
版权归中华医学会所有。
未经授权,不得转载、摘编本刊文章,不得使用本刊的版式设计。
除非特别声明,本刊刊出的所有文章不代表中华医学会和本刊编委会的观点。
患者女,65岁。主因上腹部不适,进食后感觉上腹部胀满明显,近期症状加重,于入院前2 d在当地县医院行B超示:脾大,脾内多发高回声结节。血常规:WBC 21.37×109/L,RBC 5.78×1012/L,PLT 432×109/L,肝、肾功能,电解质各项指标正常。CT示:脾大,边缘凹凸不平呈波浪状,脾内见低密度影,不除外淋巴瘤。骨髓穿刺2次均为干抽,血涂片:可见中、晚幼粒细胞,巨核细胞,有核红细胞,血小板堆积分布。临床诊断:脾占位,脾肿大。患者完善相关检查后行脾切除术,术中见脾上极与膈肌粘连,脾脏大小26 cm×17 cm×9 cm,脾周未见肿大淋巴结,游离脾蒂及残余脾周韧带,完整切除脾脏,送病理检查。送检脾脏大小25 cm×18 cm×7 cm,脾脏体积明显增大,表面膨隆、光滑,被膜完整。书页状切开,脾脏切面呈暗红色,红髓充血肿胀,切面可见出血,结节状,出血处脾组织略呈海绵状,大小3 cm×2 cm,白髓萎缩,质脆。
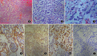
镜检:脾红髓组织明显增宽,白髓减少;脾脏红髓充血处,见多个大小不等,相互吻合的血管腔隙,并见少许乳头状结构突入腔内(图1),血管腔内衬单层扁平、矮柱状内皮细胞,核呈锯齿状。肿瘤细胞核分裂象未见,无异型性。高倍镜下,红髓内可见中、晚期红系和粒系造血细胞团(图2),成熟的嗜酸细胞(图3),其中可见散在的巨核细胞,病变中还见灶状红细胞岛。


免疫组化:窦岸细胞呈双重分化,内皮细胞标志物:FⅧ、CD31(图4)、CD34和组织细胞标志物:CD68(图5)、lysozyme(图6)均呈阳性表达;窦岸细胞D2-40(图7)、AE1/AE3标记均阴性,Vim(+++)。病理诊断:脾窦岸细胞血管瘤。脾红髓充血,并见红系、粒系细胞团及巨核细胞,符合脾髓样化生。
脾窦岸细胞血管瘤(littoral cell angioma,LCA)又称脾衬细胞血管瘤,是新近认识的一种由脾血窦成分组成的罕见的脾良性血管瘤,脾髓样化生伴脾窦岸细胞血管瘤的报道十分罕见。
LCA是1991年由Falk等[1]首先提出的一种仅发生于脾脏的肿瘤,起源于脾红髓的窦岸细胞(又称衬细胞)。至今国内文献报道80余例,窦岸细胞是脾脏红髓一种特殊类型的内皮细胞,属于网状内皮系统,它具有同时表达内皮细胞与组织细胞相关抗原的特性。脾窦岸细胞血管瘤合并脾髓外造血的报道十分罕见,至今国内文献报道仅2例[2,3],1例肾脏髓外造血,另1例是脾髓外造血。
肝、脾是胚胎时期的主要造血器官,出生后在一定的刺激下,脾再度呈现造血功能,即髓样化生。脾髓外造血(spleen extramedullary hematopoiesis,pEMH)伴巨脾形成是慢性特发性骨髓纤维化(chronic idiopathic myelofibrosis,CIMF)的重要伴随症状[4]。pEMH在各年龄均可发生,多见于中老年。起病缓慢,70%的患者出现上腹部不适或巨脾引起的腹部压迫症状而就诊,临床突出表现为原因不明的脾肿大。国内慢性特发性骨髓纤维化的诊断标准:①脾肿大;②可有贫血,外周血涂片可出现幼粒-幼红细胞;③骨髓穿刺多次干抽或呈增生低下;④肝、脾、淋巴结病理检查有造血灶;⑤骨髓活检病理切片显示胶原及网状纤维增生。
LCA只发生于脾,发病年龄范围较广,无性别差异。临床症状不典型,以不明原因脾占位就诊,可伴有或无脾功能亢进的表现。其发病原因目前尚不明确,可能是由于某种原因导致局部血流动力学改变,致脾脏窦岸细胞增生而形成的局部血管瘤样病变伴组织细胞反应。关于髓样化生发病原因,有学者认为是骨髓刺激因子刺激造血前体细胞增生,是全身性髓性增生紊乱的表现;也有学者认为脾的髓样化生是由于骨髓内血窦纤维化破坏了窦壁的完整性,使造血前体细胞得以进人血循环而在脾内被过滤出所致[5]。二者同时发生,原因不明。
本例患者,血小板增多,脾肿大,脾多发占位。脾大体检查见红髓充血肿胀,切面可见出血,出血处脾组织略呈海绵状,白髓萎缩。镜下病灶由多个大小不等,相互吻合的血管腔隙,并见少许乳头状结构突入腔内,血管腔内衬单层扁平、矮柱状内皮细胞,胞质稀少,核呈锯齿状。肿瘤细胞核分裂象未见,无异型性。免疫组化示肿瘤细胞表达血管内皮细胞和组织细胞的双重标记:窦岸细胞CD31、CD68、FⅧ、lysozyme阳性表达,窦岸细胞D2-40阴性表达可除外脾脏淋巴管瘤,结合镜下细胞、组织特征及免疫组化,LCA诊断明确。
病理诊断脾髓样化生需要与白血病、脾脏淋巴瘤相鉴别,病理切片中可以看到红髓内有典型的三系细胞的增生,并结合患者骨髓穿刺及血常规检测结果,不难确定脾髓样化生。
绝大多数的LCA被描述为良性肿瘤,预后良好,本例患者合并脾髓样化生可能由真性红细胞增多症转来,亦可转化为特发性血小板增多症。由于长期脾髓外造血导致脾肿大,严重影响患者正常生活,行脾脏切除术,术后按CIMF治疗,并长期随访。





















