
本文报道1例新生儿三尖瓣下移畸形合并B型预激综合征。患儿胎龄39周娩出,生后2 d诊断三尖瓣下移畸形合并B型心室预激,经内科治疗后好转出院。追溯产前超声检查,胎龄20周胎儿超声心动图未提示异常,但38周因胎心率过快行M型超声检查诊断室上性心动过速。三尖瓣下移畸形的心脏解剖结构异常不仅导致血流动力学的改变,而且会引起快速性心律失常。因此对于产前心脏超声检查到室上性心动过速或者出生后心电图检查到B型预激综合征的患儿,应当在心脏超声检查中仔细扫查三尖瓣,以免漏诊。
版权归中华医学会所有。
未经授权,不得转载、摘编本刊文章,不得使用本刊的版式设计。
除非特别声明,本刊刊出的所有文章不代表中华医学会和本刊编委会的观点。
患儿,男,因“生后气促28 min”收入重庆市妇幼保健院新生儿病房。胎龄39周娩出,生后1、5及10 min Apgar评分分别为8(呼吸、肤色各扣1分)、10及10分,出生体重4 270 g,无窒息史。
患儿母亲孕期在本院定期产前检查,系统超声及胎儿超声心动图检查均未提示异常,孕38周+6M型超声检查发现胎儿室上性心动过速,胎心率283次/min,剖宫产终止妊娠。
入院体格检查:体温36.3 ℃,呼吸66次/min,心率162次/min,血氧饱和度80%,神清、反应可,间断呻吟,面色红润;全身皮肤凹陷性水肿,主要分布胸部、背部、四肢,前囟平软,唇周发绀;鼻翼煽,吸气性三凹征,双肺呼吸音粗,未闻及啰音;心音有力、律齐,未闻及明显杂音;腹软,肝脾不大,肠鸣音正常;四肢肌张力正常,肢端暖;原始反射可引出。
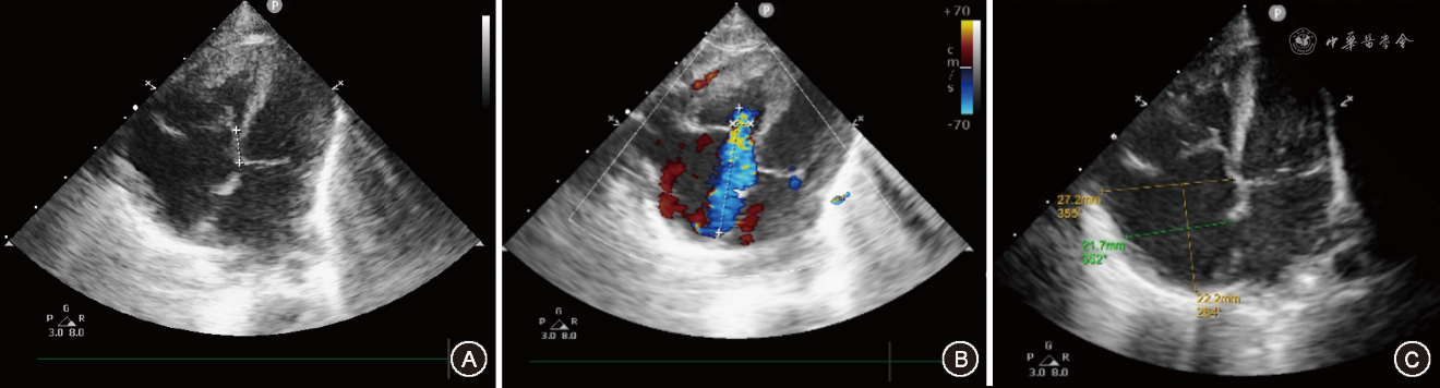
生后2 d心电图检查示:窦性心律,心率120次/min;PR间期缩短,时限75 ms;QRS波群时限108 ms,起始部粗顿形成δ波,V1导联QRS波群呈rS型,Ⅰ、aVL导联δ波呈正向;继发性T波改变,提示B型心室预激(图1)。超声心动图检查示:左、右心房增大,右心房明显,心室大小测值及室壁厚度、活动度均未见明显异常;三尖瓣隔瓣距二尖瓣环间距约7.79 mm,三尖瓣前瓣稍冗长,余各瓣膜形态及活动未见明显异常(图2);降主动脉与左肺动脉间可见分流束,宽约4.8 mm,左向右分流,收缩期分流速度约2.05 m/s,估测肺动脉压约40 mmHg(1 mmHg=0.133 kPa)。提示三尖瓣下移畸形,动脉导管未闭,房间隔卵圆孔未闭,轻度二尖瓣反流,重度三尖瓣反流,轻度肺动脉高压。生后5 d患儿出现心动过速,心电图检查示:无窦性P波,心室率298次/min;窄QRS波,时限60 ms;提示阵发性室上性心动过速(图3)。患儿三尖瓣下移程度较轻,经内科治疗后病情好转,未出现快速性心律失常,出院后定期随访。






追溯患儿产前超声心动图未能检出三尖瓣下移畸形(图4),但胎龄38周+6时M型超声检查示胎儿心率快,283次/min,律齐,呈1∶1房室传导,VA间期短,诊断为室上性心动过速(图5)。




三尖瓣下移畸形又称作Ebstein畸形,是一种罕见的先天性心脏畸形,其发病原因目前仍未明确,遗传和环境都是其影响因素[1]。该病主要表现为隔瓣与后瓣向心尖部下移,附着于右心室壁,前瓣位置正常,但瓣叶有不同程度的拉长。由于三尖瓣环移位至右心室的顶部,右心室被分为2个部分,三尖瓣以上的右心室实际上与右心房形成了1个心腔,被称为房化右心室,而三尖瓣以下的功能右心室容量较小,且畸形的三尖瓣常伴有关闭不全,导致房化右心室扩张变大,室壁变薄。该病常同时伴有房间隔缺损、肺动脉狭窄等其他畸形。三尖瓣下移畸形在新生儿中的发病率为1/20万[2]。根据三尖瓣功能障碍严重程度的不同,部分患儿在出生时就处于危重状态,而部分生后数十年保持相对无症状的状态。该病预后较差,可发生新生儿期心力衰竭,甚至死亡[3]。死亡原因主要是严重的三尖瓣反流和肺动脉发育不良[4]。因此,早期特别是胎儿期的诊断对出生决策及后续治疗管理都十分重要。
超声心动图是诊断和评估三尖瓣下移畸形的最佳手段,可以显示三尖瓣的位置、大小与活动情况,观察三尖瓣反流的程度,并能判断房室的大小和功能。但在胎儿期,超声的定量诊断没有具体标准。且胎儿期心脏较小,在测量和诊断上主观因素影响较大。严重畸形病例在孕早期超声检查有可疑征象,而较轻的畸形则不容易被观察到,可能因三尖瓣下移不明显而漏诊,直至婴儿期才被发现[4]。本例患儿在生后2 d超声心动图检查发现三尖瓣下移畸形,隔瓣下移约7.79 mm,前瓣稍冗长。但可能由于三尖瓣下移程度较轻,孕期胎儿超声心动图检查没有被发现。
三尖瓣下移畸形的心电图可以出现电轴右偏、P波增高增宽等右心房扩大的表现。80%的患儿有不完全性或完全性右束支传导阻滞,而5%~20%伴有心室预激图形[5]。通常患儿表现为右侧心室预激,表明心脏传导中的房室旁路存在于心室右侧,这可能与三尖瓣的移位有关。三尖瓣下移畸形发生房室旁路的风险较高[6]。研究发现,有预激病史的三尖瓣下移畸形患者的心脏中存在一脊状隆起的异常解剖结构,位于真正的右心房与房化右心室之间,与右冠状动脉处于同一水平,是正常心脏中三尖瓣环的位置[7, 8]。射频消融手术中房室旁路常常被定位到这一异常解剖结构所在的位置,因此怀疑该异常解剖结构与畸形瓣环之间存在功能性房室旁路[9]。但三尖瓣畸形的严重程度与房室旁路的存在与否并不相关,一些畸形程度较轻者存在房室旁路,而畸形严重者却无房室旁路[10]。左侧房室旁路也可能发生,但极其罕见,可能与合并其他畸形致使下移瓣环位置发生改变有关[9]。心电图表现为预激图形的患儿将不再出现右束支传导阻滞,这是因为旁路激动早于右心室激动,从而遮掩了右束支传导阻滞的表现。由于预激波与右束支传导阻滞融合,可能出现δ波微小、QRS波较窄的情况[11]。本例患儿三尖瓣下移程度较轻,但心室右侧有房室旁路的存在,生后的心电图表现为B型心室预激、δ波较明显。
三尖瓣下移畸形可能导致各种快速性心律失常的发生[12]。右心房增大可能引发心房颤动,房化右心室室壁变薄可能引起室性早搏和室性心动过速,而心室预激致阵发性室上性心动过速的发生风险增加,这也是三尖瓣下移畸形最常见的快速性心律失常。合并有预激的患儿多在胎儿期出现相应表现。本例患儿生后5 d出现阵发性室上性心动过速。而追溯产前超声检查,发现胎龄38周+6时M型超声检查示胎儿室上性心动过速,心率达283次/min,说明M型超声能够较为明确的诊断,但当时未再对心脏结构进行扫查,因而未在胎儿期发现三尖瓣下移畸形。
总之,三尖瓣下移畸形的心脏解剖结构异常不仅造成血流动力学的改变,而且会引起快速性心律失常。因此对于产前心脏超声检查发现的室上性心动过速或者生后心电图检查发现B型预激综合征的患儿,应当在心脏超声检查中仔细扫查三尖瓣,以免漏诊。
郑巧, 张焜, 董虹美, 等. 新生儿三尖瓣下移畸形合并B型预激综合征1例[J]. 中华围产医学杂志, 2022, 25(12): 962-964. DOI: 10.3760/cma.j.cn113903-20220418-00388.
所有作者声明无利益冲突





















