
1例71岁男性患者因右侧颈总动脉及颈内动脉重度狭窄,局麻下接受主动脉弓造影+全脑动脉造影+右侧颈内动脉支架置入术,使用的对比剂为碘克沙醇注射液。术前患者头部CT未见明显异常。术后10 h患者出现发热、嗜睡、饮水呛咳、不完全运动性失语、左侧肢体肌力和肌张力减低及抽搐等神经系统症状。头部磁共振成像(MRI)示右侧大脑皮层信号增高、脑沟变浅,考虑为碘克沙醇引起的对比剂脑病。给予补液、糖皮质激素、甘露醇脱水等对症治疗3 d后,患者症状好转,头部MRI示右侧大脑皮层高信号降低、脑沟恢复正常。
版权归中华医学会所有。
未经授权,不得转载、摘编本刊文章,不得使用本刊的版式设计。
除非特别声明,本刊刊出的所有文章不代表中华医学会和本刊编委会的观点。
患者男,71岁,因头晕4个月,于2020年6月12日收入我院神经内科。患者2020年2月9日曾因头晕就诊于我院神经内科,头颈部CT血管造影术检查示右侧颈总动脉及颈内动脉起始处重度狭窄,给予阿司匹林肠溶片100 mg口服、1次/d和阿托伐他汀钙20 mg口服、1次/d,头晕逐渐好转,为进一步诊治入院。患者既往有气短症状4年,未诊治;否认高血压病、糖尿病、心脏病、脑卒中、精神神经系统疾病史。自述曾因静脉滴注青霉素出现全身皮疹。
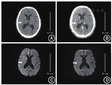
入院体检:体温36.2 ℃,心率68次/min,呼吸22次/min,血压129/65 mmHg(1 mmHg=0.133 kPa)。神志清楚,言语流利;双侧瞳孔等大等圆,对光反射灵敏;双肺呼吸音清,未闻及干湿性啰音;心律齐;腹平软,无压痛、反跳痛及肌紧张;四肢肌力、肌张力正常;双侧指鼻试验及跟膝胫试验稳准,双侧巴氏征阴性,闭目难立征阴性。实验室检查:血、尿、便常规,凝血功能,肝、肾功能,心肌酶,甲状腺功能等均未见异常,同型半胱氨酸21.8 μmol/L(参考值:4.0~15.4 μmol/L)。头部CT示右侧大脑皮层未见明显异常(图1A)。入院诊断:右侧颈总动脉与颈内动脉起始处重度狭窄。入院当日予阿司匹林肠溶片100 mg口服、1次/d,硫酸氯吡格雷75 mg口服、1次/d,阿托伐他汀钙20 mg口服、1次/d,吡拉西坦氯化钠注射液250 ml静脉滴注、2次/d。入院第3天(6月14日)13:00,患者在局麻下接受主动脉弓造影+全脑动脉造影+右侧颈内动脉支架置入术,对比剂为碘克沙醇;13:30,采用高压泵经右股动脉分10次注入未加温的碘克沙醇注射液共150 ml,15:30手术结束。患者术后意识清楚,神经系统查体无阳性体征。术毕查头部CT:右侧大脑皮层密度增高、脑沟内见高密度影(图1B),考虑对比剂滞留。术后10 h(6月15日1:45),患者出现发热,体温38.4 ℃,给予注射用萘普生钠275 mg静脉滴注退热治疗,体温未见明显下降,此后患者出现嗜睡,同时出现意识障碍、失语、饮水呛咳。急查体:不完全运动性失语,双侧咽反射迟钝,伸舌明显左偏,左侧肢体上下肢肌力Ⅱ级,肌张力减低,左侧巴氏征阳性,右侧肢体活动自如,右侧巴氏征阴性。美国国立卫生研究院卒中量表评分为13分(意识水平:1分,意识水平提问:2分,面瘫:2分,上肢运动:3分,下肢运动:3分,言语障碍:2分)。查头部磁共振成像(magnetic resonance imaging,MRI)示右侧大脑皮层信号增高,脑沟变浅(图1C)。考虑为对比剂脑病(contrast-induced encephalopathy,CIE)。立即给予充分水化,注射用甲泼尼龙琥珀酸钠80 mg静脉滴注、1次/d,甘露醇注射液125 ml静脉滴注、2次/d,左乙拉西坦0.25 mg口服、2次/d治疗。术后第2天(6月16日),患者体温恢复正常,言语不利情况好转,可简单表达,左侧肢体无力症状减轻;当日17:34,患者出现癫痫发作性抽搐1次,发作时双眼向左侧凝视,牙关紧闭,双上肢抖动,双下肢紧绷,持续约3 min后自行缓解;立即予丙戊酸钠0.2 g口服、2次/d对症治疗;术后第3天(6月17日),患者意识清楚,言语流利,左侧肢体无力较前好转,可自行活动,无饮水呛咳,无发热及抽搐;术后第5天(6月19日),患者症状完全缓解。复查头部MRI示右侧大脑皮层高信号降低,脑沟恢复正常(图1D)。患者住院治疗10 d后上述症状完全缓解,病情好转出院。出院后1、3、6个月回访,患者无不适主诉。


本例患者既往无脑卒中和神经系统疾病等病史,入院时神志清楚,神经系统检查无阳性体征;行主动脉弓造影+全脑动脉造影+右侧颈内动脉支架置入术前头部CT示右侧大脑皮层未见明显异常;术后10 h出现发热、言语不利、肌张力下降、抽搐等症状,头部MRI示右侧大脑皮层信号增高,脑沟变浅。考虑为对比剂所致CIE。给予糖皮质激素、甘露醇脱水治疗3 d后神经系统症状好转。采用Naranjo不良反应评分标准[1]对患者CIE与碘克沙醇关系进行评分的结果为8分,说明患者的CIE很可能为碘克沙醇所致。
CIE是血管内使用对比剂引起的神经系统功能短暂、可逆性的异常反应,临床表现包括可逆性局灶性神经功能缺损(如偏瘫、偏盲、皮质盲性、失语和帕金森病等)、意识模糊、癫痫性发作和昏迷等,一般在使用对比剂后2~12 h出现,24~72 h后消失,发病率约0.06%(24/3 960)[2];预后通常良好,CT可见局部皮质和/或皮质下密度增高以及蛛网膜下腔高密度影[3]。
CIE的发病机制可能与以下两方面有关:(1)与对比剂的物理性质(如渗透性、黏度)有关。对比剂渗透至中枢神经系统,可破坏血-脑屏障[4],使颅内压升高并降低神经细胞的防御功能,影响中枢神经系统功能,与脑水肿的发生有关[5];对比剂可增加血液黏度和脑血管血流阻力,使血液流速减慢,影响脑微循环灌注[6]。Smedby[7]比较7种黏度不同碘对比剂对血液黏度影响的结果显示,碘克沙醇对血液黏度的增加作用最为显著。碘造影剂黏度与温度有关,温度越低,黏度越高,滞留在血管内的时间越长,对血管内皮细胞损伤越大[6]。周鹏等[8]报道,对比剂温度过低易诱发微血管痉挛。本例患者使用的碘克沙醇未进行加热,可能与CIE的发生有关。(2)与对比剂本身的毒性作用有关。沈莉等[9]的实验结果显示,不同浓度的碘克沙醇对体外血管内皮细胞均有抑制作用,可引起细胞凋亡。
中华医学会放射学分会对比剂安全使用工作组发布的《碘对比剂使用指南(第2版)》[10]指出,使用碘克沙醇前应将其加热至37.0 ℃,在满足成像条件前提下,应使用最小剂量,避免短期内重复使用,如有必要,间隔时间应>14 d,在使用碘对比剂前4 h至使用后24 h内,给予患者充分水化可降低发生对比剂所致不良反应的风险。
本例提示,使用碘克沙醇后的患者如出现发热、嗜睡、言语不利、肌张力下降、抽搐等症状时,应警惕CIE的发生,一旦发生CIE,应及时给予水化和糖皮质激素等对症治疗。
所有作者均声明不存在利益冲突





















