
版权归中华医学会所有。
未经授权,不得转载、摘编本刊文章,不得使用本刊的版式设计。
除非特别声明,本刊刊出的所有文章不代表中华医学会和本刊编委会的观点。
鼻赘(肥大性酒渣鼻Rhinophyma)是酒渣鼻的晚期病变,主要为皮脂腺慢性炎性异常增生的结果。2016年9月我们对1例巨大鼻赘患者行鼻赘切除加中厚植皮治疗,效果满意。
患者女,62岁,酒渣鼻出现鼻背部肿物30余年,因近5年肿物增大并影响呼吸睡眠就诊。既往有高血压病史2年。专科检查:鼻背和鼻尖部可见一圆锥形赘生肿物,基底覆盖鼻背中部、双鼻翼大部、鼻尖和鼻小柱,大小约5.5 cm × 4.0 cm × 3.5 cm,色暗红,表面凹凸不平,浅表毛细血管扩张,无明显溃烂渗出,无波动感、压痛和毛发生长,坐位时,肿物末端达上唇唇红线、覆盖右鼻孔大部和左鼻孔,并致左鼻孔变小畸形(图1A,图1B,图1C,)。辅助检查:血、尿常规,心肺、肝、肾功能及凝血功能未见明显异常,鼻部CT报告:考虑鼻前部皮肤良性软组织肿物,未侵犯鼻软骨。初步诊断:巨大鼻赘。


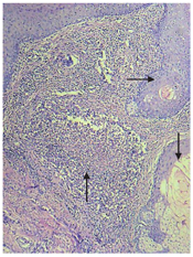
行鼻赘切除加中厚植皮术,从鼻背鼻赘根部设计一弧形切口完全切除鼻赘,术中见少许非脓性皮脂流出,肿物与周围组织分界清,未侵犯脂肪组织及软骨,基底多为瘢痕组织并与鼻软骨粘连,保留薄层瘢痕组织,以免鼻软骨外露,影响移植皮片成活。以左上臂为取皮区,参考鼻部创面大小取4 cm×4 cm全厚皮片,将皮片修薄为中厚皮片,植于鼻部创面,皮缘间断缝合。左上臂供区创面予丝线间断缝合。术中行肿物冰冻切片病理检查,结果显示:真皮胶原纤维组织增生,期间淋巴细胞浸润,并可见具有多核巨细胞的肉芽肿结节;术后肿物HE染色病理报告:间质慢性炎性细胞浸润,小脓肿形成,黏膜鳞状上皮增生,皮脂腺增生(图2)。术后2周,皮片存活良好,呈黄白色,质硬,鼻翼、鼻尖和鼻孔等外形得到修复(图1D,图1E,图1F),鼻腔通气功能明显改善。随访半年,皮片色泽与周围皮肤渐相近,质地变软,局部未见复发等异常。左上臂供皮区瘢痕增生不明显,患者满意。


酒渣鼻的主要病理改变分为4个时期:①表浅的血管网充血期;②真皮上血管扩张期;③表浅血管扩张期;④真皮与皮下组织增生期。而按其性质可分为2型:①丘疹型,鼻下部出现丘疹、红斑、脓疱和毛细血管扩张;②腺体型,皮下结缔组织增生,腺体肥大和血管扩张,血管周围有慢性炎性细胞浸润,鼻部可增大呈多叶状突起[1]。酒渣鼻在亚洲常见于中年男性[1],但白种人中女性多见,而鼻赘患者的男女比例为(12~30)∶1,好发年龄为50~70岁。Laun等[2]曾报道只有少数酒渣鼻患者会进展到鼻赘,其统计的108例酒渣鼻患者中只有15例出现鼻赘,且绝大多数为男性患者。本病例为1例62岁女性患者,且肿块巨大,目前少见相关报道。鼻赘一般不影响鼻腔,本例因外部肿物压迫导致鼻孔变小,妨碍通气,但鼻腔无梗阻。鼻部CT报告显示:考虑鼻前部皮肤良性软组织肿物,未侵犯鼻软骨。与文献报道一致[2]。
鼻赘的治疗取决于病变严重程度或肿物大小,冷冻术、切割术、磨削术通常用于面积较小的病变,具有简单、快速、费用低等优势,但缺点是不同程度地止血困难且无法彻底清除深层病变组织;CO2激光治疗具有出血少和伤口愈合快等优势,缺点是高热的手术切口易导致周围组织瘢痕性挛缩,且费用较高[2,3]。对于鼻赘肿大明显的病变,可考虑手术治疗,包括:削除法、切除(植皮)法和方格划破手术疗法。其中,削除法和方格划破手术疗法适用于肿物大小适中的病变,相比切除法具有损伤较小、恢复较快的优势[1,2,4,5],但肿物较大时效果欠佳。本例患者鼻赘肿物巨大,宜选择切除法进行治疗。术中需注意:①切除鼻赘和皮下组织时将维持正常的鼻外形作为切除量的参考;②术中需保留与鼻软骨粘连的薄层瘢痕组织,以免鼻软骨外露,影响皮片成活;③切除肿块基底部时需保留0.5~1.0 cm正常皮肤组织;④因上臂内侧皮肤松弛,有利于伤口愈合,且术后对活动影响较小,隐蔽美观,故以左上臂为取皮区;⑤鼻赘本身罕见恶性增生,但文献报道15%~30%的鼻赘会伴发恶性肿瘤,大多数为基底细胞癌[6]。考虑到本病例病程较长,肿瘤巨大,术中应行冰冻切片检查,排除恶性病变。





















