
本文报道了1例2020年8月6日天津市第一中心医院收治的罕见肝巨大吻合状血管瘤患者的诊疗过程。患者女性,59岁,主因"查体发现肝占位1周"入院,查腹部增强CT及普美显增强核磁提示肝Ⅳ、Ⅷ段富血供肿物,考虑血管肉瘤可能。行肝部分切除术,术后病理证实为肝吻合状血管瘤。
版权归中华医学会所有。
未经授权,不得转载、摘编本刊文章,不得使用本刊的版式设计。
除非特别声明,本刊刊出的所有文章不代表中华医学会和本刊编委会的观点。
吻合状血管瘤(anastomosing hemangioma,AH)是一种较少见的血管瘤,于2009年由Montgomery和Epstein[1]首次报道并命名。目前全球报道的病例中以泌尿生殖系统AH为主,极少发生于肝脏,现汇报1例肝巨大AH病例资料。
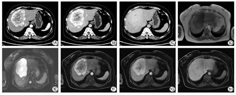
患者女性,59岁。主因"查体发现肝占位1周"于2020年8月6日入住天津市第一中心医院。既往无饮酒史及长期用药史。入院后查腹部增强CT提示肝左右叶交界处(Ⅳ、Ⅷ段)富血供肿物(图1A,图1B,图1C)。进一步查普美显增强MRI提示肝左右叶交界处(Ⅳ、Ⅷ段)富血供肿物,不含功能肝细胞,考虑血管肉瘤可能(图1D,图1E,图1F,图1G,图1H)。患者于2020年8月在全麻下接受肝部分切除术,术中可见肝Ⅴ、Ⅷ巨大肿物,质软。完整切除的肿物切开后可见肿物切面呈白实性。


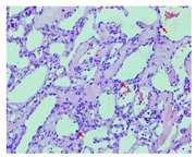
术后病理检查报告肿物与周围肝实质界限较清,可见部分不连续的纤维包膜,呈非浸润性生长,切面可见一灰白结节样肿物,大小为10 cm×8 cm×6 cm,肿物切面灰白实性质软。镜下表现:毛细血管腔呈血窦样,吻合状分布,部分内皮细胞呈钉突样,细胞核未见明显异型性,无核分裂象(图2)。免疫组织化学检测提示:CD31(+),CD34(+),F8(+),FLI-1(+),D2-40(-),平滑肌肌动蛋白(SMA)(+),细胞角蛋白(CK)(-),EMA(-),Ki-67(指数小于1%)。病理诊断为肝吻合状血管瘤。患者术后3个月复查腹部CT未见复发及转移。


血管瘤通常见于皮肤及皮下组织,内脏血管瘤少见。AH是一种近年来新发现的血管瘤,发病率比较低。已报道的AH较多见于泌尿生殖系统,以肾及肾周组织最为常见[2,3],另可见于心脏、乳腺等脏器[5],极少发生于肝脏。但是文献中记录的发生于肝脏的AH平均直径约为3.35 cm,远大于发生在其他脏器的AH。本例患者的AH最大径达到了10 cm,极为罕见。目前国内外关于AH的病例报道经随访均未发现肿瘤有复发及转移迹象,被认为是一种生物学行为较好的良性肿瘤。
根据Tao等[6]报道,AH的CT平扫多表现为边界清晰的等或稍低密度类圆形不均质肿物,轮廓分明;在增强CT扫描的动脉期,病灶边缘可表现出明显的环形和结节状强化,静脉期病灶会进一步增强,而延迟期图像上则显示出均匀持续增强。本例患者肿物的增强CT与上述表现基本一致,普美显增强MRI则表现为动脉期可见明显不均匀周边强化,门脉期及静脉期可见强化向内充填。可见肝AH的影像学表现与海绵状血管瘤及血管肉瘤相似,由于目前报道的病例数较少,尚没有关于此病统一的影像学诊断标准。由于无法排除海绵状血管瘤,因此肝穿刺活检仍需慎重。本例患者术中可见肿瘤与周围正常肝组织界限清楚,有不连续包膜存在,因此手术以肿瘤局部切除为主,切缘距肿瘤边缘1 cm以上为宜。目前尚没有该肿瘤接受介入治疗及药物治疗的相关研究报告。
AH在术前需要与肝血管肉瘤、肝海绵状血管瘤、肝血管内皮瘤、肝平滑肌肉瘤等相鉴别,若鉴别困难可行根治性切除术,术后病理检查及免疫组化染色可予以鉴别。据文献报道,位于不同器官组织中的AH具有极为相似的病理学特征[7],镜下观察病变为境界清楚的窦隙样、筛状、簇状、互相吻合的血管网,内衬鞋钉样内皮细胞,细胞具有轻度不典型性,但无核分裂象。肿瘤通常不侵犯周围组织。免疫组化检查可发现血管内皮标志物CD34、CD31、F8、FLI-1阳性,部分病例可出现SMA或EMA阳性,Ki-67指数均较低(小于2%)。免疫组化检查有助于与其它肿瘤相鉴别。
综上所述,肝AH是新近发现的一种极为罕见的良性肿瘤,虽然该肿瘤生长不具备强侵袭性,但就本例患者而言,其原位生长同样可呈现巨大占位效应,同样需要积极手术治疗。我们在术后切取少量瘤体移植至免疫缺陷鼠体内,发现移植瘤存活并开始生长,因此初步判断其可能具备一定的种植转移能力,其生物学行为仍有待进一步观察研究。
所有作者均声明不存在利益冲突





















