
1例62岁女性骨质疏松患者口服阿仑膦酸钠70 mg、1次/周(早餐前30 min饮足量水顿服,服用时及服用后均保持立位)。用药3次后出现吞咽时胸骨后刺痛,偶有反酸及上腹部隐痛。胃镜检查示食管距门齿20~37 cm处可见多发浅溃疡,表面覆黄白苔。考虑为食管炎,可能与阿仑膦酸钠有关。停用该药,给予抑酸、修复黏膜和适当补液治疗,并予全流食。2 d后胸骨后刺痛减轻;7 d后胸骨后刺痛较前明显减轻,反酸及上腹部隐痛消失;1个月后吞咽时胸骨后刺痛消失。
版权归中华医学会所有。
未经授权,不得转载、摘编本刊文章,不得使用本刊的版式设计。
除非特别声明,本刊刊出的所有文章不代表中华医学会和本刊编委会的观点。
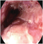
患者女,62岁,因吞咽时胸痛5 d,于2022年2月10日收入我院胃肠内科及消化内镜中心。患者5 d前出现吞咽时胸骨后刺痛,偶有反酸和上腹部隐痛,无放射痛、腹胀、恶心和呕吐。2 d前至我科门诊就诊,心电图未见异常,胃镜检查结果示食管距门齿20~37 cm处可见多处糜烂和多发浅溃疡,表面覆黄白苔,管腔通畅,贲门黏膜充血、色红,胃体黏膜光滑呈橘红色,液体量中等,胃角形态正常,胃窦黏膜局限性充血、色红,幽门变形,十二指肠球部及球后未见异常(图1)。取食管组织送病理检查。门诊诊断:食管溃疡,慢性非萎缩性胃炎伴胆汁反流。为明确病因收入院。患者否认口腔溃疡、肺结核、食管疾病等病史,否认药物、食物过敏史。


入院体检:体温36.5 ℃,脉搏70次/min,呼吸14次/min,血压115/73 mmHg(1 mmHg=0.133 kPa)。神清语明,心、肺、腹部查体均未见异常。入院详细追问患者病史,患者诉3周前因腰痛就诊于我院骨科,诊断为骨质疏松,予阿仑膦酸钠70 mg口服、1次/周,共用药3次,每次均在早餐前30 min饮足量水顿服,服用时及服用后均保持立位。考虑食管溃疡可能与阿仑膦酸钠有关,嘱患者停用该药,给予奥美拉唑40 mg静脉滴注、1次/d,康复新液10 ml口服、3次/d,全流质饮食并适当补液。入院第2天,继续上述治疗,患者吞咽时胸痛减轻;实验室检查示单核细胞计数0.8×109/L,单核细胞0.12; C反应蛋白8.28 mg/L(参考值:<6.00 mg/L),血巨细胞病毒及EB病毒DNA<最低检测值,疱疹病毒抗体、结核抗体、真菌D-葡聚糖、抗核抗体、血管炎相关检查等均未见异常。入院第3天全腹部CT示双侧髂骨、坐骨、耻骨及部分椎体内可见多发点状高密度钙化影。结合患者用药史、实验室检查、胃镜及CT影像学检查结果,可除外胃食管反流病、食管克罗恩病、白塞病、食管结核及感染性疾病等所致的食管溃疡,诊断为药物性食管炎,考虑与阿仑膦酸钠有关。继续予抑酸、保护黏膜等治疗。入院第7天,食管组织病理检测结果示鳞状上皮变性,上皮组织可见大量急、慢性炎细胞浸润及少量多核巨细胞;免疫组织化学染色提示存在炎症反应。患者吞咽时胸骨后刺痛较前明显减轻,反酸及上腹部隐痛消失,准予出院。出院1个月后电话随访得知患者吞咽时胸骨后刺痛消失,但未复查胃镜。
本例患者为老年女性,既往无食管疾病史,为治疗骨质疏松口服阿仑膦酸钠70 mg、1次/周,共服用3次。3周后患者出现吞咽食物时胸骨后刺痛,胃镜检查示食管中下段多发浅溃疡。诊断为药物性食管炎,考虑与阿仑膦酸钠有关。停用该药,给予抑酸及修复黏膜治疗,7 d后胸骨后刺痛较前明显减轻,反酸及上腹部隐痛消失。出院1个月后电话随访,患者诉吞咽时胸骨后刺痛消失。采用诺氏不良反应因果关系评估量表[1]评分为7分,提示食管炎很可能与阿仑膦酸钠有关。
阿仑膦酸钠是首个被美国食品药品管理局批准用于预防骨质疏松症的非激素类药物,主要用于治疗绝经后女性骨质疏松症及Paget′s病[2],常见不良反应包括腹痛、恶心、呕吐、吞咽困难、肌肉骨骼疼痛、头晕等,可致食管炎、食管溃疡,罕见食管狭窄或穿孔[3]。该药致食管炎的发病机制可能为食管黏膜长期接触药物,药物溶解时产生高浓度腐蚀性物质,导致黏膜损伤。Abraham等[4]对阿仑膦酸钠致食管炎患者的溃疡组织进行活检,结果显示10例患者中有6例可见透明、结晶外观的异物,这些物质与炎性渗出物混合,提示药物与黏膜接触时间延长。Ribeiro等[5]研究发现,阿仑膦酸钠致食管炎患者的溃疡组织活检时发现的结晶异物为药物碎屑,推测阿仑膦酸盐引起的食管黏膜损伤可能与黏膜组织与药物长时间接触有关。Abraham等[4]与Ribeiro等[5]均报道食管溃疡部位病理检查有肉芽组织和炎性渗出物。Gomez等[6]报道,食管蠕动减弱可能会增加药物潴留的风险,增加黏膜损伤发生率。动物实验表明,食道上皮环境pH>3.5时,阿仑膦酸盐以单钠盐形式存在;当pH<2时,阿仑膦酸盐以游离酸的形式存在,游离酸对黏膜的刺激性更大[7]。本例患者偶有反酸的症状,虽然胃镜检查结果示食管下段黏膜正常,但不排除反酸导致或加重阿仑膦酸钠致食管损伤的可能性。Dağ等[8]报道药物性食管炎患者以老年女性多见,有基础食管疾病或不恰当用药者更易发生,临床表现以吞咽时胸骨后疼痛及吞咽困难为主,多在服药后2 h至3 d内出现。Kim等[9]研究了药物性食管炎患者内窥镜检查的特征,发现除可见溃疡、糜烂、溃疡伴出血外,还可见嵌顿药碎片及狭窄等表现,多发生于食管中段。对于药物性食管炎,一经确诊应立即停用可疑药物,给予消化道黏膜保护剂及抑酸剂[10],病情严重进食少或无法进食者,应适当补液,维持水、电解质代谢和酸碱平衡。本例提示,对于口服阿仑膦酸钠的患者,要警惕发生药物性食管炎的可能,一旦发生,须立即停药并给予积极治疗,避免发生严重不良事件。
所有作者均声明不存在利益冲突





















