
磁共振成像(MRI)对软组织分辨率高、无电离辐射、无骨伪影干扰,常用于医学影像检查。作为非影像专业的临床医生,读准MRI、尽可能得到比较多的影像学信息,对我们的临床诊疗有很大的帮助。本文介绍了MRI的基本原理、正常鼻腔鼻窦解剖、炎症以及常见良、恶性肿瘤的MRI表现,希望对临床医生的诊断有一定帮助。
版权归中华医学会所有。
未经授权,不得转载、摘编本刊文章,不得使用本刊的版式设计。
除非特别声明,本刊刊出的所有文章不代表中华医学会和本刊编委会的观点。
磁共振成像(MRI)广泛应用于医学影像检查,其基于1973年Lauterbur在Nature上发表的对磁共振信号进行空间位置编码方法的研究论文,已成为对人体内部结构进行高清晰度成像的一种精确的、非侵入性的影像学检查技术。
对比其他影像学检查,MRI有其独特的优势,如对软组织分辨率高、无电离辐射、无骨伪影干扰、较少出现对比剂变态反应等。其劣势在于禁忌证较多,装有电子耳蜗、心脏起搏器、含磁性金属假体的患者及危重监护患者等不能应用;另外因机器噪声强、检查环境封闭,对于具有幽闭恐惧症或不合作的患者难以获得满意的成像效果;相对CT检查,MRI对骨组织及钙化显示不敏感。
MRI是利用原子核在磁场中发生共振所产生的信号,经计算机空间编码重建出图像的一种成像技术。成像的原子核为氢原子核,人体70%由水构成,几乎所有组织都有氢原子,且氢原子核对MRI信号敏感。机器发出射频脉冲,水的氢原子吸收后跃迁到高能状态,关闭射频脉冲后,被激发的氢原子核把所吸收的能量逐步释放出来,恢复到原始状态,这个恢复过程叫弛豫(relaxation),这段时间称为弛豫时间。弛豫包括纵向弛豫和横向弛豫,纵向弛豫又称为T1弛豫,横向弛豫又称为T2弛豫。射频脉冲停止后,纵向磁化矢量由0恢复到其最大值的63%所需要的时间称为纵向(T1)弛豫时间;横向磁化矢量由最大值逐渐衰减到其37%的时间,称为横向(T2)弛豫时间。人体正常和病理组织的质子密度、T1和T2弛豫时间不同,从而形成灰阶不同的图像,这是MRI显示解剖结构和病变的基础。T1加权像(T1WI)突出反映组织间的T1权重,T2加权像(T2WI)突出反映组织间的T2权重。T1WI表现为不同的灰度,正常组织T1差别明显,故T1WI有利于观察解剖结构;病变组织一般含水较正常组织多,因此T2WI显示病变组织较好。
脉冲序列是指射频脉冲、梯度场和信号采集时间等相关扫描参数的设置及其在时序上的排列,不同的脉冲序列组成了MRI的检查技术。常用的MRI检查技术包括MR血管成像(MR angiography,MRA)、MR水成像(MR hydrography)、脂肪抑制技术、磁化传递成像(magnetization transfer contrast,MTC)和MR功能成像(functional MR)等。MRA具有不需要对比剂、无创、简单及可重复等优点,因此应用广泛,如颅脑血管成像、颈部大血管成像等。增强MRA是利用顺磁性物质(对比剂,常用为钆喷酸葡胺)使血管内血液的T1值呈显著高信号,血管外其他组织相应呈低信号而进行的重建,主要应用于动脉瘤、假性动脉瘤、深静脉血栓等血管性病变。肿瘤强化的原理是静脉注射对比剂后,对比剂可弥散到血管外组织间隙,改变局部磁场环境,肿瘤早期增强取决于肿瘤富含血管的程度,而晚期增强取决于血管对造影剂的通透性。MR水成像利用水具有长T2的特性,通过后处理使之显示出高信号,可应用于内耳疾病、脑脊液漏等。MR脂肪抑制技术主要应用于周围脂肪组织较多的病变或组织,如眼眶、骨髓区域的肿瘤。在MRI增强图像上脂肪为高信号,肿瘤增强后也为高信号,难以鉴别;抑制脂肪信号后,比较容易判断肿瘤是否侵犯了眶脂肪和骨髓。MTC是近几年来推出的MR成像新技术之一。体内氢质子的存在形式分为两种:一种存在于自由水和某些含脂肪组织的氢质子呈现自由运动状态,具有较长的T2值;另一种氢质子呈运动受限状态,包括那些结合在大分子物质如蛋白质、碳水化合物、核酸、脂类以及细胞膜上的氢质子,其T2值极短,普通MRI不能有效显示。MTC通过直接化学交换和偶极交联等机制与体内氢质子间存在磁量交换,可以形成组织特异性的T1值和T2值,有效调节组织对比度,改善病灶的显示情况。MR功能成像有多种,包括弥散加权成像(diffusion-weighted imaging,DWI)、扩散张量成像(diffusion tensor imaging,DTI)、灌注加权成像(perfusion-weighted imaging,PWI)等。在均质的水中,如不设定范围,水分子的流动扩散是一种完全随机的热运动,但在人体中,水分子只能在有限的范围内活动,即各向异性。在梯度磁场下,水分子运动的各项异性显示为不同的表观扩散系数(ADC),DWI信号强度与ADC图信号强度相反。以前DWI常用于缺血性颅脑疾病的诊断,近期研究发现其对于肿瘤亦有重要诊断意义。恶性肿瘤细胞密集、细胞间隙狭窄,其阻挡作用抑制了水分子的扩散,导致ADC值很小,在ADC图上呈现低信号;而肿瘤内的坏死囊变部分细胞结构疏松,水分子扩散阻力减少,在ADC图上呈现高信号(图1)[1]。


了解鼻腔鼻窦正常结构在MRI上的表现对发现病变非常重要。鼻窦是4对含气空腔,从表面到深部由多种组织构成,包括黏膜上皮、血管、神经、软骨、骨、淋巴组织等;周围包括眼眶、口腔、颅底等区域,MRI信号多种多样,以自旋回波序列为例,这些正常组织的T1WI和T2WI信号(与脑灰质信号相比较)总结如下(表1,图2)。

正常组织的MRI信号强度
正常组织的MRI信号强度
| 组织 | T1加权像(T1WI) | T2加权像(T2WI) |
|---|---|---|
| 骨皮质 | 低 | 低 |
| 肌肉 | 等、低 | 等、稍低 |
| 脂肪 | 高 | 高 |
| 鼻窦黏膜 | 等、低 | 高 |
| 神经 | 等 | 等 |
| 翼腭窝脂肪 | 高 | 高 |
| 玻璃体 | 低 | 高 |
| 鼻甲 | 等、低 | 高 |
| 脑脊液 | 低 | 高 |
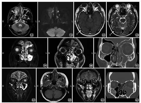
虽然欧洲鼻腔鼻窦肿瘤内镜诊疗意见书中推荐CT为SNIP术前的常规检查[2],但目前研究认为MRI可很好地鉴别肿瘤与炎性组织,降低SNIP误诊率,有利于寻找肿瘤的基底部,确定手术进路和判断术后复发,尤其是针对起源于额窦的SNIP[3]。SNIP的MRI表现为单侧鼻腔鼻窦肿块,T1WI呈等、低信号,T2WI呈等、高信号,增强时伴不均匀强化。尤其值得注意的是,在T2WI或增强T1WI上,SNIP实体呈等信号或轻度增强的"脑回征",病变内部结构多呈较规整的栅栏状、卷曲脑回状。 "脑回征"由平行排列、高和等信号相间的条状影构成,与组织学对应:前者对应水肿的间质(少细胞),T2WI为高信号粗条影,因其血管丰富,增强后明显强化;后者对应增生的上皮(多细胞),T2WI为等信号细条影,增强后轻度强化。 "脑回征"是SNIP在MRI上的特征性表现,阳性率达95%以上(图3)。当CT怀疑骨质破坏时,行MRI-DWI检查有助于判断SNIP是否伴有恶性变,伴恶性变的肿瘤ADC值更低(1.12×10−3mm2/s),与良性者(1.49×10−3mm2/s)比较差异有统计学意义[4,5]。而CT仅可提示鼻窦单侧软组织病变,局部骨质增生提示可能为肿瘤基底部,但是对于鼻窦内的软组织影,不能鉴别肿瘤或炎症,且难以判断复发病例的肿瘤基底部。
骨化纤维瘤和骨纤维异常增殖的影像学诊断主要依靠CT检查,但当肿瘤涉及视神经、颅底、眼眶时,推荐术前行MRI检查,因为MRI可评估视神经因肿瘤压迫而出现的水肿、萎缩[6],以及是否存在脑组织压迫、水肿等。这类骨性病变可分为硬化型、囊性和混合型。骨纤维异常增殖的信号特点取决于肿瘤组织内骨小梁和胶原蛋白含量[7],骨小梁结构含量越多,T2WI信号越低,反之亦然。有部分的骨化纤维瘤内部呈囊性变,MRI可见T2WI高信号、T1WI等信号。绝大部分的肿瘤增强后实性部分显著强化(图4)。
然而,单纯MRI检查有可能误诊这类病变,因为MRI对骨和钙化组织不敏感,使之难以与其他病变鉴别。
鼻咽纤维血管瘤好发于青少年男性,CT检查可提供术中所需的解剖标志,但MRI对判断肿瘤的范围、边界、侵犯翼腭窝、颞下窝、眶下裂、翼管和圆孔的程度、肿瘤血供情况有重要作用,特别对于复发的病例。若肿瘤与周围软组织粘连,MRI更有助于分辨病变与正常组织。原发的鼻咽纤维血管瘤在增强MRI中表现为起源于蝶腭孔或翼管的不均质肿块,T1WI、T2WI混杂信号,肿块内见多量流空血管影,增强后呈均匀显著强化[8]。肿瘤可向外侧突入翼腭窝、颞下窝和眶下裂,向上方突入蝶窦、筛窦、圆孔和海绵窦,向下方自后鼻孔突入鼻咽腔,向后方突向翼管、翼突根部和翼内外板之间,到达颈内动脉前方和破裂孔。MRA及CE-MRA可判断肿瘤血供情况,大部分的鼻咽纤维血管瘤血供来自于颌内动脉和咽升动脉,若肿瘤突向上生长则可能由颈内动脉及颈外动脉的分支共同供血,也可能由对侧的颈内和颈外动脉供血。在这种情况下,增强MRA对判断是否需行术前DSA栓塞、如何栓塞、手术风险、手术难度有很大帮助。
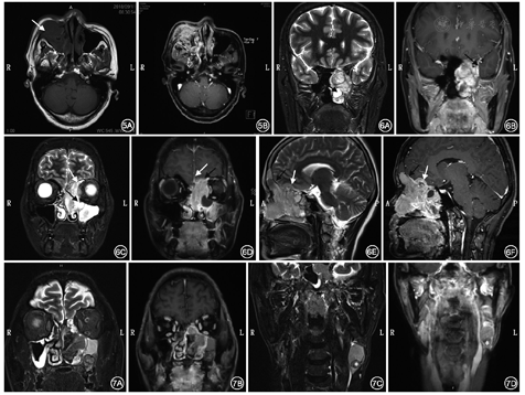
鳞状细胞癌和腺癌好发于中老年患者,大部分起源于上颌窦,其次为鼻腔、筛窦,软组织肿物伴骨质破坏是其CT特征表现[8],但CT能够提供的信息非常有限,MRI平扫+增强是常规的检查方法。这两种肿瘤在MRI上表现为T1WI等或稍低信号,T2WI等或稍高信号,增强呈不均匀强化,提示局部可能有坏死、出血(图5)。大部分鳞状细胞癌和腺癌破坏周边骨质,T1增强抑脂序列对判断眶内、颅底侵犯,以及神经、肌肉侵犯有重要作用。当肿瘤侵犯骨质时,T1WI上骨髓高信号被肿瘤取代表现为低信号。若肿瘤突破硬脑膜及蛛网膜,在T2WI上表现为脑组织周围高信号的脑脊液被等信号软组织肿瘤侵犯。腺癌的MRI信号取决于黏液含量、是否伴瘤内出血和细胞结构,黏液含量高的腺癌表现为T2WI高信号,黏液含量低的腺癌表现为T2WI等、稍高信号。


MRI还常规应用于肿瘤术后随访,因其没有CT及PET/CT的电离辐射因素,不会导致放射继发肿瘤,建议术后常规3个月、半年、1年行MRI平扫及增强检查,若有复发的迹象,可随时行MRI检查以及时发现肿瘤复发[9]。
腺样囊性癌是一类生长缓慢的涎腺来源恶性肿瘤,常见于50~60岁患者,上颌窦是其好发部位,其次是鼻腔、筛窦和蝶窦。其组织学上可分为小梁型、筛孔型和硬化型,呈局部浸润生长,具有嗜神经性,容易局部复发和远处转移,可分为膨胀性生长型伴低度骨质缺损和破坏型伴广泛骨质破坏。腺样囊性癌在MRI上表现为T1WI等信号,T2WI等、稍高信号,沿神经生长,常累及三叉神经上、下颌支[10]、海绵窦甚至颅内[11]。
嗅神经母细胞瘤是起源于嗅上皮(神经内胚层)的恶性肿瘤,常见肿瘤中心位于筛板、上鼻甲和鼻中隔上1/3。嗅神经母细胞瘤发病年龄范围广,但具有20岁和60岁两个高峰[12]。嗅神经母细胞瘤常直接侵犯鼻窦、筛板、颅底和眶,疾病进程中常出现颈部淋巴结转移(20%~25%)和远处转移(10%~40%)。MRI上表现为T1WI较灰质信号低、T2WI较灰质信号高的肿块[13],增强后除坏死和出血外呈均匀强化(图6)。
恶性黑色素瘤是来源于色素细胞的恶性肿瘤,在黏膜恶性黑色素瘤中,鼻腔鼻窦为第二好发部位。侵犯黏膜的恶性黑色素瘤恶性程度高,根据美国癌症联合委员会(AJCC)分期,未侵犯骨质的为T3肿瘤。恶性黑色素瘤可分为黑色素型和无色素型,色素含量在某种程度上决定其在MRI中的表现,典型的黑色素型肿瘤T1WI呈高信号,T2WI呈等、低信号,而无色素型表现为T1WI低信号、T2WI高信号,增强MRI呈轻到中度强化(图7)[14]。
鼻腔鼻窦的肿瘤病变类型多样,成分复杂,包括骨性、软骨性、纤维性、上皮性、血管性、囊性和实性肿瘤,鼻腔鼻窦是含气空腔结构,肿瘤会引起炎性分泌物增加、黏膜水肿,这些因素都容易导致误诊。MRI对软组织分辨率高,可进一步行功能成像、血管造影,在鼻腔鼻窦病变的诊断中发挥重要的作用。根据病变来源、部位、肿瘤生长方式、MRI信号、是否增强、眶筋膜和脑膜是否增厚等,可大致判断肿瘤的类型、范围、是否能手术切除、手术进路选择及预后。随着科技的发展,MR导航、术中MR等技术于鼻腔鼻窦病变的手术切除将有非常大的帮助。
慢性鼻窦炎伴或不伴鼻息肉、急性鼻窦炎是鼻腔鼻窦炎性反应性疾病,对于本疾病的诊断,影像学方面首选CT检查,一般情况下不建议行MRI。然而,当怀疑病变有可能是肿瘤、有眶内或颅内并发症时,行MRI检查可较准确地判断病变性质,以及是否扩散至颅内或眶内、形成脓肿等[15]。
作为一名非影像学专业的临床医生,要对MRI进行精准诊断存在较大困难,但努力读懂读准MRI、尽可能得到比较多的影像学信息,对我们的临床诊疗有很大的帮助。为此,我们在阅读鼻窦MRI的时候,需要遵循一些基本原则,包括:(1)阅片前核对患者的基本信息、扫描时间、扫描序列;(2)确定病变的位置、范围,以及是否侵犯鼻腔、鼻窦以外的结构;(3)判断病变在T1WI、T2WI上是低信号、等信号、高信号、混杂信号还是无信号,是否增强等,初步判断病变可能的性质,如良性、恶性、炎症等;(4)了解是否有影响手术的解剖学变异,必要时结合CT检查;(5)根据病变的位置、性质、侵犯范围确定是否可以手术,以及采用什么样的手术进路等。MRI是一个仍在不断更新、进步的检查手段,及时了解新的序列以及在鼻腔鼻窦疾病中的表现能有效提高诊断效率。
所有作者均声明不存在利益冲突
1.MR血管成像(MRA)对比CT血管造影(CTA)的优势不包括:
A.没有电离辐射
B.不需要造影剂
C.增强MRA(CE-MRA)可应用于动脉瘤、假性动脉瘤、深静脉血栓等血管性病变
D.可用于诊断恶性肿瘤
2.以下正常鼻腔鼻窦的MRI信号正确的是:
A.筛窦T1WI高信号,T2WI低信号
B.翼腭窝T1WI高信号,T2WI高信号
C.玻璃体T1WI高信号,T2WI高信号
D.脑脊液T1WI等信号,T2WI低信号
3.以下说法正确的是:
A.欧洲鼻腔鼻窦肿瘤内镜诊疗意见书中推荐MRI为鼻腔鼻窦内翻性乳头状瘤术前常规检查
B.内翻性乳头状瘤的MRI表现为单侧鼻腔鼻窦肿块,T1WI呈等、低信号,T2WI呈等、高信号,增强时伴不均匀强化
C.骨化纤维瘤和骨纤维异常增殖的影像学诊断主要依靠MRI
D.原发性鼻咽纤维血管瘤在增强MRI中表现为起源于蝶腭孔或者翼管的不均质肿块,T1WI等信号、T2WI高信号,肿块内见多量流空血管影,增强后呈均匀显著强化
4.以下关于鼻腔鼻窦鳞状细胞癌不正确的是:
A.鳞状细胞癌(SCC)好发于中老年患者
B.肿瘤在MRI上表现为T1WI高信号,T2WI等、高信号,增强呈不均匀强化(局部可能有坏死、出血)
C.T1增强抑脂序列对判断眶内、颅底侵犯,以及神经、肌肉侵犯有重要作用
D.MRI还常规应用于肿瘤术后随访,因其没有CT及PET/CT的电离辐射因素,不会导致放射继发肿瘤
5.以下关于嗅神经母细胞瘤正确的是:
A.嗅神经母细胞瘤(ONB)是间质来源的恶性肿瘤
B.MRI上表现为T1WI较灰质信号低、T2WI较灰质高信号肿块
C.中心常位于筛板、上鼻甲和上颌窦
D.常见于20岁左右的年轻人





















