。因缺乏严格设计的前瞻性随机多中心研究循证医学证据,infl-CMP的诊断和治疗建议均是基于专家共识得出的[1,8]。共识推荐,对于临床怀疑心肌炎或胸痛、冠状动脉正常而肌钙蛋白升高的患者,在症状出现后2~3周应及时进行心脏磁共振成像检查,以鉴别缺血性与非缺血性病因。心内膜心肌活检是诊断infl-CMP的金标准。infl-CMP临床表现可以为心力衰竭症状,伴肌钙蛋白持续升高,心电图可以有非特异的ST-T改变,超声可以是扩张型心肌病样表现,如标准的心力衰竭治疗效果差,提示需考虑炎症因素的存在。如无病毒等感染证据,建议使用泼尼松和免疫抑制治疗,可能改善心功能[1,8]。
虽然此患者症状是典型的心脏病症状,但诊断难以用常见疾病解释,常用心内科治疗无法阻止病情恶化,提示我们要考虑少见因素导致的心肌疾病。infl-CMP是一个新的研究领域,其发病机制、诊断及治疗方法亟待更多严谨的基础和临床研究探讨。本病例提示对于经常规抗心力衰竭治疗后,病情未见明显改善,存在肌钙蛋白持续升高的患者需考虑炎症性心肌病的可能,需要进一步行心脏磁共振成像、同位素显像甚至心内膜心肌活检,在除外病原体感染的情况下进行激素和免疫抑制剂治疗。
无





















