
肝脏子宫内膜异位症是一种极为罕见的良性疾病,由于缺乏典型的临床症状、影像学和实验室检查结果,导致很难与其他肝脏囊性占位性病变相鉴别。该病确诊主要依据病理学检查和免疫组化检查,手术切除是其主要治疗方式,根据肿瘤位置、大小及有无临床症状决定是否手术。本文报道一例肝脏子宫内膜异位症患者的诊治情况,并回顾相关文献进行讨论。
版权归中华医学会所有。
未经授权,不得转载、摘编本刊文章,不得使用本刊的版式设计。
除非特别声明,本刊刊出的所有文章不代表中华医学会和本刊编委会的观点。
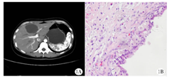
患者女性,39岁,4月余前体检发现肝左叶占位性病变,因伴有月经相关的周期性肝区疼痛症状,于2018年5月1日就诊于吉林大学第一医院;既往剖宫产手术史11年,平素月经规律,无痛经史;否认子宫内膜异位症、流产、病毒性肝炎等病史。查体:腹部平坦,未见腹壁静脉曲张、胃肠型及蠕动波,脐下3 cm处可见一长约13 cm的正中竖行手术瘢痕;上腹部轻压痛,无反跳痛及肌紧张,未触及明显包块,肝脾肋下未触及,胆囊未触及,墨菲征阴性,Courvoisier征阴性。肝肾区无叩痛,腹部叩诊呈鼓音,移动性浊音阴性,肠鸣音约3次/min。实验室检验:肝功能、肾功能、外科综合、血常规、肿瘤标志物及余检验指标均无异常。影像检查:超声检查示:肝左叶可探及一大小约61 mm×53 mm低回声团块,诊断为肝囊性占位性病变。肝胆胰多排CT平扫+三期增强检查所见:肝体积不大,表面光滑,肝门肝裂不宽,各叶比例协调,肝左叶内侧段见不规则囊状低密度,大小约6.5 cm×5.1 cm,界清,病变内见分隔,增强扫描分隔可见强化,邻近胆管稍扩张。胆囊不大,壁稍厚,腔内未见异常密度影,胆总管未见扩张,胰腺及脾脏形态、大小及密度未见异常,胰管未见扩张。检查诊断:考虑肝左叶内侧段囊性占位性病变,考虑良性,待除外囊腺瘤(图1A)。


临床诊断:肝囊性占位性病变,考虑囊腺瘤。因患者及家属手术意愿强烈,于2017年5月4日行剖腹探查术。术中见肝左内叶一枚大小约6.8 cm×6.0 cm囊性肿块,突出肝脏表面,质地柔软,有完整包膜,与周围肝组织边界清楚。因无法确定肿物性质,遂完整切除肿物并送快速病理,回报考虑肝脏子宫内膜异位囊肿,未行扩大手术。术后病理诊断同术中快速病理结果,免疫组化示:PR(+),ER(+),见图1B。临床诊断为肝脏子宫内膜异位症(hepatic endometriosis,HEMs)。患者术后第5天康复出院,半年后复查无肿瘤复发及血清学指标异常。
子宫内膜异位症(EMs)是指具有生长功能的子宫内膜组织出现在宫腔以外部位的一种妇科常见疾病,多于盆腔内发生,如卵巢、宫骶韧带和直肠等,盆腔外EMs极为少见,发生于肝脏者则少之又少[1]。综合文献复习,目前关于HEMs的报道仅35例(含本例)[2,3]。患者年龄为21~62岁。HEMs以单发为主,位于肝左叶者12例,占34%;肝右叶者18例,占52%;左、右肝叶均发生者5例,占14%。患者以腹痛为主要发病症状,其中3例患者有月经相关的周期性肝区疼痛症状,占8%。
盆腔外EMs的病因至今不明。HEMs亦是如此,当前被广泛接受的主要有异位种植学说和体腔上皮化生学说等,但均无法完善解释异位子宫内膜的组织来源[4]。既往报道中12例有EMs病史,22例为育龄期发病,支持异位种植学说观点;但分析发现有7例既无EMs病史,又为绝经期发病,与异位种植学说机制相矛盾。另有学者认为HEMs的发生可能与肝上皮组织化生有关。可以看出,HEMs的发病与是否绝经和有无EMs病史无关,具体机制还有待进一步研究。
HEMs的血清学指标无特异性,在超声、CT及MRI上呈像也不典型。月经相关的周期性肝区疼痛虽可视为其特异性症状,但发生极少,所以该病很难确诊。本例术前考虑囊腺瘤,主要是基于CT显示为囊性病灶,增强后可见囊内分隔强化,较符合囊腺瘤影像学特点。确诊HEMs主要依赖于肝组织穿刺活检及术后病理。需要注意的是本病虽为良性病变,但其有恶性行为,既往报道HEMs可伴有腺肉瘤发生[5],所以在高度怀疑为HEMs时,应谨慎行肝组织穿刺活检术,避免出现肿瘤细胞转移。
研究表明,HEMs的治疗多以手术治疗为主,主要与术前确诊困难、肿瘤可能恶变及手术效果确切有关。HEMs的免疫组化中ER、PR表达阳性,其一方面可支持病理诊断,另一方面可为接受药物治疗的患者提供合理的用药方案。对于已行组织活检明确诊断、囊肿体积小且无症状的患者来讲,可在长期随访下服用药物治疗,若治疗不敏感,建议尽早实施手术[6]。
综上所述,HEMs极为罕见,育龄期和绝经期女性均可发病,由于血清学、影像学无特异性导致确诊困难,且存在恶变可能,所以手术切除可作为其主要诊断依据和治疗手段。
所有作者均声明不存在利益冲突





















