
胆管支气管瘘(BBF)是肝细胞癌微波消融的罕见并发症。膈肌损伤并肝脓肿形成是造成BBF的重要因素之一。本文报告1例肝细胞癌患者微波消融后1个月形成肝脓肿继发BBF,经多次经皮穿刺引流联合广谱抗生素治疗,未能控制BBF,同时肝细胞癌进展,最终治疗失败。提示临床中对于位于膈顶附近的肝细胞癌不宜消融范围过大。
版权归中华医学会所有。
未经授权,不得转载、摘编本刊文章,不得使用本刊的版式设计。
除非特别声明,本刊刊出的所有文章不代表中华医学会和本刊编委会的观点。
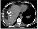
患者男性,76岁。糖尿病10余年。2015年6月11日行肝脏磁共振成像示肝脏多发占位,诊断为原发性肝细胞癌。2015年6月30日行肝细胞癌射频消融(radiofrequency ablation,RFA)+放射性粒子植入术,恢复较好。2018年12月10日因"发现肝细胞癌复发1周"于山东大学附属威海市立医院住院治疗,病变位于肝脏IIIV段,多发,最大直径超过5 cm,靠近膈肌,行肝动脉化疗栓塞术+2次微波消融(microwave ablation,MWA),复查上腹部MR提示肝细胞癌病灶得到控制。2019年7月29日复查MR提示肝细胞癌第2次复发,再次行超声引导MWA,设定功率为60 W,重叠消融作用总时间20 min,术后恢复较好,复查上腹部MR提示肝细胞癌病灶得到控制。2019年9月16日因"乏力、咳嗽1周,发热1 d"再次入住山东大学附属威海市立医院,咳大量金黄色泡沫痰,夜间卧位明显。血常规示:白细胞11.7×109/L,中性粒细胞百分比87%。丙氨酸氨基转移酶45 U/L,转肽酶88 U/L,碱性磷酸酶156 U/L,总胆红素68 mol/L,直接胆红素49 mol/L,白蛋白32.1 g/L,凝血酶原时间15.6 s。血培养、痰培养示肺炎克雷伯杆菌阳性,胸部增强CT提示右肺下叶感染性病变。气管镜提示右肺支气管黏膜炎症改变。胃镜检查提示非萎缩性胃炎伴胆汁反流。上腹部MR+磁共振胆胰管造影(magnetic resonance cholangiopancreatography,MRCP)提示肝脓肿形成并膈肌破坏、肺部感染(图1)。给予哌拉西林他唑巴坦抗感染治疗后患者咳嗽未减轻,复查腹部CT提示肝脏消融区域脓肿形成,于2019年9月30日和10月3日分别行超声引导经皮穿刺肝脓肿引流术,术后引出脓液及浑浊胆汁样液体,但咳嗽无明显缓解。患者黄疸加重,2019年10月转入山东大学齐鲁医院再次行肝内、膈下脓肿穿刺引流术,引流术后CT表现见图2。患者术后黄疸,咳嗽减轻,感染好转。痰液经实验室生化检验证实具有胆汁酸、胆红素等胆汁成分。将5 ml亚甲蓝溶液通过引流管注入,然后从口腔中咳出含有亚甲蓝的痰液,间接证实了胆管支气管瘘(bronchobiliary fistula,BBF)。2020年1月复查CT提示肝细胞癌复发,肝门部、腹膜后淋巴结转移,患者感染、黄疸加重,不适合外科手术,于2020年1月死亡。




BBF临床少见,而RFA或MWA术后BBF更为罕见[1,2]。BBF是胆管和支气管之间的异常交通,可能是由于胆管阻塞、肿瘤浸润、肝动脉化疗栓塞和热消融等操作导致胆管损伤引起的[3]。
BBF的典型症状为胆汁样痰,但早期诊断困难。本例患者每日咳嗽大量金黄色痰液,夜间卧位明显,笔者起初误以为是胃食管反流病引起吸入性肺炎导致的脓痰。随后化验痰中含有胆汁成分,将亚甲蓝溶液通过引流导管注入后从口腔咳出,间接提示可能存在BBF。MR+MRCP的优势在于可显示大胆管及扩张的胆管,也可显示局限性的支气管积液征[4]。本例患者行MR+MRCP提示膈肌损伤并脓肿形成,冠状位MR图像及MRCP考虑膈肌破损、脓肿与肺部相通,结合患者症状及痰液化验,证实BBF。经皮肝穿刺胆管造影术或内镜逆行胰胆管造影术可显示胆道与支气管之间的瘘管异常,这通常是BBF的最直接证据,但本病例未获得此证据[5]。另外,SPECT/CT检查和腔内超声造影检查也可以较好地显示BBF[6]。
结合本例患者病变范围较大、位于膈顶、消融范围大、肝脓肿形成及黄疸等特点,我们推测其形成BBF可能的机制是:局部消融损伤胆管、膈肌,从而继发胆汁淤积并感染形成肝脓肿,侵透膈肌破入胸腔,继而损伤肺支气管引起BBF。本病例感染的细菌正是易形成肝脓肿的肺炎克雷伯杆菌,糖尿病是导致感染的因素之一。本病例病灶位于VIII段,超声上存在盲区,部分病灶消融需要凭经验完成。研究表明,可采用超声造影与CT或MR的融合影像辅助精准治疗,从而提高疗效和安全性[7]。另外,无论CT还是B超引导,其局限性都是不易控制对膈肌的损伤,然而直视下消融可解决这一难题[8]。
BBF的主要治疗方法是缓解胆管梗阻以及去除局部脓肿和瘘管。近年来有研究通过经皮多部位胆管引流术、内镜引流和胸腹部联合手术治疗BBF[9]。BBF的手术原则是:解除梗阻,闭合瘘口,去除病灶,通畅引流。本例患者经多次经皮穿刺胆管引流并用抗生素治疗,但BBF并没有得到完全解决,主要原因有:(1)脓肿引流不彻底;(2)BBF部位感染持续存在,迁延不愈。因组织粘连,消融后的手术难度较大,但如果引流效果不佳,在患者肝功能恶化、肿瘤未明显进展之前,应组织多学科会诊采取积极的手术治疗。
综上所述,对于靠近膈顶的大肝细胞癌,应谨慎进行大范围热消融治疗,以防止膈肌和胆管热损伤引起BBF。BBF诊断方法主要有痰查胆汁成分、CT或MR检查、引流管或内镜逆行造影等,既往治疗方式主要为手术,近年来以引流为主,一旦引流和药物治疗效果不好,需要及时手术干预。
所有作者均声明不存在利益冲突





















