
2015年3月收治1例快速消退型先天性血管瘤(rapidly involuting congenital hemangioma, RICH)伴血小板减少(thrombocytopenia, TP)和凝血病(coagulopathy, CP)的新生儿,先后采用血小板输注和栓塞治疗(无水乙醇、聚桂醇)后,患儿血小板及凝血功能很快恢复正常,瘤体明显地消退萎缩,随后行手术切除。患儿在输注1次血小板后其PLT即恢复正常,多次复查凝血功能亦正常。瘤体明显变平、塌陷和萎缩,表面血管影减少、变淡。术后切口愈合良好,无复发,左上肢功能无受限。RICH是一种较少见的脉管肿瘤,临床上可出现TP和CP的并发症,这与新生儿期的Kaposi型血管内皮瘤伴Kasabach-Merritt现象非常类似,由于这两者的治疗方案及预后均有显著差异,需要仔细鉴别。低流量的静脉畸形或静脉淋巴管畸形也可出现消耗性凝血障碍和轻度的血小板减少。
版权归中华医学会所有。
未经授权,不得转载、摘编本刊文章,不得使用本刊的版式设计。
除非特别声明,本刊刊出的所有文章不代表中华医学会和本刊编委会的观点。
快速消退型先天性血管瘤(rapidly-involuting congenital hemangioma, RICH)是先天性血管瘤(congenital hemangioma, CH)中最为常见的一种,它在出生时即已生长完全,在10~14个月龄内快速消退。但在RICH消退之前出现血小板减少(thrombocytopenia, TP)和凝血病(coagulopathy, CP)的情况非常少见,国内尚未见报道,我们于2015年3月收治1例RICH伴TP、CP病例,治疗效果较好。
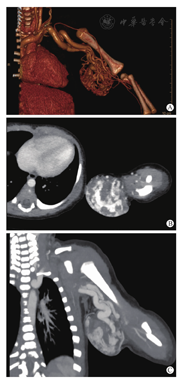
患儿男,44 h,因出生后发现左上肢包块,于2015年3月7日入院。患儿为第1胎第1产,孕39周+6,顺产,家族史无异常,孕晚期产检B超发现左上肢有一血流信号丰富包块。入院检查:左上臂近肘关节处可及一直径约5 cm包块,半球形隆起于皮面,皮肤表面呈淡蓝色,存在较多的血管扩张影,界清、质韧、无触痛反应,未及破溃和搏动感。辅助检查:当地医院查血常规示血小板(PLT)39×109/L[参考范围(100~300)×109/L]。入院后完善检查,血常规:WBC 4.77×109/L,HB 172 g/L,PLT 34×109/L。凝血常规:PT 17.0 s(参考范围10~14 s),APTT 49 s(参考范围25~45 s),Fbg 1.31 g/L(参考范围1.8~4.0 g/L),TT 20.1 s (参考范围12~21 s)。入院当天予血小板10 U输注,第2天复查PLT 327×109/L,行增强CT示左上臂明显强化的瘤体病灶,密度不均匀,CT值约31.4~51.5 HU,增强后包块内部可见多条异常迂曲血管影(图1)。诊断为RICH合并TP、CP。


3月10日对患儿行左上肢包块细针穿刺活检+无水乙醇注射,总量0.6 ml,病理结果示少量碎组织中见皮肤、皮下组织及微量血管瘤样组织(图2,图3)。4月24日及6月17日分别行瘤体内无水乙醇(总量2.0 ml)和聚桂醇(2.0 ml按1∶4制成泡沫剂)注射(图4,图5)。10月27日行左上肢瘤体完整切除术,术前瘤体较首次入院时已消退70%,术中发现瘤体位于皮肤和皮下组织内,深达肌层表面,内含异常增生的血管及纤维组织,无明显包膜,术中出血少(图6)。术后大体标本病理示:真皮层及皮下见大量增生的大小不等小叶状结构,小叶由毛细血管组成,间质有明显的纤维增生,可见形态异常的引流血管(图7)。免疫组化:CD34(+)、CD31(+),GLUT-1(-)、D2-40(-)、Ki-67(约12%+)。






手术切除后2周来院拆线,切口愈合良好(图8)。患儿在输注1次血小板后其PLT即恢复正常,多次复查凝血功能亦正常,在之后的7个月中发现瘤体明显变平、塌陷和萎缩,表面血管影减少、变淡。术后随访1年瘤体无复发,左上肢功能无受限。
1996年Boon等[1]首先提出CH这一分型,并逐步将其细化分为RICH[2]、非快速消退型先天性血管瘤(non-involuting congenital hemangioma, NICH)[3]和部分消退型先天性血管瘤(partially-involuting congenital hemangioma, PICH)[4]。RICH是CH中最为常见的一型,多位于头颈部和四肢近关节处,平均直径在5~6 cm,典型的外观为不可移动的半球形包块、呈紫红色、表面有粗大的毛细血管扩张和苍白的晕环,有时伴有1个中央凹陷、瘢痕或溃疡[2]。但RICH合并TP、CP的病例报道非常少见(表1),早期的学者都将其视为卡梅现象(Kasabach-Merritt phenomenon, KMP)[1,2,5,6]。在2008年Baselga等[7]首次详细报道了7例RICH在出生后1周内出现了TP、CP,但血小板和凝血指标没有明显下降,TP和CP早期均易恢复好转,瘤体也易消退萎缩,这与典型的卡波西样血管内皮瘤(Kaposiform hemangioendothelioma,KHE)伴KMP(KHE-KMP)血小板降低的显著性及顽固性有显著区别,Baselga将这种短暂的、易恢复的TP、CP定义为RICH的一种血液系统并发症,从而避免与KHE-KMP混淆[8]。Andreu-Barasoain等[9]和Rangwala等[10]的报道亦持相似观点。RICH合并TP、CP的原因尚不明确,有学者认为是由于病灶内血流停滞引起了血栓[9],可能是血管内凝血的一种表现[8]。也有学者推测可能与瘤体直径的大小有关,越大的RICH越有可能出现血小板减少、纤维蛋白原下降和D-二聚体上升,但又并不是所有大的RICH都合并TP、CP,目前唯一报道的多病灶RICH病例中也未见出现TP和CP[7,8]。但也可能因诊断RICH时没有常规检测血小板和凝血功能,合并的TP、CP没有被及时发现。由于此类病例在临床上报道极为少见,这对其发生机制的研究带来困难。

RICH合并TP、CP的文献病例报道
Characterisics of previously described cases of RICH associated with TP and CP
RICH合并TP、CP的文献病例报道
Characterisics of previously described cases of RICH associated with TP and CP
| 年代和第一作者 | 例数 | 年龄 | 性别 | 大小(cm) | 部位 | 血小板计数 | 凝血障碍 | 合并症 | 主要治疗 | 病理 | 预后 |
|---|---|---|---|---|---|---|---|---|---|---|---|
| 1996年Boon[1] | 2 | 未描述 | 未描述 | 6×6 | 1例左大腿,1例骶尾部 | 未描述 | 未描述 | 1例合并心力衰竭 | 1例激素、1例干扰素+手术切除 | 未描述 | 好 |
| 1999年Hosono S[5] | 1 | 1 d | 男 | 12×7.4×1.5 | 胸部 | 54×109/L | PT 15.6 s,APTT 50.6 s,Fbg 8.5mg/dl | 心力衰竭 | 激素+经皮导管介入弹簧圈栓塞 | 无 | 血小板在2周左右正常,瘤体减小至9.8 cm×5.5 cm×1.0 cm |
| 2003年Berenguer B[2] | 1 | 14 d | 未描述 | 巨大(未描述) | 未描述 | 30~40 K | 未描述 | 颅内出血 | 无 | 无 | 死亡 |
| 2007年Hsiao CH[6] | 1 | 3 d | 女 | 7×6×3.5 | 头皮 | 107×109/L | PT 16.3 s,APTT 79 s,DD 1.94 ug/ml(正常<0.5μg/ml) | 早期心力衰竭 | 手术切除 | 头皮下大量的血管管腔被纤维化的和黏液样的基质包绕 | 好 |
| 2008年Baselga E[7] | 7 | <1周 | 5男,2女 | 4.1×5.1~11.0×13.0 | 1例头皮,1例胸部,5例四肢 | 5~62×109/L,其中2例<10×109/L | Fbg 0.42~3.00 g/L(正常范围1.5~4.0 g/L),DD 4825~大于20000 ug/L | 3例出现早期心力衰竭,1例出现淤点 | 1例未进行治疗直到6月龄时手术切除,4例口服激素,2例药物栓塞。其中有2例输注1次血小板 | 3例活检(毛细血管小叶间有纤维间隔,其间有大的引流血管),GLUT -1(-) | 所有患儿血小板在>2周时开始升高,凝血病消失 |
| 2013年Andreu-Barasoain M[9] | 1 | 16 d | 男 | 6×6 | 左前臂 | 34×109/L[参考范围(130~450)×109/L] | Fbg正常,DD 3 769ug/L(参考范围0~150 ug/L) | 轻度贫血(Hb 8.7 g/dl,参考范围10.0~18.5 g/dl)瘤体偶尔极少量的出血 | 口服激素1个月 | 无 | 1年后瘤体消退残留瘢痕样皮肤和纤维结节 |
| 2014年Rangwala S[10] | 1 | 14 d | 女 | 7.5×9.3 | 右上臂 | 3×109/L | PT 14.7 s,Fbg 250mg/dl | 室间隔缺损 | 输注1次血小板,口服普萘洛尔和激素 | 无 | 7月龄消退后残留4.5 cm×5.0 cm毛细血管扩张斑块 |
| 本病例 | 1 | 2 d | 男 | 5×5 | 左上臂 | 34×109/L[参考范围(100~300)×109/L] | PT 17.0 s(参考范围10~14 s),APTT 49 s(参考范围25~45 s),Fbg 1.31 g/L(参考范围1.8~4.0g/L) | 无 | 输注1次血小板,药物栓塞和手术切除 | 大量增生的大小不等小叶状结构,间质有明显的纤维增生,GLUT-1(-) | 好 |
注:Hb:血红蛋白; PT:凝血酶原时间;APTT:活化部分凝血酶时间;Fbg:纤维蛋白原;DD:D-二聚体。
RICH合并TP、CP主要和以下疾病相鉴别:①KHE-KMP,KHE本身拥有血管瘤和Kaposi型肉瘤的双重特征,是一种交界性恶性肿瘤[11]。有学者报道约60%的KHE出现在新生儿期,71%的病例出现KMP(PLT<100×109/L),49%的病例PLT<30×109/L,56%的病例出现淤斑、淤点、出血等血小板减少症状[12]。当KHE出现KMP时,常发展迅速,瘤体在原有基础上显著增大,质地变硬,伴有压痛,典型的KMP血小板常低至20×109/L[13]。目前已报道的RICH伴TP、CP病例十分少见,均在新生儿期,且程度要比KMP轻,进展较为缓慢,极少出现血小板减少的症状,尽管也有报道RICH在新生儿期出现严重的出血并威胁生命,但没有合并TP、CP,其严重的出血可能是由于RICH表面的溃疡造成的[14]。在影像学上,RICH和KHE均表现为高度血管化的病灶,但KHE比RICH要表现得更为有侵袭性[15]。KMP目前没有特别有效的治疗方法,且持续时间长,TP、CP难以短期内恢复正常,在输注血小板后会导致病灶部位疼痛加剧和瘤体扩大[16]。而RICH合并TP、CP极易恢复,在输注血小板后PLT能保持稳定,不会出现瘤体增大和血小板的恶性下降[7,10]。②静脉畸形(venous malformations, VM)/静脉淋巴管畸形(venolymphatic malformations, VLM),一些大范围的脉管畸形(VM/VLM)患者,由于病灶内低流量的静脉管腔内血液淤滞形成血栓,这些血栓可诱导凝血活化和凝血因子的消耗,造成局部血管内凝血障碍甚至弥散性血管内凝血,引起出血威胁生命,血栓可在浅表血管内形成静脉石或在深部血管内形成栓塞造成大血管栓塞。与RICH合并的TP、CP相比,此类疾病多缓慢起病,常在大龄儿童中出现,瘤体范围广泛侵犯多个解剖部位,VM的病灶质地柔软,可压缩,而合并有淋巴管畸形的病灶内有充满淋巴液或血液的囊性分隔,且该类型的病灶均是低流量的脉管畸形,其引起的CP相对更加突出甚至持续一生,而TP通常是轻微的减少[(50~70)×109/L],甚至是正常水平[12,17]。③在CH中,除了RICH之外还有NICH、PICH,这3者之间存在非常类似的临床表现和组织学特征,在早期都有高流量特征和微型动静脉瘘,NICH、PICH和RICH一样也会造成心功能不全[18,19]。那么NICH和PICH是否也与RICH一样出现TP和CP呢?目前唯一报道的NICH伴反复血小板降低是1例45岁成年女性患者[20],由于缺乏病理诊断及免疫组化,且其病例的临床特征与典型的NICH[3]表现不符,而更像是大范围的VM/VLM,我们认为其所报道的病例不是真正的NICH,而是一个大范围的VM/VLM反复感染。目前的研究推测NICH和PICH可能分别是RICH在子宫内和出生后停止、消退的一种后期表现类型[2,4,19,21],而目前RICH出现TP和CP的报道均是在新生儿期,故初步认为TP和CP是RICH在开始快速消退之前的并发症[8],所以我们推测NICH合并出现TP和CP的可能性并不大,而PICH有可能出现TP和CP,但很难在早期与RICH相区别[21]。
最终我们这个病例诊断为RICH合并TP、CP,依据:①患儿孕期B超即已发现瘤体存在,瘤体的外观特征和之前广泛报道的RICH相类似[2],在随访过程中发现有明显的萎缩消退。②CT增强显示瘤体广泛地血管化(图1A),强化后密度不均匀(图1B),滋养血管粗大杂乱(图1C),这均与RICH的血管造影特征相符合[22]。③新生儿期内出现的TP、CP极为短暂、轻微且易于恢复,输注血小板后未见血小板报复性下降。④手术切除大体标本病理见大小不等小叶状结构,间质有明显的纤维增生,GLUT-1(-),D2-40(-),这是RICH较为特征性的病理表现[2,21],可以与KHE和VM/VLM相区别[11,12]。
早期穿刺病理结果模棱两可,这提示少量的活检病理可能难以准确诊断RICH,尽管TP、CP快速缓解,由于无法完全除外KHE-KMP,我们随后予栓塞注射治疗,但我们相信这不是促使瘤体早期显著消退和血液指标迅速恢复正常的主要原因,而是RICH出现TP、CP本身的短暂性和易恢复性所致。我们认为通过仔细的鉴别,早期明确RICH合并TP和CP的诊断,能够避免过度治疗。需值得注意的是存在少数RICH合并严重的TP、CP的病例,在Baselga等[7]报道的7例RICH患者中有2例PLT低于10×109/L;Rangwala等[10]报道的1例PLT为3×109/L;Berenguer等[2]报道的1组29例RICH中,有1例患巨大RICH的早产儿出现明确的血小板减少(30~40 K),于2周龄因颅内出血死亡。所以当RICH合并严重的TP、CP时,可以考虑输注血小板并进行监测,如果TP、CP反复出现或难以恢复应进行病理活检。
本文作者与论文刊登的内容无利益关系。
本研究已参考赫尔辛基宣言。





















