
版权归中华医学会所有。
未经授权,不得转载、摘编本刊文章,不得使用本刊的版式设计。
除非特别声明,本刊刊出的所有文章不代表中华医学会和本刊编委会的观点。
炎性肌纤维母细胞瘤(inflammatory myofibroblastic tumor,IMT),也被称为炎性假瘤(inflammatory pseudotumor,IPT)或浆细胞肉芽肿(plasma cell granuloma,PCG),是以发生在内脏及软组织为主的少见的中间性间叶性肿瘤,可发生于全身各处软组织,易被误诊为恶性肿瘤[1],发生于甲状腺的极为罕见,目前大约有20例甲状腺IMT在英文文献中报道;本文报道1例甲状腺炎性肌纤维母细胞瘤的临床病例并复习国内外文献,回顾性分析其临床特征,提高对甲状腺炎性肌纤维母细胞瘤的认识。
患者男,12岁,主因颈前左侧疼痛性肿物1个月于2013年6月14日就诊于我院。患者于入院前1个月感冒后出现左侧颈前区疼痛,B超示:甲状腺左侧叶实质非均质占位性病变(多考虑甲状腺癌),左侧颈部多发肿大淋巴结,甲状腺右叶未见明显异常。ECT/CT示:甲状腺双叶腺体摄锝功能不良,左叶"冷结节";甲状腺摄碘率:甲状腺摄碘功能减低;建议行手术治疗,患者患病以来无吞咽、呼吸困难,无声音嘶哑及饮水呛咳。
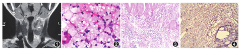
入院后专科检查:声音无嘶哑,气管居中,甲状腺左叶弥漫性增大,约5.5 cm×3.5 cm,质硬,实性,边界不清,活动度差、固定,同周围组织严重粘连,压痛(+),局部皮肤无红肿、破溃,皮温正常;甲状腺右叶未触及明显异常;甲状腺功能实验室检查正常,甲状腺B超:左侧甲状腺内见片状的不规则形不均质低回声区,范围35 mm×19 mm,边界欠清,内可见强回声光点。右甲状腺叶未见明显病变;双侧颈部未见异常淋巴结。超声诊断:左侧甲状腺增大,内部回声减低、分布欠均匀,左侧甲状腺内不均质低回声区,亚急性甲状腺炎声像待排。颈部MRI:左侧甲状腺体积增大,内可见不规则形软组织肿块,与周围正常腺体组织分界不清,T1WI呈不均质稍低信号,T2WI呈不均质稍高信号,其内可见不规则形长T1长T2液化坏死区,增强扫描呈显著不均匀强化,其内坏死区未见强化;诊断:左侧甲状腺多考虑恶性肿瘤并双侧颈部多发肿大淋巴结(图1)。左侧甲状腺肿物细针穿刺细胞学检查可见大量炎性细胞,背景中可见梭形纤维母细胞,未见明显恶性肿瘤细胞(图2)。患者全麻下手术,术中见左侧甲状腺及肿物呈暗红色,肿物弥漫性生长,边界不清,无包膜,同气管、带状肌及胸锁乳突肌严重粘连,同喉返神经、食管略有粘连,下极甲状旁腺无法探及。切除甲状腺左叶、左侧带状肌及部分胸锁乳突肌。术后病理检查:肉眼检查可见4 cm×2.5 cm×1.5 cm灰红色组织,切面见2.5 cm×1.5 cm灰白灰黄色发硬区,质脆。光镜下见肿瘤由梭形纤维细胞、肌纤维母细胞构成,内见大量浆细胞,少量中性粒细胞,淋巴细胞浸润,浸润并包绕甲状腺组织(图3),免疫组织化学检查提示:肿瘤细胞Vimentin(+),肌纤维母细胞SMA为(+),见图4;Desmin(-),ALK(-),CKP(-),P53(-),CD68组织细胞(+)。确诊为甲状腺左叶炎症性肌纤维母细胞肿瘤,符合术前穿刺细胞学诊断。患者切口一期愈合后出院,出院后服用左旋甲状腺素钠替代治疗,随访4年无复发、声音无嘶哑,无手足麻木感。


IMT是由梭形肌纤维母细胞以及浆细胞、淋巴细胞、嗜酸性粒细胞等炎细胞组成的病变,常见于损伤修复和肿瘤的间质反应多种病理状态;由于肌纤维母细胞活跃增生明显,所以很容易被误诊为高度恶性的肉瘤;此病于1939年由Brunn[2]首次报道的肺部一种以梭形细胞增生为主,伴有炎症细胞浸润的肿瘤。1954年Umiker和Iverson[3]认为IMT为炎症后肿瘤,逐渐过渡成为IPT。1991年Meis和Enzinger[4]认为该肿瘤具有潜在恶性。2001年Coffin等[5]通过免疫组化、流式细胞计数和细胞遗传学的协同研究,支持它是一种真性肿瘤;所以WHO(1994)软组织肿瘤分类中将其命名为IMT[6]。
IMT好发于儿童及青少年,主要发生在内脏和软组织,可累及全身各处,最常发生的部位是肺[7],头颈部IMT最常发生在眼眶[8]和鼻窦[9],发生于甲状腺的极为罕见,目前约有20例甲状腺IMT在英文文献中报道,临床研究结果与甲状腺以外的IMT不同,甲状腺IMT好发女性(15/20),平均年龄51岁(18~89岁);无全身症状,仅表现为甲状腺区域质硬、固定、弥漫性肿物伴疼痛,压迫气管及食管出现气短及吞咽不适感,并出现甲状腺功能减退、摄碘功能减低等情况。
IMT的发病机制尚不清楚,多认为是各种过敏、免疫及传染等因素共同作用的结果[10];20例甲状腺IMT病例中有9例合并桥本甲状腺炎,这9例均以甲状腺PCG形式报道,这个发现支持PCG可能诱发自身免疫系统导致机体致病;然而,包括本例在内的4例以甲状腺IMT形式报道的病例中,均未合并桥本甲状腺炎,病理结果主要以梭形纤维组织细胞增殖为主。
甲状腺IMT主要是根据病理组织形态学特点,结合免疫组化Vimentin、SMA、ALK等表达结果进行诊断;甲状腺IMT的主要特点是肌纤维母细胞的增殖,这种特殊的疾病类型不同于其他非肿瘤性或肿瘤性病变,其在组织学表现为梭形细胞的分化、增殖[10];当桥本甲状腺炎、Riedel甲状腺炎等慢性纤维性甲状腺炎发生广泛纤维性变时,需通过临床表现对IMT和甲状腺炎进行鉴别[11]。甲状腺IMT需同伴有结节性筋膜炎样间质的甲状腺乳头状癌进行鉴别,后者梭形间质细胞具有肌纤维母细胞特征,免疫组化中SMA和Vimentin均为(+),但在细胞核中未出现乳头状癌核的特征(毛玻璃样核、核沟及核内包涵体)。
IMT的临床表现被认为是一种炎性反应向交界性肿瘤发展的缓慢过程,具有局部侵袭性生长、复发倾向,治疗以手术联合免疫抑制剂和化疗药物(顺铂、阿霉素和甲氨蝶呤)[12]、放射治疗等治疗。然而,甲状腺IMT的临床表现不同,所有报道的病例均为良性,且没有复发;所以,手术切除是首选的治疗方法,切除范围是尽可能全部切除患侧甲状腺组织,术后给予左旋甲状腺素钠进行替代治疗[13],不需进行免疫抑制及化疗药物、放射等治疗。
综上所述,甲状腺IMT是一种以炎症为背景的由增殖的梭形肌纤维母细胞构成的罕见肿瘤,其病因尚不明确,病理表现比较复杂,超声、CT、MR及穿刺细胞学诊断率低,难度大,术前往往怀疑为甲状腺恶性肿瘤。手术是治疗本病最好的方法[14],结合术中冰冻可制定更加合理的治疗范围;确诊此病有赖于病理学尤其是免疫组织化学进行判断;甲状腺IMT预后良好,以往病例报道中未发现恶变、复发等症状,由于随访之间较短,对其治疗及预后有待进一步研究。





















