
原发尤文肉瘤早期临床表现隐匿,临床少见,致死率高,而妊娠合并骨尤文肉瘤更为罕见。本文报告了1例妊娠合并骨尤文肉瘤患者的诊治经过。本例患者发病以来仅主诉腹痛、腹胀等症状,最终经转移病灶的病理检查得以确诊。通过本病例认为,临床上应加强对可疑妊娠妇女此类疾病的早期诊断。一旦确诊为妊娠合并骨尤文肉瘤,应根据疾病进展情况及孕龄时间予以处理。
版权归中华医学会所有。
未经授权,不得转载、摘编本刊文章,不得使用本刊的版式设计。
除非特别声明,本刊刊出的所有文章不代表中华医学会和本刊编委会的观点。
孕妇29岁,孕1产0。因"停经28周+3,间断上腹痛1个月,加重1周"于2016年8月5日入住我院消化内科。患者平素月经规律,末次月经2016年1月7日,既往有胃食管反流病史,已治愈。入院体格检查:贫血貌,双下肢凹陷性水肿,腹膨隆,左上腹压痛。专科检查:宫高28 cm,腹围129 cm,先露横位,胎心率146次/min。辅助检查:血常规示白细胞8.73×109/L,血红蛋白78 g/L,白蛋白27.6 g/L,K+ 3.78 mmol/L,总钙1.97 mmol/L。产科B超检查无明显异常。腹部B超检查:肝多发厚壁囊性病灶,散发实性病灶;胆囊壁增厚,胆囊附壁小息肉或小结石;脾大;腹腔大量积液;胰腺显示不清。入院诊断:(1)腹腔积液原因待查:肝硬化?(2)孕1产0,孕28周+3;(3)中度贫血;(4)低蛋白血症;(5)胆囊结石;(6)胆囊息肉;(7)脾大。
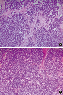
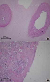
入院后请血液内科、重症监护病房(intensive care unit,ICU)及产科会诊后认为腹腔积液原因不清,建议行腹部、盆腔CT检查,给予对症支持治疗并予地塞米松促胎肺成熟,并告知病危。患者于2016年8月5日晚转入ICU,并于2016年8月7日在超声引导下行腹腔穿刺,进一步腹腔积液检测示甲胎蛋白106.10 ng/ml,糖基抗原CA125 161.2 U/ml。CT检查:双下肺微结节;左侧腹腔局部肠管(结肠)增厚并可见肿块影,肝脏多发厚壁囊性病变;子宫呈妊娠样改变;腹腔及盆腔大量积液。2016年8月8日请全院会诊。CT室意见:结肠肿块性质不明,与周围无明显粘连,可考虑淋巴结肿大,不排除肿瘤可能,建议行加强CT或MRI;普外三科意见:肠腔包块性质不明,患者无明显消化道病史,且近日大便未解,仅CA125高及CT结果尚不能确诊肿块性质;普外一科意见:肝区病变为肝囊肿,但腹腔积液由低蛋白引起可能性大,纤维蛋白原降解产物高与胎儿有关;产科意见:患者目前心率快,大量腹腔积液,对胎儿不利因素较多,可考虑终止妊娠。经患者及家属同意后,于2016年8月8日孕28周+6晚在连续硬膜外麻醉下行"剖宫产术+开腹探查"术。术中顺利娩出一男活婴,早产儿,无脐带绕颈,羊水清亮,体重1 400 g,1、5及10 min Apgar评分分别为8、9及9分(转儿科治疗1个月后出院)。探查腹腔见大网膜上广泛分布大小不等质中结节,肝脏布满肿块,最大径线约6 cm。术中诊断考虑腹部肿瘤侵及小肠、结肠,并大网膜转移可能性大,取大网膜、小肠系膜数枚,肝脏取部分病灶活检,脐带和胎盘同时送病理检查。术中大网膜、小肠系膜、肝脏部分病灶病理检查结果提示:小圆形细胞恶性肿瘤;免疫组化检测:波形蛋白(Vimentin)(+),神经纤维丝蛋白(neurofilament protein,NF)(+),突触素(synaptophysin,SYN)(+),CD56(+),CD99(+),CD117(+),P16(+),P53(+),诊断骨尤文肉瘤/外周原始神经外胚层肿瘤(图1)。脐带与胎盘组织病理检查结果未发现肿瘤细胞及肿瘤组织(图2)。




患儿术后因早产转入儿科观察治疗,予以抗肺部感染及营养支持等治疗,1个月后出院。随诊至2017年2月,患儿无特殊不适。
妊娠期间恶性肿瘤的发生率约为1/3 000,其中黑色素瘤(30%)最常见,其次为血液性恶性肿瘤(15%)及乳腺癌(14%),而肉瘤非常少见[1]。尤文肉瘤尤其如此。尤文肉瘤是起源于骨髓腔的恶性肿瘤,临床少见,致死率高,发病年龄5~14岁[2]。本例患者妊娠合并骨尤文肉瘤罕见,自1963年以来,仅7篇英文文献报告了19例妊娠合并尤文肉瘤,其中骨尤文肉瘤仅3例[3]。
原发尤文肉瘤临床症状多表现为体温升高、白细胞增多、血沉加快及原发病灶疼痛等,早期为间歇性隐痛,之后迅速发展为持续性剧痛。但本例妊娠合并尤文肉瘤患者发病以来无发热症状、无白细胞增多且未诉原发病灶疼痛。至入院时,患者仅主诉腹痛、腹胀等症状,所以早期诊断很困难。患者临床表现与肝硬化所致症状相似,腹腔穿刺检查及CT结果也仅在于判断肠腔包块性质,未曾做过骨骼相关影像学检查。术后由于患者拒绝行进一步诊治,也未能发现骨尤文肉瘤病灶所在。原发尤文肉瘤较易发生转移[4],本例术中病理检查即提示大网膜、小肠系膜及肝脏转移。然而,脐带与胎盘组织病理检查结果示胎盘与胎儿均未受累,这与已报道文献结果[5]一致。不过,曾有病例报告报道,尤文肉瘤可转移至胎盘[6]。
一方面,临床观察表明,母体来源的恶性肿瘤可以通过胎盘屏障进行转移[7],以恶性黑色素瘤细胞的转移最为常见,这可能与黑色素瘤细胞对胎盘的特殊亲和力有关,而上皮癌则难以超越胎盘屏障,其具体机制尚不清楚[8]。因此,本例之所以未出现胎盘胎儿恶性肿瘤细胞转移,可能与尤文肉瘤的上皮源性有关。但另一方面,在绝大多数患有广泛转移肿瘤的孕妇中,不管肿瘤的来源如何,胎盘和胎儿均很少受累;同时脐带肿瘤发生率亦较低,以良性肿瘤多见[9],良性血管瘤、畸胎瘤、囊肿等均有文献报道,但恶性肿瘤少见[10]。
推测本例未出现胎盘胎儿转移也可能与恶性瘤细胞分化程度低、体积大,较难穿破绒毛血管壁,以及胎盘–胎儿单位的主动防御有关。
原发骨尤文肉瘤的明确诊断主要依赖于临床表现、影像学及病理检查等,同时,研究认为荧光原位杂交或逆转录-聚合酶链反应亦对本病的诊断具有敏感性[4]。本例临床表现及影像学结果均较为隐匿,最终诊断依赖于转移病灶病理检查才得以确诊。患者术前病因不明,但可初步确定恶性肿瘤广泛腹腔内转移,考虑到对胎儿产生不利影响的因素较多,因此尽快应用地塞米松促胎肺成熟后行剖宫产术终止妊娠,早产儿预后情况较好。文献报道,针对妊娠合并骨尤文肉瘤诊断明确的患者,可据情况进行手术或放化疗处理[11]。妊娠期间适当的手术处理是相对安全的,而针对放化疗的处理尚且存在一定争议。有研究认为大多数骨尤文肉瘤病例在妊娠期间需接受化疗、放射治疗,对母亲和新生儿可产生较为有利的结果[3],胎儿娩出后随访8个月也未见显著畸形[12];另有研究显示妊娠合并尤文肉瘤后的放化疗可导致胎死宫内。因此,综合母胎健康情况进行考虑,局灶性的骨尤文肉瘤应以手术为主,辅以适当化疗。考虑到胎儿无法避免放射线暴露,因此,妊娠期间应避免放疗[13]。转移性的骨尤文肉瘤则应以化疗为主,其中化疗的疗效及风险性评估应对化疗药物的使用以及孕周大小进行考量[14]。
综上所述,妊娠合并骨尤文肉瘤在临床少见,临床工作中应加强对可疑妊娠妇女此类疾病的早期诊断,筛查可借助于荧光原位杂交及逆转录-聚合酶链反应技术,而明确诊断需结合临床表现、影像学及病理学检测。一旦确诊为妊娠合并骨尤文肉瘤,应根据疾病进展情况及孕周予以处理。对于尚未达到孕37周的,需尽早使用地塞米松促胎肺成熟,并联合手术治疗及放化疗。手术治疗主要适合于局限性病灶患者,化疗则推荐进行多药物联合及孕25周以后使用[12],而放射疗法因显著致畸致死作用则需要权衡利弊。





















