
版权归中华医学会所有。
未经授权,不得转载、摘编本刊文章,不得使用本刊的版式设计。
除非特别声明,本刊刊出的所有文章不代表中华医学会和本刊编委会的观点。
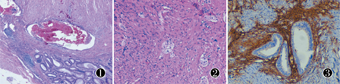
例1女,47岁,因"转移性右下腹痛3 d"入院。查体:腹软,右下腹压痛,反跳痛,轻度肌紧张,未触及包块,全腹叩诊呈鼓音,移动性浊音阴性,肠鸣音5次/min,结肠充气试验阳性。血常规检查:WBC 12.1×109/L,N 0.755。B超检查示:右下腹异常肠管回声。急诊行阑尾切除术,术中见阑尾盆腔位,盲端膨大,浆膜面呈紫褐色,有脓苔包裹,迂曲黏附于骨盆漏斗韧带,分离切除阑尾。例2女,54岁,反复右下腹痛3个月。以"急性阑尾炎"治疗后好转。8年前有"子宫内膜异位症和双侧巧克力囊肿"手术史。查体:腹软,全腹无压痛及反跳痛,全腹叩诊呈鼓音,移动性浊音阴性,肠鸣音5次/min,结肠充气试验阳性。CT检查示:肠系膜上动脉周围系膜模糊,阑尾无肿胀,腔内少量积气,子宫显示不佳,附件区未见异常密度影。术中见阑尾萎缩,右侧盆腔粘连严重,阑尾僵硬,与盲肠粘连,术中分离阑尾与盲肠。病理检查:大体阑尾无特殊,腔闭塞。在阑尾体和阑尾盲端各取材1片,见肌层内簇状增生的透明细胞,并且在浆膜面见1个灶腺管,怀疑阑尾类癌。病理检查:例1阑尾长7.5 cm,直径0.8 cm,腔闭塞,后半部分膨隆至直径达1.5 cm,内有充血性脓液,浆膜有脓苔覆盖。例2阑尾长3.5 cm,直径0.5 cm,腔闭塞,浆膜表面粗糙伴充血。光镜下见阑尾肌层及浆膜周围脂肪内散在分布不同大小的腺管,与阑尾黏膜无连接,管腔内衬立方和纤毛柱状上皮。例1盲端伴有急性坏疽性阑尾炎,肌层及浆膜内腺管腔内有出血,周围围绕子宫内膜样间质(图1)。例2阑尾黏膜基本完整,管壁内纤维脂肪组织增生,浆膜充血,腺管周围肌层内见增生的簇状分布的透明细胞,似阑尾类癌(图2)。免疫组织化学染色:2例阑尾壁肌层及浆膜面分布的腺管上皮CK7(+)、EMA(+)、ER(+)、PR(+)、CA-125(+)、CK20(-);例1局部腺管周围间质细胞CD10(+)(图3);例2肌层腺管周围增生的透明簇状细胞CK7(-)、Syn(+)、CgA(+)。病理诊断:例1,阑尾子宫内膜异位症伴急性坏疽性阑尾炎;例2,阑尾子宫内膜异位症伴阑尾周围慢性炎,阑尾壁内神经节细胞增生。


子宫内膜异位症主要发生于盆腔腹膜和生殖器官,消化道是子宫内膜异位症的少见发生部位,以侵犯结、直肠为主,侵犯阑尾者罕见,国内外仅有少量的病例报道[1]。大部分患者无典型的妇科疾病症状,常以消化道症状为主,并且部分与月经周期相关。阑尾子宫内膜异位症术前的临床表现及辅助检查均无特异性,无法确诊。均需要与妇科的卵巢肿瘤扭转、宫外孕、黄体囊肿破裂以及消化道的炎症性肠病、肠结核、肿瘤相鉴别[2]。手术及术后病理组织学加免疫组织化学检查是明确诊断的唯一方法。术后组织学上还需要与阑尾腺癌和阑尾低级别黏液性肿瘤鉴别。例2伴有神经节细胞增生时还需与阑尾类癌鉴别,特别在术中快速病理诊断时,少量腺管和肌层中散在簇状增生的核偏位的透明细胞易被混淆为杯状细胞类癌,但阑尾类癌免疫组化染色CK7阳性,本例在常规病理检查图片中出现了大核和大核仁的神经节细胞即可明确为炎症反应性增生的神经节细胞。
阑尾子宫内膜异位常因诊断为"阑尾炎"而手术治疗。腹腔镜下切除阑尾为首选的手术方式,但术中子宫内膜异位病灶常广泛散在,引起阑尾与周围组织及脏器的粘连,增加了手术难度,必要时需经腹开放性手术切除阑尾及周围可见病灶,并仔细操作,防止再次手术种植的可能。对2例患者分别随访15和6个月,腹痛消失,预后良好。





















