
超声心动图是临床筛查肺动脉高压的重要手段。根据三尖瓣反流最大流速或肺动脉瓣反流速度可以估测肺动脉压力;此外,右心室压力负荷过重、室间隔平直、右心室扩大、右心室游离壁运动幅度减低等,是常见的肺动脉高压超声表现。超声心动图可作为肺动脉高压危险分层的重要依据。
版权归中华医学会所有。
未经授权,不得转载、摘编本刊文章,不得使用本刊的版式设计。
除非特别声明,本刊刊出的所有文章不代表中华医学会和本刊编委会的观点。
肺动脉高压(PAH)是多种病因引起的以肺动脉压力和肺血管阻力升高为特点的一组疾病,其诊断标准为海平面静息状态下,肺动脉平均压(MPAP)≥25 mmHg(1 mmHg=0.133 kPa)。右心导管检查是诊断肺动脉高压的金标准,但超声心动图是临床广泛使用的简便、快捷、实时、准确的筛查手段[1,2,3]。根据多普勒超声心动图所测得的肺动脉收缩压(PASP),可将肺动脉高压的严重程度分为轻度(35~49 mmHg)、中度(50~69 mmHg)和重度(≥70 mmHg)。
利用三尖瓣反流的最大流速可以估测右心室收缩压(RVSP),在无右心室流出道梗阻且无心内分流时,右心室收缩压近似于PASP。计算公式如下:
RVSP=PASP=4VTR2+RAP
(VTR三尖瓣反流的最大速度;RAP右心房压力)
如图1所示,多切面观察使取样线尽量平行于反流束,取得三尖瓣反流的最大流速。通常超声估测的PASP高于右心导管所测值,但在不能获得良好的三尖瓣反流频谱或取样线与反流束夹角过大的情况下时,所测反流速度低估PASP。右心房压力(右房压)的估测见图2和表1,根据下腔静脉(IVC)宽度和呼吸变化率来估算[4],其中下腔静脉在吸气时塌陷,吸气塌陷率=(呼气末IVC内径-吸气末IVC内径)/呼气末IVC内径。

右心房压力的估测
右心房压力的估测
| IVC内径(cm) | 吸气塌陷率(%) | 估测的RAP(mmHg) |
|---|---|---|
| ≤2.1 | >50 | 3 |
| ≤2.1 | <50 | 8 |
| >2.1 | >50 | 8 |
| >2.1 | <50 | 15 |
注:IVC下腔静脉;RAP右心房压力;1 mmHg=0.133 kPa


以下情况下利用三尖瓣反流速度估测的PASP不准确:
(1)严重三尖瓣反流,右房压显著增高时;
(2)三尖瓣狭窄或人工三尖瓣;
(3)右心室收缩功能减低;
(4)无三尖瓣反流并不代表没有肺动脉高压。
有研究表明,肺动脉瓣反流舒张早期的峰值压差与MPAP高度相关。在无法获取清晰三尖瓣反流频谱的情况下,此方法尤其适用。取胸骨旁短轴肺动脉长轴切面取得肺动脉瓣反流的连续多普勒(CW)频谱,测量舒张早期肺动脉瓣反流速度(Vearly PR)和舒张末期肺动脉瓣反流速度(Vend PR)(图3),可计算MPAP和肺动脉舒张压(PADP),计算公式如下:


MPAP=4(Vearly PR)2+RAP
PADP=4(Vend PR)2+RAP
(RAP右心房压力)
若先天性心脏病患者存在心内分流,且无左心室及右心室流出道狭窄时,可利用体循环动脉压力和心内分流流速估测肺动脉压力。
当无左心室流出道梗阻时,左心室收缩压=肱动脉收缩压(SBP)。当室间隔缺损存在左向右分流时,左心室收缩压-右心室收缩压(RVSP)=分流压差。故当无右心室流出道梗阻时,PASP=RVSP=SBP-4(VVSD)2(VVSD空间隔缺损处测得的左向右分流速度)。同样,动脉导管未闭为左向右分流时,PASP=SBP-4(VPDA)2(VPDA动脉导管未闭处测得的左向右分流速度);动脉导管未闭为右向左分流时,PASP=SBP+4(VPDA)2。
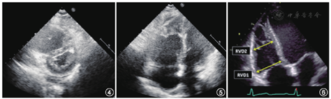
胸骨旁左室短轴切面下左心室呈圆形,当右心室压力负荷过重时,室间隔受压平直,左心室呈现"D"形(图4),"D"形心的出现提示右心室压力负荷过重。严重或长期肺动脉高压时,可出现右心扩大(图5)。一般情况下,右心室应<2/3的左心室,当右心室与左心室大小相当甚至明显大于左心室时,提示右心室扩大。右心室大小的测量取聚焦右心室的心尖四腔心切面(图6),于舒张末期分别测量通过右心室基底部(RVD1)和中部(RVD2)的横径。通常,右心室基底部横径>4.1 cm和右心室中部横径>3.5 cm提示右心室扩大[4]。


慢性肺动脉高压可导致右心室室壁增厚。取舒张末期,当三尖瓣最大开放与右室壁平行时,距三尖瓣环与三尖瓣瓣尖的距离处测量右心室游离壁厚度(图7)[4]。一般>5 mm认为右心室室壁肥厚。需注意除外乳头肌等结构。


大动脉短轴切面肺动脉内径>25 mm,右心室流出道血流频谱提示右心室流出道加速时间<105 ms,可见频谱顿挫现象(图8)。
心尖四腔心切面测右心房横径(>4.4 cm)、右心房面积(>18 cm2)或右心房容积(女性>27 ml/m2或男性>32 ml/m2)增大,下腔静脉增宽(>21 mm),测量方法见前。
右心室收缩功能的一系列指标包括右心室面积变化率、右心室三尖瓣环位移(TAPSE)、三尖瓣环收缩期速度(RV-S′)、右心室心肌做功指数(RV-MPI)、右心室游离壁长轴应变以及三维所测得的右心室射血分数,均可以减低。
急性肺栓塞的直接征象是主肺动脉或左、右肺动脉内见到栓子回声,但直接看到栓子非常少见。肺栓塞临床常见的是间接征象,最典型的表现是右心室压力负荷的增加,超声测得PASP或MPAP升高,可见"D"形心;右心室扩张或正常,右心功能正常或受损。部分患者可见McConnell征,即右心室游离壁心尖段运动正常而右心室游离壁其余部分运动减低。右心室流出道加速时间<60 ms同时PASP<60 mmHg,即60/60征是肺栓塞的相对特异表现。长期慢性肺动脉高压可引起右心房、右心室扩大,右心室室壁肥厚,并最终导致右心室功能的减低。
所有作者均声明不存在利益冲突























