
1例55岁既往有高血压病和2型糖尿病的男性患者在肠镜检查前日晚和当日晨以磷酸钠盐口服溶液45 ml加入750 ml以上温水稀释后服用2次行肠道准备。肠镜检查后,患者出现腹部胀满症状,18 d后发现血清肌酐(Scr)升高,峰值达175 μmol/L。肠镜检查35 d后Scr 168 μmol/L,采用慢性肾脏病流行病学合作研究组肌酐公式计算肾小球滤过率为38.54 ml/min。肾穿刺病理示肾小管上皮细胞损伤伴磷酸钙沉积,诊断为急性磷酸盐肾病。建议患者多饮水,给予呋塞米利尿等对症治疗,5个月后Scr恢复至105 μmol/L。
版权归中华医学会所有。
未经授权,不得转载、摘编本刊文章,不得使用本刊的版式设计。
除非特别声明,本刊刊出的所有文章不代表中华医学会和本刊编委会的观点。
患者男,55岁,因腹部胀满1个月余,发现血肌酐升高18 d,于2020年5月28日入住浙江大学医学院附属第一医院肾脏病中心。4月23日,患者在外院行肠镜检查,检查的前日晚和当日晨按医嘱分别以磷酸钠盐口服溶液45 ml加入750 ml以上温水稀释后服用2次行肠道准备。肠镜检查结果未见明显异常。肠镜检查后,患者出现腹部胀满难忍。5月11日就诊于当地卫生院,实验室检查示血肌酐(serum creatinine,Scr)153 μmol/L,遂就诊于浙江省台州医院。完善相关检查后考虑急性肾损伤,给予抗氧化、护肾等对症治疗。治疗7 d后,复查Scr 175 μmol/L,为进一步诊治入住浙江大学医学院附属第一医院。患者既往有高血压病和2型糖尿病史8年,规律服用阿卡波糖胶囊(50 mg,3次/d)和氨氯地平(2.5 mg,1次/d)治疗,无其他并用药物,行肠镜检查前曾测血压110/86 mmHg(1 mmHg=0.133 kPa),血糖4.6 mmol/L。肠镜检查1个半月前曾体检,尿常规正常,Scr 71 μmol/L;无心脏病、肾病及家族遗传病史,无药物及食物过敏史。
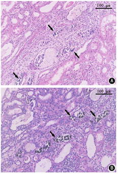
入院体检:体温37.3 ℃,脉搏124次/min,呼吸18次/min,血压117/91 mmHg。神志清楚,精神尚可,皮肤黏膜无黄染,甲状腺未及肿大,双肺呼吸音清,未闻及干湿性啰音,心律齐,各瓣膜听诊区未闻及明显杂音,腹软,无压痛,肝脾未触及,肠鸣音正常,双下肢无浮肿,神经系统查体阴性。实验室检查:白细胞计数5.4×109/L,血红蛋白109 g/L,血小板计数211×109/L;肝功能正常,白蛋白43.7 g/L;Scr 168 μmol/L,肾小球滤过率(慢性肾脏病流行病学合作研究组肌酐公式)38.54 ml/min;尿蛋白(g)/肌酐(g)比值0.14(参考值:0~0.20),胱抑素C 1.76 mg/L(参考值:0.59~1.03 mg/L),尿尿素134 mmol/L(参考值:141~494 mmol/L);红细胞沉降率42 mm/1 h;免疫球蛋白(immunoglobulin,Ig)A 5.12 g/L(参考值:0.70~5.00 g/L),IgG 18.64 g/L(参考值:7.00~16.00 g/L),IgM 0.27 g/L(参考值:0.40~2.80 g/L);K轻链5.46 g/L(参考值:1.70~3.70 g/L),L轻链2.96 g/L(参考值:0.90~2.10 g/L)。肾脏超声回报:双肾大小正常,肾实质回声偏高,右肾囊肿。完善各项检查后,于入院第2天行肾脏穿刺活检术。病理结果回报:肾小管上皮损伤伴钙盐沉积,钙沉积主要分布在小管上皮细胞的胞浆内、小管腔内(图1A);冯库萨钙(Von Kossa)染色示肾小管的沉积物为磷酸钙结晶(图1B);病理免疫荧光检测IgA、IgG、IgM、补体C3、C4、C1q均呈阴性。经风湿免疫科医师会诊,认为本例患者为急性肾损伤、自身免疫性或慢性肾损伤的证据不足,考虑肾损伤可能与肠镜检查前磷酸钠盐口服溶液有关。建议患者多饮水,给予呋塞米20 mg口服、1次/d利尿处理。入院第6天复查,Scr 154 μmol/L,血红蛋白114 g/L,准予出院。1周后复查,Scr 164 μmol/L;5个月后复查,Scr 105 μmol/L。


本例患者既往有高血压病和2型糖尿病,无肾病史,规律服用阿卡波糖胶囊、氨氯地平治疗,行肠镜检查前肾功能正常(Scr 71 μmol/L),Scr升高前除服用磷酸钠盐口服溶液外,无其他并用药物;服用磷酸钠盐口服溶液行肠镜检查后出现腹部胀满和Scr升高,肾组织病理检查证实为肾小管受损伴肾小管磷酸钙沉积,符合磷酸盐导致肾损伤的病理改变[1]。以往有磷酸盐类导致急性肾损伤的报道[2,3,4],排除其他疾病因素和药物因素引起的急性肾损伤,考虑患者的肾损伤很可能与肠镜检查前磷酸钠盐口服溶液有关。
磷酸盐导致的急性肾损伤被称为急性磷酸盐肾病(acute phosphate nephropathy,APN),是一种口服磷酸钠盐类肠道通便剂引起的急性和慢性肾损伤,肾脏病理以急性和慢性肾小管损伤伴有明显的肾小管和间质磷酸钙沉积为特征[5]。APN由Desmeules等[6]在2003年首次报道,之后相关报道逐渐增多。2004年,Markowitz等[7]报道了5例因行结肠镜检查服用磷酸钠行肠道准备后发生的急性肾钙质沉着症相关肾衰竭。2007年,Hurst等[8]一项结肠镜检查前口服磷酸钠的回顾性队列研究结果显示,在9 799例接受结肠镜检查的患者中114例(1.16%)发生急性肾损伤,口服磷酸钠组和聚乙二醇组急性肾损伤的发生率分别为1.29%(83/6 432)和0.92%(31/3 367),口服磷酸钠行肠道准备与急性肾损伤的发生风险增加相关(比值比=2.35,95%置信区间:1.51~3.66,P<0.001)。美国食品药品管理局先后2次对口服磷酸钠发出警告,提醒医疗专业人员在使用口服磷酸钠产品进行肠道准备时可能导致罕见的APN,认为APN是一种严重的不可逆性肾脏并发症[9,10]。
磷酸钠口服溶液导致肾损伤主要由于磷酸钠盐在肠道大量吸收后导致的高磷血症和高磷尿超过了肾小管对磷再吸收的阈值,导致远端肾小管磷浓度增加。同时,磷酸钠盐口服后的腹泻导致血容量下降,刺激近曲小管钠和水的重吸收,导致远曲肾小管内磷酸盐浓度增高。尿中的磷酸盐与钙结合形成磷酸钙,当尿液中的磷酸钙过度饱和时,可沉淀在肾远端小管和集合管,并析出结晶,导致急性肾损伤和急性肾小管坏死[11]。APN发生的危险因素包括高龄、女性、高血压病、低血容量、慢性肾病,以及并用血管紧张素转换酶抑制剂、血管紧张素受体阻滞剂、非甾体抗炎药和利尿剂等[11,12]。本例患者既往有高血压病史,可能是APN发生的危险因素。
APN的预后较差,Scr水平极少能恢复到正常水平[13];经过较长时间恢复后的肾病理检查仍能见到磷酸盐沉积,且磷酸盐沉积部位由肾小管腔内转移到肾小管细胞内和肾间质中[14]。Markowitz等[15]报道了21例APN患者的随访情况,结肠镜检查后9~18个月(平均13.8个月)有4例(19%)进展为终末期肾病,需要永久性血液透析治疗,其余患者在随访结束时Scr均未恢复至基线水平。因此,一些国家已不建议使用磷酸钠盐进行肠镜前的肠道准备[14]或已将该类药品撤市[5]。建议临床在使用该药行肠道准备时,减少磷酸钠盐剂量或改用聚乙二醇电解质制剂,尤其是具有APN危险因素的患者。对于使用磷酸钠盐的患者,在使用时应注意多饮水,防止腹泻造成的血容量降低,2次服用的间隔须大于10~12 h,同时监测肾功能。
所有作者均声明不存在利益冲突





















