
版权归中华医学会所有。
未经授权,不得转载、摘编本刊文章,不得使用本刊的版式设计。
除非特别声明,本刊刊出的所有文章不代表中华医学会和本刊编委会的观点。
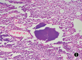
患者男,42岁,4个月前发现肛周皮下有1个包块,约黄豆大小,呈半椭圆形,边界尚清楚,无压痛,在推挤时活动不明显,解大便时感胀痛不适。近4个月来该处肿块增大,约核桃大小,偶有压痛感,平卧时有不适感,局部皮肤有轻度触痛,无发热。查体:距肛门3 cm处肛周9点可触及约3 cm×4 cm大小包块,质软,轻度触痛,周围皮肤无发红,皮温略高。行肿块切除术,术中见肿块位于肛周皮下,3 cm×4 cm大小,半椭圆形,与周围组织境界较清,将其完整切除后送病理检查。大体所见:灰褐色不规则组织,大小约5 cm×3 cm×1 cm,切面淡黄灰褐色,质地中等。光镜下所见:皮下组织结构破坏,呈慢性化脓性炎及炎性肉芽样改变,可见放线菌团,菌团呈蓝染、棉团状,菌团周边可见菌丝呈线状排列,周围围绕中性粒细胞,一些中粒细胞吸附在菌丝上(图1)。


放线菌正常可寄生于人类口腔、呼吸道、肠道、泌尿生殖器,因此,放线菌病常是内源性感染所致[1]。放线菌可以影响人体任何组织及器官,常伴其他混合菌的感染[2]。临床常表现为无痛性、边界不清、进行性增大的包块,此时容易被误诊为恶性肿瘤、结核、克隆氏病等病变。病灶软化后可在中央形成小脓肿,破溃后常有浅黄色黏稠脓液自溃破口溢出,或伴窦道的形成,溃疡和窦道常经久不愈。在脓液或者坏死组织中若找到"硫磺颗粒"具有相对的特异性[2],也有文献报道6例肛周放线菌病肉眼观察均无典型的"硫磺颗粒"[3]。确诊依靠病理组织学检查或实验室细菌培养。病理改变为慢性化脓性炎症,大量中性粒细胞渗出物中可见散在蓝染色放线菌菌团,菌团中央为絮状,周围呈放射状排列。其治疗方式不同于非特异性化脓性感染,最有效的治疗方法是采用常规外科切除肿块后,尚需术后口服大剂量的抗生素治疗直至外科伤口痊愈[3],因为治疗不彻底易导致脓肿复发。放线菌病是罕见病例,并且常无特异的临床表现,常因经验不足被临床医生误诊。未经治疗的放线菌病很少有自愈的可能,病情较重时可导致脏器大面积被破坏,严重者可以出现危及生命的菌血症。因此对无痛性皮肤或皮下包块伴或不伴溃疡和窦道的患者,排除克隆氏病、结核、恶性肿瘤等疾病外,应考虑放线菌病的可能。





















