
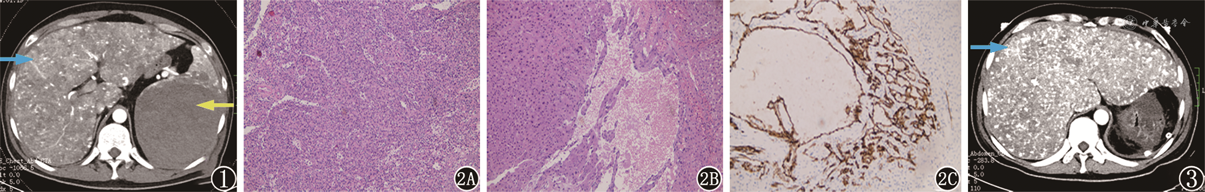
患者男,48岁,因“左上腹疼痛3周,伴小便黄染1周”入院。查体:腹膨隆,左上腹压痛、反跳痛,肝、脾区叩痛,移动性浊音阳性;家族史:叔叔因“肝病”去世。腹部CT(图1):肝内呈弥漫性雪花样改变提示肝脏、脾脏弥漫性病变,考虑遗传性出血性毛细血管扩张症(hereditary hemorrhagic telangiectasia,HHT)并动静脉瘘;脾脏较大肿块合并出血,考虑血管瘤。Hb 66 g/L,急诊全麻行脾切除、肝组织活检术,术中盆腹腔内约3 000 ml暗红色积血,肝脏呈肝硬化改变,表面可见多发小血管瘤样改变,脾脏下极见大小15 cm× 12 cm× 10 cm肿瘤,膈肌面破裂出血。术后病理:(1)脾脏血管内皮瘤(图2A);(2)肝组织镜下肝实质内灶状小血管扩张呈海绵状血管瘤样改变(图2B)。免疫组化:脾脏肿瘤:CD34、CD31、ERG均为阳性;肝组织活检:CD34(图2C)、CD31阳性、Hepatocyte阴性。术后复查肝功能损伤进行性加重。术后腹部CT(图3)示肝脏弥漫性病变增加。术后第4天患者出现肾功能不全,呼吸衰竭,肺动脉高压,心肺功能不全,脓毒血症。患者拒绝行肝移植手术,家属要求转回当地医院治疗,出院后一周随访患者已死亡。
患者男,48岁,因“左上腹疼痛3周,伴小便黄染1周”入院。查体:腹膨隆,左上腹压痛、反跳痛,肝、脾区叩痛,移动性浊音阳性;家族史:叔叔因“肝病”去世。腹部CT(图1):肝内呈弥漫性雪花样改变提示肝脏、脾脏弥漫性病变,考虑遗传性出血性毛细血管扩张症(hereditary hemorrhagic telangiectasia,HHT)并动静脉瘘;脾脏较大肿块合并出血,考虑血管瘤。Hb 66 g/L,急诊全麻行脾切除、肝组织活检术,术中盆腹腔内约3 000 ml暗红色积血,肝脏呈肝硬化改变,表面可见多发小血管瘤样改变,脾脏下极见大小15 cm× 12 cm× 10 cm肿瘤,膈肌面破裂出血。术后病理:(1)脾脏血管内皮瘤(图2A);(2)肝组织镜下肝实质内灶状小血管扩张呈海绵状血管瘤样改变(图2B)。免疫组化:脾脏肿瘤:CD34、CD31、ERG均为阳性;肝组织活检:CD34(图2C)、CD31阳性、Hepatocyte阴性。术后复查肝功能损伤进行性加重。术后腹部CT(图3)示肝脏弥漫性病变增加。术后第4天患者出现肾功能不全,呼吸衰竭,肺动脉高压,心肺功能不全,脓毒血症。患者拒绝行肝移植手术,家属要求转回当地医院治疗,出院后一周随访患者已死亡。
版权归中华医学会所有。
未经授权,不得转载、摘编本刊文章,不得使用本刊的版式设计。
除非特别声明,本刊刊出的所有文章不代表中华医学会和本刊编委会的观点。
患者男,48岁,因“左上腹疼痛3周,伴小便黄染1周”入院。查体:腹膨隆,左上腹压痛、反跳痛,肝、脾区叩痛,移动性浊音阳性;家族史:叔叔因“肝病”去世。腹部CT(图1):肝内呈弥漫性雪花样改变提示肝脏、脾脏弥漫性病变,考虑遗传性出血性毛细血管扩张症(hereditary hemorrhagic telangiectasia,HHT)并动静脉瘘;脾脏较大肿块合并出血,考虑血管瘤。Hb 66 g/L,急诊全麻行脾切除、肝组织活检术,术中盆腹腔内约3 000 ml暗红色积血,肝脏呈肝硬化改变,表面可见多发小血管瘤样改变,脾脏下极见大小15 cm× 12 cm× 10 cm肿瘤,膈肌面破裂出血。术后病理:(1)脾脏血管内皮瘤(图2A);(2)肝组织镜下肝实质内灶状小血管扩张呈海绵状血管瘤样改变(图2B)。免疫组化:脾脏肿瘤:CD34、CD31、ERG均为阳性;肝组织活检:CD34(图2C)、CD31阳性、Hepatocyte阴性。术后复查肝功能损伤进行性加重。术后腹部CT(图3)示肝脏弥漫性病变增加。术后第4天患者出现肾功能不全,呼吸衰竭,肺动脉高压,心肺功能不全,脓毒血症。患者拒绝行肝移植手术,家属要求转回当地医院治疗,出院后一周随访患者已死亡。


HHT又称Rendu-Osler-Weber综合征,是一种罕见的人类第9对染色体长臂显性遗传性疾病,发病率约1/5 000[1]。HHT有家族性、鼻咽部出血、脏器出血及内脏动静脉畸形四个特征。该病在肝内的表现主要是肝内血管明显扩张,肝脏穿刺有出血风险,因此诊断主要靠典型特征和影像学检查。肝HHT增强CT特征为动脉期肝内弥漫性血管异常。本例患者CT动脉增强期肝内呈弥漫性雪花样改变,肝动脉增粗、迂曲,肝静脉增粗并提前显影,肝实质内分布点状、结节状明显强化灶。脾上皮样血管内皮细胞瘤是一种罕见的血管源性交界性肿瘤,由Weiss在1982年首次提出[2]。该病多发生于成人,病理是确诊的金标准,需与脾脏血管瘤、血管肉瘤、转移瘤、淋巴瘤及感染性疾病等鉴别。本例患者脾脏肿块破裂出血,急诊手术切除脾脏暂时挽救了患者生命。肝移植为本例患者最后可能治愈的方案,可惜未能施行。
所有作者均声明不存在利益冲突





















