
本文报告了一例胎盘畸胎瘤病例。该孕妇30岁,孕33周+超声发现胎盘胎儿面异常回声,初步诊断为胎盘畸胎瘤,MRI检查提示胎盘畸胎瘤可能。患者于孕40周+4阴道分娩,新生儿未见明显异常;产妇产前及产后无异常临床表现。肉眼观察胎盘边缘可见一光滑椭圆形的被覆皮肤结节,病理结果提示成熟型囊性畸胎瘤。胎盘畸胎瘤的起源尚不明确,无明显临床症状,对孕妇及胎儿多无不良影响。超声与MRI联合诊断对产前明确瘤体性质起重要作用,而确诊本病主要依靠产后病理检查。
版权归中华医学会所有。
未经授权,不得转载、摘编本刊文章,不得使用本刊的版式设计。
除非特别声明,本刊刊出的所有文章不代表中华医学会和本刊编委会的观点。
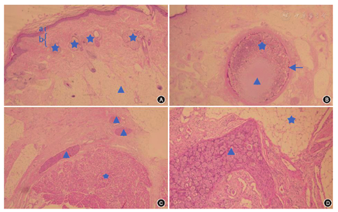
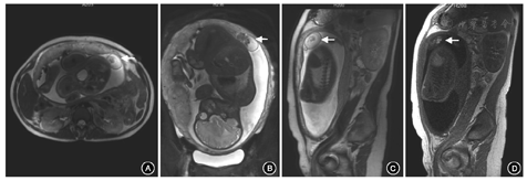
患者30岁,孕2产1,末次月经2017年7月8日。2018年4月16日,患者因"停经40周+2,阴道分泌物增多半天"入院。患者于孕11周在本院因"夫妻双方地中海贫血基因携带(女方:--SEA/αα,β-28/βN;男方:αα/αα,βIVS-2-654/βN)"行绒毛活检术,绒毛快速基因检测提示21、18、13号染色体数目均未见异常,绒毛地中海贫血基因检测提示β地中海贫血-28突变杂合子。中孕期排畸超声未发现明显异常;孕33周+超声发现胎盘胎儿面内异常回声,大小为6.9 cm×3.1 cm,以无回声为主,其内可见强回声光团;彩色多普勒血流显像未探及明显血流信号,不排除胎盘畸胎瘤可能(图1)。孕35周+盆腔MRI提示子宫底部左侧、胎盘左上缘偏内侧可见囊性不规则混杂信号影,病灶大小约4.5 cm×3.9 cm×2.7 cm,边缘清晰,边缘可见包膜,考虑畸胎瘤可能,也不排除死胎可能(图2)。2018年4月18日(孕40周+4)经阴道分娩一活女婴,出生体重3 320 g,外观未见畸形,1、5和10 min Apgar评分均为10分。胎盘于胎儿自然娩出后5 min自然完整娩出。病理检查:胎盘大小为21 cm×18 cm×2 cm,胎儿面光滑,母体面完整;在胎盘边缘的羊膜和绒毛膜之间发现1个6.5 cm×5.0 cm×3.0 cm的光滑椭圆形被覆皮肤的结节,质地中等,无蒂(图3)。剖开后切面局部可见软骨。显微镜检查可见完整皮肤结构,有表皮、真皮、皮肤附属物、脂肪组织、肌肉、软骨、骨、血管及神经组织(图4),病理诊断:(胎盘边缘)成熟型囊性畸胎瘤。患者于产后2 d出院。出院后随访1年,患者及其女一般情况良好。








畸胎瘤是起源于有多向分化潜能的生殖细胞的肿瘤,含有来源于内胚层、中胚层、外胚层的各种组织。胎盘畸胎瘤是一种罕见的胎盘非滋养层良性肿瘤,是由一组异质性细胞和/或器官样结构组成的。自1925年首次报告以来,此类病例并不多见。目前能够检索到国内外文献共报告了58例,其中国内文献报告了23例[1,2,3,4,5,6,7,8,9]。
与胚胎肿瘤不同,畸胎瘤特定起源的组织比具有分化潜能的局限性区域的范围更广[10]。畸胎瘤的组织非常多样化,解剖后肉眼观察可发现毛发、牙齿、骨骼等。畸胎瘤发生的位置按发生频率为卵巢、睾丸、前纵隔、腹膜后、骶前和尾骨区[1],罕见部位包括颅骨、松果体、大脑、颈部、后纵隔、体壁、鼻中隔、肝十二指肠韧带、脊髓、胎盘、脐带和四肢等[10,11,12,13]。胎盘畸胎瘤是十分罕见的类型。
对于胎盘畸胎瘤的发病机制目前尚无定论,"生殖细胞理论"是一种较受认可的观点[14]。在胚胎发育早期,原始肠道内的生殖细胞向外迁移,沉积在脐带结缔组织内,形成脐带畸胎瘤。如果这些细胞继续迁移,它们可能会到达胎盘的羊膜和绒毛膜之间,形成胎盘畸胎瘤。一项小样本研究发现,在女性患者中,非胎盘畸胎瘤的性染色体均为女性,而男性睾丸畸胎瘤和松果体畸胎瘤中,约有一半为女性的性染色体[15]。由此可以推测,畸胎瘤可能是由2个配子或单倍体细胞融合产生的。但胎盘畸胎瘤的性染色体是否与胎儿的性别一致,目前尚不清楚。本例未进行胎盘畸胎瘤组织的染色体检测,因此无法进一步追溯其起源。
胎盘畸胎瘤的产前诊断主要依靠超声[3]。据国内外文献报道,胎盘畸胎瘤多为单发,胎盘体积明显大于正常胎盘,外形多为光滑的圆形或椭圆形;肿瘤多位于胎盘的胎儿面羊膜和绒毛膜之间,与胎盘之间多通过一短蒂相连;羊膜腔内表现为团块状强回声,内部多无强血流信号。典型的畸胎瘤超声声像图特征可以表现为脂液分层征、面团征、瀑布征、垂柳征、壁立结节征、多囊征、杂乱结构征、线条征及星花征等[9]。但是超声存在一定的局限性。例如,超声的视野有限,穿透性容易受影响,且超声评估可能受到胎儿位置、孕妇肥胖、羊水过少等限制,故必要时可以考虑进行MRI检查。本例在中晚孕期超声中发现胎盘的胎儿面羊膜和绒毛膜之间存在一囊性椭圆形异常回声,并进一步行MRI辅助诊断。超声对瘤体内血管、钙化、囊性成分较敏感,而MRI对瘤体内各软组织成分组成较敏感,两者联合应用,可以较好地明确瘤体性质。另外,联合应用血清生物学标志物(如癌胚抗原、甲胎蛋白、绒毛膜促性腺激素等),能够检测体积>17 mm3的畸胎瘤,灵敏度>87%[16]。组织病理学是确诊的手段。在检索到的个案报道中,显微镜下多可发现成熟脂肪组织,往往也含有皮肤、皮肤附属物、骨、软骨、肌肉、神经组织或肠上皮细胞等。本例镜下可发现一些来自中胚层和外胚层的组织,但并未发现来自内胚层的肠腔上皮或消化腺上皮组织。这进一步说明畸胎瘤是一种来源于具有多向分化潜能的生殖细胞的肿瘤,可分化为一个或多个胚层组织。
Khedr等[1]报道了胎盘畸胎瘤与胎儿无心无定型畸形、脐肠系膜管囊肿和肠道器官样分化具有类似的特点,因此在诊断中应注意鉴别。胎盘绒毛膜血管瘤是最常见的胎盘良性肿瘤,与胎盘畸胎瘤有较多重叠的特点,但胎盘绒毛膜血管瘤的超声特点一般为胎盘实质内母体面或胎儿面边界清晰的圆形或椭圆形实性中低回声,瘤体内可见树枝状、网格状或蜂窝状的丰富血流信号,常为单发,位置不定,大小不一。超声多普勒对病灶内血流信号的探测是鉴别血管瘤的关键。妊娠结局更多地取决于瘤体的大小,而非组织成分。通常超过4 cm的肿块即可能引起胎儿贫血、羊水过多等并发症,需要测量大脑中动脉收缩末期峰值流速,以预测胎儿是否合并贫血[17]。病理检查可见胎盘绒毛膜血管瘤的瘤体由大量血管腔隙与少量疏松的纤维结缔组织构成,是确诊的方法。另外,本例在早孕期行绒毛活检术,可能会形成胎盘内血肿,随着时间延长可能出现液化、钙化等,鉴别诊断时需要排除。胎盘内血肿通常超声表现为血肿内部探测不到血流信号,为弱光点回声,而且血肿可能随着孕周的增加逐渐缩小。但该病例孕晚期才发现,且超声表现与血肿差异较大,因此考虑与早孕期行绒毛活检术无关。
有学者提出,胎盘畸胎瘤应与胎儿无心畸形相鉴别[14]。胎盘畸胎瘤与胎盘之间没有脐带,有时通过一短蒂连接;而胎儿无心畸形通常有1条包含有脐静脉与脐动脉的脐带;畸胎瘤通常是一个多样化组织的集合,包括骨与软骨;胎儿无定型无心畸形具有一定的轴向组织,如头颅、脊柱、内部器官、或肢体等[14]。一胎无心畸形亦称双胎反向动脉灌注序列征,是一种特发于多胎妊娠的罕见畸形,表现为双胎妊娠一胎儿心脏缺如、退化或无功能,常伴有多个器官发育异常或缺如,而另一胎正常;双胎通过脐动脉形成动脉-动脉吻合。可采用多普勒超声检查脐动脉检查,加以排除。本例在早孕期超声并未发现宫腔内多个妊娠囊,并且这一异常肿物内回声未探及丰富的血流信号;产后病理检查发现该肿物位于羊膜与绒毛膜之间,内含软骨,缺乏脐带,无一定的结构器官与骨骼系统。自最初超声发现该病灶至分娩后进行大体检查时,肿瘤没有明显增大。这些表现在一定程度上支持胎盘畸胎瘤的初步诊断,而组织病理学检查进一步明确了畸胎瘤的诊断。
畸胎瘤的生物学行为取决于临床环境、性别、年龄与解剖位置的差异。虽然它在各年龄段均有发生,但这些肿瘤的行为和预后在青春期前后差异很大。生殖细胞肿瘤(germ cell tumor, GCT)中,卵巢与睾丸的成熟畸胎瘤性质完全相反。胰岛素样生长因子Ⅱ(insulin-like growth factor Ⅱ, IGF-Ⅱ)是主要的胚胎生长因子。IGF-Ⅱ mRNA结合蛋白家族(IGF-Ⅱ mRNA-binding protein, IMP)的成员IMP-3在哺乳动物晚期发育期间抑制翻译,调控IGF-Ⅱ生物合成。IMP-3已证实是一种在恶性生殖细胞肿瘤中高度表达的癌胚蛋白[18,19],但IMP-3是否在胎盘畸胎瘤中表达,尚未检索到报道。12号染色体短臂等臂i(12p)状态是生殖细胞肿瘤中细胞遗传的主要畸变,提示恶变可能,约88%的青春期后睾丸畸胎瘤表现为i(12p)[20,21]。据报道,体细胞型恶性肿瘤和畸胎瘤具有克隆相关性,可能来源于一个共同的祖细胞,在经甲醛固定的石蜡包埋组织上进行的间期荧光标记的原位杂交技术是检测12p过表达和i(12p)的敏感方法,有助于追溯生殖细胞来源[22]。与其他部位肿瘤不同的是,目前发现的胎盘畸胎瘤都是良性的,与胎儿先天性畸形几乎没有关系[3]。有学者报道了1例合并胎盘畸胎瘤的严重畸形婴儿,他们推测胎盘上异常肿物可能是由于单卵双胎之一血管供应异常或其他未知的胚胎发育障碍而引起的[23]。一般来说,肿瘤分化越成熟,越倾向于表现为囊性;恶性肿瘤大部分为实质性肿块。本例病理结果提示为成熟型囊性畸胎瘤。尽管形态学与临床数据支持成熟型囊性畸胎瘤属于良性病变,但畸胎瘤之间存在相当大的异质性,故可能需要细胞遗传学研究,以进一步明确囊性病变的性质。
胎盘畸胎瘤是一种罕见的胎盘非滋养层良性肿瘤。从临床角度看,无论组织构成如何,此类肿瘤一般无明显临床症状,对孕妇及胎儿一般不会产生不良影响,也不发生相关并发症。然而确切的胎盘畸胎瘤的生物学行为需要进一步的病例积累与研究。产前检查运用的多普勒超声可提高胎盘畸胎瘤的检出率,同时MRI等影像学技术与血清学的检测的应用,可以为临床提供更丰富、更确切的诊断依据,有助于临床决策和选择分娩方式。





















