
除非特别声明,本刊刊出的所有文章不代表本刊编辑委员会的观点。
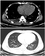
患者男性,32岁,因"双下肢水肿半月"入院。患者自述于2022年5月5日因双下肢水肿自服呋噻米治疗,双下肢水肿逐渐好转。2022年5月10日出现胸闷、呼吸困难等,且症状持续加重,2 d后出现低血压、少尿(约200 ml/d)等表现。当地医院给予抗感染及血管活性药物等治疗,但症状持续加重,于2022年5月13日转入武汉大学中南医院治疗。既往体健,无高血压病、糖尿病、心肌炎等病史,无酗酒及毒品接触史等,平常喜欢进食烧烤食物,偶饮啤酒。体检:体温36.5℃,脉搏111次/min,呼吸43次/min,血压81/40 mmHg(去甲肾上腺素剂量1 μg·kg-1·min-1),体质指数28.1 kg/m2;烦躁,皮肤潮湿、四肢湿冷,皮肤、巩膜黄染,端坐呼吸,双肺呼吸音清,心率111次/min,律齐,未闻及明显病理性杂音,腹软,肝脾未触及,双下肢无水肿,四肢肌力检查不配合,病理反射阴性。辅助检查(表1):血气分析显示PH值、二氧化碳分压(PCO2)及碳酸氢盐降低,乳酸明显升高,提示代谢性酸中毒并呼吸性碱中毒,因患者乳酸升高明显,考虑乳酸酸中毒。血常规及生化指标等检验结果显示白细胞、肌酐、尿素氮、谷丙转氨酶、谷草转氨酶、总胆红素、直接胆红素、B型利钠肽、降钙素原等均升高,尿常规显示尿白细胞及尿蛋白均为阴性。胸腹部CT检查提示:心脏扩大、双侧胸腔积液(图1);脂肪肝。超声心动图显示:左心房3.8 cm (参考值:2.2~3.5 cm)、左心室舒张末期内径5.4 cm(参考值:3.6~5.3 cm)、右心房内径5.1 cm(参考值:2.2~4.4 cm)、右心室舒张末期内径5.1 cm(参考值:2.0~4.2 cm)、左室射血分数62%(参考值:50%~75%),提示全心扩大。脉搏指示连续心排血量监测(PiCCO)(表2)显示心排血量、心脏指数及中心静脉压均升高,而外周循环阻力降低;中心静脉血气分析(表2)显示中心静脉血氧饱和度明显升高,结合患者近2个月长期进食烧烤食物的特点。诊断:(1)分布性休克:"Shoshin脚气病"?感染性休克?(2)中毒?(3)多器官功能衰竭(循环衰竭、肝功能衰竭、肾功能衰竭)。患者的胃液、尿液及血液标本被送至湖北省毒物检测中心检测,均未发现中毒证据;血液及肺泡灌洗液样本病原微生物宏基因(NGS)测序未发现细菌、真菌及病毒感染,血及肺泡灌洗液样本细菌学培养结果也均为阴性,胸腹部CT检查未提示感染,排除脓毒症所致的感染性休克。患者给予维生素B1注射液100 mg(3次/d)肌注治疗,维生素B1治疗3 h后,患者的血流动力学逐步稳定,去甲肾上腺素使用剂量开始逐渐减少,3 d后停用了去甲肾上腺素(图2)。呼吸困难等逐渐好转,血清乳酸水平快速下降,肝、肾功能及B型利钠肽等逐渐恢复正常(表1)。维生素B1治疗2 d后查血清维生素B1为46.547 nmol/L(参考值:50~150 nmol/L),提示硫铵素缺乏。患者经维生素B1肌注治疗1周后,换用了维生素B1片(30 mg/d)口服治疗。患者康复出院,随访期间未发生胸闷、喘气、水肿等表现,复查肝肾功能均正常。

患者住院期间的实验室检验结果变化情况
患者住院期间的实验室检验结果变化情况
| 项目 | 5月13日 | 5月14日 | 5月15日 | 5月17日 | 5月23日 | 参考值 |
|---|---|---|---|---|---|---|
| 白细胞(×109/L) | 15.21 | 10.0 | 9.42 | 9.35 | 9.46 | 4~10 |
| 红细胞(×1012/L) | 4.11 | 3.89 | 3.41 | 3.29 | 3.26 | 3.3~5.2 |
| 血小板(×109/L) | 156 | 106 | 94 | 101 | 91.9 | 100~300 |
| 谷丙转氨酶(U/L) | 140 | 216 | 146 | 97 | 36 | 9~50 |
| 谷草转氨酶(U/L) | 291 | 415 | 272 | 187 | 42 | 15~40 |
| 总胆红素(μmol/L) | 96.6 | 81.7 | 61.3 | 61.9 | 20.3 | 5~21 |
| 直接胆红素(μmol/L) | 65.1 | 41.6 | 36.5 | 31.6 | 7.6 | 0~7 |
| 总蛋白(g/L) | 59.6 | 54.5 | 44.9 | 50.0 | 64.4 | 65~85 |
| 白蛋白(g/L) | 28.7 | 29.2 | 26.0 | 31.7 | 32.5 | 40~55 |
| 血尿素氮(mmol/L) | 13.98 | 13.07 | 12.4 | 13.11 | 2.71 | 2.8~7.6 |
| 血肌酐(μmol/L) | 205.3 | 118.5 | 131.5 | 110.2 | 54.3 | 64~104 |
| TCO2(mmol/L) | 9.8 | 15.0 | 22.3 | 29.9 | 21.2 | 21~29 |
| pH | 7.15 | 7.22 | 7.41 | 7.40 | — | 7.35~7.45 |
| PCO2(mmHg) | 14.1 | 44.4 | 35.2 | 36.9 | — | 35~45 |
| HCO3-1 (mmol/L) | 10.2 | 17.3 | 24.7 | 23.5 | — | 22~26 |
| 血乳酸(mmol/L) | 8.8 | 10.8 | 1.4 | 0.3 | — | 0.36~1.25 |
| B型利钠肽(pg/ml) | 12 300 | — | — | 3 428 | — | 0~300 |
| 降钙素原(ng/ml) | 2.76 | — | — | 1.17 | 0.03 | <0.03 |
| 尿蛋白 | 阴性 | 阴性 | ||||
| 尿白细胞 | 阴性 | 阴性 |

维生素B1治疗前后患者脉搏指示连续心排血量监测结果变化情况
维生素B1治疗前后患者脉搏指示连续心排血量监测结果变化情况
| 项目 | 5月13日 | 5月14日 | 5月15日 | 参考值 |
|---|---|---|---|---|
| 心排血量(L/min) | 10.9 | 12.1 | 5.2 | 4.0~6.0 |
| 心脏指数(L·min-1·m-2) | 5.7 | 6.0 | 2.7 | 2.5~5.0 |
| 外周循环阻力(dyn·s·cm-5·m2) | 1 013 | 969 | 1 761 | 1 700~2 400 |
| 中心静脉压(cmH2O) | 10.2 | 10.8 | 6.8 | 5~10 |
| 中心静脉血氧饱和度(%) | 90.2% | 88.6% | 70.5% | 65%~75% |


心脏扩大,双侧胸腔积液


硫胺素(维生素B1)是一种水溶性维生素,对维持机体的能量代谢、心血管及神经等系统的功能发挥着非常重要的作用。硫胺素缺乏可引起干性脚气病、湿性脚气病或Wernicke脑病等。其中,湿性脚气病是硫铵素缺乏引起的一种严重心血管疾病,可表现为急性暴发性或慢性发作[1]。急性暴发性脚气病又称为"Shoshin脚气病"(Shoshin来自日语,Sho表示急性损伤,shin表示心脏)[2]。"Shoshin脚气病"病情重、进展快,治疗不及时可导致患者在数小时或数天内死亡[3]。本文报道1例因硫胺素缺乏,导致多器官功能衰竭的罕见"Shoshin脚气病"病例,旨在为其早期诊疗提供更多的参考资料。
"Shoshin脚气病"是硫胺素缺乏引起的一种严重心血管疾病,主要引起急性右心或全心衰竭,主要特征为心排血量正常或增加、外周血管阻力降低及乳酸升高等,硫胺素治疗能快速逆转"Shoshin脚气病"进展,这也是该病诊断的一个重要依据[3]。硫胺素的活性产物焦磷酸硫胺素是葡萄糖代谢的重要辅酶,硫胺素缺乏引起的葡萄糖代谢障碍,导致丙酮酸和乳酸在体内大量堆积,严重者可发生乳酸酸中毒[4]。丙酮酸和乳酸的堆积使外周血管阻力降低、静脉回流增加,导致心脏前负荷增加,心脏前负荷的增加及硫胺素缺乏引起的心肌细胞能量代谢障碍,促使了急性充血性心力衰竭的发生[5]。患者发生了严重血流动力学障碍及急性心力衰竭,其血流动力学监测结果为心排血量增加及外周循环阻力降低,这种"高排低阻"的血流动力学特征不完全符合感染性休克的血流动力学特点,而是"Shoshin脚气病"的一个重要特征,但诊断不能仅凭这种特征性的血流动力学结果,还需要排除感染,以及明确是否存在硫胺素缺乏等。
脓毒症引起的感染性休克多存在明确或可疑的感染源,多伴有白细胞及降钙素原等感染性指标及乳酸的升高、血流动力学障碍及中心静脉氧饱和度下降等[6,7]。而"Shoshin脚气病"引起的急性心力衰竭也可发生白细胞、降钙素原等感染性指标及乳酸的升高,而硫胺素治疗能快速纠正患者的心力衰竭,并降低血清乳酸水平,这也是该病的一种特征性表现[7]。当临床上出现不能用感染性休克解释的高乳酸血症时,应考虑湿性脚气病的可能[8]。患者在几天内出现难治性休克及多器官功能衰竭,病原学及影像学检查未提示感染,故排除感染导致的休克;结合患者"高排低阻"的血流动力学特点,以及血清维生素B1浓度降低的结果,说明患者符合"Shoshin脚气病"的诊断。而给予维生素B1治疗数小时后,患者的临床症状及各项异常指标得到快速的改善,再次证实了"Shoshin脚气病"的诊断。对于不能完成血清维生素B1检测的情况,维生素B1治疗有效也是诊断湿性脚气病的重要依据之一。
"Shoshin脚气病"引起的血流动力学障碍可导致肾动脉血流灌注不足,导致急性肾功能衰竭[9]。"Shoshin脚气病"引起的右心衰竭还可引起中心静脉压的升高,引起肾静脉淤血,导致后向性肾功能衰竭[10]。右心衰竭引起的门静脉高压及肝淤血,会导致肝细胞发生缺血缺氧性损伤,诱发急性肝功能损伤或衰竭[11]。患者出现的血流动力学障碍、肝肾功能衰竭与上述的报道相一致,这也说明,该患者的急性肝肾功能衰竭是由"Shoshin脚气病"引起的。
引起硫胺素缺乏的原因多种多样,如酗酒、疾病相关性营养不良、减重手术、药物(如奥美拉唑、二甲双胍、呋塞米和噻嗪类利尿剂等)等都可以引起硫胺素缺乏[12,13]。呋塞米通过增加肾脏对硫胺素的排泄,加重硫铵素缺乏风险[14]。食物中的硫铵素还受储存、加工等多种因素的影响,如干燥、解冻、长时间烹饪(温度>120℃)等都会导致食物中的硫胺素丢失增加[15]。硫胺素缺乏病史是诊断湿性脚气病的重要依据之一,该患者因长期进食烧烤食物,使其从食物中摄取的硫铵素减少,而呋塞米治疗又加重了硫铵素通过肾脏丢失。患者短期内出现的严重硫胺素缺乏导致了"Shoshin脚气病"的发生。
对于"Shoshin脚气病"的治疗,目前尚无推荐的硫铵素治疗方案,多为经验性治疗。Chen等[16]报道2例"Shoshin脚气病"患者给予硫胺素300 mg/d,静脉滴注治疗5~6 d后好转。"Shoshin脚气病"患者应首先给予100~500 mg负荷剂量的硫胺素,然后再给予硫铵素25~100 mg/d口服治疗,疗程6~7周[17]。该患者首先给予了维生素B1多次肌注治疗,症状好转后再换用口服补充治疗,治疗的结果也说明该方案的有效性。
总之,本文报道了1例因硫胺素缺乏引起难治性休克及多器官功能衰竭的罕见"Shoshin脚气病"病例,经及时给予维生素B1及对症支持治疗后,患者的休克症状及多器官功能衰竭得到了快速的改善。通过该病例报道,有助于提高临床医生对"Shoshin脚气病"的认识,减少漏诊或误诊。
无





















