
1例31岁女性患者无意中发现右侧臀部皮下有胡豆大小的包块,按压微痛。臀部超声检查示右侧臀部皮下脂肪层多个大小不等的囊性结节。患者行右侧臀部包块切除术,根据术后病理及病史,诊断为异物肉芽肿。5年前患者曾因先兆流产予以双侧臀部肌内注射黄体酮(10~15 mg、1次/d)3个月,之后臀部未再注射过其他药物。因此考虑臀部异物肉芽肿与该部位注射黄体酮有关。2个月后患者再次行左侧臀部臀大肌下软组织肿物扩大切除术,术后病理结果与第1次相同。
版权归中华医学会所有。
未经授权,不得转载、摘编本刊文章,不得使用本刊的版式设计。
除非特别声明,本刊刊出的所有文章不代表中华医学会和本刊编委会的观点。
患者女,31岁,因发现右侧臀部皮下包块伴压痛3个月,于2021年10月20日收入我院甲状腺乳腺外科。3个月前患者无意中触及右侧臀部胡豆大小的皮下包块,重按有微痛,近日自觉包块逐渐增大,不伴发热,到我院就诊后以右侧臀部肿物原因待查收入院。患者已婚,月经量正常,月经周期28 d,孕2产2,均为剖宫产;2年前因发现子宫内膜息肉行宫腔镜子宫内膜息肉切除术2次。无高血压病、糖尿病、心脏病等病史,无外伤史,无食物及药物过敏史,无吸烟、饮酒嗜好。
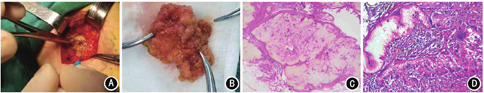
入院体检:体温36.2 ℃,脉搏84次/min,呼吸20次/min,血压108/77 mmHg(1 mmHg=0.133 kPa)。心、肺及腹部体格检查未见异常。专科检查见右侧臀部可触及2个皮下结节,大小分别为1.8 cm×1.5 cm和1.2 cm×1.2 cm,皮肤表面无红肿,质地稍硬,边界不清,按压有微痛;左侧臀部有2个较小的皮下结节,约黄豆大小,余未见异常。实验室检查:血常规、凝血功能、肝功能、肾功能及肿瘤标志物检查结果均正常。心电图、胸部CT检查无异常;右侧臀部超声检查皮下脂肪层可探及多个大小不等的囊性结节,周边脂肪回声稍增强,较大结节约1.5 cm×1.1 cm,彩色多普勒血流图示其内未见明显血流信号,考虑可能为局限性脂肪坏死或脂膜炎。排除手术禁忌证后,于入院次日10:40在全身麻醉下行右侧臀部臀大肌下肿物切除术+右侧臀大肌筋膜组织瓣成形术+任意皮瓣成形术。术中见右侧臀部有数枚肿块,最大者为1.5 cm×1.0 cm,边界不清、质软,肿物位置较深,与臀大肌筋膜组织瓣粘连紧密,脂肪组织及纤维间隔中散在大小不等的黄色黏腻油性物质(图1A、B)。术中冰冻病理检查考虑良性病变,切除肿物送检。肿物组织病理学检查回报:脂肪组织内纤维组织增生,包绕无结构淡黄色物质,周围可见明显多核巨细胞反应,较多淋巴细胞浸润及片状凝固性坏死,符合异物肉芽肿的病理改变[1](图1C、D)。术后临床药师追问病史,患者自诉5年前怀孕初期,因阴道流血,诊断为先兆流产,每天予以双侧臀部交替肌内注射黄体酮10~15 mg共计3个月。注射药物期间及用药后未出现不良反应,注射部位未再注射过其他药物,也未受过外伤,根据病理结果结合患者病史,诊断为异物肉芽肿。考虑患者臀部异物肉芽肿与该部位注射黄体酮有关。患者术后恢复良好,入院7 d后出院。


患者出院后自觉左侧臀部皮下结节逐渐增大,2022年1月9日再次入院复查右侧包块切除术后恢复情况并计划行左侧臀部包块手术。右侧臀部超声检查示手术部位皮下周围见数个低回声结节,最大者约2.0 cm×0.7 cm,边界欠清,形态欠规则;左侧臀部皮下软组织层内探及数个低回声结节,较大者约0.9 cm×0.5 cm,距皮肤表面约0.3 cm,边界清楚,形态欠规则,彩色多普勒血流图示未见明显血流信号。根据第1次入院病理结果,结合病史,考虑左侧臀部皮下结节仍然为注射黄体酮后引起异物肉芽肿,右侧异物肉芽肿术后残存。告知患者肉芽肿手术不作为首选,可选用糖皮质激素局部注射。患者仍然决定行左侧臀部皮下包块切除术,入院次日患者行左侧臀部臀大肌下软组织肿物扩大切除术,术后病理结果与前次相同。
异物肉芽肿是由非机体组织进入人体,巨噬细胞不能完全吞噬,刺激机体组织发生肉芽肿性炎症反应所致[2,3]。异物肉芽肿属于非过敏性慢性炎症反应,其组织病理学主要表现为多核巨细胞聚集,可形成纤维囊包裹异物,根据病理学及病史即可诊断[2,3]。本例患者双侧臀部包块切除送检的病理结果符合异物肉芽肿的病理改变,结合异物进入机体的病史可诊断[1,4]。引起异物肉芽肿的异物甚多,包括金属碎片,非金属矿石、玻璃、植物性淀粉、化纤、棉丝物质,寄生性幼虫、真菌、物理性爆炸粉尘,难吸收的油质药物或刺激性强烈化学药剂等均可引起机体产生炎性肉芽肿[1,2,3,4]。本例患者5年前双侧臀部肌内注射黄体酮3个月,之后未再注射过其他药物,注射部位也未受过外伤,本次出现结节的部位与注射黄体酮部位一致,根据国家《药品不良反应报告和监测工作手册》[5]因果关系评价标准,该患者臀部异物肉芽肿可能与局部注射黄体酮有关。
查阅黄体酮注射液说明书,可导致注射部位皮疹、瘙痒、疼痛、刺激、红肿、局部硬结,严重者可发生局部无菌脓肿,也有人工性脂膜炎的病例报告,但无导致异物肉芽肿的记载。查阅国内外文献,检索到4例黄体酮注射液导致异物肉芽肿的病例报告。王颖等[6]报道1例31岁女性因妊娠初期低孕酮,臀部注射黄体酮注射液40 d(剂量不明),5年后就诊切除臀部异物肉芽肿。张帆等[7]报道2例均为34岁的女性患者,均因臀部结节伴破溃入院治疗,2例患者分别在5和6年前因保胎于臀部皮下注射黄体酮,给予手术切除治疗,经组织病理诊断为异物肉芽肿。Li等[8]报道1例45岁女性为预防流产,双侧臀部肌内注射黄体酮注射液(100 mg、2次/d)6周,5年后就诊切除腰部及臀部硬化性脂肪异物肉芽肿。4例黄体酮相关异物肉芽肿均为我国患者,注射黄体酮注射液均用于预防流产或早产。黄体酮注射液为油剂型,辅料为注射用油,部分厂家标明为大豆油,也有部分厂家药品说明书注明辅料含有苯甲醇。植物油、矿物油、石蜡、凡士林、软膏等油性物质有致注射部位肉芽肿的报道[9,10]。苯甲醇反复臀部肌内注射可引起臀肌挛缩,2005年国家药品监督管理局发布通知,禁止使用以苯甲醇作为溶媒的药物用于儿童肌内注射[11]。但未查找到苯甲醇肌内注射导致肉芽肿的报道。黄体酮注射液半衰期短,需要每日注射,易导致注射部位疼痛和硬结等不良反应,我国《孕激素维持妊娠与黄体支持临床实践指南》[12]推荐先兆流产患者使用孕激素,以降低流产率;不同孕激素类型中,因口服孕激素在降低流产率及提高活产率方面表现佳,优先推荐先兆流产患者口服用药。我国《早产临床诊断与治疗指南(2014)》[13]推荐有流产/早产史的孕妇预防早产使用特殊类型的孕激素,包括2种阴道制剂(微粒化孕酮胶囊和阴道孕酮凝胶)和17α羟已酸孕酮酯(每周注射制剂)。但我国黄体酮注射液仍广泛用于预防流产或早产。
异物肉芽肿的治疗方式包括局部治疗、全身治疗及手术治疗[1]。病灶内封闭注射糖皮质激素为主要的治疗选择,一般建议3~4周注射1次,2~5次为1个疗程,但糖皮质激素起始用量尚存在争议[1,14];也可尝试曲安奈德(20 mg/ml,1次/2周)及干扰素α-2b(0.5 MU/cm2,每周2次)联合局部封闭注射[14];也有使用抗肿瘤药物博来霉素[15]、5-氟尿嘧啶[16]病灶内注射治疗肉芽肿的报道。全身给予糖皮质激素用于治疗复发性肉芽肿,可口服泼尼松片,起始剂量和维持剂量分别为30和60 mg/d,以防止复发[17]。肉芽肿可有侵袭性,与周围组织边界不清,手术不作为首选,仅在保守治疗无效的情况下选择手术治疗[1]。本例患者右侧臀部包块术后复查显示手术部位皮下仍见数个低回声结节,考虑第1次手术皮下结节未切除完全。
本例提示,局部注射黄体酮有致异物肉芽肿的风险,预防流产或早产应按照我国相关指南,使用口服或阴道孕激素制剂,尽量避免局部注射黄体酮。
所有作者均声明不存在利益冲突





















