
2例患者(例1女,49岁;例2女,51岁)均因睡眠不佳自行口服安神补脑液10 ml、2次/d。2例患者均无合并用药。例1和例2分别在服用安神补脑液7和10 d后出现乏力、纳差,实验室检查示丙氨酸转氨酶(ALT)、天冬氨酸转氨酶(AST)、碱性磷酸酶(ALP)分别为1 147、1 271、215 U/L和805、333、227 U/L。停用安神补脑液并予保肝治疗7 d后,2例患者乏力、纳差等症状得到改善,ALT、AST、ALP分别降至222、396、122 U/L和85、23、129 U/L。例1再次服用安神补脑液,2 d后出现上腹部不适伴呕吐,ALT 409 U/L、AST 339 U/L;停用该药并给予保肝治疗近4个月后,ALT 32 U/L、AST 22 U/L,ALP 89 U/L。例2未再服用该药,出院138天复查,ALT 39 U/L、AST 28 U/L、ALP 130 U/L。
版权归中华医学会所有。
未经授权,不得转载、摘编本刊文章,不得使用本刊的版式设计。
除非特别声明,本刊刊出的所有文章不代表中华医学会和本刊编委会的观点。
例1女,49岁,因反复纳差、乏力伴呕吐3个月余,于2021年10月28日收住我院感染科。3个月前,患者因睡眠欠佳,自行口服安神补脑液10 ml、2次/d,7 d后出现纳差、厌油、呕吐,伴头痛,遂停用该药,至外院就诊。实验室检查示丙氨酸转氨酶(alanine aminotransferase,ALT)1 147 U/L,天冬氨酸转氨酶(aspartate aminotransferase,AST)1 271 U/L,碱性磷酸酶(alkaline phosphatase,ALP)215 U/L,予多烯磷脂酰胆碱注射液930 mg静脉滴注、1次/d,异甘草酸镁注射液150 mg静脉滴注、1次/d。1周后复查肝功能,ALT 222 U/L,AST 396 U/L,ALP 122 U/L。1个月前,患者再次自行服用安神补脑液,2 d后出现上腹部不适伴呕吐,患者自行停用安神补脑液,并至外院门诊就诊,查肝功能示ALT 409 U/L、AST 339 U/L,EB病毒DNA、巨细胞病毒DNA、自身抗体、甲型肝炎抗体、乙型肝炎表面抗原、乙型肝炎表面抗体、乙型肝炎e抗原、乙型肝炎e抗体、乙型肝炎核心抗体、丙型肝炎抗体、IgG4、铜蓝蛋白等均无明显异常,予多烯磷脂酰胆碱胶囊456 mg口服、3次/d,甘草酸二铵肠溶胶囊150 mg口服、3次/d,奥美拉唑肠溶胶囊20 mg口服、1次/d。治疗26 d后复查肝功能,ALT 231 U/L、AST 180 U/L。2 d后为进一步诊治至我院肝病门诊就诊。患者有慢性胃炎病史十余年,未治疗,否认传染病史和其他慢性疾病史,否认食物及药物过敏史。
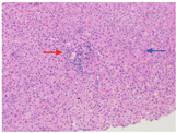
入院体检:体温36.8 ℃,脉搏98次/min,呼吸18次/min,血压108/80 mmHg(1 mmHg=0.133 kPa)。皮肤及巩膜未见明显黄染,未见肝掌、蜘蛛痣;两肺呼吸音清;心率98次/min,律齐,各瓣膜区心音正常,未闻及病理性杂音;腹软,腹壁静脉无曲张,全腹无压痛、反跳痛,未扪及肿块,肝脾未触及,肝浊音界正常,肝区无叩击痛,无移动性浊音。腹部超声检查示肝内高回声结节,肝血管瘤可能。实验室检查:ALT 169 U/L,AST 107 U/L,ALP 149 U/L,总胆红素(total bilirubin,TBil)9.1 μmol/L。考虑为药物性肝损伤(drug-induced liver injury,DILI),可能与安神补脑液有关。入院当日予复方甘草酸苷注射液100 ml静脉滴注、1次/d,注射用还原型谷胱甘肽2.4 g静脉滴注、1次/d,水飞蓟素胶囊140 mg口服、3次/d。入院第6天在彩色多普勒超声引导下行肝脏穿刺活检术。11月6日复查肝功能,ALT 83 U/L,AST 64 U/L,ALP 115 U/L,TBil 7.2 μmol/L。11月7日肝穿刺活检组织病理学检查回报:肝细胞轻度水肿及胆汁淤积,肝小叶、汇管区、中央静脉轻度炎性细胞浸润;肝小叶部分区域可见点状坏死,肝界板轻度炎症;未见显著脂肪变性及小胆管退变。病理诊断:中度肝损伤(F0,G2-3,S0-1),药物引起可能性大。患者肝组织穿刺病理标本苏木精-伊红(hematoxylin-eosin,HE)染色见图1。停用保肝药物,患者出院。出院后第75天复查肝功能,ALT 32 U/L、AST 22 U/L、ALP 89 U/L。


例2女,51岁,因厌油、纳差10 d,于2020年4月22日收住我院感染科。患者3周前因睡眠欠佳,自行口服安神补脑液10 ml、2次/d,约10 d后出现纳差、厌油腻食物,遂停用该药。2 d前至我院肝炎门诊就诊,实验室检查示ALT 805 U/L,AST 333 U/L,ALP 227 U/L,TBil 10.8 μmol/L;乙肝五项检查结果示乙肝表面抗体定量14.73 U/L,其余均阴性;丙型肝炎、戊型肝炎抗体阴性;自身抗体未见异常。否认传染病史和其他慢性疾病史,否认吸烟史、饮酒史,既往对左氧氟沙星过敏。
入院体检:体温36.5 ℃,脉搏85次/min,呼吸19次/min,血压127/67 mmHg。皮肤及巩膜未见黄染,未见肝掌、蜘蛛痣;两肺呼吸音清,未闻及干湿性啰音;心率85次/min,律齐,各瓣膜区心音正常,未闻及病理性杂音;腹平软,全腹无压痛、反跳痛,未扪及肿块,肝胆脾肋下未及,肝浊音界正常,肝区无叩击痛,无移动性浊音。腹部超声检查未见异常。实验室检查:ALT 311 U/L,AST 73 U/L,ALP 169 U/L,TBil 8.8 μmol/L。考虑为安神补脑液相关肝损伤。入院当日予异甘草酸镁注射液150 mg静脉滴注、1次/d,注射用还原型谷胱甘肽1.8 g静脉滴注、1次/d,水飞蓟素胶囊140 mg口服、3次/d。入院第7天复查肝功能,ALT 85 U/L,AST 23 U/L,ALP 139 U/L,TBil 7.1 μmol/L。入院第9天,停止保肝治疗,患者出院。出院后138 d(2020年9月15日)于当地医院复查肝功能,ALT 39 U/L、AST 28 U/L、ALP 130 U/L、TBil 7.4 μmol/L。
2例患者均因睡眠欠佳自行服用安神补脑液10 ml、2次/d,分别在7、10 d后出现纳差、厌油,分别于第18、19天就诊发现肝功能异常,ALT分别为1 147和805 U/L,AST分别为1 271和333 U/L(均>5倍参考值上限),ALP分别为215和227 U/L,胆红素正常。2例患者均无合并用药,肝功能异常与服用安神补脑液有时间关联,均可除外病毒、免疫、酒精、遗传代谢、胆管等其他常见的可导致肝损伤的因素;停用安神补脑液并予保肝治疗7 d后,2例患者ALT分别降至222和85 U/L,AST分别降至396和23 U/L,ALP分别降至122和129 U/L。例1再次服用安神补脑液后转氨酶再次升高,停用该药并接受保肝治疗后肝酶恢复至参考值范围。采用诺氏不良反应因果关系评估量表[1]对2例患者服用安神补脑液与出现肝损伤的因果关系进行评分,例1为10分(确定),例2为8分(很可能)。采用药物性肝损伤Roussel Uclaf因果关系评估量表(Roussel Uclaf Causality Assessment Method,RUCAM)[2]对2例患者进行评估,例1为11分(高度相关),例2为9分(高度相关)。根据我国《药物性肝损伤诊治指南》[2],2例患者ALT均≥5倍参考值上限,且R≥5,考虑为肝细胞损伤型;TBil<2.5倍参考值上限,DILI严重程度为1级(轻度肝损伤)。
安神补脑液是常用的非处方中成药,组方包括鹿茸、制何首乌、淫羊藿、干姜、甘草、大枣、维生素B1,具有生精髓、益气养血、强脑安神的作用,临床用于治疗失眠症,可改善睡眠质量[3,4]。安神补脑液说明书不良反应项下记载该药可导致肝功能异常,检索中国知网和万方数据库截至2022年3月收录的文献,未见安神补脑液致DILI的报道。安神补脑液组分中的制何首乌有明确的肝毒性,被中国药物性肝损伤专业网HepaTox网站(http://www.hepatox.org)收录。《药物性肝损伤诊治指南》[2]指出,与肝损伤相关的传统中药包括何首乌和土三七。何首乌所含蒽醌类和二苯乙烯类化合物可能是其诱发肝毒性的物质基础,通过影响氧化磷酸化、三羧酸循环和胆汁酸排泄等途径导致肝毒性[5]。另外,安神补脑液适用于肾精不足、气血两亏所致的头晕、乏力、健忘和失眠。《中成药临床应用指导原则》[6]指出,在医疗工作中,临床医师应遵循中医基础理论,根据患者实际情况,选用适宜的药物,辨证辨病施治。违背中医辨证论治、自行用药也是中药及其相关制剂不良反应发生的风险因素[7]。
本文提示,安神补脑液可致肝损伤,其组分中的制何首乌可能是该药肝毒性的物质基础,临床医师和药师在临床实践中应遵循中医辨证论治原则,加强对中药制剂不良反应的监测,并对患者进行安全用药的宣传教育。
所有作者均声明不存在利益冲突





















