
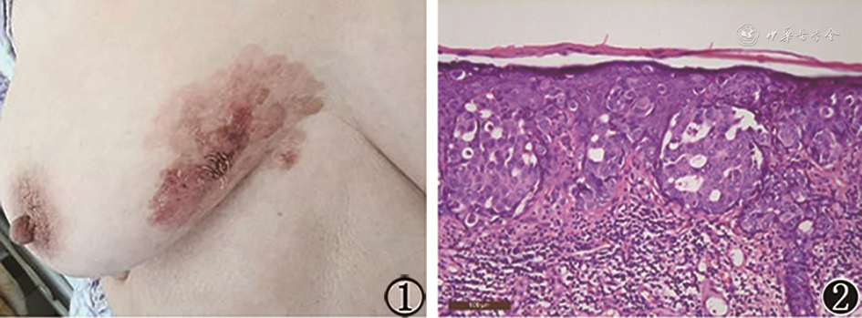
患者女,71岁,因“右侧乳房皮肤红色斑块15年,加重1年”入院。查体:右侧乳房内侧及胸正中的皮肤有红色湿疹样改变,中央有带缝线切口(图1),同侧腋窝未触及肿大淋巴结。病理活检提示:(乳房区皮肤)Paget病可能。免疫组化检查示:CK7(+),CK8(+),CK10/13(-),CEA(部分+),S100(-),ER(部分+),PR(-),CK20(-),AR(+),Her-2(+++),Ki67(30%~60%+)。超声检查提示:乳腺腺体内未见明显占位性回声。乳腺增强MR表现:未见明确异常强化占位灶。行右乳皮肤病损切除术+腹部大V形皮瓣转移术。冰冻病理检查示:(右侧乳房)皮肤Paget病,上、下、内、外切缘及基底切缘(-)。术后病理报告:带皮肤组织的右侧乳腺,灰黄、灰红色乳腺组织1块,大小9 cm×8 cm×3.2 cm,皮肤大小8 cm×8 cm,切面距上切缘3.2 cm、下切缘4 cm、内切缘3 cm、外切缘1.5 cm处见1个皮肤粗糙区,大小3.5 cm×1.3 cm,灰白色,实性,质硬,界不清。光镜检查:右侧乳腺组织见肿瘤位于表皮内,肿瘤细胞大、圆形,胞质丰富,核大,异型明显,呈小簇状、团巢状或散在分布于皮肤表皮内(图2)。未见浸润乳腺实质,未见导管内癌成分。上、下、内、外切缘及基底切缘均(-)。诊断为(右侧乳房)皮肤Paget病。随访2个月,局部未见复发,无远处转移,无并发症。
版权归中华医学会所有。
未经授权,不得转载、摘编本刊文章,不得使用本刊的版式设计。
除非特别声明,本刊刊出的所有文章不代表中华医学会和本刊编委会的观点。
患者女,71岁,因“右侧乳房皮肤红色斑块15年,加重1年”入院。查体:右侧乳房内侧及胸正中的皮肤有红色湿疹样改变,中央有带缝线切口(图1),同侧腋窝未触及肿大淋巴结。病理活检提示:(乳房区皮肤)Paget病可能。免疫组化检查示:CK7(+),CK8(+),CK10/13(-),CEA(部分+),S100(-),ER(部分+),PR(-),CK20(-),AR(+),Her-2(+++),Ki67(30%~60%+)。超声检查提示:乳腺腺体内未见明显占位性回声。乳腺增强MR表现:未见明确异常强化占位灶。行右乳皮肤病损切除术+腹部大V形皮瓣转移术。冰冻病理检查示:(右侧乳房)皮肤Paget病,上、下、内、外切缘及基底切缘(-)。术后病理报告:带皮肤组织的右侧乳腺,灰黄、灰红色乳腺组织1块,大小9 cm×8 cm×3.2 cm,皮肤大小8 cm×8 cm,切面距上切缘3.2 cm、下切缘4 cm、内切缘3 cm、外切缘1.5 cm处见1个皮肤粗糙区,大小3.5 cm×1.3 cm,灰白色,实性,质硬,界不清。光镜检查:右侧乳腺组织见肿瘤位于表皮内,肿瘤细胞大、圆形,胞质丰富,核大,异型明显,呈小簇状、团巢状或散在分布于皮肤表皮内(图2)。未见浸润乳腺实质,未见导管内癌成分。上、下、内、外切缘及基底切缘均(-)。诊断为(右侧乳房)皮肤Paget病。随访2个月,局部未见复发,无远处转移,无并发症。


乳房外Paget病(EMPD)是皮肤的恶性肿瘤,可分为原发性EMPD和来源于周围组织的继发性EMPD。EMPD多发生于大汗腺丰富的部位,如外阴、阴茎、阴囊、会阴部和肛周,此外腋窝、脐部、眼睑、外耳道以及头部、躯干和四肢其他部位的病变也有少量报道。EMPD通常起病隐匿,临床表现为多灶性、边界清晰的红斑、白斑或黄斑,偶尔伴有色素沉着过多或色素减退,继而可出现结壳、结痂、溃疡和出血[1]。有时会发现硬结节、可触及的肿块或淋巴结肿大,这时应考虑侵袭性疾病。大多数患者可伴有皮肤瘙痒或灼热、触痛和水肿等表现,但也有部分患者可能没有任何伴随症状。由于这些非特异性的表现,EMPD的诊断相当困难,经常被诊断为其他良性皮肤炎性疾病,如接触性或脂溢性皮炎、湿疹和表面真菌感染,导致误诊或疾病治疗的延误。因此,建议对明确边缘升高和对局部抗炎药物反应不佳的慢性皮肤病患者进行活检,以排除该病及其他肿瘤性疾病[2]。原发性EMPD仅局限于表皮时预后良好,而侵袭性EMPD的预后很差,尤其是在其侵犯淋巴血管的情况下,目前手术是其主要的治疗方式。本例患者采用了腹部大V形皮瓣转移术,而非自体皮片移植。带有皮下脂肪和血管的皮瓣转移术能较好地保持皮肤的血供和乳房的外形,并且考虑到腹部皮肤的厚度及色泽与切除部分相近,加上腹部冗余组织较多,因此移植后在外观上与术前差异较小。
所有作者均声明不存在利益冲突





















