
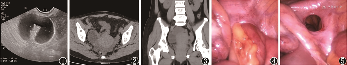
患者女,44岁,因腹痛1 d入院。伴呕吐1次,无腹胀,无肛门停止排气排便。查体:右下腹触及一5 cm × 5 cm大小包块,压痛阳性。实验室检查:白细胞10.8 × 109/L。患者既往2次分娩史,10余年前有剖宫产史,术后恢复可。急诊经阴道超声检查示盆腔右卵巢外侧方见52 mm × 41 mm液性暗区,壁厚,考虑扩张肠管可能(图1)。腹部CT示右侧附件区约47 mm × 35 mm类圆形囊性灶,周围脂肪间隙欠清,盆腔见不规则片状积液;盆腔小肠稍扩张积液(图2、3)。急诊行腹腔镜下探查术,术中见盆腔内约50 ml淡血性液,右侧子宫阔韧带见一3 cm × 3 cm缺口,部分小肠嵌顿其内,血供基本正常(图4、5),左侧卵巢表面见0.5 cm × 0.5 cm子宫内膜异位结节。完整牵拉出阔韧带内嵌顿小肠,血供颜色正常。术后诊断:子宫阔韧带疝。该患者术后恢复良好,术后4 d出院。
版权归中华医学会所有。
未经授权,不得转载、摘编本刊文章,不得使用本刊的版式设计。
除非特别声明,本刊刊出的所有文章不代表中华医学会和本刊编委会的观点。
患者女,44岁,因腹痛1 d入院。伴呕吐1次,无腹胀,无肛门停止排气排便。查体:右下腹触及一5 cm × 5 cm大小包块,压痛阳性。实验室检查:白细胞10.8 × 109/L。患者既往2次分娩史,10余年前有剖宫产史,术后恢复可。急诊经阴道超声检查示盆腔右卵巢外侧方见52 mm × 41 mm液性暗区,壁厚,考虑扩张肠管可能(图1)。腹部CT示右侧附件区约47 mm × 35 mm类圆形囊性灶,周围脂肪间隙欠清,盆腔见不规则片状积液;盆腔小肠稍扩张积液(图2、3)。急诊行腹腔镜下探查术,术中见盆腔内约50 ml淡血性液,右侧子宫阔韧带见一3 cm × 3 cm缺口,部分小肠嵌顿其内,血供基本正常(图4、5),左侧卵巢表面见0.5 cm × 0.5 cm子宫内膜异位结节。完整牵拉出阔韧带内嵌顿小肠,血供颜色正常。术后诊断:子宫阔韧带疝。该患者术后恢复良好,术后4 d出院。


子宫阔韧带疝是一种罕见腹内疝[1]。由于其临床症状及影像学表现缺乏特异性,术前诊断困难。患者最常见的症状为机械性肠梗阻症状,如恶心、呕吐、腹胀等,其次是单纯性腹痛。本例患者因右下腹痛及阴道出血就诊,超声检查提示盆腔偏右侧囊性包块;CT提示右附件区类圆形囊性灶、盆腔积液、盆腔小肠稍扩张;经急诊腹腔镜探查术确诊右侧子宫阔韧带疝。
所有作者均声明不存在利益冲突





















