
额隐窝及额窦区域的解剖较为复杂,近15年来,对额筛气房和内镜额窦手术分类的研究有力地推动了内镜额窦外科技术的进步。为了更全面反映额筛气房的解剖,促进内镜额窦外科的学术交流和教学,2016年,Wormald等18位专家撰写了《国际额窦解剖分类和内镜额窦手术分类》专家共识,进一步规范了额窦区域的解剖名词和手术分类。本文概括介绍了该共识,并简要回顾了额筛气房和额窦手术分级研究进展,以期促进中国学者对新的额筛气房和内镜额窦手术分级的了解。
版权归中华医学会所有。
未经授权,不得转载、摘编本刊文章,不得使用本刊的版式设计。
除非特别声明,本刊刊出的所有文章不代表中华医学会和本刊编委会的观点。
鼻腔鼻窦解剖是诊疗鼻部疾病的基础,为适应20世纪80年代兴起的鼻内镜外科技术[1],有学者对相关鼻窦解剖学知识以鼻腔外侧壁解剖为中心进行了解剖名词的规范更新[2,3]。经过近20年的发展,Lund等[4]在2014年发表了《鼻腔鼻窦解剖名词欧洲意见书》,其中文版已于2017年在《中国眼耳鼻喉科杂志》连载出版。上述文献均未对额窦区域解剖进行详细描述。
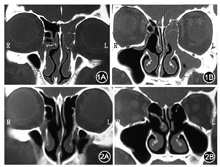
内镜额窦手术是内镜鼻窦手术中较为复杂的手术[5],主要原因有两个:一是该区域的解剖较为复杂,受各类额筛气房的影响,变异较多;二是该区域内有较为重要的解剖结构,如筛前动脉、眼眶和颅底等。21世纪初,随着内镜解剖和CT影像学研究的进展,相关解剖已较为清晰[6,7]。有研究表明,内镜鼻窦手术后额筛气房开放不充分是额窦炎症迁延的独立危险因素,从一个侧面说明术中解剖开放额筛气房的重要性(图1,图2)[8]。


经过近20年的发展,内镜额窦手术技术不断成熟,对额窦区域局部解剖结构临床意义的理解和认识也不断加深。2016年,Wormald组织18位专家撰写了题为《国际额窦解剖分类和内镜额窦手术分类》的专家共识[9],进一步规范了额窦区域的解剖名词。
额隐窝是额窦引流的部位,位于额嘴后方和中鼻甲基板前方、纸样板和中鼻甲垂直板之间,并延续到嗅凹外侧壁上方。额嘴是额骨鼻突,在矢状位CT上表现为额窦前壁最下部向后的骨性凸起。额隐窝与其中的气房构成额窦引流通道。额隐窝内的气房位于筛泡的前方或上方。额窦引流进入额隐窝形成的最狭窄的部位是额窦口,其前方为额嘴,后方为颅底,外侧为眶纸板,内侧为中鼻甲垂直板向上延伸部分和嗅凹的外侧壁。
额筛气房又称额隐窝气房(frontal recess cells),是与上颌骨额突相关的前筛气房,气房气化变异形式多样,进入额隐窝而影响额窦引流。20世纪90年代,Kuhn[10]将额筛气房分为鼻丘气房、额气房(1~4型)、筛泡上气房、额泡气房、眶上筛房和额窦内间隔气房等(表1),此后的CT影像学研究均采用Kuhn分型[6,11]。

额筛气房的不同分类方法对比
额筛气房的不同分类方法对比
| 分类 | 国际额窦解剖分类(IFAC)[9] | Kuhn分型[10,11] |
|---|---|---|
| 前部气房:将额窦引流通道向内侧、后方和后内侧挤压 | 鼻丘气房(agger nasi cell,ANC):最前端筛房气化进入上颌骨额突和泪骨,常在中鼻甲前端形成隆起,位于中鼻甲向鼻腔外侧壁前插入点的上方 | 鼻丘气房 |
| 鼻丘上气房(supra agger cell,SAC):位于鼻丘气房上方,靠前外侧的筛房,未气化进入额窦 | 1型或2型额气房 | |
| 鼻丘上额气房(supra agger frontal cell,SAFC):气化进入额窦的前外侧筛房。较小的鼻丘上额气房刚进入额窦底,甚至到达额窦顶部 | 3型或4型额气房 | |
| 后部气房:将额窦引流通道向前方挤压 | 筛泡上气房(supra bulla cell,SBC):筛泡上方的气房,未气化进入额窦 | 筛泡上气房 |
| 筛泡上额气房(supra bulla frontal cell,SBFC):源于筛泡上方的气房,沿颅底气化进入额窦后部,其后壁为颅底 | 额泡气房 | |
| 眶上筛房(supraorbital ethmoid cell,SOEC):前筛气房在筛前动脉前方、后方或周围气化超越眶顶,常构成部分额窦后壁,可与额窦间形成骨性间隔 | 眶上筛房 | |
| 内侧气房:将额窦引流通道向外侧挤压 | 额窦间隔气房(frontal septal cell,FSC):靠内侧的前筛气房或额窦下方位于额窦间隔的气房,与额窦引流通道的内侧关联,将额窦引流通道推向外侧或后方 | 额窦内间隔气房 |
Wormald等[9]新订的国际额窦解剖分类(international frontal sinus anatomy classification,IFAC)将额筛气房分为3类:前部气房、后部气房和内侧气房(表1)。前部气房与鼻丘气房相关联,后部气房与筛泡相关联,与Kuhn分型相比差别不大。其中,鼻丘气房、筛泡上气房和眶上筛房的名称一致;新的国际分类简化了原有的额气房分类,原1型和2型额气房因未进入额窦,现统称为鼻丘上气房,原3型和4型额气房因进入额窦,现统称为鼻丘上额气房;原额泡气房更名为筛泡上额气房,原额窦内间隔气房更名为额窦间隔气房(表1)。
理论上讲,手术解剖后部和内侧气房的难度较前部气房大,且气房越向上气化,手术难度越大。Nakayama等[8]分析了129例(214侧)患者术后额筛气房的残留情况,发现最易残留的气房依次为额窦间隔气房(25%)、眶上筛房(24%)和筛泡上额气房(20%),残留率均在20%以上,表明越靠近后上方的气房越难清除。
过去15年间,多项鼻窦CT影像学研究应用Kuhn分型对额筛气房在不同人群中的分布情况进行了研究(表2)[12,13,14,15,16,17,18,19,20,21,22,23,24,25,26]。对比额筛气房在亚洲国家(中国、日本、韩国和马来西亚)和欧美国家(土耳其和美国)的分布情况,东方黄种人在鼻丘气房、各型额气房和额窦内间隔气房分布方面,与西方白种人相比差别不大。筛泡上气房在黄种人更常见,额泡气房也有类似趋势,而眶上筛房在白种人中出现的概率明显高于黄种人。上述分布规律在Cho等[19]的对比韩国人和西方人的研究中表现得尤为明显。分析筛泡上气房、额泡气房和眶上筛房的解剖特征可知,3个气房均属于位于额隐窝后部、筛泡上方的气房,最显著的差别就是气化程度不同:筛泡上气房最小,向上气化未入额窦;其次是额泡气房,向上气化进入额窦;眶上筛房气化程度最大,向上、外侧气化进入额窦,超过额骨眶板水平[27,28]。由此可见,筛泡上方的气房在东方人(黄种人)和西方人(白种人)中均很常见,但不同人种在气房的气化程度上存在差异,导致出现不同的气房。

采用Kuhn分型观察额筛气房在不同人群中的分布情况
采用Kuhn分型观察额筛气房在不同人群中的分布情况
| 作者(年) | 国家及人种 | 例(侧) | 鼻丘气房 | 额气房 | 筛泡上气房 | 额泡气房 | 眶上筛房 | 额窦内间隔气房 | |||
|---|---|---|---|---|---|---|---|---|---|---|---|
| 1型 | 2型 | 3型 | 4型 | ||||||||
| Han等(2008)[12] | 中国(北京) | 202(404) | 94% | 24% | 7% | 8% | 0 | 37% | 9% | 5%[13] | 12% |
| Lien等(2010)[13] | 中国(台湾) | 192(384) | 89% | 22% | 11% | 8% | 0 | 39% | 6% | 8% | 10% |
| Lai等(2014)[14] | 中国(台湾) | 120(240) | 92% | 33% | 8% | 5% | 3% | 55% | 14% | 3% | 11% |
| Al-Qudah和Mardini(2015)[15] | 约旦 | 50 | 97% | 39% | 27% | 11% | 1% | 57% | 9% | 38% | 16% |
| Kubota等(2015)[16] | 日本 | 150(300) | 88% | 37% | 6% | 4% | 1% | 37% | 7% | 6% | 9% |
| Okuni等(2016)[17] | 日本 | 89(161) | 91% | 29% | 1% | 3% | 0 | 81% | 24% | - | 12% |
| Johari等(2018)[18] | 马来西亚 | 156(312) | 98% | 29% | 31% | 14% | 0 | 40% | 33% | 17% | 11% |
| Cho等(2006)[19] | 韩国 | 57(114) | 94% | 23% | 14% | 8% | 0 | 40% | 14% | 3% | 9% |
| 白种人 | 41(82) | 87% | 35% | 21% | 9% | 0 | 11% | 6% | 65% | 7% | |
| Meyer等(2003)[20] | 美国 | 768 | - | 15% | 3% | 2% | 2% | - | - | - | - |
| Lee等(2004)[21] | 美国 | 50(100) | 89% | 37% | 19% | 8% | 0 | 15% | 9% | 62% | 14% |
| DelGaudio等(2005)[22] | 美国 | 106(212) | 87% | 16% | 1% | 6% | 2% | - | - | - | - |
| Comer等(2013)[23] | 美国 | 60(120) | - | - | - | - | - | - | - | 47% | - |
| Jang等(2014)[24] | 美国 | 78(156) | - | - | - | - | - | - | - | 44% | - |
| House等(2017)[25] | 美国 | 602 | 91% | 37% | 16% | 18% | 8% | 36% | 21% | 17% | 21% |
| Yüksel等(2017)[26] | 土耳其 | 68(136) | 64% | 12% | 1% | 19% | 3% | 24% | 5% | 20% | 16% |
目前的研究多针对成人,额筛气房在儿童中的分布研究很少。1项来自约旦的研究显示了额筛气房在平均年龄11岁的儿童中的分布情况(表2)[15],初步显示额筛气房在儿童中也很常见。
由于新的IFAC问世不久,相关文献不多,仅有两项分别来自日本和美国的研究介绍了采用IFAC观察的额筛气房分布情况(表3)[8,29]。目前的鼻窦CT研究采用三维图像分析技术,准确性较早前的冠状位或水平位图像分析技术有所提高,得到的额筛气房分布状况也与以前的研究有所不同,例如眶上筛房在日本人中的发现率有所提高,而在美国人中的发现率有明显下降。未来需进行更多深入研究进行验证。
此前内镜额窦手术分类最常用的是以德国鼻科学者Draf名字命名的Draf分类系统[5]。但Wormald等[9]认为该系统在具体临床实践中并不容易理解,还常出现误读,特别是在区分Draf Ⅰ型和Draf Ⅱa型手术时。最新制订的内镜额窦手术分类既考虑了额窦和额隐窝的解剖学特点,又兼顾了手术操作的难度,使年轻医生可依据分类,由易向难循序渐进学习手术技术,也利于术者交流不同难度手术的疗效[9]。
新手术分类系统的核心是额窦口,共分为0~6级。其中0~3级手术是在额隐窝区域进行的手术,去除或开放堵塞额窦口或额隐窝的气房,从而疏通额窦引流通道,但手术并不扩大额窦口,其中0级手术不损伤黏膜,第1~3级手术针对额隐窝区域,在处理气房的同时去除黏膜。4~6级手术则需通过去除额嘴扩大额窦口[9]。
新的内镜额窦手术分级如下。0级:鼻窦球囊扩张术,不去除黏膜;1级:去除额隐窝内鼻丘上气房和筛泡上气房等不直接侵犯或堵塞额窦口的气房;2级:去除额隐窝内鼻丘上气房或筛泡上气房等直接堵塞额窦口而影响额窦引流的气房,上述气房通常紧邻额窦口的下方而导致额窦引流通道狭窄;3级:去除经额窦口气化进入额窦的鼻丘上额气房、筛泡上额气房和额窦间隔气房等气房,但并不扩大额窦口;4级:去除经额窦口气化进入额窦的较大的鼻丘上额气房、较大的筛泡上额气房和额窦间隔气房等气房,上述气房导致额窦口前后径狭窄,因而需去除额嘴以扩大额窦口;5级:在纸样板和鼻中隔间扩大额窦口,即单侧额窦钻孔术(drillout),去除额窦底壁以最大地扩大新额窦口,同时去除导致额窦口前后径狭窄的较大的鼻丘上额气房、较大的筛泡上额气房和额窦间隔气房等气房;6级:去除额窦底部使两侧额窦口融合,与中隔窗口形成共同开口,即改良Lothrop术式或Draf Ⅲ型手术,使额窦在前后径和外侧均获得最大开口。该术式常用于前期常规术式失败、出现结痂或新骨形成而导致窦口狭窄的病例,也可用于处理导致额窦口前后径狭窄的较大的鼻丘上额气房、较大的筛泡上额气房和额窦间隔气房等气房[9]。
原有Draf分类系统在规范内镜额窦手术方面发挥了巨大作用,新的手术分级方法是否能在克服原有缺陷的基础上发挥更大的指导作用,尚待临床研究检验。加强对影响额窦引流的额筛气房局部解剖的研究,在临床实践中尝试应用新的内镜额窦分级系统进行疗效分析和对比研究,将有助于临床更加科学规范地开展内镜额窦手术研究。
所有作者均声明不存在利益冲突






















